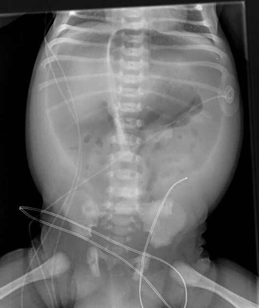
5 一位 9 個月男嬰發燒、嘔吐、腹瀉 3 天,糞便帶有血絲與黏液,至急診所做的腹部 X 光檢查如圖所 示,下列那一項處置最不適當?
(A)下消化道鋇劑攝影檢查
(B)腹部超音波檢查
(C)糞便細菌培養
(D)可給 ceftriaxone、metronidazole、amikacin等抗生素
(A)下消化道鋇劑攝影檢查
(B)腹部超音波檢查
(C)糞便細菌培養
(D)可給 ceftriaxone、metronidazole、amikacin等抗生素
答案:登入後查看
統計: A(37), B(1), C(1), D(13), E(0) #1054760
統計: A(37), B(1), C(1), D(13), E(0) #1054760
詳解 (共 1 筆)
#6273572
Falciform ligament sign常表示肝周圍有游離空氣,這在臨床上常常提示有內臟穿孔的可能。
是下消化道鋇劑攝影檢查的禁忌症【合記2013年醫師國考試題詳解p294,295】

下消化道鋇劑攝影檢查
是針對大腸的特殊 X光檢查,包括了直腸、乙狀結腸、下結腸、橫結腸、上結腸、盲腸及闌尾,用以診斷慢性腹瀉、血便、便秘、腸躁症、無法解釋的體重減輕、排便習慣改變、貧血等。
(D)涵蓋厭氧菌and腸道內G(-)的抗生素 是可行的
ㅤㅤ
附上一張較明顯的Falciform ligament sign

ㅤㅤ
0
0