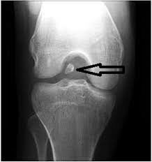
5.有關膝關節攝影呈現intercondylar notch的敘述,下列何者錯誤?
(A)可以呈現膝關節的loose body
(B)檢查者膝關節呈90度彎曲
(C)膝關節下方需要放置保護墊以維持膝關節的穩定
(D)影像接收器擺置於膝關節及保護墊中間
答案:登入後查看
統計: A(245), B(1505), C(107), D(566), E(0) #2626160
統計: A(245), B(1505), C(107), D(566), E(0) #2626160
詳解 (共 3 筆)
#5694510
補充:A選項 loose body=游離體
關節內的游離體,也有人稱之為關節鼠。當人體的關節出現退化或損傷,關節內會有組織碎片脫落,這些組織可能有纖維或軟骨組成,當病人在活動時這些組織碎片會在關節腔內移動,影響關節活動。症狀包括關節卡住的感覺、關節疼痛、腫脹、僵硬,有些人甚至能摸到游離體。
初步診斷可先觀察病人的症狀,有時觸診就能發現游離體,之後可做影像學檢查如X光、關節鏡或核磁共振。治療上不論大小游離體都建議以手術移除,因為游離體可能影響關節內的軟骨,近年多用微創手術治療,通常療程結束後一周左右病人就能恢復正常行走。

16
0