56.下列何者較不會在自動血小板計數時,出現假性血小板計數增加?
(A)血小板衛星現象(platelet satellitism)
(B)Cryoglobulin
(C)Chronic lymphocytic leukemia
(D)Thrombotic thrombocytopenic purpura
答案:登入後查看
統計: A(889), B(135), C(325), D(372), E(0) #3197994
統計: A(889), B(135), C(325), D(372), E(0) #3197994
詳解 (共 5 筆)
#6165772
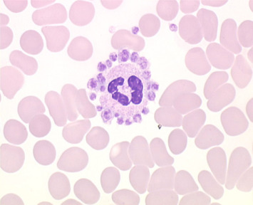
血小板衛星現象

8
0
#6552224
(B)
冷凝球蛋白(Cryoglobulin)是人類血液中出現在低於37℃就會產生沉澱的免疫球蛋白,首次發現於多發性骨髓瘤病人的血清中,冷凝球蛋白聚集形成顆粒,這些顆粒可能被儀器誤認為血小板,造成假性增多
破碎紅血球也可能造成假性血小板計數增加
冷凝球蛋白(Cryoglobulin)是人類血液中出現在低於37℃就會產生沉澱的免疫球蛋白,首次發現於多發性骨髓瘤病人的血清中,冷凝球蛋白聚集形成顆粒,這些顆粒可能被儀器誤認為血小板,造成假性增多
破碎紅血球也可能造成假性血小板計數增加
ㅤㅤ
我覺得A、C、D的檢驗結果都是會造成platelet count降低,看不懂這題
0
0