58 下列關於全膝關節置換手術之敘述,何者正確?
(A)全強制型(fully constrained)需要完整的內副韌帶與外副韌帶
(B)後十字韌帶保留(cruciate-retaining)之全膝關節容許部分之前後滑動
(C)無水泥膠固定(cementless)之全膝關節,在術後 1-2 星期時可用〝可容忍承重〞(weight-bearing as tolerated)之方式走路
(D)混種型(hybrid)指的是聚乙烯與金屬合成之人工關節
答案:登入後查看
統計: A(17), B(69), C(48), D(48), E(0) #1440831
統計: A(17), B(69), C(48), D(48), E(0) #1440831
詳解 (共 3 筆)
#4917094
補充
semi 和 unconstrained TKA 才需要完好的內副ligament
5
0
#5806654

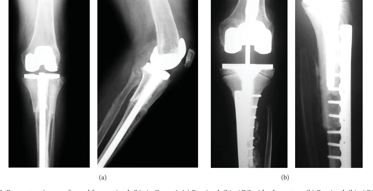
(a) semi constrained
(b)fully constrained
1
0