59.格子細胞(gitter cell)是由下列何種細胞衍生而來?
(A)星狀細胞
(B)寡樹突細胞
(C)小神經膠質細胞
(D)室管膜細胞
答案:登入後查看
統計: A(282), B(188), C(1422), D(73), E(0) #2743749
統計: A(282), B(188), C(1422), D(73), E(0) #2743749
詳解 (共 6 筆)
#5560135
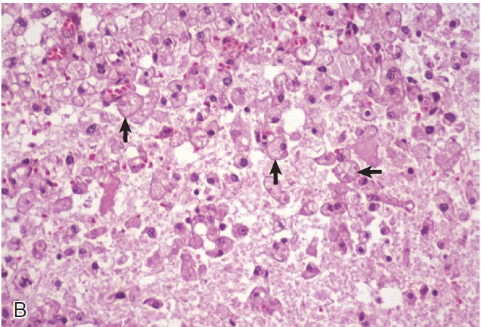
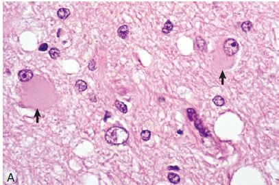
| gitter cell (吞很多東西的microglia cell) | gemistocyte (活化的astrocyte) |
![]() |
![]() |
病理第六版p823
22
0
#6525627

6
0
#6535364
寡樹突細胞:衛星現象
Microglia cell:格子細胞
星狀細胞:血腦障壁
口訣:樹衛晶格和星血
2
0
#6540743
72. gemistocyte 是何種肥大或腫大的細胞?
(A) 星狀細胞
(B) 小神經膠質細胞
(C) 寡樹突細胞
(D) 神經元
ㅤㅤ
Ans: A
該題樓下有口訣
該題樓下有口訣
0
0

