62.何種腫瘤鏡下可見細胞間橋(intercellular bridges)?
(A)malignant melanoma
(B)transmissible venereal tumor
(C)squamous cell carcinoma
(D)osteosarcoma
答案:登入後查看
統計: A(168), B(339), C(1487), D(163), E(0) #2743752
統計: A(168), B(339), C(1487), D(163), E(0) #2743752
詳解 (共 3 筆)
#6377565
細胞間橋(intercellular bridges)是鱗狀上皮細胞的一個特徵性結構,它們是相鄰細胞間的連接蛋白絲,在光學顯微鏡下呈現為細胞之間的細小連接。這些橋接對維持上皮組織的完整性和細胞間通訊非常重要。
分析各選項:
(A) malignant melanoma (惡性黑色素瘤): 惡性黑色素瘤源自黑色素細胞,這些細胞不具有鱗狀上皮特徵。黑色素瘤的特徵是含有黑色素的細胞,可能有大的核仁和核異型性,但不會有細胞間橋。
(B) transmissible venereal tumor (可傳染性生殖器腫瘤): 這是一種主要見於犬類的腫瘤,由圓形至橢圓形的腫瘤細胞組成,不具有細胞間橋的特徵。
(C) squamous cell carcinoma (鱗狀細胞癌): 鱗狀細胞癌源自鱗狀上皮細胞,保留了鱗狀上皮細胞的部分特徵,包括細胞間橋。即使在腫瘤轉化過程中,分化較好的鱗狀細胞癌仍然可以保留這些特徵性結構。顯微鏡下可以看到異型的鱗狀上皮細胞,細胞間有明顯的橋接。
(D) osteosarcoma (骨肉瘤): 骨肉瘤是一種源自骨組織的惡性腫瘤,其特徵是腫瘤細胞直接產生骨質或骨樣物質。這些腫瘤細胞是間葉來源的,不具有上皮特徵,因此不會顯示細胞間橋。
根據以上分析,正確答案是**(C) squamous cell carcinoma (鱗狀細胞癌)**。
5
0
#6525675
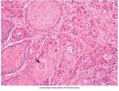
Squamous-cell carcinoma (SCC)

在考試時 看到皮膚、角質珠,直覺反射動作想到SCC
犬鱗狀上皮細胞癌
肉眼病變:切面為白色,觸感硬實
組織病變:越向中心分化越完全,形成角質珠(Keratin pearl),細胞質嗜伊紅性,核大小不一呈空泡狀
腫瘤鏡下可見細胞間橋(intercellular bridges)

3
0