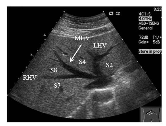
62.肝臟超音波橫向掃描時,發現一個高回音性病灶,介於右肝靜脈(right hepatic vein, RHV)與中肝靜脈(middle hepatic vein, MHV)之間(如下圖)。根據Couinaud classification的分 類,此病灶應在肝臟的那一個節段(segment)?
(A)8(VIII)
(B)7(VII)
(C)4(IV)
(D)3(III)
答案:登入後查看
統計: A(176), B(66), C(96), D(20), E(0) #3492050
統計: A(176), B(66), C(96), D(20), E(0) #3492050
詳解 (共 1 筆)
#6588990
借104-1診斷第70題的圖

圖中的三叉是由三條血管右肝靜脈(right hepatic vein, RHV)、中肝靜脈(middle hapatic vein, MHV)、左肝靜脈(left hepatic vein, LHV)構成,這三條血管可以把肝臟分成四葉,從右至左分別為S7、S8、S4、S2
ㅤㅤ
此題考RHV和MHV中間夾的是哪一葉,從三叉的圖像可以得知,就是S8 -->(A) 8(VIII)
11
0