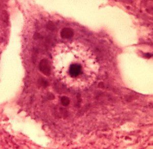
66.Negri 氏小體(Negri bodies)為下列何種病毒感染之病理特徵?
(A)狂犬病毒(rabies virus)
(B)麻疹病毒(measles virus)
(C)德國麻疹病毒(rubella virus)
(D)漢他病毒(hantavirus)
答案:登入後查看
統計: A(2012), B(34), C(51), D(35), E(0) #2403852
統計: A(2012), B(34), C(51), D(35), E(0) #2403852



