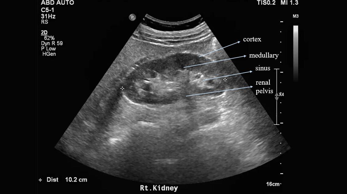
68.附圖中箭號所指高回音的部位最可能為何?
(A)腎髓質(medulla)
(B)腎竇部(renal sinus)
(C)腎盂(pelvis)
(D)腎皮質(cortex)
答案:登入後查看
統計: A(53), B(229), C(41), D(11), E(0) #3492056
統計: A(53), B(229), C(41), D(11), E(0) #3492056
詳解 (共 1 筆)
#6589198
腎臟的結構如下圖

ㅤㅤ
回音大到小:腎竇-->肝-->脾-->腎皮質-->腎髓質
因為腎竇內含脂肪,所以回音最強
ㅤㅤ


ㅤㅤ
ㅤㅤ
4
0