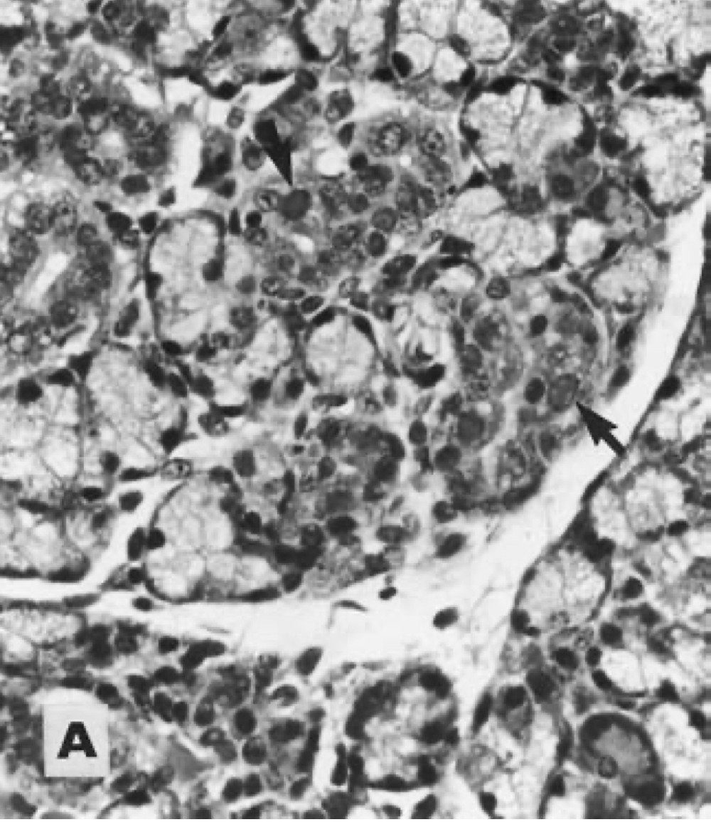
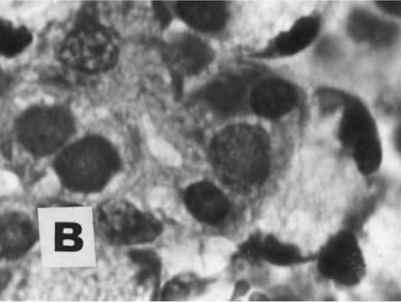
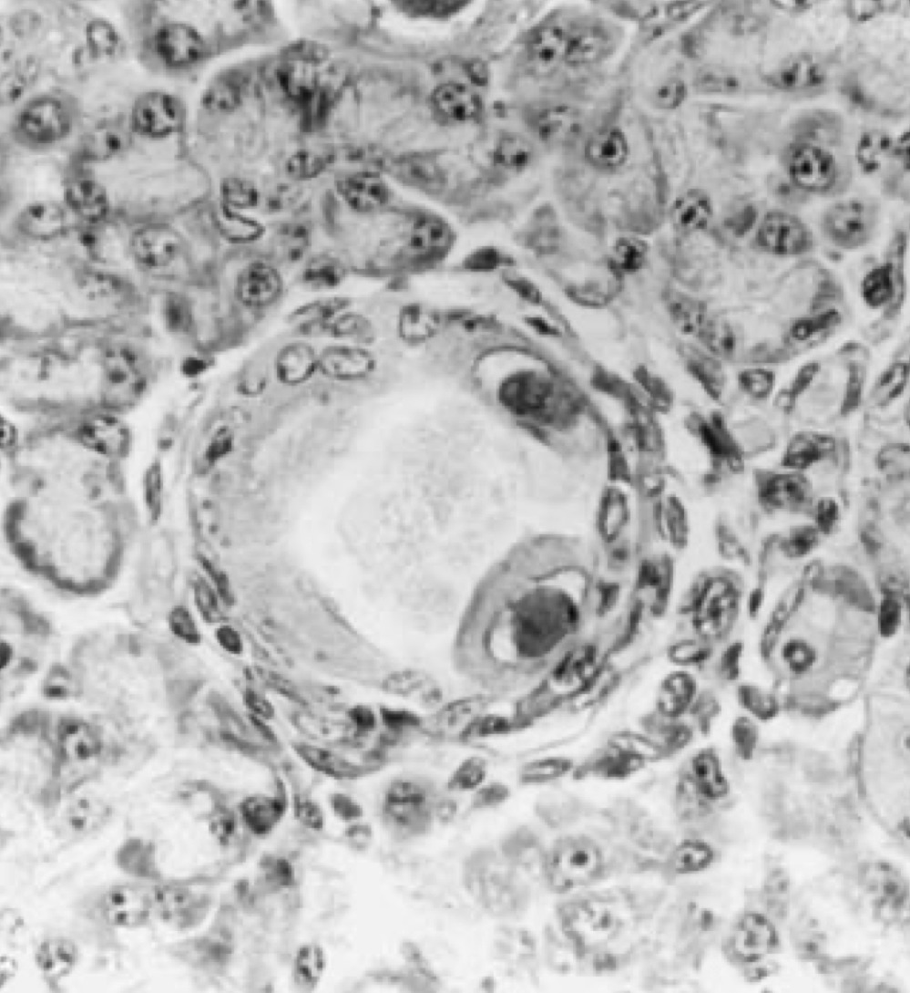
77.由一隻消瘦、毛髮粗糙的天竺鼠的唾液腺組織切片中發現下圖病變,最可能的致病原為下列何者?
(A)Sendai virus
(B)guinea pig adenovirus
(C)guinea pig cytomegalovirus
(D)lymphocytic choriomeningitis virus
答案:登入後查看
統計: A(440), B(510), C(1713), D(469), E(0) #1944507
統計: A(440), B(510), C(1713), D(469), E(0) #1944507
詳解 (共 4 筆)
#4931931
只是想分享一下特寵們Cytomegalovirus的各種圖片
來源:Pathology of laboratory rodents and rabbits, 3rd Ed <--國考圖片是不是會從這裡出啊:D
Mouse Cytomegalovirus


Guinea pig with cytomegalovirus infection

18
0