所屬科目:生物
14. 光合作用的實驗中,提供生物甲之原料為、CO2,而提供生物乙之原料為 H2O、,則下列光合作用產物中,何者正確?(A) (B) (C) (D)
17. 圖 2 為腎元的放大圖,下列相關敘述何者錯誤? (A)甲為腎小球,是過濾作用發生處 (B)乙為近曲小管,可以主動運輸的方式再吸收葡萄糖和水分 (C)丙為亨耳氏套,可深入腎臟髓質 (D)丁為集尿管,可受 ADH 的刺激增加水分的回收
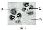
30. 新聞報導:竹筷子因浸泡漂白水而導致組織受損,出現了像猴子臉的構造。圖 3 為實際以顯 微鏡觀察竹筷子橫切面的結果。下列敘述哪些正確? (A)新聞所說的猴子臉構造其實是竹子的維管束 (B)竹子中乙構造具有運輸蔗糖的功能 (C)大部分單子葉草本莖的丙構造具有儲存養分的功能 (D)甲的細胞壁中除了纖維素外還含有木質素 (E)單子葉植物的髓腔應位於此圖的上側
34. 圖 4 中,I、II 分別為某人接觸抗原甲的時間點,則其體內哪些物質 或細胞的變化符合此圖之曲線? (A)抗甲抗體 (B)抗甲漿細胞 (C)抗甲吞噬細胞 (D)抗甲胞毒性 T 細胞 (E)抗甲補體
38. 圖 5 為生態系穩定度相關的四個模型示意,圖 5 之横軸為生態系中之物種數,縱軸為生態系 之初級生產力,下列敘述何者正確?(圖 5 (L)「+」為生態系之取樣) (A) I 之物種間具有最高的相互替代性 (B) J 之物種數高時,具有相互補償功能 (C) K 之物種數高時,穩定度快速上升 (D) L 之物種數與生態系穩定度無關 (E) J 及 K 模型較 I 及 L 接近一般情況