阿摩線上測驗
登入
首頁
>
醫學五:80題 ( 包括外科,骨科,泌尿科等科目及其相關臨床實例與醫學倫理 )
> 100年 - 100-2 專技高考_醫師(二):醫學(五)(包括外科、骨科、泌尿科等科目及其相關臨床實例與醫學倫理)#36956
100年 - 100-2 專技高考_醫師(二):醫學(五)(包括外科、骨科、泌尿科等科目及其相關臨床實例與醫學倫理)#36956
科目:
醫學五:80題 ( 包括外科,骨科,泌尿科等科目及其相關臨床實例與醫學倫理 ) |
年份:
100年 |
選擇題數:
80 |
申論題數:
0
試卷資訊
所屬科目:
醫學五:80題 ( 包括外科,骨科,泌尿科等科目及其相關臨床實例與醫學倫理 )
選擇題 (80)
1 有關急性無結石性膽囊炎(Acute acalculous cholecystitis)敘述,何者錯誤? (A)可能發生在創傷、燒傷、長期靜脈營養注射之重症病人 (B)症狀包括右上腹觸痛、發燒、白血球數增高 (C)死亡率比急性膽石性膽囊炎低 (D)電腦斷層或超音波有助於診斷
2 一位 55 歲之男性在接受例行一年一次的健檢時,於大腸鏡檢查中發現在升結腸處有一個 1 公分半的 粗莖性(thick stalk)息肉,經內視鏡息肉切除術處理後,病理診斷為一個管狀腺瘤合併有局部腺癌, 而且其腺癌只侷限在黏膜層內,尚未侵犯黏膜肌層,息肉底部的切除也夠完全,此時該如何處置? (A)進一步作右半側大腸切除 (B)作升結腸的部分節段切除(segmental resection) (C)作息肉基部周圍的升結腸局部切除(local excision) (D)觀察、追蹤即可
3 會合聚集成 perineal body 的肌肉,不包括下列那一項? (A) internal sphincter (B) external sphincter (C) bulbospongiosus (D) transverse perineal muscle
4 下列那一項並非造成 Colon diverticular disease 增多的原因? (A) Aging (B) High sugar diet (C) High meat diet (D) High fiber diet
5 下列何者是右側結腸癌常見的症狀? (A)腹瀉(Diarrhea) (B)貧血(Anemia) (C)腸阻塞(Intestinal obstruction) (D)鮮血便(Bright bloody stool)
6 50 歲婦人,兩年前曾因乳癌而接受右側乳房切除,近日右側胸廓手術疤痕邊緣呈現多顆小腫瘤,下 列何種處理最恰當? (A) Radiotherapy (B) Chemotherapy (C)腫瘤切片檢查 (D)腫瘤超音波檢查
7 一位年輕病人剛受到胸部外傷,經救護車在事故十分鐘後送來急診室,理學檢查發現患者意識清楚 可是呼吸急快,頸部靜脈怒張,不會因深呼吸而塌陷,兩側均有清楚呼吸音,護士告知血壓只有 80/65 mmHg,脈搏為 150 次/分,下列診斷,何者是最正確答案? (A)心包填塞(cardiac tamponade) (B)張力性氣胸(tension pneumothorax) (C)早期低血容性休克(hypovolemic shock) (D)神經性休克(neurogenic shock)
8 (A)大腸憩室炎 (B)放射線性直腸炎及瘻管 (C)直腸癌復發 (D)異時性大腸直腸癌
9 承上題,若經乙狀結腸鏡檢查證實後,首先該如何治療較妥? (A)腹部會陰聯合切除術加上大腸造口術 (B)只作大腸造口術 (C)低前位切除及切除部分陰道一定可治癒 (D)保守治療等它自然痊癒
10 26 歲男性,身高 178 公分,體重 63 公斤,過往健康情況良好。某天深夜打電腦時突然右側胸痛及呼 吸困難。聽診發現左側呼吸聲音比右側明顯許多。請問以下那一項處置較不恰當? (A)安排支氣管鏡檢查是否有右側支氣管異物 (B)安排胸部 X 光攝影 (C)給予氧氣治療 (D)準備放置胸管的器械及用品
11 以下關於惡性肋膜積水的描述,何者錯誤? (A)大部分惡性肋膜積水為滲出液(exudates) (B)肺癌及乳癌是引起惡性肋膜積水常見的原因 (C)對於反覆發生之惡性肋膜積水可以抽水(thoracocentesis)以改善症狀 (D)惡性肋膜積水只要施行肋膜沾黏術(pleurodesis)皆能治癒
12 以下關於原發型自發性氣胸(primary spontaneous pneumothorax)之治療何者錯誤? (A)第一次發作時,若氣胸量 < 20%,可以考慮觀察,不須置放胸管 (B)第二次氣胸發作時,如果和第一次氣胸同側,則應接受手術,但若不同側,則不應手術 (C)氣胸手術治療時,除了切除氣泡外,還應施行肋膜沾黏術(pleurodesis),以減少日後復發的機率 (D)當氣胸接受胸管置放 72 小時仍有持續漏氣時,則應考慮手術治療
13 以下關於胸腔鏡手術之描述,何者正確? (A)胸腔鏡手術時必須在肋膜腔灌入二氧化碳,使肺臟塌陷以利手術之進行 (B)胸腔鏡手術適用於良性疾病之診斷及治療,惡性疾病最好利用開胸手術以免腫瘤擴散 (C)胸腔鏡的手術畫面為鏡像(左右相反),因此必須長期練習才能熟悉手術器械之操作 (D)胸腔鏡手術時,需用雙管氣管插管(Double-lumen endotracheal tube),使單側肺部塌陷,以利手 術之進行
14 68 歲男性,送來急診時主訴腹部劇痛直達後背,病人身高 170 公分,體重 90 公斤,理學檢查血壓 86/48 mmHg,腹部有一搏動性腫塊,請問此病形成原因最可能為何? (A)糖尿病(DM) (B)動脈粥狀硬化(atherosclerosis) (C)血管彈性組織退化(elastic tissue degeneration) (D)血管炎(vasculitis)
15 關於 Neurogenic tumor 的描述,何者錯誤? (A)是兒童最常見的縱膈腔腫瘤 (B)好發於後縱膈腔 (C)成人以惡性腫瘤居多,兒童以良性腫瘤居多 (D)良性腫瘤的治療以手術切除為主
16 有關直腸癌的術前放射線治療之敘述,何者錯誤? (A)可以增加 Resectability rate (B)可以減少術中之 Tumor seeding (C)可增加保留肛門的機會 (D)無法減輕對小腸之傷害
17 腹內惡性腫瘤若轉移到肚臍下方而呈現硬塊,此稱之為: (A) Virchow’s node (B) Sister Mary Joseph’s node (C) Rotter’s node (D) Sentinel node
18 (A)腹部電腦斷層(Abdominal CT scan) (B)胸部 X 光(Chest X-ray) (C)腹部核磁共振(MRI) (D)小腸攝影(Small bowel series)
19 承上題,若影像學評估是可切除的(Resectable),而且無發現有其他轉移病灶(No evidence of metastasis),那一種處理應優先考慮? (A) Stent and chemotherapy (B) Local excision and radiotherapy (C) Whipple procedure (D) Radiotherapy
20 下列何種基因和胰臟癌的發生較無關聯? (A) Her2/neu (B) K-ras (C) APC (D) p53
21 關於肝內膽管結石之敘述,下列何者錯誤? (A)常見於東南亞,臺灣亦是好發地區 (B)大多伴隨有膽道狹窄或感染 (C)手術須矯治相關膽道異常並清除結石,大多數病人可一次手術治癒 (D)必要時亦須考慮切除部分肝臟
22 38 歲男性,因駕轎車撞橋墩被送到急診室,到院後評估發現,血壓 100/70 mmHg,心跳 88/分,呼吸 次數 20/分,頸靜脈無怒張,無 cyanosis,呼吸音正常,胸部 X 光顯示縱膈變寬,以下何者是最可能 的診斷?(一律給分) (A)心包填塞(cardiac tamponade) (B)主動脈剝離(aortic dissection) (C)主動脈瘤破裂(ruptured aortic aneurysm) (D)心肌挫傷(myocardial contusion)
23 下列何者為造成化膿性肝膿瘍(pyogenic liver abscess)最常見之感染途徑? (A)細菌經由門脈血循環至肝臟 (B)膽道感染 (C)肝臟外傷 (D)肝臟鄰近器官受感染後,直接入侵肝臟
24 有關肝包蟲囊(Hydatid cyst of liver)之治療的敘述,下列何者錯誤? (A)以手術切除或引流為主 (B)以藥物治療如 Albendazole 可達 20%至 30%之療效 (C)某些個案可以經皮穿刺引流囊腫,達到治療之目的 (D)無症狀之囊腫,不須接受治療
25 慢性心房振顫(Atrial fibrillation)的病人,可以用下列那一種手術術式來治療,使其恢復竇律(Sinus rhythm)? (A)植入式心室振顫自動去除器(Automatic internal cardioverter defibrillator) (B)心律調整器(VVI pacemaker) (C)迷宮手術(Maze operation) (D)心房轉換手術(Atrial switch)
26 Duodenum 的 malignant lesions 中,下列何者最常見? (A) Adenocarcinoma (B) Lymphoma (C) Leiomyosarcoma (D) Metastasis
27 主動脈瓣狹窄的病人,其左心室與升主動脈心縮期壓力差在 50 mmHg,同時有下列何種症狀時,要 考慮主動脈瓣置換手術? (A)腦部栓塞症 (B)心電圖有左心室肥大的現象 (C)心絞痛 (D)心室過早收縮
28 左心房黏液瘤發生時,其腫瘤常以一短莖(Stalk)黏附於左心房的那一部位? (A)二尖瓣之瓣葉上 (B)心房中隔壁 (C)肺靜脈開口處 (D)左心耳部
29 此病人之慢性動脈阻塞性疾病,最高的狹窄位置可能在何處? (A)主動脈腸骨動脈 (B)表淺股動脈 (C)深部股動脈 (D)膝動脈
30 由於病人也訴說背痛,照了一張腰椎的 X 光片,發現有退化性骨關節炎,可能有脊椎狹窄(Spinal stenosis)的現象,由於脊椎狹窄也會造成下肢疼痛的症狀,此二者如何分別? (A)動脈阻塞造成疼痛強度大於脊椎狹窄之疼痛 (B)脊椎狹窄造成之疼痛強度大於動脈阻塞造成之疼痛 (C)脊椎狹窄造成之疼痛往往在長時間走動後發生,而動脈阻塞造成的則否 (D)脊椎狹窄所造成的疼痛和腰部姿勢改變有關,而動脈阻塞造成之疼痛則否
31 若要正確診斷同時作外科前的計畫評估,下列那種檢查最需要? (A)杜卜勒超音波檢查 (B)動脈血管攝影 (C)股動脈臂動脈壓比值(Femoro-brachial pressure ratio) (D) Plethysmography
32 此病人若接受外科手術治療,下列何項步驟不正確? (A)股動脈至膝動脈繞道手術 (B)經皮下血管擴張整形術合併血管內人工彌補物(endovascular prosthesis)之置換 (C)主動脈至兩側股動脈繞道手術 (D)腋動脈至股動脈繞道手術
33 則下列那一種疾病最可能? (A)風濕性心臟病,二尖瓣狹窄 (B)風濕性心臟病,主動脈關閉不全 (C)右心室黏液瘤 (D)冠狀動脈疾病合併二尖瓣關閉不全
34 經過一系列更精密的檢查,證明病人的心臟瓣膜有病變,但病人在一般活動時,並無症狀,只有在 比較需要用力的時候,才會覺得喘,依據紐約心臟學會,心臟功能分級,仍在第 II 級,此時最好的 建議是: (A)作冠狀動脈繞道手術 (B)開心手術將腫瘤切除 (C)最好是等到心臟功能進入第 III 級,才建議手術 (D)開心手術治療瓣膜病變
35 此病人不管是否有接受手術,為了要預防再度中風,應接受何種藥物治療? (A)抗血小板劑 (B)降血脂藥物 (C)抗凝血劑 (D)血栓溶解劑
36 目前腎臟移植的捐贈者條件已經越來越寬鬆,但一般而言,以下何者仍不建議成為捐贈者? (A) 62 歲,無特殊病史 (B) 56 歲,高血壓患者 (C) 45 歲,乳癌併肺轉移 (D) 50 歲,糖尿病患者
37 手指頭的腱鞘炎(tenosynovitis),常是因穿刺性外傷所造成,不包括何種症狀? (A)梭狀(fusiform)手指頭腫脹 (B)手指頭呈半彎曲姿勢 (C)手指頭被動伸直時不致疼痛 (D)整個曲肌腱鞘都會疼痛
38 部分皮層植皮之供皮區是靠下列所述之細胞癒合,何者除外? (A)汗腺(sweat gland) (B)毛囊(hair follicle) (C)皮脂腺(sebaceous gland) (D)脂肪細胞(lipocyte)
39 50 歲男性肝臟移植術後第七天,出現右上腹痛及輕微發燒,γ-GT、Alk-P 及 Bilirubin 有輕微上升, 最可能的原因為何? (A)肝門靜脈栓塞(Portal vein thrombosis) Cytomegalovirus (B) 感染 (C)新肝扭轉 (D)急性排斥(Acute rejection)
40 下列何者對於潛在性器捐者的腦死判定不是必須的條件? (A)能否自行呼吸測試 (B)瞳孔放大,無光反射 (C)腦波圖(EEG) (D)無新陳代謝障礙
41 下列何者不是目前所知癲癇手術的方法之一? (A)顳葉切除(temporal lobe resection) (B)胼胝體切開(corpus callosotomy) (C)迷走神經刺激術(vagus nerve stimulation) (D)迷走神經切斷術(vagus nerve transection)
42 有關以立體定位手術治療巴金森氏症之敘述,下列何者錯誤? (A)目標以視丘下核為主 (B)以深部腦刺激為主 (C)可以同時做雙側手術 (D)對顫抖症狀最無療效
43 腕隧道症候群(Carpal tunnel syndrome)之發生率,何者為正確? (A)女性多於男性 (B)男性多於女性 (C)男女比率差不多 (D)不同研究報告結果不同
44 下列何種檢查最能鑑定分辨乳房硬塊的囊腔性(Cystic)或實質性(Solid)? (A)乳房 X 光攝影(Mammography) (B)乳房溫度攝影(Thermography) (C)乳房超音波(Ultrasound) (D)乳房觸診(Palpation)
45 下列那一項是乳癌最常見之早期症狀? (A)乳房痛 (B)乳頭分泌物 (C)乳房硬塊 (D)乳頭凹陷(retraction of nipple)
46 乳癌最少發生遠處轉移的器官為: (A)肺 (B)骨骼 (C)肝 (D)心
47 有關乳房之乳突狀瘤(Papilloma)之敘述,何者正確? (A)單一個乳突狀瘤通常發生在乳部外圍小葉處(Lobular unit) (B)單一個乳突狀瘤不可能演變成乳癌 (C)乳突狀瘤通常會有血水或血樣乳頭分泌物,且是單側性發生 (D)這種瘤在顯微鏡下只可觀察到沒有上皮細胞(Epithelium)之結締組織
48 那一種甲狀腺癌,其預後極差,大部分患者於一年內死亡? (A)乳突癌 (B)濾泡癌 (C)髓質癌 (D)未分化型癌
49 下列何種檢查對診斷嬰幼兒的膽道閉鎖最沒有幫忙? (A)經皮穿肝膽道攝影(percutaneous transhepatic cholangiography) (B)肝切片(liver biopsy) (C)腹部超音波(abdominal sonography) (D)核醫 Tc99m IDA 掃描
50 Beckwith-Wiedemann syndrome 可能合併何種腫瘤? (A) lymphoma (B) neuroblastoma (C) Wilms’ tumor (D) hepatoblastoma
51 下列何者不是 Prune-belly syndrome 的症狀? (A)下腹肌肉鬆弛 (B)泌尿道擴張 (C)隱睪 (D)結腸擴張
52 在右上腹觸摸到長形(香腸狀)硬塊是那一疾病的特徵? (A)水腎 (B)膽管囊腫 (C)肥大性幽門狹窄 (D)腸套疊
53 未轉移之橫紋肌肉瘤(rhabdomyosarcoma)如果沒有完全切除,其腫瘤將被分為第幾期? (A) I (B) II (C) III (D) IV
54 有一新生兒發生腸阻塞,腹部 X 光發現腹內有鈣化現象,則下列何者是最可能的解釋? (A)腹內有出血 (B)腹內腫瘤且有壞死 (C)胎兒時有小腸穿孔 (D)結石造成腸阻塞
55 一位 50 歲男性,因幾天來發現解大便後,在擦拭肛門的衛生紙上有血,但並無其他症狀,家族中也 沒有大腸直腸癌的病例,所以至門診接受檢查。Hb15 g/dL、stool OB(+),肛門鏡檢查發現有內痔但 未見出血,經安排大腸鏡檢查,發現在乙狀結腸有一個 1.2 公分左右的可動性 semisessile 息肉,表面 有部分不平整,則該如何處理? (A)只作切片再觀察就夠 (B)觀察即可 (C)直接安排開腹手術 (D)先作內視鏡息肉切除再議
56 年老女性發生肱骨頸部骨折時的敘述,何者正確? (A)骨質疏鬆症病患很罕見 (B)遠端骨折塊嵌入近端斷塊的情形很罕見 (C)骨折不癒合(Nonunion)很罕見 (D)肩部僵硬的情形很罕見
57 最常引起骨增生性之轉移性癌症是: (A)大腸癌 (B)前列腺癌 (C)腎細胞癌 (D)肝癌
58 一位 68 歲女性因為左側退化性膝關節炎入院,準備明天接受人工膝關節置換手術,你正好是今天負 責診視這位病患的值班醫師,請問下列那個處置在這位病患而言是正確的? (A)應標示手術部位,並且協助病人將腿毛剃除,以降低傷口感染率 (B)應儘速投予預防性抗生素,以減低感染率 (C)應審視病患與各項檢查結果,判斷病患病情是否改變、不適合接受手術 (D)應給予安眠藥或鎮靜劑,以免因恐慌而延誤手術
59 新生兒斜頸(Torticollis)常伴隨下列那種關節的異常? (A)肩關節 (B)肘關節 (C)髖關節 (D)膝關節
60 下列有關單發性內生軟骨瘤(Single enchondroma)的敘述,何者正確? (A)最常發病部位為股骨和肱骨 (B)病灶部位的骨髓腔會膨大,皮質骨會增厚 (C)腫瘤細胞分裂增長快速 (D)少數病患會發生惡性變化,形成軟骨肉瘤
61 頸椎最容易發生椎間盤退化性病變的位置在: (A) C 3-4 (B) C 4-5 (C) C 5-6 (D) C 6-7
62 生長很快速的惡性骨骼腫瘤,經常: (A)引發骨膜形成大量反應性骨骼 (B)出現骨髓腔內骨骼增生 (C)引起病理性骨折 (D)須施行截肢治療
63 一位籃球選手上籃時被犯規,跌到地上時,用右手撐地,結果造成尺骨近端骨折合併「橈骨頭」骨 折脫臼,在急診室經過骨科醫師施行閉鎖性復位後,檢查發現在腕關節也有脫臼的現象,請問造成 這種所謂 Essex-Lopresti 病灶的原因,最有可能是什麼構造被破壞? (A)環狀韌帶破裂 (B)腕關節之三角韌帶撕裂 (C)橈、尺骨之間的骨間膜撕裂 (D)腕關節之舟狀骨骨折
64 下列何者與膀胱癌細胞分化(grade)無密切關聯? (A)腫瘤侵犯之頻率 (B)腫瘤大小 (C)腫瘤復發之頻率 (D)腫瘤轉移之機會
65 40 歲女性罹患混合型尿失禁(mixed incontinence),病人主訴急迫性尿失禁的程度比應力性尿失禁 嚴重,初步的治療選擇應該是: (A)使用甲型交感神經拮抗劑(α-adrenergic antagonist) (B)膠原蛋白(collagen)注射於尿道 (C)施行恥骨陰道吊帶術(pubovaginal sling),因為此手術是治療混合型尿失禁最理想的手術方法 (D)修正飲水習慣,並教導與鼓勵做骨盆底肌運動
66 年輕男性的攝護腺,其中所占比例最多的是: (A)移行區(transition zone) (B)周邊區(peripheral zone) (C)中央區(central zone) (D)精阜及輸精管(verumontanum and ejaculatory duct)
67 下列有關攝護腺癌(adenocarcinoma of prostate)的診斷,何者錯誤? (A)早期大多數沒有症狀 (B)良性攝護腺肥大(BPH)手術後,仍可能發生攝護腺癌 (C)核磁共振造影(MRI)是目前診斷攝護腺癌最準確的方法 (D) 50 歲以上男性應每年定期作肛門指診,合併血清攝護腺特定抗原(PSA)偵測
68 (A)陰囊電腦斷層 (B)睪丸彩色杜卜勒超音波(Color Doppler sonography) (C)提睪肌反射(cremasteric reflex)檢測 (D)陰囊核磁共振檢查
69 承上題,若無法排除為急性睪丸扭轉(testicular torsion),且已發作約 4 小時,此時最適當之處置為何? (A)即刻手術由鼠蹊部切口將患側睪丸切除 (B)先行靜脈注射抗生素治療待退燒後再處置 (C)即刻手術由陰囊將患側睪丸復位固定 (D)即刻手術探查將患側睪丸復位固定,且亦將對側睪丸作預防性固定手術
70 下列有關尿路感染的敘述何者錯誤? (A)最常見的致病菌是 O 血清型大腸菌(O-serogroups (E) coli) (B)腎盂腎炎最常見的感染途徑是膀胱內細菌經輸尿管至腎臟 (C)尿液分析是快速篩檢尿路感染的方法 (D)尿液細菌培養出細菌,即可確定尿路感染
71 男性更年期(Male Climacterics)血中的那一種數值會上升? (A) Free testosterone (B) Sex hormone binding globulin(SHBG) (C) Dehydroepiandrosterone(DHEA) (D) Total testosterone
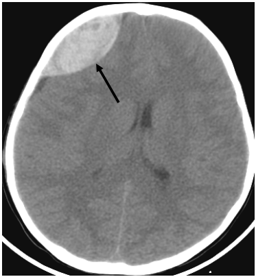
72 頭部外傷患者,緊急電腦斷層攝影的影像如附圖,箭頭所指的是:
(A)急性硬腦膜上腔血腫(acute epidural hematoma) (B)急性硬腦膜下腔血腫(acute subdural hematoma) (C)慢性硬腦膜下腔血腫(chronic subdural hematoma) (D)腦挫傷之出血(contusion hemorrhage)
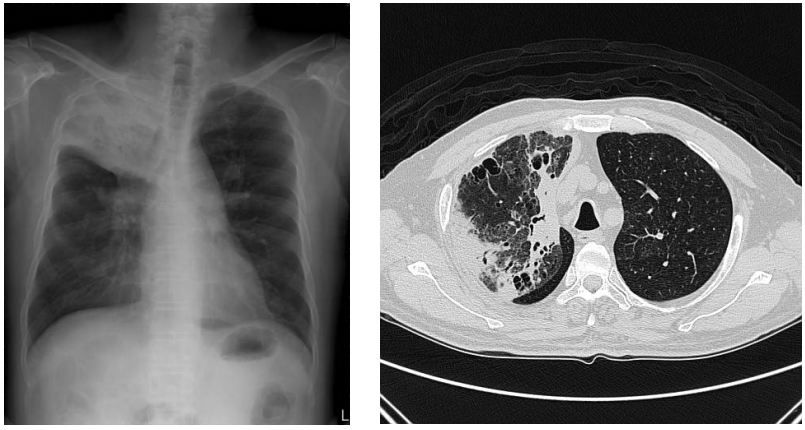
73 56 歲男性抽菸病人,主訴胸痛和咳嗽,胸部影像如附圖,則最可能的診斷為下列何者?
(A)右肋膜積液 (B)右肺擴張不全(Atelectasis) (C)前縱膈腔腫瘤(Anterior mediastinal tumor) (D)右肺上葉肺炎(Lobar pneumonia)
74 附圖心臟 CT 影像重組中箭頭所指為下列何者?
(A)冠狀靜脈竇(Coronary sinus) (B)左前降動脈 (C)左迴旋動脈 (D)右冠狀動脈
75 一位 6 歲孩童過馬路時不慎遭到休旅車以 30 公里/小時速度撞上,下列敘述何者正確? (A)連枷胸(flail chest)發生可能性很高 (B)心肌挫傷的症狀通常會發生 (C)肋骨骨折好發於這個年齡層的孩童 (D)沒有發生肋骨骨折並不能排除肺部挫傷的機會
76 腕隧道症候群(Carpal tunnel syndrome)是何種神經之壓迫症狀? (A)橈神經(radial nerve) (B)尺神經(ulnar nerve) (C)正中神經(median nerve) (D)骨間神經(interosseous nerve)
77 一位意識不清之頭部外傷患者送達急診,血壓 85/55 mmHg,呼吸每分鐘 30 下,心跳每分鐘 120 下, 下列緊急處置何者錯誤? (A)緊急進行氣管插管 (B)立即給予 2000 mL 乳酸林格式液 (C)床邊腹部超音波檢查 (D)只能使用升壓劑來維持腦部灌流
78 85 歲的朱先生已罹患失智症多年,最近因腹膜炎接受緊急手術。術後併發急性呼吸衰竭住進加護病 房。由於朱先生的情況十分危急,雖然主治醫師和住院醫師都非常用心診治,朱先生隨時有心肺功 能終止的可能。於是主治醫師請住院醫師向家屬說明朱先生的情況並請家屬考慮簽署不予施行心肺 復甦術(CPR)的同意書。在向家屬說明及溝通之前,下列何者是主治醫師和住院醫師必須最先確 認的狀況? (A)朱先生有無預立相關意願書 (B)家屬能了解朱先生的意願 (C)醫師的建議並無利益衝突 (D)朱先生家屬的意願
79 大維因車禍昏迷不醒至今已三年多,其同卵雙胞胎弟弟國明因上星期發生猛爆性肝炎而危在旦夕。 雖然大維的肝功能正常且與國明有相同基因,但醫師並沒有提出要摘取大維肝臟來救國明的建議。 在倫理上,下列各項中何者是醫師不提這項建議最為重要的理由? (A)國明並未同意接受大維的捐贈 (B)為免大維的父母陷入兩難選擇 (C)成功機率過低而不應貿然提出 (D)大維無法同意捐贈肝臟給國明
80 今年 32 歲的李小姐因下腹痛接受腹腔鏡探查(diagnostic laparoscopy),術中發現有多發性子宮肌瘤 (multiple uterine myomata),應進行子宮切除術。但主治醫師沒有在同一次麻醉中立即為李小姐切 除子宮,醫師考量最主要的依據為下列何者? (A)延長手術時間風險增加 (B)未在當日手術排程之中 (C)沒有進行充分知情同意 (D)影響醫療資源公平分配
申論題 (0)
相關試卷
115年 - 115-1 專技高考_醫師(二):醫學(五)(包括外科、骨科、泌尿科等科目及其相關臨床實例與醫學倫理)#137338
115年 · #137338
114年 - 114-2 專技高考_醫師(二):醫學(五)(包括外科、骨科、泌尿科等科目及其相關臨床實例與醫學倫理)#127923
114年 · #127923
114年 - 114-1 專技高考_醫師(二):醫學(五)(包括外科、骨科、泌尿科等科目及其相關臨床實例與醫學倫理)#125088
114年 · #125088
113年 - 113-2 專技高考_醫師(二):醫學(五)(包括外科、骨科、泌尿科等科目及其相關臨床實例與醫學倫理)#120655
113年 · #120655
113年 - 113-1 專技高考_醫師(二):醫學(五)(包括外科、骨科、泌尿科等科目及其相關臨床實例與醫學倫理)#118719
113年 · #118719
112年 - 112-2 專技高考_醫師(二):醫學(五)(包括外科、骨科、泌尿科等科目及其相關臨床實例與醫學倫理)#114977
112年 · #114977
112年 - 112-1 專技高考_醫師(二):醫學(五)(包括外科、骨科、泌尿科等科目及其相關臨床實例與醫學倫理)#113148
112年 · #113148
111年 - 111-2 專技高考_醫師(二):醫學(五)(包括外科、骨科、泌尿科等科目及其相關臨床實例與醫學倫理)#108727
111年 · #108727
111年 - 111-1 專技高考_醫師(二):醫學(五)(包括外科、骨科、泌尿科等科目及其相關臨床實例與醫學倫理)#106181
111年 · #106181
110年 - 110-2 專技高考_醫師(二):醫學(五)(包括外科、骨科、泌尿科等科目及其相關臨床實例與醫學倫理)#99917
110年 · #99917