所屬科目:醫學五:80題 ( 包括外科,骨科,泌尿科等科目及其相關臨床實例與醫學倫理 )
10.有關附圖之電腦斷層血管攝影影像,下列敘述何者正確?(A)建議服用抗血小板藥物,防止血栓產生進一步造成腦血管梗塞 (B)此為顱內動脈瘤好發的位置之一 (C)此影像顯示為中大腦動脈動脈瘤 (D)影像中可以看出此動脈瘤已破裂
46.2個月大男嬰因發高燒入院治療,檢查發現泌尿道感染合併菌血症及腦膜炎,經抗生素治療3天後發燒逐漸緩解,腎臟超音波發現兩側水腎,遂安排voiding cystourethrogram,檢查結果如圖所示,應診斷為:(A)雙側膀胱輸尿管逆流(bilateral vesicoureteral reflux),grade II (B)雙側膀胱輸尿管逆流(bilateral vesicoureteral reflux),grade III (C)雙側膀胱輸尿管逆流(bilateral vesicoureteral reflux),grade IV (D)雙側膀胱輸尿管逆流(bilateral vesicoureteral reflux),grade V
49.承上題,診斷確定後,即將無神經節的腸段切除,再將有神經節的腸段拉下(如圖),與遠端肛門口做端對端接合,是下列何種術式?(A)Swenson procedure (B)Soave procedure (C)Duhamel procedure (D)Sistrunk procedure
50.74歲楊女士這一星期來左下腹疼痛越來越厲害到急診求診,其過去病史有糖尿病、高血壓病及大腸憩室炎;急診的生命徵象穩定,但體溫為38.5℃;其他的臨床症狀包括食慾變差(anorexia)、噁心(nausea)及有腹 瀉(diarrhea)的情況。理學檢查發現左下腹疑似有摸到硬塊且有壓痛合併局部性的腹膜炎(localized peritonitis)之情形,抽血檢查發現WBC:19,310/mm3,neutrophil:86.1%,CRP:196 mg/L,腹部的電腦斷 層如附圖,則最可能的診斷為何?(A)缺血性腸壞死(ischemic bowel) (B)乙狀結腸腸扭轉(volvulus) (C)乙狀結腸憩室炎破裂併膿瘍(ruptured sigmoid diverticulitis with abscess) (D)空腸腸繫膜膿瘍(jejunal mesenteric abscess)
61. 一位大學生跌倒右手撐地後一個月,手腕仍持續有疼痛的感覺,觸痛的位置如圖箭頭所示,最可能是那個腕骨骨折? (A)豆狀骨(pisiform) (B)舟狀骨(scaphoid) (C)月狀骨(lunate) (D)鈎狀骨(hamate)
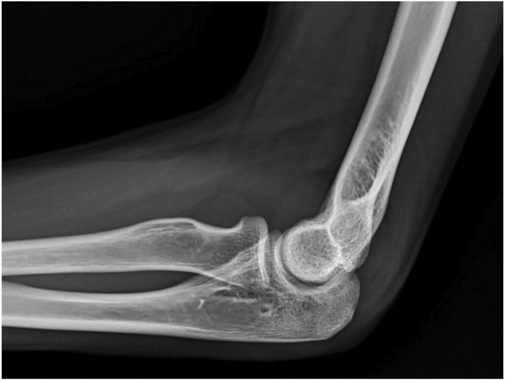
72.病人跌倒後被送到急診室,左手肘劇烈疼痛且無法活動。他的左手肘X光片側面照的影像如圖所示,下列敘述何者最恰當?(A)可明顯發現肱骨(humerus)骨折 (B)可明顯發現橈骨(radius)骨折 (C)生長板(growth plate)尚未癒合 (D)可明顯發現關節積液(joint effusion)
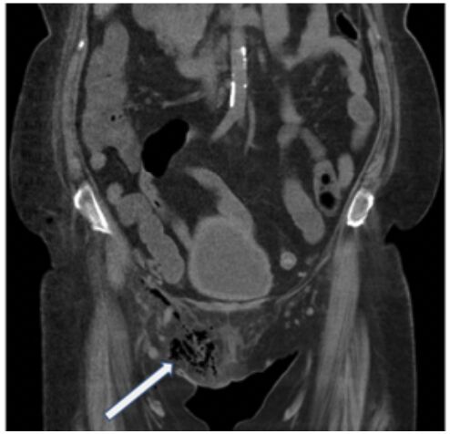
73.糖尿病病患主訴會陰部紅腫脹痛,血液中白血球數目增加,電腦斷層檢查呈現如圖。箭號所指之異常最可能之初診斷為下列何者? (A)inguinal hernia (B)femoral hernia (C)obturator hernia (D)Fournier's gangrene
74.45歲女性因飯後右上腹部不適到醫院求診,腹部X光片顯示病變如圖。此病人最可能之初診斷為下列何者?
(A)膽結石(gallbladder stones) (B)總膽管內嵌塞結石(common bile duct impacted stones) (C)腎結核病(renal tuberculosis) (D)腎結石(renal stones)