阿摩線上測驗
登入
首頁
>
醫學三:80題 ( 包括內科,家庭醫學科等科目及其相關臨床實例與醫學倫理 )
> 101年 - 101-1 專技高考_醫師(二):醫學(三)(包括內科、家庭醫學科等科目及其相關臨床實例與醫學倫理)#36946
101年 - 101-1 專技高考_醫師(二):醫學(三)(包括內科、家庭醫學科等科目及其相關臨床實例與醫學倫理)#36946
科目:
醫學三:80題 ( 包括內科,家庭醫學科等科目及其相關臨床實例與醫學倫理 ) |
年份:
101年 |
選擇題數:
80 |
申論題數:
0
試卷資訊
所屬科目:
醫學三:80題 ( 包括內科,家庭醫學科等科目及其相關臨床實例與醫學倫理 )
選擇題 (80)
1 (A)心室中隔缺損(ventricular septal defect) (B)心房中隔缺損(atrial septal defect) (C)開放性動脈導管(patent ductus arteriosus) (D)主動脈狹窄(coarctation of the aorta)
2 承上題,下列那一項是該疾病造成第二心音分裂的原因? (A)因右心出路血流增加,肺動脈瓣延後關閉 (B)因右心出路血流減少,肺動脈瓣提早關閉 (C)因左心出路血流增加,主動脈瓣延後關閉 (D)因左心出路血流減少,主動脈瓣提早關閉
3 下列有關心室肌細胞之離子電流及動作電位之關係的敘述,何者錯誤? (A)第零期去極化,主要之離子電流為鈉離子流 (B)第二期(高原期),主要之離子電流為鈣離子流 (C)第三期再極化,主要之離子電流為鉀離子流 (D)第四期,主要之離子電流為鈣離子流
4 一位 56 歲男性高血壓、糖尿病病人,腎臟功能 creatinine 1.6 mg/dL,治療前血壓為 170/100 mmHg。此 病人血壓長期控制的最佳目標為何? (A)<130/80 mmHg (B) 150-160/90-95 mmHg (C)<140/90 mmHg (D)<140/85 mmHg
5 關於右心室梗塞,下列敘述何者錯誤? (A)約占下壁心肌梗塞患者之三分之一 (B)常合併低血壓 (C)心電圖 ST 節段變化發生於右胸導程 (D)因合併右心室衰竭,須使用利尿劑及限制水分攝取
6 在下列何種疾病會聽到全收縮期雜音(holo-systolic murmur)? (A)心房中隔缺損(atrial septal defect) (B)心室中隔缺損(ventricular septal defect) (C)肺動脈瓣狹窄(pulmonary stenosis) (D)開放性動脈導管(patent ductus arteriosus)
7 下列何者不會增加阻塞型肥厚性心肌症之左心出路阻塞? (A)增加心臟收縮力 (B)減低左心室後負荷(afterload) (C)減低左心室前負荷(preload) (D)蹲下動作
8 有關 Renovascular hypertension,下列敘述何者錯誤? (A)導致 ischemic kidney 分泌 renin 過高 (B)只發生在年輕患者 (C)有些病人在腹部可聽到血管雜音(bruit) (D)兩側 renal artery stenosis,應禁用 angiotensin converting enzyme inhibitors(ACEI)控制血壓
9 有關典型心絞痛(angina pectoris)之敘述,下列何者最不適當? (A)通常胸痛持續約 2 至 5 分鐘,其不適感可投射到肩部或上肢 (B)胸痛亦可能投射至後背、下頜(jaw)及頸部 (C)心絞痛常可投射至斜方肌(trapezius muscle) (D)心絞痛很少發生於肚臍下區域
10 下列何者不是心導管介入性治療急性冠狀動脈症候群之短程目標? (A)及早完成梗塞相關血管之再灌流以防止梗塞範圍擴大 (B)預防死亡與其他併發症 (C)預防冠狀動脈再阻塞 (D)同時治療非梗塞相關血管之狹窄以避免殘存之缺氧發生
11 有關蜘蛛痣(spider angioma)的敘述,下列何者錯誤? (A)可發生於急性肝病 (B)可發生於懷孕婦女 (C)是一種小靜脈 (D)常見於上半身
12 下列何者不是肝腦病變(hepatic encephalopathy)的誘發因素? (A)感染 (B)高蛋白飲食 (C)低血鉀 (D)靜脈注射支鏈氨基酸(branch-chained amino acid)溶液
13 關於非酒精性脂肪肝病(Non-alcoholic fatty liver disease),下列何者錯誤? (A)非酒精性脂肪肝病涵蓋單純脂肪變性(simple steatosis)、非酒精性脂性肝炎(Nonalcoholic steatohepatitis)、纖維化甚至於肝硬化等不同嚴重程度的肝傷害 (B)目前認為胰島素抗性是造成非酒精性脂肪肝病首要且必須的因素 (C)非酒精性脂肪肝病、第一型糖尿病、中厚(臟器)型肥胖、高脂血症與高血壓都是胰島素抗性症 候群(Insulin resistance syndrome)的表現 (D)多數非酒精性脂肪肝病患者其 AST/ALT 比值小於 1
14 下列有關抗生素相關大腸炎(antibiotic-associated colitis)的敘述,何者錯誤? (A)偽膜性大腸炎(pseudomembranous colitis)最為常見,大部分在遠側大腸、直腸出現 (B)主要因 Clostridium difficile 細菌增生造成 (C)治療可用 metronidazole 或 vancomycin,但 vancomycin 儘可能口服給藥 (D)病人因原來就在接受抗生素治療,因此白血球不會上升,也不會發燒
15 下列有關膽結石的敘述何者錯誤? (A)有症狀或曾經發生過膽石症的併發症者,最好接受膽囊切除術 (B) ursodeoxycholic acid 無法治療 pigment stone (C)肝硬化患者易罹患 cholesterol stone (D)超過 15 年以上皆無症狀發生的膽結石患者,以後發生症狀可能性很低
16 下列有關大腸憩室症(diverticulosis)的敘述,何者錯誤? (A)大腸鏡檢查診斷最佳,大腸鋇劑造影檢查診斷率很低 (B)歐美地區憩室出現在左(下)側大腸最多,一旦憩室發炎,甚至有“左側闌尾炎"之別稱 (C)有憩室症的患者,建議高纖維飲食,避免便秘 (D)大部分憩室是沒症狀的,最常見的併發症是出血及憩室炎
17 下列有關中毒性巨腸症(toxic megacolon)的敘述,何者錯誤? (A)它是潰瘍性大腸炎的一種罕見併發症(<2%),有穿孔的危險 (B)腹部 X 光片中,可見大腸脹大至直徑 6 公分以上 (C)症狀如 48 至 72 小時仍未改善,需考慮手術以防穿孔 (D)置入鼻胃管對病人無幫助,因氣脹是在大腸下端
18 一位 45 歲婦人因急性上腹疼痛,被送至急診室,發現其腹痛會傳到背後,實驗室檢查發現 Amylase 2680 U/L;Lipase 4860 U/L,對於此婦女的處理,下列敘述何者最適當? (A)胃鏡對其上腹痛之診斷是必要的 (B)腹部超音波可幫助其診斷 (C)應給予 morphine 止痛 (D)要立刻安排 ERCP 加以診斷兼治療
19 下列那一項治療在減緩慢性腎衰竭的進行速率上,沒有效果? (A)服用 ACEI(Angiotensin converting enzyme inhibitors)或 ARB(Angiotensin receptor blockers)來治 療高血壓 (B)糖尿病患者嚴格控制血糖,維持 HbA1C<7% (C)服用 Kayexalate (D)低蛋白飲食
20 肝癌之篩檢(screening)以下列那些項目最佳? (A)鹼性磷酸鹽酵素(alkaline phosphatase)、腹部超音波 (B)胎兒蛋白、腹部超音波 (C)膽紅素、腹部超音波 (D)氨基丙酸氨基轉移(alanine aminotransferase, ALT)、腹部超音波
複選題
21 關於成人型多囊性腎(Adult polycystic kidney disease)之敘述,下列何者錯誤? (A)為性聯遺傳病 (B)常伴有高血壓 (C) 1/10 病人會發生蜘蛛網膜下出血(Subarachnoid hemorrhage) (D)囊腫可見於其他器官,如肝、脾、胰等
複選題
22 有關抗利尿激素分泌不當症候群(syndrome of inappropriate secretion of ADH)的敘述,下列何者錯 誤? (A)診斷必須排除腎上腺或甲狀腺功能不足 (B)通常是某些疾病的併發症,如肺結核、肺癌等 (C)病人出現低鈉血症,是由於體液過多所致 (D)病人的尿液鈉濃度通常大於 10 mmol/L,且滲透壓大於 100 mOsm/kgH2O
23 下列何者不是造成高血鉀(hyperkalemia)之原因? (A)急性腎衰竭(acute renal failure) (B)慢性腎衰竭(chronic renal failure) (C)橫紋肌溶解症(rhabdomyolysis) (D)代謝性鹼中毒(metabolic alkalosis)
24 減緩糖尿病腎病變(diabetic nephropathy)腎衰竭之進行,最好的降血壓藥是那一種? (A)利尿劑(diuretics) (B) α-交感神經阻斷劑(α-sympathetic blockers) (C)血管張力素接受體阻斷劑(angiotensin receptor blockers) (D)鈣離子管道阻斷劑(calcium channel blockers)
25 下列何者會導致高血壓合併低腎素(renin)? (A)腎動脈高血壓 (B)惡性高血壓 (C)本態性高血壓 (D)原發性皮質醛酮症(Primary aldosteronism)
26 一位 32 歲女性病人主訴最近 3 個月手指遇冷水或生氣時膚色便會轉為蒼白色,同時覺得有些吞嚥困 難,且半夜時常胃酸逆流到嘴裡。2 星期前,開始時常乾咳,且稍微運動便覺得喘。下列的檢查,那 項最不必要? (A)運動心電圖 (B)心臟超音波 (C)胸部 X 光 (D)肺功能檢查
27 一位 54 歲婦女主訴兩側下肢無力,無法從椅子站起已 2 個月;最近梳頭髮也覺得有些困難。同時,喝水也常嗆到咳嗽不已。理學檢查發現兩側肢體近端肌肉(proximal muscles)力量為第三級(grade Ⅲ),理學檢查感覺(sensation)正常,抽血檢驗發現其肌肉酵素 CK 值高達 5410 units/L,下列那一項實驗室檢查最不具診斷價值?(A)肌電圖(B)測 Anti-histidyl-transfer-RNA synthetase 抗體(C)肌肉病理切片(D)四肢神經傳導速度檢測
28 關於 HLA-B27 與僵直性脊椎炎之相關敘述,那一項正確? (A)診斷僵直性脊椎炎,做 HLA-B27 之檢查是必要的 (B)約 7 成左右的僵直性脊椎炎病人其 HLA-B27 是陽性的 (C) HLA-B27 陽性的病人約 4 成左右日後會罹患僵直性脊椎炎 (D)一般而言,女性較少罹患僵直性脊椎炎;且預後較男性病人好,較少嚴重駝背
29 下列何種自體抗體與 lupus nephritis 最有相關? (A) Anti-RNP (B) Anti-dsDNA (C) Anti-SS-A/Ro (D) Anti-ribosomal P
30 Anti-neutrophil cytoplasmic antibodies 最常出現在那種疾病? (A) Wegener’s granulomatosis (B) Behçet’s disease (C) Rheumatoid arthritis (D) Sjögren’s syndrome
31 下列何者不是大腸直腸癌之危險因子? (A)高動物性脂肪飲食 (B)發炎性腸道疾病(Inflammatory bowel disease) (C)大腸息肉症(polyposis coli) (D)荷爾蒙補充療法(Hormone replacement therapy)
32 全身性硬化症(systemic sclerosis)的最常見初發症狀為: (A) Raynaud’s phenomenon (B) Skin thickening (C) Dysphagia (D) Exertional dyspnea
33 一位 35 歲婦女,無全身性疾患,4 年前體檢時血紅素值為 13 g/dL,MCV 為 90 fL。但今年體檢發現周 邊血液中血紅素為 11 g/dL,MCV 為 65 fL,白血球及血小板數正常。此婦女最可能有什麼病? (A)海洋性貧血 (B)再生不良性貧血 (C) Vit B12缺乏性貧血 (D)缺鐵性貧血
34 下列有關惡性貧血(pernicious anemia)病人的敘述,何者錯誤? (A)由於 Vit B12攝取不足造成 (B)網狀紅血球降低 (C)間接膽紅素(indirect bilirubin)升高 (D)可出現神經學症狀
35 有關女性之敘述,下列何者最不正確? (A)在停經後許多疾病之發生率會增加 (B)造成女性死亡最常見的疾病包括惡性腫瘤、心血管疾病及腦血管疾病 (C)成年婦女最擔心得到乳癌 (D)年紀大於 85 歲的女性最可能死於乳癌
36 腎病症候群(Nephrotic Syndrome)和下列何種癌症最有關聯? (A)腎臟細胞癌 (B)何杰金氏淋巴癌 (C)大腸癌 (D)肺癌
37 下列何項不是 cyclophosphamide 常見的副作用? (A)抑制骨髓 (B)出血性膀胱炎 (C)周邊神經病變 (D)噁心嘔吐
38 根據學理與最近的研究,下列腫瘤中何者是人類乳突病毒陽性率最高的腫瘤? (A)鼻腔癌 (B)口咽癌 (C)下咽癌 (D)喉癌
39 一位 70 歲患者因罹患肺結核而使用抗結核藥物,下列何種抗結核藥物,不會引起肝炎副作用? (A) Isoniazid (B) Rifampin (C) Ethambutol (D) Pyrazinamide
40 一位 20 歲男性患者,因氣喘急性發作後有持續性胸骨下胸痛之情形,身體檢查發現肺部聽診兩側有吐 氣時之喘鳴聲,觸診時可發現胸前有輕度皮下氣腫之情形。患者最可能有下列何種情況? (A)左側氣胸 (B)縱膈腔氣腫(pneumomediastinum) (C)狹心症 (D)肋膜腔積水
41 一位 50 歲男性患者,因持續性左胸痛 2 天而前來就診,其左胸痛隨患者深吸氣而更痛,患者最有可能 罹患下列何種疾病? (A)結核性肋膜炎 (B)心肌梗塞 (C)撕裂性主動脈瘤 (D)間質性肺病
42 呼吸衰竭表現為低血氧、且無二氧化碳滯留時,且胸部 X 光片無明顯肺浸潤現象,則臨床上須考慮 為何種病變? (A)呼吸中樞病變 (B)呼吸幫浦病變 (C)重度慢性阻塞性肺病變 (D)肺血管病變
43 一位 84 歲男性病患,過去曾在金礦坑內工作長達 30 年,6 個星期前因為咳嗽加劇、黃痰,及下午發 燒送醫,痰液抹片檢查發現 AFB(Acid-fast bacilli)(+++),醫生當時開立第一線治療之標準四種抗結 核藥物。如今結核菌培養呈現 MDR(multidrug resistant)TB,檢驗結果顯示對下列那些藥物產生抗藥 性? (A) Rifampin+Isoniazid (B) Rifampin+Isoniazid+Ethambutol (C) Isoniazid+Ethambutol (D) Isoniazid+Pyrazinamide
44 對於氣喘治療之敘述,下列何者錯誤? (A)吸入支氣管擴張劑,比口服用藥較少副作用 (B)茶鹼(theophylline)之支氣管擴張作用,比刺激交感神經的支氣管擴張效果要強 (C)類固醇是最有效且最強的抗炎藥物 (D)吸入抗副交感支氣管擴張劑,是副作用最少,但作用較慢之支氣管擴張藥物
45 下列那一種狀況最可能造成低血鈣? (A)急性胰臟炎 (B)維生素 D 中毒 (C)甲狀腺功能亢進 (D)長期臥床
46 下列那一項檢查結果最符合 Primary aldosteronism 的診斷? (A)尿液 pH 值偏酸性 (B)血鉀濃度增加 (C)舒張性高血壓(diastolic hypertension),但無水腫 (D)站立時,腎素(renin)的分泌增加 代號:1102 頁次:8-5
47 下列那一種口服降血糖藥物的作用機轉是刺激胰島素分泌? (A) Metformin (B) Acarbose (C) Pioglitazone (D) Repaglinide
48 下列何者不是顯影劑(contrast media)引致急性腎衰竭的危險因子? (A)脫水 (B)糖尿病腎病變 (C)高劑量顯影劑 (D)肥胖症
49 心絞痛病人使用硝酸鹽(Nitrate)、交感神經乙型阻斷劑(Beta blocker)和鈣離子阻斷劑後,若仍 有心絞痛,下列何種處置不適當? (A)打開鉀離子通道藥物(Potassium channel opener) (B)非類固醇類抑制發炎藥物(Nonsteroidal anti-inflammatory drugs) (C)心導管介入性診療 (D)使用血管張力素轉換抑制劑(Angiotensin-converting enzyme inhibitors)於有糖尿病合併症病人
50 下列那一項不是造成繼發性副甲狀腺功能亢進的主要原因? (A) 1,25(OH)2 Vit D3製造減少 (B)低血鈣 (C)高血磷 (D)低血鈉
51 嚴重主動脈瓣膜閉鎖不全病患在身體檢查時會有許多徵象(signs),下列何者錯誤? (A)指甲之甲床上可見脈搏之搏動(Quincke’s pulse) (B)股動脈用聽診器可聽見“pistol-shot"聲音(Traube’s sign) (C)聽診時可聽到舒張期如風吹的心雜音,躺著比坐著容易聽見 (D)少數情況,主動脈瓣膜閉鎖不全的血液在心舒張期會影響到二尖瓣(僧帽瓣)前葉的打開,因此 會產生類似二尖瓣狹窄的舒張期心雜音,稱為 Austin Flint murmur
52 當醫師判斷一個病人的預後極差而死亡終究無法避免時,下列何種處置最不正確? (A)在向病人解說前,醫師應思考該告訴病人及家屬什麼內容 (B)醫師應立即將所有的相關病情告知病人,以免日後引發醫療糾紛 (C)醫師應思考該用什麼方法來延續病人的生命及維持其生活品質 (D)在向病人解說後,醫師應讓病人有足夠的時間與醫師交談及提問
53 下列何者不包括在美國醫學研究院所訂的醫療品質六大目標之中? (A)病患安全(Patient safety) (B)有效(Effectiveness) (C)便利(Convenience) (D)平等(Equity)
54 下列何者最不可能誘發肺栓塞(pulmonary embolism)? (A)病人接受膝關節置換手術 (B)癌症 (C)心臟衰竭 (D)高膽固醇血症
55 下列身體對血糖下降的反應,何者最先發生? (A)胰島素分泌減少 (B)昇糖素分泌增加 (C)低血糖症狀 (D)認知(cognition)力變差
56 診斷嗜鉻細胞瘤的方法中,下列何者最可靠? (A) urine VMA (B) urine catecholamine (C) plasma catecholamine (D) plasma metanephrine
57 對於篩檢常見內分泌疾病之措施,何者錯誤? (A)甲狀腺低能症-測 TSH (B)多囊泡卵巢症-測 estradiol、progesterone (C)勃起失能-測乳促素、睪固酮 (D)葛雷瑞夫氏症-測 Free T4、TSH
58 下列何者不是鐵質沈著症之臨床表現? (A)肝臟腫大 (B)皮膚黑色素沈著過多 (C)血糖過高 (D)性腺功能過高
59 下列那一種口服降血糖藥物可能引起鬱血性心臟衰竭? (A) Metformin (B) Acarbose (C) Rosiglitazone (D) Glibenclamide
60 化膿性肝膿瘍在臺灣地區,以下列何種致病菌為最常見? (A) Escherichia coli (B) Klebsiella pneumoniae (C) Anaerobic bacteria (D) Streptococci
61 下列有關恙蟲病(Scrub typhus)的敘述,何者錯誤? (A)致病菌為 Rickettsia rickettsii (B)潛伏期約 6-21 天,臺灣以東部以及離島地區較常見 (C)臨床症狀的表現為發燒、頭痛、肌肉酸痛,部分病人皮膚會有 eschar lesion (D)可用 tetracycline 類的藥物治療 代號:1102 頁次:8-6
62 健康男性因社區感染肺炎住院,痰液濃稠且顯微鏡檢查顯示有許多多核白血球及細胞內成對的格蘭 氏陽性球菌,痰液培養結果只有正常菌叢(normal flora),則最可能的致病菌是下列那一項: (A) Legionella pneumophila (B) Streptococcus pneumoniae (C) Staphylococcus aureus (D) Enterococcus faecalis
63 感染性心內膜炎之診斷標準中,下列那一項符合 Duke criteria 之 major criteria? (A)血液培養二套皆為 E coli (B)血液培養二套皆為 Acinetobacter spp. (C)血液培養二套皆為 Klebsiella pneumoniae (D)血液培養二套皆為 Streptococcus bovis
64 下列關於 Legionella pneumophila 引起的非典型肺炎的敘述,何者正確? (A)主要發生在青少年 (B)主要是由人傳人 (C)此菌之來源是水 (D)首選藥物是第三代 cephalosporin
65 對於嚴重之 asthma 可以使用 MDI 的 combination therapy,下列何種 combination 最為適當? (A) short-acting β-agonist+anti-cholinergics (B) long-acting β-agonist+anti-cholinergics (C) short-acting β-agonist+corticosteroids (D) long-acting β-agonist+corticosteroids
66 一位 56 歲的家庭主婦,育有兩男一女,無流產病史。40 歲時因為子宮肌瘤導致經血過多引起貧血症 狀,與婦產科醫師討論過後,開刀將子宮切除,但保留兩側卵巢。52 歲左右時開始有臉潮紅、心悸、 失眠等症狀,診斷為停經後症候群,曾使用女性荷爾蒙治療兩年。阿姨因乳癌於前年過世,因為聽 說乳癌有家族遺傳性,擔心自己是否也會罹患乳癌,所以來到門診接受評估。此個案罹患乳癌最重 要的危險因子為何? (A)年齡超過 50 歲 (B)荷爾蒙治療 (C)阿姨得乳癌 (D)子宮切除術後
67 面對一位外籍勞工因病來診,在醫病間之認知及溝通有所困難時,Berlin 及 Fowker 提出有用之溝通 方式“LEARN"Model,有關 LEARN Model 之敘述,下列何者錯誤? (A) L 代表 listen,傾聽病人之敘述 (B) E 代表 explain,解釋給病人聽 (C) A 代表 ask,要求病人多提供資料 (D) R 代表 recommend,綜合病人敘述及醫師意見提出建議
68 接觸下列有機溶劑所導致之職業病,下列配對何者錯誤? (A)二甲基甲醯胺(Dimethyl formaldehyde)→急性腎小管壞死 (B)二異氰酸甲苯(Toluene diisocyanate)→氣喘 (C)二硫化碳(Carbon disulfide)→動脈硬化 (D)苯(Benzene)→再生不良性貧血
複選題
69 一位 86 歲男性,26 年前因雙側股骨頭缺血性壞死,做過雙側髖關節置換手術;20 年前因胃癌,做 過部分胃切除手術。此外,還曾罹患過肺結核及做過腸阻塞手術等。病患長期虛弱臥床,發生過數 次吸入性肺炎,亦有嚴重攝護腺肥大。此次病人再度發燒、喘、黃痰、少尿和肺囉音,懷疑尿路或 肺部感染,使用廣效抗生素後,病情獲得控制。針對目前病史之臨床處置模式,符合下列那一種? (A)以疾病為中心的診治模式 (B)以問題為中心的診治模式 (C)以病人為中心的診治模式 (D)以家庭為中心的診治模式 代號:1102 頁次:8-7
70 一位 63 歲男性,172 公分,86 公斤,有糖尿病和高血壓,兩年多前因中風導致右側肢體癱瘓,經持 續復健治療之後,穿衣和吃飯可以自理,仍行動不便,需要使用輪椅;近幾次家訪發現,個案的血 糖控制不佳,飯後血糖值高達 300 mg/dL。門診會談後發現,中風之後食量不減反增,對於甜食點心 更不忌口,最近體重增加 5 公斤,雖然每天都有按時服藥,血糖仍然無法獲得良好的控制。下列處 置何者較不適當? (A)檢查糖尿病標的器官(target organ)的功能 (B)治療式生活型態(therapeutic lifestyle)的提供 (C)唯恐高血糖造成腦中風復發,改口服藥為胰島素注射 (D)照會營養師和團隊相關成員
71 同時考慮敏感性(sensitivity)與專一性(specificity)時,下列那一種腫瘤標記(tumor marker)最適 合篩檢所述的癌症? (A)攝護腺特定抗原(prostate specific antigen, PSA)-攝護腺癌 (B)癌抗原 CA-125-卵巢癌 (C)癌胚胎抗原(carcinoembryonic antigen, CEA)-大腸直腸癌 (D)癌抗原 CA-15-3-乳癌
72 55 歲黃先生過去並無特殊疾病史,最近因為較為疲累,在太太的要求與陪伴下到門診要求作檢查。 下列何者是最好的處理方式? (A)依全民健康保險的相關規定,開立黃先生想作的檢查項目 (B)依實證醫學的指引,開立黃先生需要的檢查項目 (C)主要與黃先生討論溝通後,了解檢查的動機,再決定進一步的處置 (D)主要與黃太太討論溝通後,了解檢查的動機,再決定進一步的處置
73 一位 48 歲男性肺癌末期病人,因呼吸困難住院,身體檢查病人全身消瘦、左側肺部呼吸聲音下降。 下列那一種不是合理的處理? (A)血中白蛋白 2.2 g/dL,予以補充白蛋白 (B)胸部 X 光檢查發現左胸大量肋膜積水,予以肋膜抽水 (C)給予嗎啡以減少呼吸困難症狀 (D)抽血檢查血紅素 8.2 g/dL,予以輸濃縮紅血球 2 單位
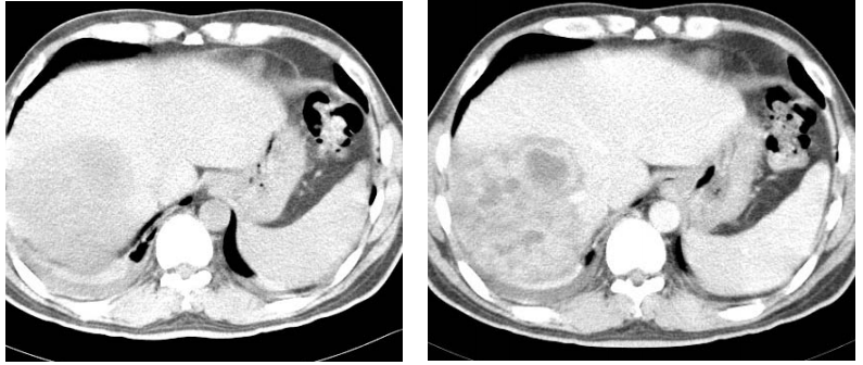
74 73 歲林先生,因發燒、畏寒、右上腹部疼痛而被家人送醫。醫師為他叩診(percussion)發現肋間肝 臟處有敲擊痛。注射對比劑前、後 CT 顯示肝右葉病變如圖示。林先生最可能患了什麼病? (A)肝臟海綿狀血管瘤(cavernous hemangioma) (B)肝膿瘍(liver abscess) (C)局部性脂肪肝(focal fatty infiltration) (D)轉移病變(liver metastasis)
75 當末期病人無法清楚表達意願時,可由其最近親屬代理決定,其優先順序,何者正確? (A)配偶>子女>父母>祖父母>兄弟姐妹 (B)配偶>父母>子女>祖父母>兄弟姐妹 (C)父母>配偶>祖父母>兄弟姐妹>子女 (D)配偶>子女>父母>兄弟姐妹>祖父母
76 癌症末期的蔣老婦人自知日子不多,在意識清楚時簽署了「安寧緩和醫療意願書」,希望病危的時 候可以放棄急救。蔣老婦人病況惡化失去意識後,患者兒子卻執意要求醫師竭盡所能為母親施予心 肺復甦及插管急救。你認為下列的行為,何者較為合適? (A)既然蔣老婦人在意識清楚的狀況下已經簽署了「安寧緩和醫療意願書」,應該加以尊重,不要再 加以急救 (B)既然蔣老婦人的兒子執意要求,應該順其兒子的意思,對蔣老婦人加以急救 (C)應該多問幾位家屬的意見,如果大多數的家屬都贊成施予急救,醫師就應該對蔣老婦人加以急救 (D)家屬意見與病患本人不同時,應該所有的家屬都同意急救,再對蔣老婦人加以急救
77 一位 23 歲男性入急診,主訴為 20 分鐘前開始出現大量血便。病人自訴以前也有過血便經驗,因為 症狀自動就消失所以都沒就醫。這次是在晚上排便時發生,他發現有大量鮮血伴隨著糞便一起排出, 鮮血沾滿整個糞便表面,而糞便本身呈現黃色,肛門不會疼痛,除此以外無其他症狀。依病人的敘 述,下列何種疾病可能性最高? (A)外痔瘡(external hemorrhoid) (B)內痔瘡(internal hemorrhoid) (C)大腸癌(colon cancer) (D)上消化道出血(upper gastrointestinal bleeding)
78 一位 66 歲男性因喪失意識入急診,剛來時血壓為 70/35 mmHg,心跳為 130/min。經過給予氧氣與生 理食鹽水(normal saline)輸液 1000 mL 後,意識回復正常,血壓為 100/60 mmHg,心跳為 100/min,呼 吸速率為 20/min,體溫為 36.4℃。再詳細問病人病史時發現他在喪失意識前感到突發性的腹部與下 背痛,除此以外無其他症狀。有高血壓病史,但無規則服藥控制。理學檢查發現下腹有壓 痛(tenderness),伴隨有輕微反彈痛(rebound tenderness),腸音稍慢,糞便檢查無潛血反應。血液檢 查白血球為 7400/mm
3
,血色素為 11.0 g/dL,lipase 為 68 U/L,C-reactive protein(CRP)為 0.05 mg/dL, BUN/Creatinine 為 30/1.0 mg/dL,沒有尿液所以無法做尿液檢查。依以上的臨床表現,下列何種疾病 最有可能,且需要馬上做鑑別診斷? (A)腹部主動脈瘤破裂(abdominal aortic aneurysm rupture) (B)急性膀胱炎(acute cystitis) (C)腸缺血(mesenteric ischemia) (D)尿路結石(urolithiasis)
79 一位 86 歲男性因 1 小時前突發性腹痛入急診。病人有消化性潰瘍病史,規則於門診用藥治療。理學檢查發現腸音稍慢,瀰漫性壓痛(diffuse tenderness)與反彈痛(rebound tenderness),肛門檢查有些微黑便(tarry stool)。假如你想排除消化性潰瘍穿孔(perforated peptic ulcer)的可能性,除了站立性胸部 X 光(upright CXR)以外,下列何者為最適合且快速的檢查? (A)胃灌洗(gastric lavage) (B)胃鏡(upper gastrointestinal endoscopy) (C)上消化道攝影(upper GI series) (D)左側躺腹部 X 光(left decubitus, plain abdomen)
80 一位 88 歲女性由家人送入急診就醫。主訴為腹脹一天,沒有解便,胃口不佳。病人為陳舊性中風病 患,左側偏癱,長期臥床,意識清楚但無法明確表達。20 年前曾有大腸癌並做過切除手術,固定於 直腸科門診追蹤。理學檢查發現血壓為 110/65 mmHg,心跳為 105/min,呼吸速率為 15/min,體溫為 36.6℃,腸音加快,腹脹且有輕微壓痛(tenderness),無反彈痛(rebound tenderness),二側鼠蹊部 無鼓脹。腹部 X 光(KUB)發現整個小腸脹大(distended loops of small bowel)。依以上病史與 X 光發現,下列那一種疾病可能性最高? (A)腸套疊(intussusception) (B)腸沾黏(adhesion) (C)小腸壁狹窄(stricture) (D)疝氣(hernia)
申論題 (0)
相關試卷
115年 - 115 專技高考_醫師(二):醫學(三)(包括內科、家庭醫學科等科目及其相關臨床實例與醫學倫理)#137317
115年 · #137317
114年 - 114-2 專技高考_醫師(二):醫學(三)(包括內科、家庭醫學科等科目及其相關臨床實例與醫學倫理)#127920
114年 · #127920
114年 - 114-1 專技高考_醫師(二):醫學(三)(包括內科、家庭醫學科等科目及其相關臨床實例與醫學倫理)#125089
114年 · #125089
113年 - 113-2 專技高考_醫師(二):醫學(三)(包括內科、家庭醫學科等科目及其相關臨床實例與醫學倫理)#120658
113年 · #120658
113年 - 113-1 專技高考_醫師(二):醫學(三)(包括內科、家庭醫學科等科目及其相關臨床實例與醫學倫理)#118724
113年 · #118724
112年 - 112-2 專技高考_醫師(二):醫學(三)(包括內科、家庭醫學科等科目及其相關臨床實例與醫學倫理)#114972
112年 · #114972
112年 - 112-1 專技高考_醫師(二):醫學(三)(包括內科、家庭醫學科等科目及其相關臨床實例與醫學倫理)#113147
112年 · #113147
111年 - 111-2 專技高考_醫師(二):醫學(三)(包括內科、家庭醫學科等科目及其相關臨床實例與醫學倫理)#108729
111年 · #108729
111年 - 111-1 專技高考_醫師(二):醫學(三)(包括內科、家庭醫學科等科目及其相關臨床實例與醫學倫理)#106186
111年 · #106186
110年 - 110-2 專技高考_醫師(二):醫學(三)(包括內科、家庭醫學科等科目及其相關臨床實例與醫學倫理)#99914
110年 · #99914