阿摩線上測驗
登入
首頁
>
醫學五:80題 ( 包括外科,骨科,泌尿科等科目及其相關臨床實例與醫學倫理 )
> 101年 - 101-1 專技高考_醫師(二):醫學(五)(包括外科、骨科、泌尿科等科目及其相關臨床實例與醫學倫理)#36952
101年 - 101-1 專技高考_醫師(二):醫學(五)(包括外科、骨科、泌尿科等科目及其相關臨床實例與醫學倫理)#36952
科目:
醫學五:80題 ( 包括外科,骨科,泌尿科等科目及其相關臨床實例與醫學倫理 ) |
年份:
101年 |
選擇題數:
80 |
申論題數:
0
試卷資訊
所屬科目:
醫學五:80題 ( 包括外科,骨科,泌尿科等科目及其相關臨床實例與醫學倫理 )
選擇題 (80)
1 病患蔡先生,現年 40 歲,因尿毒症而接受血液透析共 10 年,登記換腎也等待 6 年,此次住院前一 天晚上被通知住院並接受腎臟移植。捐贈者是一位 55 歲女性腦死病患,實驗室檢查發現血清內肌酸 酐值高至 6.0 mg/dL,血清內尿毒素氮為 54 mg/dL,主治醫師向蔡先生解釋換腎的成功率及可能的併 發症後,他毅然決然接受腎移植手術,術後腎臟沒有發揮功能,每小時尿量小於 10 c.c.。以下什麼 情況最可能解釋移植腎沒有發揮功能? (A)移植腎腎小管壞死 (B)移植腎腎動脈栓塞 (C)移植腎腎靜脈栓塞 (D)移植腎輸尿管壞死
2 35 歲男性,主訴飽餐後突發性腹痛,直達背部。疼痛持續而嚴重,伴隨嘔吐的症狀。病人吐後無法 減輕症狀,但將身體前傾症狀可稍有改善。理學檢查發現病人體溫 38℃,上腹壓痛,腸音降低。 X 光檢查可見十二指腸內氣體增多及左側肋膜腔少量積液。下一步安排何種檢查最適當?(A)上消化道攝影(upper GI barium study)(B)消化道內視鏡檢(upper GI endoscopy)(C) HIDA 核醫檢查(HIDA radionuclide scan)(D)血清澱粉酶及脂解酶檢查(serum amylase & lipase)
3 鈍性腹部外傷時,最常發生損傷的器官為: (A)肝臟 (B)脾臟 (C)胰臟 (D)腎臟
4 有一位 10 歲大的男孩,與同伴玩棒球時,被飛出來的棒球擊中左眼眶,小孩立刻產生左眼結膜下出 血(sub-conjunctival hemorrhage),同時受傷的左眼無法向上移動,則下列何者錯誤? (A)小孩有可能眼眶底打擊性骨折(blow-out fracture) (B)小孩需要接受眼眶骨電腦斷層檢查以確定診斷 (C)小孩可能合併有左側眶下神經(infraorbital nerve)受傷 (D)小孩左眼無法向上移動,是因眼球之上直肌卡在骨折當中
5 (A)腹部電腦斷層攝影 (B)腹部 X 光攝影(plain abdomen X ray) (C)大腸鋇劑灌腸攝影 (D)大腸鏡
6 承上題,請問下列何者為最優先之處置? (A)腹腔鏡手術 (B)闌尾切除手術 (C)剖腹探查術 (D)廣效性抗生素
7 結腸癌之病理分期 Dukes’ stage C,是指癌細胞: (A)已侵犯腸肌層(muscularis propria),無淋巴結轉移 (B)已有肝臟轉移 (C)已侵犯腸系膜淋巴結 (D)仍侷限於腸黏膜
8 (A) 11700 ml;0.9%生理食鹽水 (B) 5850 ml;5%葡萄糖水 (C) 11200 ml;乳酸林格氏液 (D) 5800 ml;林格氏液
9 承上題,此病患於受傷後第 4 小時開始發生小便呈現暗紅色之情況,此時應採取下列何種處置? (A)減少靜脈輸液量 (B)於兩側大腿外側進行焦痂切開手術(escharotomy) (C)維持每小時小便量在 65 ml 以下 (D)增加小便量,並維持每小時小便量在 75-130 ml 以上
10 病人 46 歲女性,慢性腎衰竭,規則血液透析 6 年,一年前開始有骨頭疼痛及皮膚發癢感,經查血鈣 11.0 mg/dL(8.5-10.5),磷 5.7 mg/dL(2.7-4.5),iPTH 1045 pg/mL(12-65),經給予降磷劑及維 他命 D
3
治療後,鈣降至 9.0 mg/dL,磷降至 4.2 mg/dL,iPTH 750 pg/mL,症狀減輕,但經過 2 個月 後,骨頭疼痛及皮膚發癢等症狀再度發作,經檢查 iPTH 1650 pg/mL,鈣 11.5 mg/dL,而且副甲狀腺 核醫掃描發現二側上下副甲狀腺腫大,下列何者是最好的治療? (A)維他命 D
3
口服 0.5 mg/QD (B)口服類固醇治療 (C) aluminum hydroxy 膠囊口服 3 顆/QD (D)副甲狀腺切除術
11 一個 55 歲女性,因偶然一次發現大便後擦拭肛門時有鮮血沾在衛生紙上,而去醫院接受大腸鏡檢查, 結果發現在直腸和乙狀結腸接合處有一個 2 公分大小的有莖性息肉。經切除息肉後,病理報告為一個腺瘤且在息肉頸部靠近息肉莖部的地方合併有局部侵犯性的腺癌(Focal invasive cancer),若病人的一般狀況尚稱健康,則該如何處理最好?(A)針對息肉基部再作更廣泛的內視鏡局部黏膜切除(B)經肛門作更廣泛的息肉基部切除(C)觀察追蹤就可以(D)作直腸的前位切除術
12 兒童總膽管囊腫(choledochal cyst)的症狀,下列何者最少見? (A)腹痛(abdominal pain) (B)黃疸(jaundice) (C)膽道結石(gallstone) (D)腹部腫塊(abdominal mass)
13 下列何條肌肉纖維化是導致嬰孩肌肉性斜頸(muscular torticollis)的主因? (A)斜方肌 (B)胸鎖乳突肌 (C)肩胛舌骨肌 (D)二腹肌
14 一個 8 個月大的健康男嬰,突發間歇性哭鬧,嘔吐,並解出黏液血便,則最可能的診斷為: (A)急性腸胃炎(acute gastroenteritis) (B)腸道扭轉不全(malrotation) (C)腸套疊(intussusception) (D)腹股溝疝氣(inguinal hernia)
15 一個兩週大的嬰兒,從出生後就常腹脹,便秘;鋇劑灌腸攝影顯現直腸緊縮變窄,到乙狀結腸則慢 慢變粗,則最可能的診斷為: (A)胎糞栓塞症候群(meconium plug syndrome) (B)巨結腸症(Hirschsprung’s disease) (C)細小左結腸症(small left colon syndrome) (D)直腸閉鎖症(rectal atresia)
16 下列何項是分辨高位無肛病(high type imperforate anus)或低位無肛病(low type imperforate anus) 最重要的方法? (A)倒位攝影(invertogram) (B)電腦斷層 (C)核磁造影 (D)肉眼觀察
17 下列何者最少見於男性女乳症(gynecomastia)之成因? (A)男性賀爾蒙缺乏(androgen deficiency) (B)內分泌缺損(endocrine defects) (C)藥物(drugs) (D)外傷(trauma)
18 細針抽吸(FNA)細胞學檢查,對於下列何種甲狀腺癌診斷價值最高? (A)濾泡癌(follicular carcinoma) (B)乳突狀癌(papillary carcinoma) (C)髓樣癌(medullary carcinoma) (D)分化不全癌(anaplastic carcinoma)
19 甲狀腺手術時,如果需要橫斷胸甲狀肌(sternothyroid m.)及胸舌骨肌(sternohyoid m.)時,最好打 斷的位置在較高位接近環狀軟骨水平(cricoid level)位置,以保留何種運動神經? (A)上喉神經(superior laryngeal nerve) (B)返喉神經(recurrent laryngeal nerve) (C)舌下神經襻(ansa hypoglossi) (D)脊髓神經(spinal nerve)
20 乳房手術中,廓清腋下淋巴時,最重要避免對長胸神經(long thoracic nerve)之傷害,其主要原因為 何? (A)會引起胸小肌(pectoralis minor muscle)萎縮 (B)避免引起翼肩胛骨(winged scapula) (C)會引起手臂內部麻痺(paralysis) (D)引起淋巴水腫(lymphedema)
21 有症狀的膽石症(symptomatic gallstones),其治療方法以下列何者為最好的選擇? (A)保守性治療(medical treatment) (B)超音波碎石術(ultrasonic lithotripsy) (C)腹腔鏡膽囊切除術(laparoscopic cholecystectomy) (D)經皮穿肝膽囊引流術(percutaneous transhepatic cholecystostomy)
22 胰臟的假性囊腫(pseudocyst),最常見的原因是: (A)寄生蟲 (B)胰臟腫瘤 (C)胰臟炎 (D)手術
23 下列有關肺臟移植後使用免疫抑制藥物之敘述,何者正確? (A) Prednisolone 屬於 adrenal corticosteroid 類,長期使用會有高血壓(hypertension)與低血糖 (hypoglycemia)之副作用 (B) Azathioprine 屬於 antiproliferative agents,最常見之副作用為白血球過多症(leukocytosis) (C) Mycophenolate mofetil(MMF)為 calcineurin inhibitor,在體內由肝臟之 cytochrome p450 enzymes 負責代謝 (D) Cyclosporine 無 myelosuppression 的副作用,常與 prednisolone 併用,以減少 cyclosporine 所引起之 腎毒性
24 有關縱膈腔腫瘤的敘述,下列何者錯誤? (A)若腫瘤是後縱膈的神經性腫瘤(neurogenic tumor),則最可能是神經鞘瘤(schwannoma) (B)胸腺瘤(thymoma)最常見的合併全身性疾病為重症肌無力(myasthenia gravis) (C)於電腦斷層攝影(CT scan)發現前縱膈腔腫瘤為 cystic and fatty density,有鈣化,則最可能是畸胎 瘤(teratoma) (D)若前縱膈的腫瘤經切片確定為原發性非生殖細胞瘤(primary nonseminoma),則第一線為手術治 療,術後再行化學治療及放射治療
25 49 歲男性肝硬化併發右側大量肋膜積液,已存在一個星期,插入 32Fr 胸管後,釋放出 2,200 毫升稻 草色積液。幾分鐘後,病人變成呼吸困難和焦慮。則最可能的原因為何? (A)肺動脈栓塞(pulmonary embolism) (B)再膨脹肺水腫(re-expansion pulmonary edema) (C)嚴重的傷口疼痛 (D)胸管插入肺部
26 以下關於惡性間皮瘤(malignant mesothelioma)的描述,何者錯誤? (A)病患通常有石綿(asbestos)暴露的病史 (B)腫瘤會侵犯壁層肋膜及臟層肋膜 (C)病患臨床的表現會有呼吸困難及肋膜積水的現象 (D)五年存活率約為 70%
27 一位 75 歲的男性,主訴最近 6 個月來快走會有心悸和胸悶的現象,身體檢查時,血壓 140/50 mmHg, 心跳規律,胸骨右側上方可聽到心舒期雜音,心臟超音波檢查有嚴重的主動脈瓣逆流,但左心室收 縮內徑(left ventricular end systolic dimension)為 58 mm,舒張內徑為 80 mm,此時最好的治療方式 為何? (A)用金屬性瓣膜置換主動脈瓣 (B)用豬心瓣膜置換主動脈瓣 (C)使用抗心律不整藥劑 (D)使用抗心衰竭藥劑
28 王女士 38 歲,接受機械性僧帽瓣置換手術後,術後使用 warfarin sodium,則下列何者正確?①若王女士須服用 thyroxine,應定期監測 prothrombin time,適當減少 warfarin 的劑量 ②若王女士須服用當歸、銀杏等中藥,應定期監測 aPTT,適當減少 warfarin 的劑量 ③若王女士須服用口服避孕藥, 應定期監測 prothrombin time,適當增加 warfarin 的劑量 ④若王女士嗜食菠菜,應定期監測 aPTT,適當增加 warfarin 的劑量(A)①②(B)①③(C)②④(D)④
29 有關體外循環維生系統(extracorporeal life support,又簡稱 ECMO)之敘述,下列何者正確?①對危 急病人可提供長期(數月至數年之久)之心肺支持 ②使用於胎便吸入症候群新生兒之存活率低於 50% ③應使用於深度昏迷之危急病人 ④出血為常見併發症 (A)①②③ (B)①③ (C)②④ (D)④
30 (A)人工關節手術時,傷及股靜脈造成回流阻塞 (B)心房震顫,左心室的栓塞掉到周圍血管內 (C)右側下肢深部靜脈之栓塞症 (D)可能是下肢蜂窩組織炎(Cellulitis)
31 承上題,為了要確定診斷,有各種方式可用,但下列何者錯誤? (A)人工關節手術後第三天,其 d-dimer test 結果若為陽性,有百分之九十的機會可以排除此診斷 (B)人工關節手術後第三天,Homans’ sign 陰性,也不能排除此診斷 (C)血管攝影雖比較具侵襲性,但卻是最正確的診斷方式 (D)超音波及都卜勒(duplex)檢查最方便且無侵襲性,但正確度和操作者經驗有關
32 有關食道癌之敘述,下列何者錯誤? (A)目前全世界之食道癌以鱗狀細胞癌(squamous cell carcinoma)最常見 (B)在西方國家,制酸劑使用增加是食道癌的危險因子之一 (C)與食道遲緩不能(achalasia)有關的食道癌,最常見的細胞型態為腺癌(adenocarcinoma) (D)評估術前淋巴轉移(N status for TNM stage, AJCC)的非侵犯性工具當中,正子攝影的正確性比電 腦斷層佳
33 一位 58 歲男性病人,因車禍導致腹膜炎接受剖腹探查手術,發現有多處小腸破裂併腸系膜血腫,最 後接受 25 公分長度的小腸切除及小腸吻合手術,10 日後發現引流管有腸道內容物成分,每日流出量 40-80 ml,腹部平坦鬆軟無腹痛症狀,體溫 37.4℃,則你的診斷為何? (A)短腸症候群(short bowel syndrome) (B)缺血性腸道疾病(ischemic bowel disease) (C)沾黏性腸阻塞(adhesion ileus) (D)癒合不全而可能形成腸道皮膚管(enterocutaneous fistula)
34 (A)膀胱腫瘤 (B)膀胱結石 (C)大腸憩室炎 (D)大腸直腸癌
35 承上題,治療這樣的病人,應該用什麼方式較好? (A)抗生素治療 (B)切除部分大腸即可,不須留置 3 天以上的尿管 (C)切除管及部分大腸,並作大腸直腸吻合,加上留置導尿管 1 週或修補膀胱 (D)只須切除部分膀胱或加上截石即可
36 王老先生於 2 年前因罹患中風後即長期臥床,近日家屬發現其臀部有一個 4 公分傷口,經整形外科 醫師診斷為褥瘡,建議手術治療;術中發現傷口壞死範圍深及骨頭,則此褥瘡的深度分級為何?最 好的重建方法是清創(debridement)後再作何種處置? (A) Grade III;換藥即可(dressing change) (B) Grade III;植皮(skin grafting) (C) Grade IV;顯微皮瓣重建術(microsurgical free flap reconstruction) (D) Grade IV;局部臀大肌皮瓣重建術(local gluteal maximus flap reconstruction)
37 一位 48 歲的小鎮男性在一次大客車車禍中腹部受傷,經 10 小時後被轉送至某大醫院急診,雖意識 清醒,但因腹膜炎而接受緊急剖腹探查術,術中發現有橫結腸裂開、胰臟和胃挫傷,肝臟左葉裂傷, 經修補肝臟裂傷後,血壓及心跳等仍不穩定,此時應如何處理裂開的結腸最妥當? (A)直接修補裂口 (B)利用此裂口拉出大腸作成一個結腸造口 (C)直接修補裂口,再將近側之大腸拉出腹外作造口 (D)切除受傷之大腸節段及此裂口,並立即完成大腸大腸吻合
38 35 歲年輕女性,左外側乳癌,離乳暈 3 公分處,腫瘤大小 1 公分×1 公分,術前粗針切片(core biopsy) 病理證實為浸潤性管道腺癌,腋下無觸摸到之淋巴結,則下列何種手術方法最適當? (A)改良性根除性乳房全切除術(modified radical mastectomy) (B)乳房保留性手術(breast conserving surgery) (C)乳房部分切除術(partial mastectomy) (D)乳房部分切除術(partial mastectomy)+哨兵淋巴結手術(sentinel node biopsy)
39 46 歲陳小姐因上腹痛接受胃鏡檢查時,發現在胃體部中間靠胃大彎處有一個 4 公分腫瘤,表面黏膜 完整,經內視鏡超音波檢查證實為黏膜下腫瘤,則下列何種處置最適當? (A)腹腔鏡胃腫瘤切除手術 (B)門診追蹤觀察 (C)經內視鏡腫瘤切除 (D)接受放射線治療
40 下列對於乳房之發炎性癌(inflammatory carcinoma)的敘述,何者正確? (A)預後佳 (B)治療方式常須多管齊下,包括化學治療、放射線治療及手術治療 (C)在乳癌分期上,屬 TNM 系統的 T3 (D)這些患者常沒有腋下淋巴結轉移或全身其他器官轉移
41 有關腦下垂體瘤(pituitary adenoma)的敘述,下列何者錯誤? (A)腦下垂體瘤大於 1 公分時,雖經常有頸靜脈竇的侵襲(cavernous sinus invasion),但很少見第三 至第六顱神經的缺損 (B)腦下垂體瘤病患經常有尿崩(diabetes insipidus)症狀 (C)泌乳激素(prolactin)輕微的上升,不一定是泌乳激素瘤(prolactinoma)所引起,而可能是因為 pituitary stalk 被大的腺瘤壓迫所引起 (D)口服 dopamine agonist 如 bromocriptine,可使 80%泌乳激素瘤(prolactinoma)縮小
42 林小姐罹患乳癌須接受一側乳房切除,她想同時接受乳房重建手術,則下列那一個皮瓣最不適合用 來作為乳房重建之用? (A)闊背肌肌皮瓣(latissimus dorsi muscle flap) (B)橫腹直肌皮瓣(transverse rectus abdominis myocutaneous flap) (C)上臀動脈穿通枝皮瓣(superior gluteal artery perforator flap) (D)腹網膜瓣(omental flap)
43 星狀細胞瘤(astrocytoma)是神經膠質瘤中最常見者,世界衛生組織分類系統(World Health Organization classification system)將其分為四級(grades 1 to 4),有關星狀細胞瘤的敘述,下列何 者最正確?(A) pilocytic astrocytoma 屬 grade 1 星狀細胞瘤,病患一般較年輕(B) pilocytic astrocytoma 常好發於小腦半球及下視丘(cerebellar hemisphere and hypothalamus),屬良性腫瘤,預後良好(C) Low-grade 星狀細胞瘤屬良性腫瘤,完全手術清除與否並不影響預後(D)化學治療(chemotherapy)對 high-grade 及 low-grade 星狀細胞瘤(astrocytoma)皆有良好療效
44 頸椎神經根病變(cervical radiculopathy)常起因於退化性頸椎病灶(degenerative cervical lesion), 導致頸部及上肢麻痛、感覺異常(paresthesia),最常發生頸椎神經根壓迫症候群(root compression syndrome)為: (A) C3, C4 (B) C4, C5 (C) C5, C6 (D) C6, C7
45 有關一位懷疑腰椎椎間盤突出(disc herniation)的 40 歲男性病患之敘述,下列何者錯誤? (A)可藥物保守治療 2 星期,但須注意括約肌異常及肢體無力之徵兆 (B)其主述可能是下背痛,合併臀、大腿及小腿後外側疼痛,理學檢查 Lasègue’s sign 表現十分明顯 (C)腰椎椎間盤突出(disc herniation)90%發生在 L5-S1 或 L4-5 level (D)腰椎 MRI 影像檢查是最佳檢查項目,plain radiographs 全無診斷價值
46 陳小姐被推進急診室,雙眼緊閉朝右側躺,推床推動一段距離,她就開始一陣嘔吐。請她睜開雙眼, 只見眼球不停向右震顫,隨即她又閉上雙眼。下列何者是陳小姐症狀的最正確答案? (A)昏眩(dizziness) (B)眩暈(vertigo) (C)腸胃疾患 (D)眼球疾病
47 有關診斷、治療嚴重腦外傷病患之敘述,下列何者錯誤? (A)必須先評估及治療傷患可能發生的休克、缺氧、凝血功能異常 (B)挫傷性腦出血可能在撞擊後馬上出現,但血塊有可能變大,特別是在 12 至 24 小時 (C)血塊或腦挫傷若大於 30 c.c.,一般認為可以造成顯著的質塊效應(mass effect),而造成神經學惡 化以及進行性的腦損傷 (D)急性硬腦膜下出血(acute subdural hematoma)常是因中腦膜動脈(middle meningeal artery)的分 支出血所引起
48 胃腸道分泌液中,含重碳酸離子(HCO3 - )最高者為: (A)胃液 (B)小腸液 (C)胰液 (D)膽汁
49 病患 32 歲女性,第一型糖尿病合併尿毒症,於 6 個月前接受胰腎同時移植。2 星期前因急性排斥, 接受 3 天的高劑量類固醇(prednisolone 500 mg)靜脈注射,最近因發燒至 39.5℃,呼吸急喘,乾咳, 肺部 X 光呈現兩側對稱性下肺部浸潤(bilateral symmetric lower pulmonary infiltration),血液白血球 為 3400/mm
3
。此病人之診斷最可能為何? (A)細菌性肺炎(bacterial pneumonia) (B)黴菌性肺炎(fungal pneumonia) (C)心衰竭合併肺積水(pulmonary congestion) (D)巨細胞病毒肺炎(cytomegalovirus pneumonia)
50 (A)氣腹(pneumoperitoneum)及腸套疊(intussusception) (B)肝膿瘍(liver abscess)及腸壁積氣(pneumatosis intestinalis) (C)膽管充氣症(Pneumobilia)及腸套疊(intussusception) (D)門靜脈空氣(portal vein gas)及腸壁積氣(pneumatosis intestinalis)
51 承上題,張先生最有可能罹患: (A)胞蟲囊病(echinococcal cyst) (B)急性腸系膜缺血性疾病(mesenteric ischemia) (C)消化性潰瘍穿孔(perforated peptic ulcer) (D)急性腸胃炎(acute gastroenteritis)
52 (A)胰管空腸吻合術(Puestow’s operation) (B)胰十二指腸切除術(Whipple procedure) (C)幽門保留胰十二指腸切除術(pylorus-preserving pancreaticoduodenectomy) (D)十二指腸胰頭切除術(duodenum-preserving proximal pancreatectomy)
53 承上題,接受此手術之後,最常見的併發症為何? (A)糖尿病(DM) (B)延遲性胃排空(delayed gastric emptying) (C)吻合性邊緣性潰瘍(marginal ulcer) (D)傷口感染(wound infection)
54 (A)闌尾炎(appendicitis) (B)升結腸憩室炎(diverticulitis) (C)盲腸腫瘤(cecal tumor) (D)缺血性腸炎(ischemic colitis)
55 承上題,接下來何者為適當的檢查? (A)血管攝影(angiography) (B)大腸鏡(colonoscopy) (C)腹腔鏡檢查(laparoscopy) (D)靜脈泌尿道攝影(IVU)
56 (A)進到關節腔內部 (B)包住股動脈 (C)侵犯到大腿後肌腔室 (D)很可能會引起病理性骨折
57 承上題,此時應再安排何種檢查,才可確切診斷? (A)骨骼同位素掃描檢查 (B)血清電泳檢查 (C)切片檢查 (D)胸部電腦斷層掃描檢查
58 一位 3 歲的男孩,脊椎變形在出生不久即被注意到,而且隨著年齡愈大,脊椎畸形愈嚴重。脊椎 X 光檢查發現是先天性脊椎側彎,在凸側(convex side)第一腰椎有一半椎體(hemivertebra),而在 凹側(concave side)第十二胸椎及第一腰椎有一不分節棒(unsegmental bar),側彎度數 40 度,此 時最好的治療是: (A)繼續觀察 (B)背架治療 (C)手術治療 (D)電刺激治療
59 以下何者是胸腰椎骨折手術的最適當時機? (A)應立即緊急手術 (B)當身體狀況穩定,可以接受手術時,儘快手術 (C)一週後 (D)兩週後
60 下列有關前臂骨折包紮石膏治療時的敘述,何者正確? (A)包紮時用拇指持續壓迫骨折處以維持復位 (B)肘部應固定呈伸直姿勢 (C)為加強固定效果,應包紮大拇指和手指,限制其活動 (D)包紮後維持手部抬高,並定期拍照 X 光片追蹤
61 下列有關成年人的遠端橈骨骨折(Colles 氏骨折)敘述,何者正確? (A)最常好發於 40 歲以下 (B)女性的發生率比男性低 (C)很少發生骨折不癒合(non-union) (D)遠端橈骨尺骨關節(radio-ulnar joint)不完全脫位很罕見
62 痙攣型腦性麻痺病童最常需要手術矯正的足踝變形是: (A)馬蹄足(equinus deformity) (B)高弓足(cavus deformity) (C)扁平外翻足(planovalgus deformity) (D)大腳指外翻足(hallux valgus)
63 有關代謝性骨病(metabolic bone diseases)的敘述,下列何者正確? (A)副甲狀腺機能亢進(hyperparathyroidism)的病人常因分泌大量副甲狀腺激素(parathyroid hormone, PTH),造成血中鈣離子濃度升高,骨頭內的鈣質也跟著增加 (B)長期洗腎的病人因為腎功能不全會導致腎性骨發育不全(renal osteodystrophy),其 PTH 可能會升高 (C)變形性骨炎(Paget’s disease)主要發生在 40 歲以下的病人,女多於男,是一種骨頭塑形(remodeling) 的疾病,不會轉變為惡性腫瘤 (D)骨質石化病(osteopetrosis)又稱大理石骨病(marble bone disease),主要是因成骨細胞(osteoblast)過 度活躍造成
64 下列有關尿路結石的敘述,何者錯誤? (A)如果不積極預防,其 5 年再發率可高達 50% (B)各種結石之命名來源不相同,例如磷酸銨鎂結石之俗名 struvite stone 即以一蘇俄礦石學家來命名 (C)當今解釋結石成因之理論已完備;亦即需結晶(crystal)及基質(matrix)即可形成結石 (D)結石成長除了離子飽和外,亦有抑制成長之因素,例如:鎂(magnesium),檸檬酸鹽(citrate)等
65 先天雙側無輸精管(congenital bilateral absence of vas deferens)和下列那個遺傳疾病最有關? (A)隱睪症 (B)輸尿管缺損 (C)異位性皮膚炎 (D)纖維化囊腫
66 尿路動力學檢查中,那一項目最可測出前列腺肥大所造成的膀胱出口阻塞? (A)尿流速測定(uroflowmetry) (B)膀胱壓力圖(cystometry) (C)壓力尿流速檢查(pressure-flow study) (D)尿道壓力圖(urethral pressure profile)
67 下列關於泌尿道尿酸結石的敘述,何者正確? (A)約占所有尿路結石之 30% (B)常發生於老年人、慢性臥床及癌症病患治療時 (C)尿液酸鹼度(pH 值)必介於 6.5-7.0 之間 (D)鹼化尿液可有效溶解結石
68 有關陰莖病變的敘述,下列何者正確? (A) Peyronie’s disease 好發於年輕男性,在陰莖背側常摸到硬塊,勃起時會疼痛,嚴重時引起陰莖彎曲 (B)陰莖折斷(penile fracture)常見於機車車禍 (C)白血病引起的陰莖持續性勃起(priapism),不須處理會自然消退 (D)陰莖潰瘍(ulcer)長期以適當藥物治療仍未癒合,應考慮切片檢查
69 急性腎絞痛(acute renal colic)時,其診斷率最高的影像學方法是: (A)單純腹部攝影(KUB film) (B)靜脈腎盂攝影(intravenous pyelography) (C)無顯影劑電腦斷層(non-contrast spiral CT scan) (D)腹部超音波(abdomen ultrasonography)
70 人工陰莖植入術(penile prosthesis implantation)最常見的術後併發症而需開刀取出的情況為: (A)尿道破裂 (B)陰囊血腫 (C)感染 (D)壓迫攝護腺引起排尿障礙
71 下列何種狀況並不會明顯增加女性內因性尿道括約肌功能缺失(intrinsic sphincter deficiency)的危險? (A)女性荷爾蒙缺乏 (B)骨盆腔放射線治療 (C)薦椎處副交感神經病變,但無合併其他交感神經病變 (D)陰部神經(pudendal nerve)受傷
72 一位 56 歲卡車司機發生車禍後,送到急診室時有盜汗現象,自訴胸痛、血壓 64/40 mmHg、呼吸頻 率 40 次/分、心跳 110 次/分。下列敘述何者最能分辨出心包膜填塞(cardiac tamponade)與張力性氣 胸(tension pneumothorax)? (A)頻脈(tachycardia) (B)脈壓(pulse pressure) (C)頸靜脈壓(jugular venous pressure) (D)呼吸音(breath sounds)
73 對嬰幼兒進行氣管插管時,容易造成進入左側或右側的支氣管內,其最主要原因為何? (A)氣管相對較短 (B)上唇至喉頭部的距離相對較短 (C)氣管內管不具氣囊,固定效果不佳,故易滑入 (D)主支氣管與氣管間的角度不夠大所導致
74 下列有關泌尿系統外傷的敘述,何者正確? (A)懷疑尿道外傷時應儘速放置導尿管 (B)陰莖白膜斷裂需緊急開刀修補白膜(tunica albuginea) (C)一旦有 microscopic hematuria 便需急做腹部電腦斷層掃描(CT scan) (D)血尿程度與腎臟外傷程度成正相關性
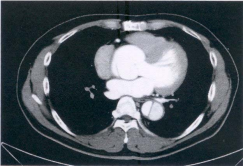
75 76 歲男性主訴胸悶及呼吸困難,注射對比劑後 CT 影像如附圖,則最可能的診斷為下列何者?
(A)主動脈剝離 (B)食道癌 (C)主動脈瓣狹窄 (D)左心房黏液瘤(Left atrial myxoma)
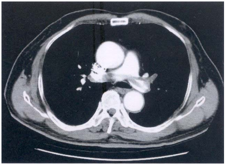
76 76 歲男性主訴胸悶和呼吸不順暢,注射對比劑後 CT 影像如附圖,則最可能的診斷為下列何者? (A)肺主動脈瘤 (B)肺動脈栓塞 (C)上行主動脈瘤 (D)上腔靜脈狹窄
77 53 歲男性,因突發性右膕動脈栓塞就醫,心臟 CT 影像如附圖,則最可能的診斷為下列何者?
(A)左心耳血栓(left atrial appendage thrombi) (B)左心房黏液瘤(left atrial myxoma) (C)二尖瓣狹窄合併左心房血栓 (D)右心房黏液瘤(right atrial myxoma)
78 消防局的救護車送來一位身分不明、意識不清的路倒病人,經檢查發現有顱內出血,神經外科王醫 師判斷需要緊急開刀,但是要求一定要有人簽手術同意書他才開,王醫師說這是醫療法規定的,如 果沒有同意書,即使病人不開刀立刻會死,他也不開,王醫師的說法對嗎? (A)對,因為醫師要保護自己不會被告 (B)對,因為醫療法規定不論任何情況都要手術同意書 (C)不對,因為醫療法沒有規定手術需要同意書 (D)不對,因為醫療法雖然規定手術需要取得同意書,但情況緊急者,不在此限
79 1999 年美國 Institute of Medicine 發表「To Err is Human」這份報告,激起了全世界對那一種醫療問 題的重視? (A)病人權利 (B)醫療費用飆漲 (C)病人安全 (D)醫療資源合理分配
80 下列何者不是預立醫囑倫理上的主要理由? (A)確保病人自主受到尊重 (B)當醫療已無效時,增進病人生活品質及人性尊嚴 (C)節省醫療人員做醫療決定的時間 (D)減少家屬為當事者作生死決定時可能產生的焦慮、矛盾與內疚
申論題 (0)
相關試卷
115年 - 115-1 專技高考_醫師(二):醫學(五)(包括外科、骨科、泌尿科等科目及其相關臨床實例與醫學倫理)#137338
115年 · #137338
114年 - 114-2 專技高考_醫師(二):醫學(五)(包括外科、骨科、泌尿科等科目及其相關臨床實例與醫學倫理)#127923
114年 · #127923
114年 - 114-1 專技高考_醫師(二):醫學(五)(包括外科、骨科、泌尿科等科目及其相關臨床實例與醫學倫理)#125088
114年 · #125088
113年 - 113-2 專技高考_醫師(二):醫學(五)(包括外科、骨科、泌尿科等科目及其相關臨床實例與醫學倫理)#120655
113年 · #120655
113年 - 113-1 專技高考_醫師(二):醫學(五)(包括外科、骨科、泌尿科等科目及其相關臨床實例與醫學倫理)#118719
113年 · #118719
112年 - 112-2 專技高考_醫師(二):醫學(五)(包括外科、骨科、泌尿科等科目及其相關臨床實例與醫學倫理)#114977
112年 · #114977
112年 - 112-1 專技高考_醫師(二):醫學(五)(包括外科、骨科、泌尿科等科目及其相關臨床實例與醫學倫理)#113148
112年 · #113148
111年 - 111-2 專技高考_醫師(二):醫學(五)(包括外科、骨科、泌尿科等科目及其相關臨床實例與醫學倫理)#108727
111年 · #108727
111年 - 111-1 專技高考_醫師(二):醫學(五)(包括外科、骨科、泌尿科等科目及其相關臨床實例與醫學倫理)#106181
111年 · #106181
110年 - 110-2 專技高考_醫師(二):醫學(五)(包括外科、骨科、泌尿科等科目及其相關臨床實例與醫學倫理)#99917
110年 · #99917