阿摩線上測驗
登入
首頁
>
醫學五:80題 ( 包括外科,骨科,泌尿科等科目及其相關臨床實例與醫學倫理 )
> 102年 - 102-1 專技高考_醫師(二):醫學(五)(包括外科、骨科、泌尿科等科目及其相關臨床實例與醫學倫理)#36667
102年 - 102-1 專技高考_醫師(二):醫學(五)(包括外科、骨科、泌尿科等科目及其相關臨床實例與醫學倫理)#36667
科目:
醫學五:80題 ( 包括外科,骨科,泌尿科等科目及其相關臨床實例與醫學倫理 ) |
年份:
102年 |
選擇題數:
80 |
申論題數:
0
試卷資訊
所屬科目:
醫學五:80題 ( 包括外科,骨科,泌尿科等科目及其相關臨床實例與醫學倫理 )
選擇題 (80)
1 一嬰兒出生幾天後發生嘔吐的現象,經診斷為腸道扭轉不全(Malrotation),引起此症狀最主要的原 因為何? (A)營養不良 (B)胎便排出困難 (C)肺形成不全 (D)十二指腸阻塞或中腸扭結(Midgut volvulus)
2 一位 46 歲經期規則婦女,未曾生育,發現左側乳房有一腫塊約兩個月,至門診就診。乳房檢查外觀對 稱,皮膚無凹陷。觸診發現左側乳房 2 點鐘方向有一腫瘤,外緣不規則,但是可以移動,約 3 公分大 小。超音波檢查顯示低回音病灶(hypoechoic lesion),乳房 X 光攝影(mammography)也顯示左乳 房腫瘤併微小鈣化(microcalcifications),兩者檢查結果報告均為 BI-RADS(Breast Imaging Reporting and Data System)Category: 4。則下列何者為對病患最適宜的建議? (A)高度懷疑為惡性腫瘤可直接安排乳房切除手術(mastectomy) (B)可安排門診 6 個月後再追蹤 (C)可追蹤 3 個月再安排超音波及乳房 X 光攝影檢查 (D)安排門診粗針穿刺切片檢查(core needle biopsy)
3 有關免疫抑制劑的敘述,下列何者錯誤? (A) Tacrolimus 造成的 PTDM(Post-transplant diabetes mellitus)機會比 Cyclosporine 高 (B) Cyclosporine 會有牙齦增生(Gingival hyperplasia)和多毛症(Hirsutism)的副作用 (C) Sirolimus(Rapamycin)和 Cyclosporine 都屬於 Calcineurin inhibitors (D) Tacrolimus 和 Cyclosporine 都是常用於腎臟移植術後的藥物,但是同時也具有腎毒性的副作用
複選題
4 70 歲男性,右上肺葉有一 5 公分的腫瘤,有臟層肋膜(visceral pleura)的侵犯。切片證實為非小細 胞肺癌(non-small cell lung cancer)。手術後證實右側氣管前淋巴結為陽性,此外無其它癌症侵犯或 轉移。根據 AJCC 第 7 版的分期,請選出最合適的選項: (A) T classification 為 T3 (B) N classification 為 N1 (C)為第 IIIa 期 (D)為第 IIb 期
5 下列敘述,何者錯誤? (A)大多數的肺栓塞(pulmonary embolism)是起源於深層靜脈栓塞(deep venous thrombosis) (B)老年人常因營養不良而有比較高的手術後併發症發生率 (C)肥胖與營養不良並不會增加傷口裂開的機率 (D)手術後的疼痛、輸液量過多會導致高血壓 代號:3102 頁次:12-2
6 下列與手術後併發症相關的敘述,何者錯誤? (A)輸血反應是手術後發燒的一種原因 (B)肺擴張不全(atelectasis)最常發生於腹部手術後 5~7 天 (C)冠狀動脈疾病(coronary artery disease)、高血壓和年齡的增加是發生手術後心臟衰竭的危險因素 (D)尿滯留(urinary retention)是肛門周圍手術(perianal operations)和疝氣修補術(hernia repair)常 見的併發症之一
7 下列敘述,何者錯誤? (A)後腹腔出血(retroperitoneal hemorrhage)會造成手術後麻痺性腸阻塞(paralytic ileus) (B)腸套疊(intussusception)是手術後發生早期(術後 30 天內)機械性小腸阻塞(mechanical intestinal obstruction)最常見的原因 (C)封閉迴路(closed loop)的小腸阻塞建議再次剖腹探查 (D)腹部電腦斷層攝影(abdominal computed tomography)有助於診斷腸阻塞的原因
8 對於 Tumor markers 的敘述,下列何者最不合理? (A) Carbohydrate antigen 19-9(CA19-9)通常用來當胰臟癌的 tumor marker (B) Carcinoembryonic antigen(CEA)臨床上常用來監測大腸直腸癌 (C) α-fetoprotein 在胎兒時會下降,出生後會逐漸上升,懷孕時會下降 (D) CA-125 在子宮內膜異位和肝硬化的病患會上升
9 有關肝臟移植的適應症,下列何者錯誤? (A) Primary sclerosing cholangitis (B) Failure of a previous liver graft (C) Alagille’s syndrome (D) Colon cancer with liver metastases
10 下列對照的致癌原(Carcinogen)何者錯誤? (A)黃麴毒素(Aflatoxins)-肝癌(Hepatocellular carcinoma) (B)幽門螺旋桿菌(Helicobacter pylori)-胃腺癌(Gastric adenocarcinoma) (C) Epstein-Barr virus-鼻咽癌(Nasopharyngeal carcinoma) (D) Tamoxifen-乳癌(Breast cancer)
11 腦膜瘤復發(Recurrence of meningiomas)最重要的因素是那一個? (A)病患年齡(Age of the patient) (B)骨骼侵犯(Bone invasion) (C)良性腦膜瘤的組織學分類(Histological type of benign meningioma) (D)手術後的腫瘤殘留(Postoperative tumor residual)
12 下列何者不是內頸動脈結紮(Internal carotid artery ligation)的禁忌症(contraindication)? (A)嚴重低血容症(Severe hypovolemia) (B)最近有蜘蛛膜下腔出血(Evidence of recent SAH) (C)腦血管攝影有腦血管痙攣跡象(Evidence of cerebral vasospasm on the arteriogram) (D)頸動脈顳骨岩部之創傷性動脈瘤剝離(Traumatic dissecting aneurysm of the petrous carotid artery)
13 一位廚師工作時不慎造成在上臂後方有很深的切割傷,來到急診時手腕無法伸展(extension),手指無法伸直,這種情形最有可能是下列那一條神經受傷?(A)肌皮神經(musculocutaneous nerve)(B)正中神經(median nerve)(C)橈神經(radial nerve)(D)尺神經(ulnar nerve)
14 25 歲男性,用餐時與人發生口角,遭人以牛排刀刺入右頸部,送入醫院急診時發現右手無力但有痛 覺;左手可動卻失去冷、熱、痛等感覺,此病患可能是下列何種脊髓損傷症候群? (A)前脊髓症候群(anterior cord syndrome) (B)布朗塞卡氏症候群(Brown-Séquard syndrome) (C)中央脊髓症候群(central cord syndrome) (D)完全脊髓傷害(complete spinal cord injury)
15 下列有關第二頸椎樞突骨折(odontoid process fracture)之敘述,何者錯誤? (A)第一型骨折(Type I fracture)大都發生在翼狀韌帶(alar ligament)的接著處 (B)第二型骨折(Type II fracture)最常發生,但是較穩定 (C)第二型骨折發生在樞突(odontoid process)的基底部(base)不侵犯到第二頸椎椎體部(body) (D)第三型骨折(Type III fracture)發生在樞突的基底部並侵犯到第二頸椎椎體部
16 21 歲男性,主訴近兩個月來頭痛、視力模糊、步態不穩且常有嘔吐情形。電腦斷層掃描可見松果體 區有一個腫瘤,且引起腦室擴張。此病患接受立體定位切片確定診斷後,再接受放射線治療,之後 腫瘤消失。這個腫瘤最有可能的病理診斷為何? (A)惡性神經膠質瘤(glioblastoma multiforme, GBM) (B)畸胎瘤(teratoma) (C)室管膜瘤(ependymoma) (D)生殖細胞瘤(germinoma)
17 陳太太因右手拇指及食指、中指常常半夜麻醒,至門診求診,下列何種檢查最能提供確定診斷是「腕 隧道症候群(carpal tunnel syndrome)」? (A)電生理檢查(Electrophysiology Study, EPS) (B)核磁共振造影術(MRI) (C)電腦斷層掃描(CT) (D)手部超音波檢查(Sonography)
18 下列生長因子(growth factors),何者沒有血管新生(angiogenesis)的作用? (A)血小板衍生之生長因子 Platelet-derived growth factor (B)白血球衍生之生長因子 Leukocyte-derived growth factor (C) β-變形生長因子 Transforming growth factor-beta (D) α-腫瘤壞死因子 Tumor necrosis factor-alpha
19 各種細胞在傷口癒合出現之時間,下列敘述何者較不正確? (A)嗜中性白血球(neutrophils):0~6 天 (B)巨噬細胞(macrophages):1~12 天 (C)纖維母細胞(fibroblasts):1~14 天 (D)淋巴球(lymphocytes):8~14 天
20 關於部分厚度之傷口(Partial thickness wounds)的癒合,下列敘述何者錯誤? (A)癒合主要是靠上皮再生 (B)有許多膠原蛋白 (C)在真皮附屬物(如毛囊及皮脂腺)的上皮細胞複製而覆蓋裸露的真皮 (D)有傷口收縮 代號:3102 頁次:12-4
21 依照 British Medical Research Council 的 muscle-grading scale,正常的肌力是: (A) Muscle grade 1 (B) Muscle grade 3 (C) Muscle grade 5 (D) Muscle grade 6
22 對血管瘤(hemangioma)與血管畸形(vascular malformation)的敘述,下列何者正確? (A)血管瘤會萎縮,而血管畸形不會萎縮 (B)男女比例在兩者完全沒有差別 (C) Mast cell 在兩者都增加 (D)兩者都一定會壓迫到骨頭
23 下列那一條肌肉不是由正中神經(median nerve)所支配? (A)橈側屈腕肌(Flexor carpi radialis) (B)掌長肌(Palmaris longus) (C)屈拇長肌(Flexor pollicis longus) (D)尺側屈腕肌(Flexor carpi ulnaris)
24 三尖瓣閉鎖症(tricuspid atresia)合併肺動脈瓣閉鎖(pulmonary atresia),常在新生兒期就需作改良 性的 Blalock-Taussig 分流手術,其目的為何?①增加體動脈血氧飽和度(increase systemic artery oxygenation) ②促進肺動脈血管的發育(pulmonary artery growth) ③增加肺動脈血管阻力(pulmonary vascular resistance)以利最後階段之手術 ④促進右心室發育 (A)僅①② (B)僅①③ (C)僅②③ (D)僅③④
25 在急性心肌梗塞後,會發生各種併發症,下列何種併發症發生後必須考慮儘速手術治療,以免病人 病情惡化而死亡? (A)呼吸窘迫症候群(Acute Respiratory Distress Syndrome) (B)壞死性心室中隔缺損 (C)低心輸出量合併寡尿(Oliguria) (D)細菌性心內膜炎
26 (A) Kussmaul test (B) Homans’ test (C) Allen’s test (D) Babinski’s test
27 承上題,要作進一步確定診斷,何種檢查最適當且方便? (A)靜脈杜普勒超音波檢查 (B)靜脈血管攝影 (C)電腦斷層掃描 (D)核醫檢查
28 法洛氏四合症(Tetralogy of Fallot)完全矯正後,長期追蹤若有嚴重的肺動脈瓣逆流,右心室擴大,及右心室功能失效,此時最好的處理方式為何?(A)心房中隔造口(creation of atrial septal defect)(B)肺動脈瓣置換(C)三尖瓣置換(D)使用降肺高壓藥物
29 下列有關肺癌之敘述,何者正確? (A)肺鱗狀細胞癌(squamous cell carcinoma)在臺灣最常見 (B)肺腺癌(adenocarcinoma)較肺鱗狀細胞癌易早期轉移 (C)肺腺癌多生長於靠近門區(hilar) (D)小細胞肺癌(small cell carcinoma)治療以手術為主
30 有關 bullous emphysema 的手術適應症與方法之敘述,下列何者錯誤? (A) air leakage 而造成 pneumothorax (B) bullae 體積占據一半(50%)以上的單側胸腔 (C)手術時必須進行肺葉切除,以避免疾病復發 (D)無症狀且體積小的 bullae,通常可以觀察追蹤即可
31 下列何種TNM分期的Lung cancer不適合以手術作為第一線治療?①T1N0M0 ②T1N1M0 ③T1N3M0 ④T3N1M0 (A)僅③ (B)僅③④ (C)僅②③④ (D)僅①②
32 有關乳房 X 光攝影(mammography)檢查的敘述,何者正確? (A)小於 30 歲的年輕婦女懷疑乳房有硬塊,應先排乳房 X 光攝影 (B) 50 歲以上婦女 mammography sensitivity 較 50 歲以下婦女差 (C)乳房脂肪比例會影響 mammography sensitivity (D) mammography 會因不同檢查者而影響檢查結果,亦即 operator-dependent
33 38 歲停經前女性,其乳癌病理為浸潤性乳腺管道腺癌,腫瘤大小為 3.5 公分,女性賀爾蒙接受器 (Estrogen Receptor)陰性,黃體酮接受器(Progesterone Receptor)陰性,第二型上皮成長因子接受 器(HER2/NEU)為陰性,則其手術後該如何處理? (A)不用輔助性治療 (B)輔助性化學藥物治療(Chemotherapy) (C)輔助性標靶治療(Target therapy) (D)輔助性抗賀爾蒙治療(Anti-estrogen therapy)
34 王小姐 48 歲,平時生理週期規律正常,一週前在左側乳房摸到一個腫塊,因此她到外科門診希望接受進一步診療。對於王小姐的主訴首先施行的診療措施,下列敘述何者正確?(A)進行乳房的身體診查時,首先應請病患端坐,目視兩側乳房是否為對稱、皮膚有無變化、乳頭是 否凹陷等徵象。若皮膚呈紅斑(erythema)及水腫(edema)則應考慮切片檢查 (B)觸診乳房如果腫塊較硬且界線不明,移動時會牽扯到周圍鄰近的組織,就要懷疑有惡性的可能。尤其當腫塊有壓痛的症狀時,對於鑑別良性與惡性腫瘤很有助益(C)於門診施行細針穿刺(fine-needle aspiration)檢查,可以鑑別診斷是屬於侵襲癌或原位癌,尤其針對鑑別腫塊是實質腫瘤(solid)或是囊狀腫瘤(cystic)幫助很大(D)乳房攝影檢查的敏感性,在年輕的或乳房緻密的病人則較差,所以目前乳房超音波成為無症狀婦 女篩檢乳癌的影像檢查首選
35 下列有關 descending necrotizing mediastinitis 之敘述,何者錯誤? (A)大部分是因為 odontogenic infection 所引起 (B)因重力及縱膈腔的負壓,讓口腔及頸部的感染物質轉移到縱膈腔所引起 (C)治療通常不需要引流術 (D)通常培養出來的細菌與口腔正常菌有關
36 有關食道自發性破裂(Boerhaave’s syndrome),下列何者正確? (A)常與外傷有關 (B)常發生在激烈嘔吐之後 (C)破裂處常發生在頸部食道 (D)通常給予抗生素治療就可以解決病患的問題,如果感染無法控制再考慮外科手術
37 身體診查發現乳房出現橘子皮變化(peau d’orange 或 orange peel appearance)時,下列敘述何者錯誤? (A)此變化乃因癌細胞阻塞皮下淋巴循環造成 (B) Stage I 乳癌不會有此表現 (C)有可能是發炎性乳癌(inflammatory breast cancer) (D)應給予抗生素
38 下列何者不是引起膽管癌(cholangiocarcinoma)之危險因子? (A)原發性硬化性膽管炎(primary sclerosing cholangitis) (B)總膽管結石(common bile duct stone) (C)先天性膽管囊腫(choledochal cyst) (D)反覆性化膿性膽管炎(recurrent pyogenic cholangitis)
39 關於總膽管結石之敘述,下列何者錯誤? (A)阻塞性黃疸為最典型症狀 (B)膽囊切除術後經過半年才發現者視為原發性總膽管結石 (C)腹部超音波常可見總膽管擴張 (D)經內視鏡逆行性膽道攝影除可診斷外亦可用於治療
40 林先生因為上腸繫膜動脈血栓(superior mesenteric artery thrombi)併腹膜炎切除大部分小腸,則下 列何者不是術後發生短腸症(short bowel syndrome)的危險因子? (A)剩餘小腸長度小於 200 公分 (B)切除迴盲瓣 (C)切除空腸 (D)切除迴腸
41 王先生因為病態性肥胖接受胃繞道手術(Roux-en-Y Gastric Bypass),手術後發現用餐後沒多久,就 會有腹脹、噁心且伴隨有頭暈、心悸與呼吸不順。有關治療王先生的症狀,下列敘述何者正確? (A)王先生的症狀與身體分泌 Serotonin 有關,但服用 Serotonin 拮抗劑(Serotonin antagonists)僅能部 分改善症狀 (B)飲食習慣應建議王先生少量多餐,並避免蛋白或脂肪類等難消化食物 (C)飲食習慣應建議王先生少量多餐,餐中加湯或飲料,以促進食物消化 (D)王先生的症狀,皮下注射 Sandostatin 可以有效改善胃腸症狀,但對於頭暈、心悸等症狀無效
42 下列關於 cardia cancer 之 surgical treatment 的敘述,何者錯誤? (A)和 proximal gastrectomy 比較,total gastrectomy 為 procedure of choice (B) proximal gastrectomy 比 total gastrectomy 有較高 morbidity 及 mortality (C) proximal gastrectomy 比 total gastrectomy 有較高的 heartburn 發生率 (D) prognosis 比 distal gastric cancer 佳
43 下列那一項不是胰臟炎所致的併發症? (A)胰臟假性囊腫(Pancreatic pseudocyst) (B)胰臟周圍壞死(Peripancreatic necrosis) (C)胰臟膿瘍(Pancreatic abscess) (D)胰管分裂管(Pancreas divisum)
44 吳先生被送至醫院急診時,主訴為腹脹併腹絞痛兩天,當天並有嘔吐現象,過去兩天吳先生未排便但有 排氣。身體診查體溫 37.5℃,心跳速率每分鐘 102 下,呼吸速率每分鐘 18 下,血壓 130/60 mmHg。腹 部診查顯示有右腹部壓痛、反彈痛及右下腹闌尾切除術後疤痕。經抽血檢查及輸液補充,腹部 X 光 攝影顯示有小腸阻塞現象,於是進一步安排腹部電腦斷層檢查。則有關腹部電腦斷層檢查的敘述, 下列何者錯誤? (A)此時電腦斷層檢查通常須配合喝水溶性顯影劑(water soluble contrast) (B)電腦斷層檢查中,水溶性顯影劑在 24 小時內出現在大腸顯影,可作為腸阻塞緩解的指標 (C)水溶性顯影劑可以降低需要手術的機會 (D)水溶性顯影劑可以降低住院天數
45 有關箝閉性(Incarcerated)腹股溝疝氣之敘述,下列何者錯誤? (A)通常合併有腸阻塞 (B)疝氣部位表皮若出現紫紅色變化,宜儘速給予疝氣復位(Reduction) (C)會有局部疼痛及壓痛 (D)若手術中發現疝氣袋內小腸合併有缺血性壞死,小腸切除及吻合後,可同時進行疝氣修補手術
46 下列有關甲狀腺之敘述,何者錯誤? (A)成人 T4 之半衰期約一星期 (B) Parafollicular cells 分泌 thyroglobulin (C)成人 T3 之半衰期約 8 至 12 小時 (D)甲狀腺髓質癌由 parafollicular cells 病變而來
47 50 歲男性,過去有高血壓及十二指腸潰瘍病史,上個月曾經因為左側輸尿管結石去過急診,最近常 感到倦怠、四肢肌肉無力,則下列何種檢查,較無診斷價值? (A)血鈣濃度 (B)血中鹼性磷酸酶(alkaline phosphatase)濃度 (C)血中副甲狀腺素(iPTH)濃度 (D)血中三酸甘油脂(triglyceride)濃度
48 下一步處置何者最不適當? (A)餵食量減半,濃度也減半 (B)放胃管引流 (C)靜脈抗生素 (D)安排腹部 X 光攝影
49 下列何者不是手術適應症? (A) intraperitoneal free air (B) pneumatosis intestinalis (C) acidosis (pH < 7.20) after fluid resuscitation (D) hepatoportal venous gas
複選題
50 下列何者不是治療該類疾病常用的外科手術? (A)在局部麻醉下放置腹腔引流管 (B)“second-look"operation (C)切除病灶腸段,做腸造口 (D)切除病灶腸段並吻合
51 下列何種症狀或檢查和中腸扭結(Midgut volvulus)無關? (A)血便 (B)貧血 (C)腹脹 (D)腹部 X 光攝影(plain abdomen)可用來確定診斷
52 有關大腸直腸癌治療的敘述,下列何者錯誤? (A)手術切除是治療癌症的最有效方法 (B)低位直腸癌的患者,術前接受放射線治療可降低局部復發率 (C)手術後,對於第 III 期大腸癌之患者給予輔助性化學藥物治療,可提高存活率 (D)T2期之直腸癌最佳的治療方式是局部切除、保存肛門
53 慢性便秘之手術適應症,通常不包括: (A) Paradoxic puborectalis (B) Adult Hirschsprung’s disease (C) Chagas’ disease (D) Rectocele over 2 cm
54 下列那一項並非大腸直腸癌的 primary prevention? (A) Dietary modification (B) Avoidance of environmental hazards (C) Chemoprevention (D) Polyp screening
55 成年人(adult)小腸阻塞(small bowel obstruction)最常見的原因是: (A)手術後沾黏(adhesions) (B)疝氣(hernia) (C)小腸腫瘤(tumor) (D)腸套疊(intussusception)
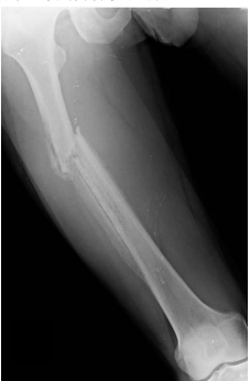
56 一位 38 歲男性主訴右膝劇烈疼痛,他約有一個月右膝疼痛病史,經國術館推拿後發現無法負重行走。 求診時發現局部腫脹,明顯壓痛及合併有輾軋聲(crepitus sound)。X 光攝影在右股骨近端有一病灶 如下圖。對此病患的診斷及治療,下列何者最不適當?
(A)實施骨骼牽引,以保持骨骼相對位置 (B)安排全身骨掃描(bone scan) (C)安排磁振造影(MRI) (D)立即進行骨折復位及內固定
57 一位 45 歲女性因骨盆腔腫瘤住院,經切片檢查,腫瘤組織中發現有多發性巨大細胞(multiple giant cell)、血管纖維組織(vascular fibrous tissue)及血鐵質(hemosiderin)。經診斷為 Brown tumor, 請問此症與下列何種疾病有關? (A)甲狀腺機能低下症(Hypothyroidism) (B)腦下垂體機能亢進症(Hyperpituitarism) (C)副甲狀腺機能亢進症(Hyperparathyroidism) (D) Paget’s disease
58 下列有關足跟骨的描述,何者錯誤? (A)跟骨骨折約有 10%病患合併腰椎骨折 (B)跟骨骨折約有 10%病患產生足跟部腔室症候群,結果造成 fixed clawing of the toes (C)依 Essex-Lopresti classification,跟骨骨折可分為 Tongue type 及 Joint depression type (D)正常跟骨 Böhler angle 小於 20 度 代號:3102 頁次:12-9
59 11 歲的林小弟是學校田徑校隊裡的運動健將。最近他發現左膝前下側的小腿上端,髕骨下緣下方約 4 公分處紅腫了起來,看起來像是隆起的小丘;按壓時硬硬的,很痛。運動時在跑步或跳躍當中特別 痛,不過休息一下就好了。但是這幾天變成休息時也會痛,特別是由蹲、坐姿要站起來時尤然。林 小弟最有可能發生了: (A)跳躍者膝(jumper’s knee) (B) Osgood-Schlatter 氏症 (C)貝克氏囊腫(Baker’s cyst) (D)髕前黏液囊炎(prepatellar bursitis)
60 腕隧道症候群(carpal tunnel syndrome)嚴重者,會導致一些肌肉無力,但下列何者不受影響? (A)拇指對掌肌(opponens pollicis) (B)拇指屈曲短肌(flexor pollicis brevis) (C)拇指內收肌(adductor pollicis) (D)拇指外展短肌(abductor pollicis brevis)
61 一位 36 歲的男性,主訴有下背痛並且會延伸到右小腿的外側,右足部背側有麻木感覺。身體診查發 現右側 SLRT(straight leg raising test)在 60 度時就會引起劇痛,且大趾背屈力量為 4 分,初步臨 床診斷為椎間盤突出症造成的坐骨神經痛。最可能的病灶為何部位? (A)第二、三腰椎椎間盤 (B)第三、四腰椎椎間盤 (C)第四、五腰椎椎間盤 (D)第五腰椎、第一薦椎椎間盤
62 一位 50 歲的女性清潔工,長期有下背痛、下肢酸麻及間歇性跛行(intermittent claudication)。下列 何者可幫助區分此患者是神經性(neurogenic)或血管性(vascular)間歇性跛行? (A)快速行走 (B)慢跑 (C)騎腳踏車 (D)仰臥起坐
63 髖關節前位脫位,患肢髖部產生何種畸形? (A)外展(abduction)及外旋轉(external rotation) (B)外展及內旋轉(internal rotation) (C)內收(adduction)及內旋轉 (D)內收及外旋轉
64 下列何種結石在 non-contrast spiral CT 下仍是 radiolucent? (A) Uric acid stone (B) Xanthine stone (C) Struvite stone (D) Indinavir stone
65 下列有關前列腺特定抗原(PSA)的敘述,何者正確? (A)是前列腺間質細胞所分泌的醣蛋白 (B)其功能與精液液化有關 (C)其數值不會受到導尿管插入、發炎等因素影響 (D)數值大於 4 ng/mL 即表示癌症
66 有一位 70 歲女性抱怨她在最近 3 個月咳嗽時會有嚴重尿失禁的現象。身體檢查並無異常,病史追蹤 發現她大約 3-4 個月前開始長期服用一些心臟血管方面的藥物,下面那一種藥最可能是造成尿失禁惡 化的主要因素? (A) captopril (B) doxazosin (C) felodipine (D) propranolol
67 35 歲以前年輕人的急性副睪丸發炎主要是因為: (A)經由性接觸傳染的尿道炎 (B)大腸桿菌的泌尿道感染 (C)結核菌的泌尿道感染 (D)金黃色葡萄球菌造成的包皮龜頭炎
68 國際勃起功能指數(international index of erectile function, IIEF),是一項廣泛使用的自我評估問卷調 查,包括各項性功能區塊(domain),除了: (A)勃起功能 (B)性伴侶滿意度 (C)性慾 (D)高潮功能
69 下列有關輸尿管腎盂接合處阻塞(ureteropelvic junction obstruction)的敘述,何者錯誤? (A)左側較常見 (B)其原因可能是接合處肌肉發育異常或異位血管(aberrant vessel)壓迫 (C)可併存於嚴重的膀胱輸尿管逆流(vesicoureteral reflux) (D)超音波檢查可確定診斷及決定預後
70 下列有關膀胱受傷(bladder injury)之敘述,何者正確?①骨盆腔受傷(pelvic injury)之中有約 5~ 10%合併膀胱受傷②骨盆腔受傷合併的膀胱受傷大多是腹膜內類型(intraperitoneal type)③膀胱受傷有約 10~29%合併尿道受傷(urethral injury)④血尿(hematuria)是骨盆腔受傷後懷疑有膀胱受傷的重要徵象,要做膀胱攝影(cystography)(A)僅①②③(B)僅①②④(C)僅①③④(D)僅②③④
71 可以用手術矯正之男性不孕症病因最常見的(the most common correctable cause of male infertility) 為何? (A) Varicocele (B) Testicular torsion (C) Testicular tumor (D) Hydrocele
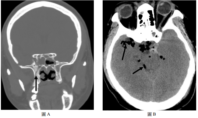
72 17 歲男性,頭部外傷,緊急做的 CT 影像發現顱底有一骨折(如圖 A 箭頭所指處),則在圖 B,箭 頭所指的是顱內:
(A) CSF leakage (B) Traumatic pneumocephalus (C) Fat embolism (D) Traumatic subarachnoid hemorrhage(SAH)
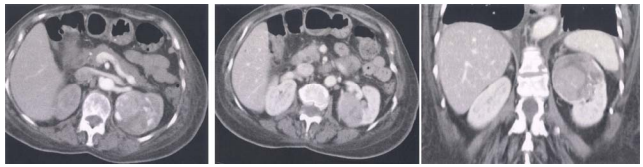
73 55 歲林先生,近數月來感覺疲倦、食慾減退,右上腹部也感到有些脹痛。血液檢查胎兒蛋白(alphafetoprotein)值正常、HBsAg 陽性(HBsAg +),肝臟 Dynamic CT 影像如圖⑴,手術前再度做血管 攝影檢查如圖⑵。林先生最可能患了什麼病? 圖⑴ 圖⑵ (A)肝臟轉移腫瘤(liver metastasis) (B)膽管癌(cholangiocarcinoma) (C)肝細胞癌(hepatocellular carcinoma) (D)海綿狀血管瘤(cavernous hemangioma)
74 64 歲林女士,因血尿而到醫院求診。醫師為她檢查發現左脇腹部似有壓痛,尿液有紅血球。進而為 她做腹部 CT 檢查,影像顯示腎病變如圖示。林女士最可能患了什麼病?
(A)腎細胞癌(renal cell carcinoma) (B)腎盂過渡細胞癌(transitional cell carcinoma of renal pelvis) (C)腎膿瘍(renal abscess) (D)腎盂內血塊充盈(blood clot in renal pelvis)
75 一位 43 歲男性業務員因工作壓力太大,這幾天都解黑便,他的黑便部分原因是因何種物質把血紅素 (hemoglobin)分解成血色素(hematin)? (A)小腸液 (B)胰腋 (C)膽汁 (D)胃酸
76 一位 40 歲男性有尿路結石病史,再次因腹痛至急診室,下列敘述何者錯誤? (A)結石所引起的腎絞痛起初可由腰腹部開始,後擴散到腹股溝及睪丸 (B)中段輸尿管結石的腎絞痛常會痛得令病患無法靜止下來 (C)輸尿管結石接近膀胱時,常會有頻尿及尿急迫感的感覺 (D)若產生了噁心、嘔吐等症狀,即可排除腎絞痛的可能
77 一位 36 歲男性工人體重 70 公斤,工作時不慎發生火災,身體表面積有 30%的燒傷,根據 Parkland formula 計算,他前 8 小時應給予多少毫升的輸液? (A) 8400 (B) 6300 (C) 4200 (D) 2100
78 張先生因罹患大腸癌而來找此方面權威的邢主任看診,邢主任決定為張先生開刀治療。在手術前邢 主任和張先生一番寒暄鼓勵,在麻醉生效後邢主任便將手術交給資深住院醫師執行,自己先行離去, 直到最後才進開刀房將大腸癌段摘除,病患完全不知情,只聽邢主任說手術過程順利。有關邢主任 的作為,下列那一個敘述最為恰當? (A)是一位好的老師,給予年輕醫師如此的磨練機會以獲取更多的經驗,用心良苦 (B)工作負荷重,需要用這段時間做行政、教學及研究工作,情有可原 (C)應全程參與開刀並親自執刀,只讓資深住院醫師縫合皮膚 (D)應於術前向張先生說明參與手術的是那一些人,並告知他在適當的情況下會教導資深住院醫師開 刀的技術
複選題
79 黃先生在老人院擔任管理員,常對家人表示如果自己得到老人失智症,他不願像老人院的失智老人 一般活著,最好能快些死去。不幸黃先生退休不久後逐漸出現失智狀況,且經常像小孩般活蹦亂跳, 既天真又快樂。某日黃先生在家門前追逐小狗,闖進馬路中央被一輛卡車撞倒,到達急診室時因內 出血休克,必須緊急手術。黃先生的女兒向醫師說明父親在心智正常時,曾表達若有失智便不想活 的心願,所以不知道該不該簽署手術同意書。下列敘述為醫師選擇處置的方式和理由,其中何者最 為合宜? (A)相信由女兒轉述的父親心願,於是不進行積極治療 (B)請女兒以書面明確陳述父親心願、代替父親簽署放棄積極治療同意書,方可不進行積極治療 (C)因黃先生並未以書面文件明確陳述,故不須理會他先前的心願 (D)因不確認黃先生目前之真正意願,故應積極搶救、等黃先生活下來再說
80 臨床醫學研究時需考量的倫理議題,下列何者錯誤? (A)若已有有效的標準治療方式,就不該使用安慰劑作對照組 (B)由尊重人格原則可導出「應取得知情同意」之概念 (C)由行善原則可導出應公平地挑選受試者 (D)未經受試者同意即逕行試驗乃違反醫療法規
申論題 (0)
相關試卷
115年 - 115-1 專技高考_醫師(二):醫學(五)(包括外科、骨科、泌尿科等科目及其相關臨床實例與醫學倫理)#137338
115年 · #137338
114年 - 114-2 專技高考_醫師(二):醫學(五)(包括外科、骨科、泌尿科等科目及其相關臨床實例與醫學倫理)#127923
114年 · #127923
114年 - 114-1 專技高考_醫師(二):醫學(五)(包括外科、骨科、泌尿科等科目及其相關臨床實例與醫學倫理)#125088
114年 · #125088
113年 - 113-2 專技高考_醫師(二):醫學(五)(包括外科、骨科、泌尿科等科目及其相關臨床實例與醫學倫理)#120655
113年 · #120655
113年 - 113-1 專技高考_醫師(二):醫學(五)(包括外科、骨科、泌尿科等科目及其相關臨床實例與醫學倫理)#118719
113年 · #118719
112年 - 112-2 專技高考_醫師(二):醫學(五)(包括外科、骨科、泌尿科等科目及其相關臨床實例與醫學倫理)#114977
112年 · #114977
112年 - 112-1 專技高考_醫師(二):醫學(五)(包括外科、骨科、泌尿科等科目及其相關臨床實例與醫學倫理)#113148
112年 · #113148
111年 - 111-2 專技高考_醫師(二):醫學(五)(包括外科、骨科、泌尿科等科目及其相關臨床實例與醫學倫理)#108727
111年 · #108727
111年 - 111-1 專技高考_醫師(二):醫學(五)(包括外科、骨科、泌尿科等科目及其相關臨床實例與醫學倫理)#106181
111年 · #106181
110年 - 110-2 專技高考_醫師(二):醫學(五)(包括外科、骨科、泌尿科等科目及其相關臨床實例與醫學倫理)#99917
110年 · #99917