阿摩線上測驗
登入
首頁
>
醫學三:80題 ( 包括內科,家庭醫學科等科目及其相關臨床實例與醫學倫理 )
> 102年 - 102-2 專技高考_醫師(二):醫學(三)(包括內科、家庭醫學科等科目及其相關臨床實例與醫學倫理)#36679
102年 - 102-2 專技高考_醫師(二):醫學(三)(包括內科、家庭醫學科等科目及其相關臨床實例與醫學倫理)#36679
科目:
醫學三:80題 ( 包括內科,家庭醫學科等科目及其相關臨床實例與醫學倫理 ) |
年份:
102年 |
選擇題數:
80 |
申論題數:
0
試卷資訊
所屬科目:
醫學三:80題 ( 包括內科,家庭醫學科等科目及其相關臨床實例與醫學倫理 )
選擇題 (80)
1 一位 49 歲女性病患因上腹以及左上腹區域疼痛約 2 至 3 天而求診,急診室的檢查結果顯示 Hb 10.4 g/dL,WBC 分類 N/L 79.9%/14.5%,glucose 115 mg/dL,BUN 13 mg/dL,creatinine 0.9 mg/dL,CRP 10.8 mg/L,lipase 173 U/L,amylase 67 U/L,triglyceride 1634 mg/dL。下列何項檢查最可能確定診斷? (A)上消化道內視鏡(UGI endoscopy) (B)腹部電腦斷層檢查(abdominal CT scan) (C)大腸鏡檢查(colonoscopy) (D)腫瘤標記檢查(tumor markers)
2 一位 80 歲的男性病人因跌倒至急診就診,他的家人拿出他平日在服用的藥物,下列何者最不可能導 致他跌倒? (A)alprazolam (B)zolpidem (C)omeprazole (D)chlorothiazide
3 下列何者並非診斷全身性發炎反應症候群(systemic inflammatory response syndrome)的準則? (A)發燒(口溫超過 38℃)或體溫過低(小於 36℃) (B)呼吸次數每分鐘超過 24 次 (C)心跳次數每分鐘超過 90 次 (D)血液培養出細菌
4 一位病人因體重減輕而來就診,適當之初步檢驗(initial testing)不包括下列何者? (A)全血球計數(CBC)(complete blood count) (B)肝功能生化檢查 (C)上消化道內視鏡 (D)胸部 X 光檢查
5 一位 47 歲男性病人因再生不良性貧血而長期接受輸血治療,病人全身皮膚呈現鐵灰色,血中 ferritin 高於正常值 500 倍,下列何種併發症與長期輸血無關? (A)心肌病變(cardiomyopathy) (B)肝硬化(liver cirrhosis) (C)糖尿病(diabetes mellitus) (D)白內障(cataract)
6 下列何者較不易引起血管擴張? (A)bradykinin (B)BNP(brain natriuretic peptide) (C)endothelin (D)ANP(atrial natriuretic peptide)
複選題
7 最常見的持續性心律不整為何?(一律給分) (A)上心室性心搏過速(supraventricular tachycardia) (B)心室性心搏過速(ventricular tachycardia) (C)心房顫動(atrial fibrillation) (D)心房撲動(atrial flutter)
8 一位 35 歲女性病人,已生二子,目前服用避孕藥,健康檢查及多次在家自量血壓介於 138/88 mmHg 至 150/94 mmHg 之間。身體診查及健診檢驗皆為正常。下列處置何者最為恰當? (A)給予利尿劑治療高血壓 (B)給予鈣離子阻斷劑治療高血壓 (C)請病人和其婦產科醫師討論是否停止服用避孕藥,並定期測血壓及回診 (D)給予 angiotensin-converting enzyme inhibitor(ACEI)治療高血壓
9 先天性 QT 延長症候群(congenital long QT syndrome),最常見的遺傳變異為何? (A)鈉離子通道之突變 (B)鈣離子通道之突變 (C)鉀離子通道之突變 (D)氯離子通道之突變
10 一位 46 歲男性糖尿病病人,有蛋白尿(proteinuria),且血壓介於 150/90 mmHg 至 160/94 mmHg 之 間。首選藥物是下列那一種? (A)乙型交感神經阻斷劑(β-adrenergic receptor blocker) (B)甲型交感神經阻斷劑(α-adrenergic receptor blocker) (C)利尿劑(diuretics) (D)angiotensin-converting enzyme inhibitor(ACEI)
11 下列何者非主動脈瓣閉鎖不全(aortic regurgitation)的身體診查所見? (A)Corrigan’s pulse (B)de Musset’s sign (C)elevated diastolic BP (D)Austin Flint murmur
12 二尖瓣(僧帽瓣)閉鎖不全與主動脈瓣膜狹窄的心雜音,一般而言不能由下列那一項特徵來區分? (A)一為收縮期雜音,另一為舒張期雜音 (B)雜音的特徵及期間,一為全收縮期,較 soft;另一為漸強漸弱型收縮期雜音,較 harsh (C)雜音 radiation 不同,一至左腋下,另一至頸動脈 (D)心雜音最大強度,一在心尖部位,另一在右第二肋間(心底部位)
13 (A)心臟衰竭 (B)肺心症(cor pulmonale) (C)急性肺水腫 (D)急性冠心症
14 承上題,對於張先生的處置,下列何者最不恰當? (A)給予氧氣與生理監測器 (B)靜脈注射嗎啡 (C)靜脈注射生理食鹽水 (D)靜脈注射利尿劑
15 巴洛氏食道(Barrett’s esophagus)是下列何種癌症的危險因子(risk factor)? (A)胃腺癌(gastric adenocarcinoma) (B)胃腸基質瘤(gastrointestinal stromal tumor) (C)食道鱗狀細胞癌(esophageal squamous cell carcinoma) (D)食道腺癌(esophageal adenocarcinoma)
16 一位 45 歲婦人主訴食慾不振,腹部不適及皮膚發黃,實驗室檢查數據如下:prothrombin time 延長, alkaline phosphatase(ALP)350 U/L,GGT 280 U/L,ALT 60 U/L,AST 50 U/L,total bilirubin 7.0 mg/dL, direct bilirubin 4.2 mg/dL。下列何項步驟或敘述最不恰當? (A)應予病患補充維他命 K (B)病患應先接受腹部超音波檢查 (C)病患應立即進行經皮穿膽管引流術(PTCD) (D)病患之尿液膽紅素(bilirubin)會增加,而糞便黃疸色素原(urobilinogen)會減少
複選題
17 關於原發性膽道性肝硬化症(primary biliary cirrhosis)的敘述,下列何者錯誤? (A)絕大多數發生在中年女性 (B)血清生化檢查,主要顯示典型膽汁滯留的變化,ALP 及 GGT 明顯升高,AST、ALT 僅呈輕度升高, 膽紅素升高以間接型膽紅素為主 (C)90%患者的 AMA 抗體皆呈陽性,可與自體免疫肝炎(autoimmune hepatitis)及原發性硬化性膽道 炎(primary sclerosing cholangitis)作鑑別 (D)目前認為 ursodeoxycholic acid 能延長患者壽命,且延遲肝移植
18 有關非類固醇抗發炎藥物(NSAIDs)引起的胃病變敘述,下列何者正確? (A)同時服用 aspirin 及 COX-2 抑制劑與只用 COX-2 抑制劑的腸胃出血風險相當 (B)抗血小板藥物 clopidogrel 並不會引起胃腸出血 (C)發生胃腸出血的風險為 indomethacin>diclofenac>ibuprofen (D)COX-2 抑制劑可減少胃腸出血的風險,但可能增加心血管風險,而非選擇性 NSAID 則不會增加心 血管風險
19 一位肝硬化患者因為大量吐血至急診處接受緊急上消化道內視鏡檢查,發現胃及食道靜脈曲張 (varices)出血,此患者之門脈壓(portal pressure,以 wedge-to-free gradient 測量)最有可能為: (A)5~7 mmHg (B)8~10 mmHg (C)10~12 mmHg (D)13~15 mmHg
20 下列何者不會增加胃腺癌(gastric adenocarcinoma)的風險? (A)幽門螺旋桿菌感染 (B)O 型血型 (C)胃部分切除術後 20 年 (D)惡性貧血
複選題
21 下列有關炎性腸病(inflammatory bowel disease)的敘述,何者錯誤? (A)潰瘍性大腸炎(ulcerative colitis, UC),只侵犯大腸;克隆氏病(Crohn’s disease, CD),從口腔到 肛門都可能侵犯 (B)UC 為廣泛性黏膜發炎;CD 呈斑塊性深層發炎,可能形成膿瘍、瘻管 (C)UC 及 CD 皆有癌變之可能,尤其患病 8 年以上時為然 (D)抽菸在 CD 病人有利於減輕症狀,但停抽時反會惡化;但對 UC 病人則只會使症狀惡化
22 臨床上偶見雙側卵巢轉移癌(Krukenberg tumor),最可能由何種細胞型態的消化系原發癌發生轉移? (A)鱗狀上皮細胞癌 (B)不分泌黏液之腺癌 (C)分泌黏液之腺癌 (D)肝細胞癌
23 下列何者為肝癌之主要轉移部位? (A)胃及腸 (B)胃及胰 (C)腹部淋巴結及肺 (D)腹部淋巴結及腎
24 與消化道類癌(carcinoid tumor)引起之類癌症候群(carcinoid syndrome),無關之症狀為下列何者? (A)顏面潮紅 (B)糙皮病(pellagra) (C)氣喘樣症狀 (D)便秘
25 下列何種利尿劑可以用來治療先天性腎性尿崩症(congenital nephrogenic diabetes insipidus)所引起之 多尿症?①thiazides ②loop diuretics ③acetazolamide ④amiloride (A)①② (B)②③ (C)②④ (D)①④
26 下列那一個病例較符合所列之動脈血氣體分析和血清電解質的檢查結果?pH 7.32,PaO
2
110 mmHg, PaCO
2
30 mmHg,HCO
3
-
18 mEq/L;Na
+
138,K
+
3.5,Cl
-
97(電解質的單位是 mmol/L) (A)70 歲病人因便秘嚴重,服用 magnesium sulfate 導致腹瀉數天 (B)28 歲病人診斷為修格連氏症候群(Sjögren’s syndrome),無意間發現腎鈣化(nephrocalcinosis),尿液 酸鹼值為 6.5;給予 NH4Cl(0.1 g/kg 體重)後,尿液酸鹼值為 6.0 (C)20 歲病人第一型糖尿病病史 5 年,血糖控制不佳,最近因為期末考胰島素注射次數減少 (D)60 歲病人因膽道阻塞放置引流管引流膽汁
27 (A)檢查尿液的鉀離子濃度和滲透壓,以及血清滲透壓 (B)檢查甲狀腺功能 (C)檢查血漿皮質醛固酮(aldosterone)濃度 (D)心臟超音波檢查
28 承上題,此病人最不需考慮下列那個診斷? (A)原發性皮質醛固酮症(primary aldosteronism) (B)巴特氏症候群(Bartter’s syndrome) (C)葛拉夫思氏疾病(Graves’ disease) (D)高安氏動脈炎(Takayasu’s arteritis)
29 與 Sjögren’s syndrome 的診斷最無關的檢查為: (A)sialoscintigraphy (B)HLA-DR2 檢測 (C)嘴唇的小唾液腺組織切片檢查(biopsy of lip minor salivary gland) (D)Schirmer’s test
複選題
30 下列何者不是急性腎衰竭病人接受緊急血液透析治療的適應症?(一律給分) (A)BUN 120 mg/dL,creatinine 2.5 mg/dL (B)血鉀值大於 7 mEq/L,且 Kayexalate(sodium polystyrene sulfonate)治療效果不佳 (C)心包膜積水 (D)肺水腫
32 (A)40 歲甲病人,血壓 160/108 mmHg,血漿腎素活性 0.12 ng/mL/hr(正常值 1.0-3.5 ng/mL/hr) (B)20 歲乙女性,使用利尿劑(hydrochlorothiazide)減重 (C)40 歲丙病人,血壓 162/102 mmHg,長期食用甘草(licorice) (D)60 歲丁病人使用 acetazolamide 治療青光眼
32 承上題,那位病人給予生理食鹽水後可以矯正其電解質和酸鹼的不平衡? (A)甲病人 (B)乙病人 (C)丙病人 (D)丁病人
33 下列有關 Lyme arthritis 的敘述,何者正確? (A)類固醇為首選治療藥物 (B)通常對口服 doxycycline 的治療無效 (C)由 Borrelia burgdorferi 感染所引起 (D)以侵犯手指或腳趾的小關節為主
34 根據 1982 年美國風濕病學院所制定的全身性紅斑狼瘡(SLE)的 11 項分類準則中符合 4 項即可診斷。 下列何種組合最符合 SLE 的診斷? (A)臉頰部紅斑,發燒,關節疼痛及口腔黏膜潰瘍 (B)抗核抗體陽性,抗 dsDNA 抗體升高,尿蛋白 1.25 公克/天,以及血小板數為 68,000/μL (C)多發性關節炎,抗核抗體陽性,白血球增加及肋膜炎 (D)多發性關節痛,口腔黏膜潰瘍,抽搐及血清補體 C3 降低
35 對於嚴重之第四型狼瘡性腎炎,目前最被推薦之二種細胞毒害藥物(cytotoxic drugs)為何? (A)cyclophosphamide 或 mycophenolate mofetil (B)cyclosporine 或 cyclophosphamide (C)azathioprine 或 methotrexate (D)azathioprine 或 cyclophosphamide
36 (A)血鉀過高 (B)血中 pH 值偏酸 (C)血磷過低 (D)血鈣偏低
37 承上題,對於該患者之緊急處置下列何者最不需要? (A)靜脈注射 NaHCO3,鹼化血中 pH 值 (B)給予口服 allopurinol (C)給予靜脈注射 rasburicase (D)靜脈注射鈣離子
38 在有慢性溶血疾病的病人,下列何種病毒感染會導致暫時性的再生不良性貧血(transient aplastic crisis)? (A)human immunodeficiency virus(HIV) (B)Parvovirus B19 (C)Coxsackievirus (D)Enterovirus
39 下列何種藥物會使 Lambert-Eaton 肌無力症候群症狀惡化? (A)利尿劑 (B)氣管擴張劑 (C)鈣離子通道阻斷劑 (D)抗組織胺
40 一位 40 歲女性病患,右側頸部有二個固定且無痛性腫塊,皆約 2×2 公分,經切片檢查證實為瀰漫性 B 細胞淋巴癌(diffuse large B cell lymphoma),下列檢查或治療,何者最不適當? (A)抽血檢查 lactate dehydrogenase (B)使用單株抗體藥物 trastuzumab 治療 (C)骨髓切片檢查 (D)電腦斷層檢查
41 下列腫瘤在 advanced stage 時仍有治癒之可能,何者除外? (A)淋巴癌 (B)生殖細胞瘤 (C)肝癌 (D)神經母細胞瘤(neuroblastoma)
42 (A)每週靜脈注射雙磷酸鹽 zoledronate 及不定時使用短效嗎啡 (B)口服短效嗎啡,每 3~4 小時一次,調整劑量直到穩定後改為長效嗎啡 (C)當病人發生疼痛時給予適量短效嗎啡,待穩定後改為長效嗎啡 (D)直接給予長效嗎啡,避免影響患者睡眠
43 承上題,上述病人在使用嗎啡之後,嗎啡成癮之機率大約為: (A)10% (B)5% (C)3% (D)小於 0.1%
44 一位 68 歲男性,罹患慢性阻塞性肺疾多年,近日咳嗽及呼吸困難加劇前往急診處就醫。身體診查發現 患者意識清楚,呼吸急促,及胸部聽診有呼氣喘鳴聲。胸部 X 光片沒有肺炎之現象,其呼吸空氣時動 脈血液氣體分析顯示 pH 7.274,PaCO
2
78 mmHg,PaO
2
40 mmHg,HCO
3
-
36 mEq/L,BE
+
9 mEq/L。 給予氧氣後,下列何者為最優先且適當之處置? (A)迅速給予氣管內插管及使用呼吸器以改善急性呼吸衰竭 (B)給予重碳酸鈉輸液來改善酸血症 (C)給予支氣管擴張劑吸入治療,並考慮使用非侵襲性呼吸器治療 (D)給予口服類固醇治療
45 有關白三烯素接受器拮抗劑(leukotriene receptor antagonist)之敘述,下列何者正確? (A)在氣喘控制方面,效果比吸入型類固醇為佳 (B)在氣喘控制方面,效果比吸入型長效乙二型交感神經刺激劑(inhaled long-acting β2-agonist)為佳 (C)為成人氣喘控制藥物之首要選擇 (D)為口服藥物,常用劑量為一天使用一次
46 ras 基因突變在下列何種肺癌出現之比率最高? (A)小細胞肺癌 (B)鱗狀上皮細胞癌 (C)腺癌 (D)大細胞肺癌
47 (A)Hemophilus influenzae (B)Streptococcus pneumoniae (C)Pseudomonas aeruginosa (D)Chlamydia pneumoniae
48 承上題,下列何種檢查方法可最快且準確診斷上述病人之病原菌? (A)血清抗體檢測 (B)痰細胞培養 (C)小便之抗原檢測 (D)喉頭擦拭之 PCR 檢測
49 一氧化碳擴散能力(D
LCO
),在下列何種情況下會有增加表現? (A)鬱血性心臟衰竭 (B)間質性肺疾病 (C)肺氣腫 (D)肺血管高壓(pulmonary hypertension)
50 有關 GOLD guideline 中 COPD 之分期及治療,下列何者錯誤? (A)FEV
1
/FVC<70%且 50%≦FEV
1
<80%預測值,為 stage II, moderate COPD (B)FEV
1
/FVC<70%且 30%≦FEV
1
<50%預測值,為 stage III, severe COPD (C)吸入性類固醇在 FEV1<50%且常有急性發作之患者,可規則長期使用 (D)對於 FEV
1
<30%預測值之穩定期 COPD 患者,可長期使用低劑量之口服類固醇來減少發作之次數
51 一位 73 歲男性患者,每天抽菸一包達 50 年,目前仍持續抽菸,但減為每天半包。肺功能檢查 FEV
1
/FVC =60%,FEV
1
=38%預測值,胸部 X 光片呈現兩側肺氣腫,右上肺葉有數個大型氣泡(bullae),病 患去年有超過兩次因為呼吸困難急性加劇住院治療,下列敘述何者錯誤? (A)依據 GOLD criteria,病患 COPD 的嚴重度應該為 stage III(severity=severe) (B)病患接受 MDI(metered-dose inhaler)治療,宜合併使用 inhaled long-acting β-agonist 和 corticosteroids (C)lung volume reduction surgery(LVRS)對本病患益處很少 (D)長期口服 corticosteroids 不適合用於本類病患
52 尿酸結晶沉澱在腎小管(renal tubules)及集尿管(collecting ducts)引起尿流阻塞稱為: (A)痛風 (B)腎結石 (C)尿酸鹽腎病變(urate nephropathy) (D)尿酸腎病變(uric acid nephropathy)
53 關於庫欣氏病(Cushing’s disease)三項內分泌測試結果:①1 mg dexamethasone 抑制試驗 ②2 mg dexamethasone 抑制試驗 ③8 mg dexamethasone 抑制試驗 下列那一個選項的敘述正確? (A)①②③皆抑制 (B)①②抑制③不抑制 (C)①②不抑制③抑制 (D)①②③皆不抑制
54 有關於甲狀腺功能低下病人之相關敘述,下列那一項正確? (A)身體診查時可能發現甲狀腺有瀰漫性腫大 (B)不會出現甲狀腺癌 (C)如果是老年人,應立即給予足量甲狀腺素,使功能儘速恢復正常 (D)一旦發現懷孕,應立即停用甲狀腺素
55 (A)甲:血糖變化;乙:胰島素分泌量;丙:胰島素敏感度 (B)甲:胰島素分泌量;乙:胰島素敏感度;丙:血糖變化 (C)甲:血糖變化;乙:胰島素敏感度;丙:胰島素分泌量 (D)甲:胰島素敏感度;乙:胰島素分泌量;丙:血糖變化
56 承上題,I、II、III 及 IV,那一點最可能是糖尿病發病之時間點? (A)I (B)II (C)III (D)IV
57 小明是一位人類免疫不全病毒(human immunodeficiency virus)感染發病者,目前正在接受抗反轉錄 病毒藥物治療(antiretroviral therapy)。下列相關敘述,何者錯誤? (A)肺囊蟲肺炎(Pneumocystis pneumonia)是愛滋病患最常見的肺部伺機性感染 (B)隨著抗反轉錄病毒藥物的使用,愛滋病患的伺機性感染已大幅減少 (C)服用抗反轉錄病毒藥物可能造成血脂肪上升、血糖上升等新陳代謝副作用 (D)接受治療者應定期追蹤 CD3 淋巴球數與病毒量
58 下列關於旅遊相關的細菌性腹瀉處理的敘述,何者不恰當? (A)以含電解質及糖之液體補充體液 (B)嬰幼兒發燒超過 24 小時,有血便,或腹瀉持續數天,應就醫進行診治 (C)嬰幼兒有血便及發燒,投予口服第一代 cephalosporin (D)老年人有血便及發燒,投予口服 fluoroquinolones
59 下列何種臨床狀況可符合愛滋病(AIDS)的診斷標準? (A)發生肺囊蟲肺炎(Pneumocystis pneumonia),但愛滋病毒抗體陰性 (B)愛滋病毒抗體陽性,且 CD4 淋巴球數已小於 200 cells/mm3 (C)愛滋病毒抗體陽性,CD4 淋巴球數大於 200 cells/mm3 ,但病毒量大於 100,000 copies/mL (D)西方墨點法(Western blot)檢驗愛滋病毒抗體呈現陽性
60 (A)Salmonella (B)Escherichia coli (C)Pseudomonas aeruginosa (D)HACEK organisms
61 承上題,患者經合適抗生素治療二週後,仍然持續發燒,心臟超音波顯示在三尖瓣膜有一 1.2×1.4 公分 贅生物(vegetation),收縮壓 100 mmHg,舒張壓 60 mmHg,需要 inotropic agent(dobutamine)維持 血壓,此時最需要且最合適的處理方式為: (A)繼續使用原本之抗生素,並考慮加上 vancomycin 合併治療 (B)使用抗凝血劑 heparin 以改善肺栓塞惡化及避免發生心臟血栓 (C)照會心臟外科考慮心臟瓣膜置換手術 (D)加上強心劑 digoxin 與增加靜脈輸液(生理食鹽水)以改善心輸出能力
62 承上題,關於此病症的敘述,下列何者錯誤? (A)對於未曾接受抗生素治療之患者,血液培養發現致病菌之陽性率可高達 95% (B)經胸壁心臟超音波(transthoracic echocardiography)檢查的敏感度約為 90% (C)診斷此病症應在 24 小時內由不同部位間隔 1 小時執行 3 套之血液培養 (D)60%以上的患者有紅血球沉降速率(erythrocyte sedimentation rate)增加
63 (A)relapsing polychondritis (B)pyogenic infection of ear auricles (C)eczema of ear auricles (D)tuberculous infection of ear auricles
64 承上題,本疾病在急性發作時,應給予那種治療最適當? (A)oral glucocorticoids (B)non-steroid anti-inflammatory drugs (C)local anesthetics injection (D)antibiotics
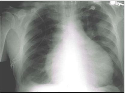
65 一位 67 歲男性,主訴兩週來漸發性呼吸困難,病患抽菸 50 年,近半年來常感倦怠,常咳嗽且併有 濃痰。身體診查血壓 90/60 毫米汞柱,呼吸速率每分鐘 30 下,脈搏每分鐘 100 下,心臟的聽診發現 心音變小(distant heart sound),但無心雜音,在鼻管通氧 2 公升/分鐘下,動脈血氧飽和度 SaO2: 93%。胸部 X 光如下: 下列敘述何者錯誤?
(A)患者之頸靜脈怒張 (B)患者血壓呼氣時收縮壓下降幅度超過 10 毫米汞柱 (C)患者心電圖檢查之肢導極及胸前導極均呈低電壓 (D)下一步應考慮安排心臟超音波檢查確診
66 下列何者是周全性老年評估(comprehensive geriatric assessment)的對象? (A)65 歲以上老人 (B)急性功能減退的老人 (C)長期照護機構臥床老人 (D)接受重症治療中的老人 代號:1102 頁次:12-10
67 一位 23 歲女性,已婚但未曾懷孕,來門診請你開立避孕藥。她過去沒有重大內科疾病,沒有偏頭痛,也不曾得過性病。身體診查發現她的血壓為 160/100 mmHg,身高是 162 公分,體重為 82 公斤。下一步處置,以下何者最適當?(A)應更進一步詢問病史,並評估血壓問題後再決定是否給避孕藥(B)告訴病人她太胖了,應開給減肥藥,請病人一個月後複診(C)直接開給避孕藥,請病人定時服用即可(D)告訴病人她太胖了,不適合使用避孕藥
68 在病情穩定的慢性病治療醫病關係中,下列何者是最合適的醫病互動模式? (A)權威引導模式 (B)獨立決策模式 (C)主動參與模式 (D)指導合作模式
69 一位 67 歲的男性退休行政人員,家族史有肝癌,過去並無特殊疾病史,平常無運動習慣,不抽菸且 不喝酒。下列何項預防保健服務的建議,並無實證醫學的依據? (A)貧血篩檢 (B)憂鬱症篩檢 (C)體重測量 (D)視力篩檢
70 接受高劑量腎上腺皮質素治療的兒童,在預防接種時需避免下列何種疫苗? (A)麻疹、腮腺炎及德國麻疹(MMR)疫苗 (B)B 型肝炎疫苗 (C)白喉、百日咳及破傷風(DPT)疫苗 (D)小兒麻痺不活化病毒疫苗(沙克疫苗)
71 王醫師發現有些醫師會使用腎上腺皮質素治療上呼吸道感染的症狀,他十分懷疑這種治療方式是否 真的有效,他決定以實證醫學方式去解答他的問題。下列那一個問題最適合作實證醫學探索? (A)腎上腺皮質素對緩解上呼吸道感染症狀的實證醫學評估 (B)腎上腺皮質素與一般症狀治療對緩解上呼吸道感染症狀的比較評估 (C)腎上腺皮質素使用前及使用後對緩解上呼吸道感染症狀的比較評估 (D)腎上腺皮質素與一般症狀治療對成年人上呼吸道感染症狀緩解的比較評估
72 陳先生,32 歲,主訴腹瀉 3 天,1 週前曾去泰國觀光。2 天前開始出現腹瀉的症狀,解出來的都是一 些黃色稀便或水便,合併有輕微發燒、噁心、腹痛、腹脹及全身倦怠等症狀。他表示,曾經在泰國 的路邊攤買一些已削皮、切好的水果來吃,此外也曾在當地自助餐廳吃了一些沙拉和生魚片。曾自 行服用一些胃腸藥,但腹瀉狀況並沒有改善。下列有關此腹瀉病人的敘述何者錯誤? (A)病原菌以 enterotoxigenic E. coli 最常見 (B)有 20~50%原因不明 (C)早期使用 fluoroquinolone 可縮短病程 (D)建議下次出國時使用抗生素預防
73 安寧緩和醫療包括身、心、社會和靈性照顧,其中心理靈性的照顧在生命末期愈顯重要,下列有關如何讓癌末病人維持希望的敘述,何者錯誤?(A)採取積極治癒性的治療以維持病人活下去的希望(B)給予疼痛的解除、家人的關懷和心願的達成(C)生命的回顧讓病人覺得這一生沒有白過(D)所謂希望是指在能力所及下有努力的目標,超越無作為的期待
74 一位 60 歲女性,因胸痛和呼吸短促就醫,胸部 X 光片和 CT,如圖,則最正確的診斷應為:
(A)縱隔腔腫瘤 (B)肺炎 (C)肺癌(adenocarcinoma) (D)肺動脈栓塞(pulmonary embolism)
75 操作 CPR 的口訣是「叫叫 CAB」,有關 B,下列那一項敘述正確? (A)如果吹第一口氣,胸部沒有起來,則將呼吸道打得更開一點 (B)如果吹第一口氣,胸部沒有起來,表示呼吸道阻塞,則要去除呼吸道的阻塞 (C)為了給病人足夠的通氣量,要深吸一口氣,然後大力的吹進病人的肺內 (D)為了給病人足夠的通氣量,每一口氣要吹 2 秒
76 一位 65 歲女性因為發燒與乾咳來急診就醫。咳嗽自 5 天前就開始,伴隨有些微呼吸困難。1 天前 開始出現發燒發冷症狀,有噁心感但無腹痛。病人有高血壓病史,與家人同住,最近 3 個月內沒出 過國。身體診查發現右下肺有囉音(rales)與輕微哮鳴聲(wheezing)。血液檢查發現白血球為 13,000/mm
3
,C-reactive protein(CRP)為 15.3 mg/dL。胸部 X 光顯示右下肺葉有浸潤(infiltration), 懷疑為肺炎。你準備將此病人收住院治療,下列何種是初步最適當的抗生素選擇? (A)clindamycin+metronidazole (B)cefazolin+macrolide (C)ciprofloxacin+aminoglycoside (D)Augmentin(amoxicillin with clavulanic acid)+macrolide
77 一位 37 歲男性因 2 小時前突發性腹痛入急診。病人為長期酗酒者,這幾年已陸續發作過 5、6 次的 胰臟炎而住院。以這位病人而言,下列何項敘述最合理? (A)血液 amylase 與 lipase 有可能為正常,但不代表無胰臟發炎 (B)在急性期時使用 Ranson criteria 能對預後有很精確的預測 (C)血液 lipase 上升速度快,半衰期約 2 小時,3 天內會回復正常 (D)血液 amylase 或 lipase 愈高,代表胰臟發炎愈嚴重
78 一位 35 歲男性因 2 小時前右踝關節突發性疼痛而入急診。病人表示 2 年前有過一次類似情況,發生 在左膝關節,經醫師打止痛劑後就緩解,不知原因為何。今天晚上與同事去聚餐。吃完海鮮大餐與 啤酒後半小時就開始疼痛。身體診查發現體溫為 37.3℃,右踝關節紅腫且有明顯壓痛。血中白血球 為 14,500/mm3 ,下列何者最能幫助進一步的鑑別診斷? (A)血中尿酸值 (B)關節液分析 (C)踝關節 X 光 (D)CRP
79 一位 35 歲肝癌末期病患 T,於腫瘤病房住院期間得知自己之病情,一開始非常震驚、哭泣,其後經 過醫護人員與妻子之支持,情緒逐漸好轉;住院 3 個星期之後,T 主動要求簽署「不施行心肺復甦 術」之意願書,經腫瘤科主治醫師詳細評估並說明後,由 T 親自簽署意願書。下列敘述何者較為合 理? (A)腫瘤科主治醫師未請精神科專科醫師評估 T 之憂鬱症狀及自殺傾向,並不妥當 (B)某日 T 因癌症臨終,多重器官衰竭,從南部趕上臺北之父母要求一定要急救,等待好日再讓 T 過 世,否則要告主治醫師醫療過失。為了避免被告,只好先急救再說 (C)某日 T 因為與肝癌病情無關之感冒高燒併發肺炎時,醫護人員認為 T 已經簽了「不施行心肺復甦 術」之意願書,其實不需積極治療 (D)T 出院之後,散步時因為肝癌末期之器官衰竭路倒,生命危急,被好心人送到醫院急診,急診醫師 不知 T 有簽署「不施行心肺復甦術」之意願書,為 T 施行插管急救,保住 T 之生命跡象。其後,在 T 之妻的告知下,拔管讓 T 離開急診回家
80 某癌症專科醫院鑑於近年來基因檢測日益普及,再加上人體組織資料庫有助於基因醫學的研究,因 此決定在所有病人住院時,將許多的基因檢測納入常規檢查,所有病人都要自費做。有關這樣的作 法,下列那一個說法錯誤? (A)病人應該可以選擇是否做基因檢測,不應該未告知即納入常規檢查 (B)病人常規檢查剩餘的血液,如果要留存做研究,應該明確告知病人 (C)基因檢測結果的告知應提供基因諮詢 (D)基於促進醫學研究,醫院增列自費常規檢查項目並無不妥
申論題 (0)
相關試卷
115年 - 115 專技高考_醫師(二):醫學(三)(包括內科、家庭醫學科等科目及其相關臨床實例與醫學倫理)#137317
115年 · #137317
114年 - 114-2 專技高考_醫師(二):醫學(三)(包括內科、家庭醫學科等科目及其相關臨床實例與醫學倫理)#127920
114年 · #127920
114年 - 114-1 專技高考_醫師(二):醫學(三)(包括內科、家庭醫學科等科目及其相關臨床實例與醫學倫理)#125089
114年 · #125089
113年 - 113-2 專技高考_醫師(二):醫學(三)(包括內科、家庭醫學科等科目及其相關臨床實例與醫學倫理)#120658
113年 · #120658
113年 - 113-1 專技高考_醫師(二):醫學(三)(包括內科、家庭醫學科等科目及其相關臨床實例與醫學倫理)#118724
113年 · #118724
112年 - 112-2 專技高考_醫師(二):醫學(三)(包括內科、家庭醫學科等科目及其相關臨床實例與醫學倫理)#114972
112年 · #114972
112年 - 112-1 專技高考_醫師(二):醫學(三)(包括內科、家庭醫學科等科目及其相關臨床實例與醫學倫理)#113147
112年 · #113147
111年 - 111-2 專技高考_醫師(二):醫學(三)(包括內科、家庭醫學科等科目及其相關臨床實例與醫學倫理)#108729
111年 · #108729
111年 - 111-1 專技高考_醫師(二):醫學(三)(包括內科、家庭醫學科等科目及其相關臨床實例與醫學倫理)#106186
111年 · #106186
110年 - 110-2 專技高考_醫師(二):醫學(三)(包括內科、家庭醫學科等科目及其相關臨床實例與醫學倫理)#99914
110年 · #99914