所屬科目:皮膚科
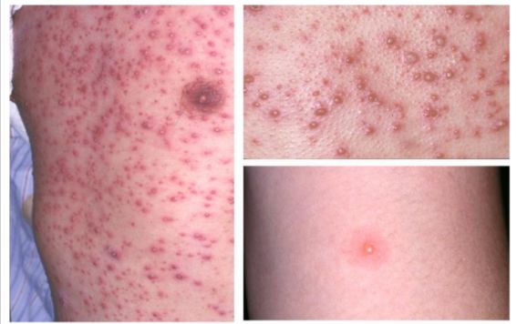
4. 一位實習醫師突然在臉部及軀幹發生如圖示的皮 疹,併有發燒,最可能的診斷是? (A) Varicella (B) Stevens-Johnson syndrome (C) Rubella (D) Sudamina (E) Pityriasis lichenoides et varioliformis acuta
5. 30歲男性, 皮膚病變如圖, 以下何者為必需之處置? (1) 抽血檢查有無HIV感染; (2) 詢問性行為史;(3) 抽血檢查有無梅毒;(4) 切取組織作病理檢查 (A) (1)+(3) (B) (2)+(4) (C) (1)+(2)+(3) (D) (4) (E) (1)+(2)+(3)+(4)
6. 此50歲女性病患先有臉部潮紅現象,一年後後演變 成如圖所示之皮疹,遇熱時臉會更紅。最可能的診 斷是: (A) Systemic lupus erythematosus (B) Solar dermatitis (C) Rosacea (D) Dermatomyositis (E) Ofuji disease
7. 如圖所示臉部的慢性增大單一腫塊,下列何者是最 可能的診斷? (A) Basal cell carcinoma (B) Melanoma (C) Seborrheic keratosis (D) Sebaceous carcinoma (E) Squamous cell carcinoma