所屬科目:呼吸疾病學
2.使用呼吸器治療的病人若病情好轉,往往可以脫離機械通氣。下列是拔管(extubation)前的重要呼吸參數, 何者錯誤? (A)血氧飽和度(oxygen saturation,SpO2)>85% (B)淺快呼吸指標(rapid shallow breathing index,RSBI)<105 breaths/min/L (C)最大吸氣負壓(maximum negative inspiratory pressure,)<-20~-30 cm H2O (D)自發性潮氣容積(spontaneous tidal volume)>5 mL/kg (理想體重下)
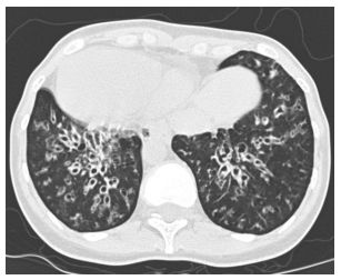
12.病人胸腔電腦斷層如圖示,病人主要是何種疾病? (A)慢性阻塞性肺病 (B)支氣管擴張症 (C)肺炎 (D)肺膿瘍
21.一位78歲男性病人,為嚴重慢性阻塞性肺病(Group D COPD)病人,若病況需要考慮長期使用非侵襲性陽壓 呼吸器及長期使用鼻管氧氣治療,下列檢驗結果何者最不可能為治療前判斷的依據? (A)動脈血液氣體分析=28(正常值23~25) (B)動脈血液氣體分析PaCO2 = 42(正常值42~45 mm Hg)(C)胸部X光呈現過度充氣現象 (D)血紅素(Hb)= 17 g/dL(男性正常值13~15 g/dL)
67.下圖5分鐘睡眠紀錄顯示之呼吸事件為何者?(圖中頻道由上往下依序為C3-A2,C4-A1,O1- A2:腦電圖; LEOG,REOG:眼動圖;EMG:頦下肌電圖;LEMG:前脛骨肌電圖;ECG:心電圖;RR:心搏速率; THO:胸部呼吸動作;ABD:腹部呼吸動作;FLOW:口鼻溫度呼吸氣流;MicL:鼾聲;SaO2:血氧飽和 度;Body:睡眠體位。) (A)陳氏呼吸 (B)混合型呼吸中止 (C)阻塞型呼吸中止 (D)中樞型呼吸中止
75.一個三個月大的小男嬰,因有心室中膈缺損(VSD)接受修補手術,術後到加護病房觀察,一星期後仍無法 脫離呼吸器,胸部X光如下圖所示,最可能原因是? (A)肺炎 (B)右下肺塌陷 (C)心包膜積液 (D)右側膈神經麻痺