所屬科目:呼吸疾病學
66.下圖3分鐘睡眠紀錄所顯示之呼吸事件為何者?(圖中頻道由上往下依序為E1-M2,E2- M2:眼動圖;F4- M1,C4-M1,O2- M1:腦電圖; CHIN:頦下肌電圖;ECG:心電圖;RLEG,LLEG:前脛骨肌電圖; SNOR:鼾聲;THER:口鼻溫度呼吸氣流;PRES:鼻腔壓力呼吸氣流;THO:胸部呼吸動作;ABD:腹 部呼吸動作;SaO2:血氧飽和度) (A)中樞型呼吸中止 (B)阻塞型呼吸中止 (C)混合型呼吸中止 (D)陳氏呼吸
67.關於下列圖形的判讀,何者正確?(Pes: esophageal pressure) (A)①mixed apnea (B)②central apnea (C)③obstructive apnea (D)④respiratory effort-related arousal
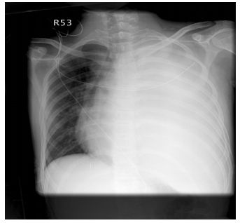
74.一個13歲的小男生來急診,主訴咳嗽和呼吸喘1星期,胸部X光如下圖所示,下列敘述何者錯誤? (A)可能是有左側大量胸水造成呼吸窘迫 (B)可能是左胸腔腫瘤造成呼吸窘迫 (C)可用胸腔超音波檢查並分辨左側胸腔的狀況 (D)可能是左支氣管塞住導致左肺全塌陷