所屬科目:基礎口腔醫學
1. 頭部顱底骨(cranial base bone)之骨化過程為下列何者? (A)二級軟骨骨化(secondary cartilage ossification) (B)膜內骨化(intramembranous ossification) (C)軟骨內骨化(endochondral ossification) (D)膜內骨化(intramembranous ossification)及軟骨內骨化(endochondral ossification)兩種
2. 腦下腺前葉為以下哪一胚層所發育而來?(A)表面外胚層(B)神經性外胚層(C)內胚層(D)軸旁中胚層
3. 上顎是由胚胎期第幾個鰓弓(branchial arch)所發育而來?(A)第四鰓弓 (B)第三鰓弓 (C)第二鰓弓 (D)第一鰓弓
4. 上顎臼齒牙胚首先發育,其咬合面先朝向哪個方向,至上顎發育足夠空間時,才轉移到正確位置? (A)近心 (B)中心 (C)遠心 (D)離心
5. 牙齒發育分三個階段進行,其中不包含下列何者?(A)蕾期 (Bud stage)(B)帽狀期 (Cap stage)(C)牙釉期 (Enamel stage)(D)鐘形期 (Bell stage)
6. 下列敘述何者為非? (A)促使牙齒形成的能力來自外間葉細胞,外間葉細胞可使多種的上皮形成牙齒。 (B)牙齒上皮(epithelial dental organ)與皮膚的間葉細胞重新組合則上皮會失去其牙齒 的特性而形成真皮(epidermis) (C)在最早的組織學中指出,牙齒發育是在胚胎第二十一天,第一腮弓的口腔表面牙齒形成處有上皮增厚的情形。 (D)牙冠型態的決定為一連續步驟,雖然在某些動物所有的牙齒型態完全相同(homodont), 在大多數的哺乳類則不一樣(heterodont)
7. 關於牙齒萌發時移動的機制何者正確?(A)尚未完全了解 (B)普遍認為是多因素的過程 (C)難以分離因果關係 (D)以上皆是
8. 下圖黑線白底框框中之構造稱? (A)牙釉島(B)牙釉結(C)牙突島(D)側牙版
9. 下兩圖為不同倍率下之切片構造,試問圓圈框框中,可見醣氨多醣(glycosaminoglycan) 為親水性(hydrophilic)物質,將水分吸進釉器中因而增大其胞間組織的容積使得細胞相互間分的很開,又因細胞間仍由橋體相連,故細胞看來似星形,釉器中心也因而稱為?分的很開,又因細胞間仍由橋體相連,故細胞看來似星形,釉器中心也因而稱為? (A)Dental follicle (B)Stellate reticulum (C)Outer enamel epithelium (D)Stellate intermedium
10. 以下關於牙釉質的組織學構造敘述何者錯誤? (A)牙釉梭(Enamel spindles) 牙本質母細胞(odontoblast)的突觸延伸 (B)結狀牙釉質(Gnarled Enamel)為牙釉柱(enamel rod)排列互相纏繞的結構,可增強牙釉質對咬合力的抵抗 (C)雷氏條紋(Striae of Retzius)類似樹的年輪,是牙釉質生長每周的變化 (D)牙本質與牙釉質交界(Dentinoenamel junction)成一直線
11. 何者為牙髓組織的功能?(A)營養性 Nutritive (B)保護性 Protective (C)修復性 Reparative (D)以上皆是
12. 以下哪項構造具有小管 (tubule)讓其具有滲透性並讓牙齒有敏感性?(A)牙釉質 (B)牙本質 (C)牙髓 (D)牙骨質
13. 牙周組織不包含以下何者?(A)牙骨質 (B)牙周韌帶 (C)骨頭 (D)牙本質
14. 下列何者是柔軟的、特定的結締組織,並位於覆蓋牙根的牙骨質和形成齒槽的骨頭之間? (A)牙骨質 (B)牙周韌帶 (C)齒槽骨 (D)牙本質
15. 下列何者不屬於牙周組織的組成構造?(A)下顎骨 (B)牙骨質 (C)牙齦 (D)齒槽骨
16. 下列哪個肌肉負責舌頭的收縮?(A)頦舌肌 Genioglossus(B)舌骨舌肌 Hyoglossus(C)莖突舌肌 Styloglossus(D)顎舌肌 Palatoglossus
17. 下列哪塊肌肉負責將下顎抬起?(A)笑肌 Risorius(B)頰肌 Buccinator(C)內翼肌 Medial pterygoid(D)外翼肌 Lateral pterygoid
18. 請根據下列三種臉部運動找出對應的臉部肌肉:甲→微笑;乙→伸展嘴唇;丙→抬高下巴(A)甲、提口角肌 Levator anguli oris;乙、笑肌 Risorius;丙、頦肌 Mentalis(B)甲、提口角肌 Levator anguli oris;乙、頦肌 Mentalis;丙、笑肌 Risorius(C)甲、笑肌 Risorius;乙、提口角肌 Levator anguli oris;丙、頦肌 Mentalis(D)甲、笑肌 Risorius;乙、頦肌 Mentalis;丙、提口角肌 Levator anguli oris
19. 請判斷以下敘述是否正確:甲、若要使顳顎關節盤呈現後縮,則需透過收縮兩側顳肌 (Temporalis muscles)後部來使下巴向後移動。乙、若要使顳顎關節盤呈現下降,需透過外翼肌(Lateral pterygoid)下頭和內翼肌(Medial pterygoid)上頭的收縮來張口。 (A)兩者皆正確 (B)兩者皆錯誤 (C)甲正確,乙錯誤 (D)甲錯誤,乙正確
20. 顳顎關節的關節處涵蓋哪兩塊骨頭?(A)顳骨 Temporal bone、頦隆凸 Mental protuberance(B)蝶骨 Sphenoid bone、下顎喙狀突 Coronoid process of the mandible(C)顳骨 Temporal bone、下顎髁 Mandibular condyles(D)以上皆非
21. 哪條動脈為下顎牙齒及其周圍組織供應血液?(A)顏面動脈 (B)舌動脈 (C)下齒槽動脈 (D)翼靜脈叢
22. 顳顎關節主要是由下列那一條神經支配?(A)顏面神經 (B)三叉神經的眼支 (C)三叉神經的上顎支 (D)三叉神經的下顎支
23. 下列哪個淋巴結可引流下巴兩側、下唇、口底、舌尖和下顎門齒?(A)面部淋巴結 (B)頦下淋巴結 (C)頜下淋巴結 (D)咽後淋巴結
24. 蝶骨(Sphenoid bone)的構成不包含下列何者?(A)顎突 Palatine process(B)顳窩 Temporal fossa(C)眼上眶裂 Superior orbital fissure of the orbit(D)顱骨底部位於枕骨 (Occipital bone)前方
25. 覆蓋在骨頭外面的纖維結締組織膜(fibrous connective tissue membrane)稱為?(A)骨內膜 (B)骨膜 (C)透明軟骨 (D)關節軟骨
26. 下列哪一項不屬於蝶骨的孔 (Foramen)?(A)門齒孔 (B)框上裂 (C)卵圓孔 (D)圓孔
27. 唾液腺的神經支配主要來自哪裡?(A)腦幹的副交感神經 (B)頸椎的交感神經 (C)腰椎的交感神經 (D)腦幹的交感神經
28. 下列哪一塊涉及面部表情的肌肉沒有附著在骨頭上,能夠控制開口的形狀與大小,並在說話時控制嘴唇的姿勢與動作?(A)笑肌 (B)顴骨大肌 (C)口輪匝肌 (D)提口角肌
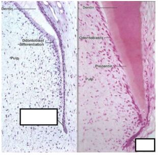
29.右圖方框中構造稱為?
(A)Herwig’s epithelial root form(B)Hertwig‘s epithelial root canal(C)Hertwig‘s epithelial root shell(D)Hertwig‘s epithelial root sheath
30. 請排序出傷口復原的過程。甲、增生 Proliferation乙、發炎 Inflammation丙、成熟 Maturation丁、止血 Hemostasis(A)甲乙丙丁 (B)甲丙乙丁 (C)丁甲乙丙 (D)丁乙甲丙
31. 國際牙科聯盟命名系統(FDI numbering system)編號為何代表上顎第一小臼齒?(A)14、24 (B)15、25 (C)34、44 (D)35、45
32. 由國際牙科聯盟命名系統 (FDI)命名法的第二個數字可判斷牙齒的?(A)是否為恆牙 (B)象限 (C)是否為乳牙 (D)前後牙
33. 有關乳牙上顎犬齒的敘述何者錯誤?(A)唇側面觀,牙冠近遠心徑在齒頸部較為緊縮(more constricted)(B)舌側面觀,舌面嵴(lingual ridge)將舌側分為近舌窩與遠舌窩(mesiolingual anddistolingual fossae)(C)近心與遠心面觀,牙冠唇舌徑(labiolingual width)在齒頸 1/3 最大(D)切端面觀,呈鑽石形且角度比恆牙犬齒圓鈍
34. 下列有關乳牙萌出的敘述,何者正確?(A)下顎乳正中門齒比上顎同名牙早萌出(B)上顎第二乳臼齒與下顎同名牙萌出時間相差 1 年(C)上顎的乳犬齒比上顎的第一乳臼齒早萌出(D)下顎的乳犬齒比下顎的第一乳臼齒早萌出
35. 下列哪一項不是乳齒列的特徵?(A)較薄的牙釉質 (B)較薄的牙本質 (C)較大的牙髓腔 (D)顏色比恆齒白
36. 混合齒列期大約何時結束?(A)6~7 歲 (B)8~9 歲 (C)9~10 歲 (D)11~12 歲
37. 卡拉貝利牙阜 (The cusp of Carabelli)位於哪些恆齒上?(A)右上第一大臼齒、左上第一大臼齒(B)右上第二大臼齒、左上第二大臼齒(C)右下第一大臼齒、左下第一大臼齒(D)右下第二大臼齒、左下第二大臼齒
38. 有關恆牙鄰接面齒頸線曲線(curvature of cervical line)之敘述,下列那些正確? 甲、近心側較遠心側平坦。乙、遠心側較近心側平坦。丙、上顎正中門齒的近心曲線最高。丁、上顎犬齒的遠心曲線最高。 (A)甲、丙 (B)甲、丁 (C)乙、丙 (D)乙、丁
39. 下列何者為恆牙上顎第一大臼齒的咬合面觀之輪廓?(A)平行四邊形 (B)正方形 (C)梯形 (D)五邊形
40. 下列恆前牙中,最可能發生兩個牙根的牙齒為何者?(A)上顎正中門齒 (B)下顎正中門齒 (C)上顎犬齒 (D)下顎犬齒
41. 通常第二級異常咬合第一分類的敘述,下列何者正確?(A)上顎門齒向舌側傾斜 (B)上顎前牙擁擠 (C)下顎前牙的過度萌出 (D)上顎牙弓呈方形
42. 有一位病患被診斷為安格氏咬合分類第 3 型(Angle's classification Class III),比起第 1 型咬合的近遠心偏移距離有一個小臼齒的寬度,他的上顎第二小臼齒的對咬牙為何?(A)下顎犬齒與第一小臼齒(B)下顎第一小臼齒與第二小臼齒(C)只有下顎第二小臼齒(D)只有下顎第一大臼齒
43. 有關雙生牙(gemination)和融合牙(fusion)之敘述,何者正確?(A)雙生牙通常由兩個鄰接牙胚(tooth germ)連合而成(B)融合牙通常由單一牙胚(tooth germ)分裂而成(C)融合牙通常有兩個可辨認的髓腔(D)雙生牙發生於恆齒列的機率大於乳齒列
44. 相鄰兩顆牙齒之牙根因牙骨質沉積而聯合在一起的變異,稱為:(A)連合齒(concresence)(B)彎曲齒(dilaceration)(C)融合齒(fusion)(D)雙生齒(gemination)
45. 下列有關牙齒之四環黴素染色(tetracycline stain)的敘述,下列何者錯誤?(A)會影響牙本質(dentin)的發育(B)通常在牙齒鈣化時期發生(C)通常發生在恆牙但也可見於乳牙(D)牙釉質呈黃褐色,表面有斑點狀小窩洞(pitted enamel)
46. 口腔潰瘍通常不會出現在以下哪個部位?(A)嘴唇接縫處 (B)附連牙齦 (C)頰側黏膜 (D)軟顎
47. 外傷性潰瘍通常通過以下哪種診斷程序確定?(A)病變過程 (B)僅依臨床外觀 (C)顯微診斷 (D)治療性診斷
48. 哪種類型的復發性口腔潰瘍最常見?(A)重型口瘡性潰瘍 (B)輕型口瘡性潰瘍 (C)疱疹狀潰瘍 (D)薩頓症候群潰瘍
49. 請判斷下列兩者敘述:甲、人類免疫缺乏病毒(HIV)檢測結果為陰性表示該人無 HIV 感染。乙、因為抗體會在感染 HIV 數天內產生。 (A)兩個敘述皆正確。 (B)兩個敘述皆錯誤。 (C)甲敘述正確,乙敘述錯誤。 (D)甲敘述錯誤,乙敘述正確。
50. 下列哪項病變與根尖囊腫在影像上的表現較不相同?(A)根尖肉芽腫 (B)膿腫 (C)含齒囊腫或濾泡囊腫 (D)根尖周囊腫
51. 最常見的齒源性腫瘤是?(A)中心骨化纖維瘤 (B)周邊性骨化纖維瘤 (C)骨瘤 (D)齒瘤
52. 哪種骨內囊腫會出現在未萌發牙齒的牙冠周圍?(A)萌牙囊腫 Eruption(B)始基囊腫 Primordial(C)含牙囊腫 Dentigerous(D)球突上顎囊腫 Globulomaxillary
53. 以下何者不是根尖囊腫的特徵?(A)屬於真性囊腫 (B)為假囊腫 (C)由齲齒引起 (D)發生於非活性牙齒
54. 請判斷下列兩者敘述:甲、人類乳突病毒(HPV)16 型與 18 型特別與肛門、子宮頸、外陰及口咽癌相關。乙、HPV 6 型與 11 型引起尖銳濕疣,也被認為是致癌病毒。 (A)兩個敘述皆正確。 (B)兩個敘述皆錯誤。 (C)甲敘述正確,乙敘述錯誤。 (D)甲敘述錯誤,乙敘述正確。
55. 臨床上,假膜性念珠菌口炎的描述為何?(A)白色凝乳狀物,無法擦拭掉。(B)義齒性口炎。(C)白色凝乳狀物,可以擦拭掉。(D)紅色且疼痛的黏膜。
56. 牙冠周圍炎最常見於哪個部位?(A)上顎第一小臼齒 (B)上顎正中門齒(C)下顎第三大臼齒 (D)下顎第二大臼齒
57. 阿斯匹靈灼傷的表現是?(A)位於硬顎的非疼痛性慢性病變(B)頰黏膜上的急性疼痛性白色病變(C)口底的急性非疼痛性紅色病變(D)無痛的慢性紅白病變,需要活檢化驗
58. 尼古丁口炎在臨床上初次出現時會有何種表現?(A)整體性紅斑病變 (B)白色病灶 (C)潰瘍 (D)棕色斑
59. 下列何者不是扁平苔蘚的特徵?(A)良性、慢性症狀(B)韋克漢氏紋 Wickham striae(C)脫屑性牙齦炎(D)皮膚上的靶形病灶
60. 系統性紅斑狼瘡(SLE)患者在口腔衛生治療中會有許多地方需要調整,除了以下哪一項? (A)處理侵蝕性口腔病灶 (B)因免疫抑制而延後治療 (C)增加氟化物使用 (D)使用個人化口腔衛生工具
61. 下列那一項抗生素不是作用在細菌的細胞壁?(A)青黴素(penicillin)(B)頭孢菌素(cephalosporin)(C)四環素(tetracycline)(D)萬古黴素(vancomycin)
62. 下列哪種細胞主要參與細胞介導的免疫反應?(A)肥大細胞 (B)漿細胞 (C)嗜中性白血球 (D)T 淋巴細胞
63. 對病毒最好的定義是?(A)一種具有分枝菌絲的真核微生物。(B)一種需要宿主進行複製的無細胞微生物。(C)一種具有運動能力的真核微生物。(D)一種可能單獨存在或成對、成鏈或成簇的原核微生物。
64. 新型病毒很少引起疾病,但一旦引起,通常非常嚴重。根據這一特性,該病毒的致病性 (Pathogenicity)和毒力(Virulence)應被認為是? (A)致病性低,毒力高 (B)致病性低,毒力低 (C)致病性高,毒力低 (D)致病性高,毒力高
65. HSV-1 與 HSV-2 之間的關係最接近於以下哪一組病毒?(A)麻疹與腮腺炎 (B)水痘與帶狀皰疹 (C)天花與水痘 (D)麻疹與水痘
66. 下列何者非唾液成分及其功能?(A)溶菌酶(lysozyme)作用可溶解細胞壁(B)澱粉酶(amylase)可分解澱粉提供細菌養分(C)乳酸脫氫酶(lactate dehydrogenase)是能催化乳酸脫氫生成丙酮酸(D)唾液過氧化氫酶(salivary peroxidase)催化產生的毒素衍生物可抑制細菌代謝
67. 唾液中主要的抗體是哪一種?(A)免疫球蛋白○A (B)免疫球蛋白○E (C)免疫球蛋白○D (D)免疫球蛋白○G
68. 下列哪一種口腔病原體可能導致心血管疾病感染?(A)結核分枝桿菌(Mycobacterium tuberculosis)(B)具核梭桿菌(Fusobacterium nucleatum)(C)伯氏疏螺旋體(Borrelia burgdorferi)(D)轉糖鏈球菌(Streptococcus mutans)
69. 黏膜是病原體的入口,下列哪一部位的黏膜最常作為感染的入口?(A)口腔 (B)泌尿生殖道 (C)腸胃道 (D)呼吸道
70. 對於抗菌劑的選擇性毒性之最佳描述是?(A)損害微生物而不對宿主細胞造成重大傷害的能力(B)對宿主細胞造成傷害而不對微生物造成重大傷害的能力(C)損害宿主細胞並不影響病毒的能力(D)能夠選擇性、安全地調整劑量給宿主的能力
71. 對於藥物分期的描述,以下何者為非? (A)D 類--對胎兒有不良影響,除非母體疾病必需,衡量使用好處大於壞處才可以使用,如一些抗癲癇藥物:Carbamazepine 及 Phenytoin (B)分期為 A、B 類的藥物,是孕婦能使用的藥物 (C)Mefenamic Acid (Ponstan)為 B 類的藥物,適合孕婦使用 (D)X 類--胎兒的致畸胎作用明顯大於任何好處,一般孕期禁用。
72. 口服下列何種抗生素的吸收效果最好,也比較不受食物影響其吸收?(A)Minocycline(B)Amoxicillin(C)Tetracycline(D)Ciprofloxacin
73. 對於抗生素使用的注意事項,以下何者為非?(A)劑量不足易造成抗藥性的產生,故應使用有效濃度的抗生素(B)治療期間應維持適當的抗生素濃度,不可隨意中斷治療,以免菌種產生抗藥性(C)注意抗生素毒性及藥物的排除(D)重複感染(superinfection)的現象是因為個體遭受感染後,沒有使用抗生素的緣故。
74. 下列何者為孕期最不適合使用之止痛藥?(A)Aspirin (B)Acetaminophen (C)Hydrocodone (D)Oxycodone
75. 下列何者為孕期最不適合使用之麻醉藥?(A)Mepivacaine (B)Lidocaine (C)Prilocaine (D)Articaine
76. 對於靜脈注射麻醉劑 Ketamine 的敘述,以下何者為非?(A)極適合於需短時間麻醉的狀況(B)不需併用骨骼肌鬆弛劑,可單獨使用於診斷及手術時的麻醉(C)不建議用於老人與小孩(D)對心血管有刺激作用,因而有心跳加速、血壓上升及心輸出量增加等情形
77. 對於局部麻醉劑 Lidocaine 的敘述,以下何者為非? (A)因藥效強、作用久、不刺激中樞、 不引發過敏、安定性良好,所以有「完美的局部麻醉劑」之稱 (B)90%由肝臟代謝後隨著尿液排出體外 (C)靜脈注射治療急性心室心律不整時,須與 epinephrine 併用 (D)最大劑量每天 200mg
78. 下列何者不是根管沖洗液次氯酸鈉(sodium hypochlorite)具有的作用?(A)機械沖洗根管殘屑(B)止血作用(C)溶解活的或是壞死組織(D)潤滑作用
79. 下列何種沖洗液若不幸由根尖跑至牙根周圍組織會有急性疼痛、腫脹和發紅或瘀傷的情形? (A)過氧化氫 (B)次氯酸鈉 (C)氯己定 (D)乙醇
80. 關於根管用藥氫氧化鈣的描述,下列敘述何者錯誤?(A)氫氧化鈣的 pH 值約為 12(B)可刺激硬組織的生成,通常用於 apexification(根尖成形術)的案例中(C)若未完全清除會干擾根管充填的封閉性及治療品質(D)有極佳的抗菌效果(antimicrobial effects),能去除所有根管中的微生物