所屬科目:醫學三:80題 ( 包括內科,家庭醫學科等科目及其相關臨床實例與醫學倫理 )
1.下列有關致癌因子(carcinogen)及其可能誘發的病變,何者最不適當?(A)estrogen可能誘發子宮內膜癌(endometrial cancer) (B)human papilloma virus可能誘發子宮頸癌(cervical cancer) (C)schistosomiasis可能誘發膀胱癌(bladder cancer) (D)Helicobacter pylori可能誘發肺癌(lung cancer)
2.厭食症(anorexia nervosa)的病人最不常有下列何表現?(A)低血壓 (B)低血糖 (C)腹瀉 (D)cortisol增加
3.有關急性痛風性關節炎之建議用藥,下列何者最不適當?(A)nonsteroidal anti-inflammatory drugs(NSAIDs) (B)colchicine (C)glucocorticoids (D)allopurinol
4.一位90歲女性巴金森氏症(Parkinson's disease)病友因肺炎住院,住院後發現有意識混亂、注意力無法集中之情況,有時答非所問,有時嗜睡不易叫醒,有時認不得家人,更時常半夜失眠吵鬧, 狀況時好時壞,一天中起伏很大;住院前並無此種現象。欲確診其目前病況,下列何種工具之敏感度(sensitivity)與特異度(specificity)最佳? (A)Confusion Assessment Method (B)Clinical Dementia Rating (C)Mini-Cog test (D)Mini-Mental Status Examination
5.一位60歲男性,有吸菸嚼食檳榔習慣,主訴有頭暈、食慾差、倦怠、體重減輕與便秘等症狀。身體診察發現脫水現象,實驗室檢查發現高血鈣(3.1 mmol/L)、低血磷(2.1 mg/dL)及腎功能不全 (血液尿素氮57 mg/dL、肌酸酐2.3 mg/dL)。其血清中白蛋白(albumin 3.0 g/dL)及副甲狀腺激 素(parathyroid hormone 7.7 pg/mL)濃度皆低於正常參考值。下列敘述何者最不適當? (A)校正後血清鈣濃度為3.9 mmol/L (B)有可能是惡性腫瘤的併發症 (C)牛奶–鹼劑症候群(milk-alkali syndrome)有可能是本病人之病因 (D)可利用生理食鹽水(normal saline)利尿,以促進鈣的排泄
6.下列關於經皮冠狀動脈介入(percutaneous coronary intervention, PCI)術前、術中、術後使用 之抗凝血、抗血小板藥物之敘述,何者錯誤? (A)若已知病人將接受PCI且未曾服用抗血小板藥物,術前應給與aspirin 325 mg及clopidogrel 600 mg以降低術中血栓併發症風險 (B)若經植入第二代或更新的藥物塗層冠狀動脈金屬支架,因其晚期支架內血栓之風險較低,故術後血 小板雙抗藥物治療(dual antiplatelet therapy)可於6個月後停止 (C)PCI術中為預防血栓形成,須以傳統肝素、低分子肝素、或第一凝血因子(fibrinogen)抑制劑預 防凝血 (D)在急性心肌梗塞且冠狀動脈內有大量血栓存在時,可靜脈投與醣蛋白IIb/IIIa受體抑制劑
7.胡先生72歲,有抽菸(每天1包),並患有糖尿病、高血壓,於心臟科門診定期追蹤治療。原本只要兩種高血壓用藥便可將血壓維持在130/80 mmHg,但近期血壓不時高至200/130 mmHg,病人體重、食 慾並無明顯變化,身體診察發現下肢血壓高於上肢血壓,驗血serum creatinine從原本1.2 mg/dL上 升至2.0 mg/dL,鉀離子為3.5 mmol/L,若懷疑病人為續發性高血壓,最可能診斷為何? (A)高醛固酮症(hyperaldosteronism) (B)腎動脈狹窄 (C)庫欣氏症候群(Cushing syndrome) (D)甲狀腺亢進
8.下列有關高血壓藥物治療的敘述,何者錯誤?(A)高血壓合併左心室功能異常的病人,選用利尿劑、angiotensin-converting enzyme inhibitor、 angiotensin receptor blocker或β-blocker皆可 (B)高血壓合併蛋白尿的病人,宜優先選用β-blocker或利尿劑 (C)<50歲的單純高血壓病人,可優先選用angiotensin-converting enzyme inhibitor (D)>80歲的單純高血壓病人,可優先選用利尿劑及鈣離子阻斷劑
9.馬伯伯1年前因為急性心肌梗塞導致心臟功能受損,需要長期服藥控制。最近因天氣炎熱,每天都喝很多冰水消暑。但是他慢慢覺得走路不到10公尺就喘得很厲害,小腿也比以前腫脹,即使沒有活動 整天看電視也覺得很容易疲勞。到了半夜睡覺的時候,常常因為喘而需要坐起來,一整夜需起來5、 6次,睡眠品質相當不好。馬伯伯的症狀中,那一項較不屬於典型心臟衰竭的臨床表現? (A)喝很多冰水消暑 (B)小腿比以前腫脹 (C)整天覺得很疲勞 (D)半夜睡覺的時候,常常因為喘而需要坐起來
10.一位35歲的男性病人懷疑是白袍高血壓(white coat hypertension),下列何項診斷工具對鑑別診斷或病情評估的幫助可能最小? (A)24小時行動血壓計 (B)居家血壓監測 (C)心臟超音波 (D)運動心電圖
11.一位24歲女性,其哥哥及弟弟均在青年時期因昏倒猝死送醫不治,本身過去並無重大疾病史,此次在坐雲霄飛車時昏厥被送至急診,心電圖如下圖,下列敘述何者錯誤? (A)應詳盡地詢問病患的過去用藥史,並抽血檢驗血液中的電解質是否正常 (B)依病患心電圖所顯現,可能心肌鈉離子或鉀離子通道異常而導致action potential的時間延長所致 (C)如診斷為genetic arrhythmia syndrome,不同基因型也會影響疾病的預後 (D)放置implantable cardioverter-defibrillator(ICD)對於這類病患都不能有效的改善預後
12.一位60歲女性,高血壓病人,經藥物治療3個月控制穩定,血壓已降至130/85 mmHg左右。最近一個月,常有突發性劇烈乾咳,肺部聽診正常,胸部X光亦正常。下列何種處置應最優先? (A)立即開立化痰藥水 (B)立即開立氣管擴張劑 (C)詢問使用何種高血壓藥物 (D)安排胸部斷層攝影
13.關於冠狀動脈疾病(coronary artery disease)合併穩定心絞痛病人的藥物治療,下列敘述,何者正確? (A)如無禁忌症,乙型交感神經阻斷劑(beta blocker)應優先使用,但曾發生心肌梗塞者除外 (B)合併糖尿病或左心室功能不全者,均應給與血管張力素轉換酶抑制劑(angiotensin converting enzyme inhibitor),但要注意病人腎功能變化 (C)鈣離子通道阻斷劑(calcium channel blocker)可有效降低血壓,但不應與長效硝化物 (nitrate)合用,以免發生水腫 (D)dipyridamole可抑制血小板凝集,建議應常規給與
14.女性病人因近日胸悶及心悸至心臟科門診求診。病人過去並無內科或全身性病史。身體診察發現有輕微收縮期心雜音。心電圖與胸部X光檢查皆無異常。心臟超音波顯示心臟收縮功能正常,但卻發現有二尖瓣脫垂現象。下列敘述何者錯誤? (A)常見於女性,好發年紀約40~60歲 (B)心臟瓣膜黏液性(myxomatous)變化可能會影響到三尖瓣或主動脈瓣膜 (C)可能與結締組織疾病有關,例如成骨不全症(osteogenesis imperfecta) (D)當病人因二尖瓣迴流出現心房顫動且發生缺血性中風時,應給與抗凝血藥物
15.陳先生平時工作忙碌,最近因腹痛及血便至醫院求診,經檢查後懷疑是克隆氏病(Crohn's disease)。關於Crohn's disease,下列敘述何者錯誤? (A)腸道可能會出現瘻管(fistula)之併發症 (B)腸道黏膜發炎多半為連續性病兆(continuous lesion),而非節段性病兆(segmental lesion) (C)不一定會侵犯直腸 (D)經常會造成小腸狹窄或阻塞的後遺症
16.55歲肥胖男性因為胃酸逆流、胸口灼熱接受胃鏡檢查,結果如圖。下列敘述何者錯誤?(A)減重有助症狀控制 (B)質子幫浦抑制劑可改善症狀 (C)一般的藥物治療(antisecretory treatment)無法使已發生metaplasia的黏膜逆轉回正常細胞 (D)食道鱗狀細胞癌的風險增加
17.位於頭部之胰臟癌相對於體、尾部之胰臟癌較常見的症狀為何?(A)黃疸 (B)體重減低 (C)腹痛 (D)噁心嘔吐
18.一位54歲男性病人主訴倦怠、食慾差,過去肝炎史不詳,抽血生化檢查顯示:ALT(GPT):1860 U/L、AST(GOT):1256 U/L、total bilirubin:6.8 mg/dL、鹼性磷酸酶(alkaline phosphatase):95 U/L(正常值<100 U/L)。下列何者為最適宜之進一步檢查組合? (A)HBsAg,anti-HBs,anti-HBc (B)anti-HBc,anti-HCV (C)HBsAg,anti-HBs (D)HBsAg,anti-HCV
19.60歲肥胖(BMI:27 kg/m 2)、有糖尿病史、不曾喝酒的婦女,於健康檢查接受腹部超音波檢查時發現脂肪肝。下列敘述,何者最不恰當? (A)患者可以診斷為非酒精性脂肪肝病(non-alcoholic fatty liver disease, NAFLD),定義為肝臟裡面脂肪(主要是triglyceride)含量過高 (B)腹部超音波檢查除了偵測脂肪浸潤(hepatic steatosis)外,也可同時偵測脂肪性肝炎 (steatohepatitis)的存在 (C)使用藥物如methotrexate, tamoxifen及glucocorticoid也可能造成脂肪肝 (D)非酒精性脂肪肝病(non-alcoholic fatty liver disease, NAFLD)病患的AST及ALT數值可能有異 常現象,但數值高低與組織學嚴重度無關
20.下列有關肝腎症候群(hepatorenal syndrome, HRS)的敘述,何者錯誤?(A)HRS常常發生於嚴重肝硬化而且合併難治性腹水(refractory ascites)的患者 (B)第一型(type 1)HRS是一種急性而且在兩星期內快速惡化的腎衰竭 (C)HRS的發生與全身血管收縮阻力上升有關 (D)一般而言,一旦發生HRS,患者預後極差,須依賴肝移植救治
21.有關B型肝炎疫苗的敘述,下列何者錯誤?(A)anti-HBs至少大於100 mIU/mL才具有保護力 (B)新生兒接種後,保護力至少5年,且可能達20年以上 (C)免疫抑制中的個案,若是anti-HBs消失需要追加疫苗注射 (D)血液透析患者,接種B型肝炎疫苗後,需要每年監測anti-HBs效價
22.60歲的病人因腹水住院,下列抽血及腹水檢查數值,何者最可能是肝硬化所引起的腹水?(A)血中白蛋白(albumin)值3.1 g/dL,腹水的白蛋白(albumin)值2.1 g/dL,腹水的總蛋白 (total protein)值2.3 g/dL (B)血中白蛋白(albumin)值4.3 g/dL,腹水的白蛋白(albumin)值2.6 g/dL,腹水的總蛋白 (total protein)值3.0 g/dL (C)血中白蛋白(albumin)值2.8 g/dL,腹水的白蛋白(albumin)值2.0 g/dL,腹水的總蛋白 (total protein)值2.8 g/dL (D)血中白蛋白(albumin)值2.8 g/dL,腹水的白蛋白(albumin)值1.2 g/dL,腹水的總蛋白 (total protein)值2.0 g/dL
23.Esophageal motility disorders是導因於esophageal neuromuscular dysfunction,關於不同的 esophageal motility disorders,下列敘述何者正確? (A)achalasia病因是loss of ganglion cells within the esophageal myenteric plexus,臨床罕見,發生率約為1/100,000,好發於60~80歲年邁族群 (B)eosinophilic esophagitis的臨床表徵是episode of dysphagia and chest pain,在X光攝影下可 能呈現corkscrew esophagus、rosary bead esophagus、pseudodiverticula (C)diffuse esophageal spasm的發生率逐年增加,其食道切片檢查可發現squamous epithelial eosinophil-predominant inflammation,其對口服類固醇的效果良好 (D)gastroesophageal reflux disease為相當盛行的文明病,其致病機轉包括transient lower esophageal sphincter(LES)relaxation、LES hypotension、anatomical distortion
24.下列何者不是顯影劑造成急性腎傷害之機轉?(A)腎臟外髓質部微循環系統之阻塞 (B)腎小管上皮細胞毒性 (C)腎小球微血管系統阻塞 (D)暫時性腎小管阻塞
25.一位病人的動脈血氣體分析結果:pH 7.30,PaCO2 32 mmHg,HCO3 - 16 mEq/L,血Na + 136 2 3 mmol/L,血Cl - 100 mmol/L;尿Na + 60 mmol/L,尿K + 40 mmol/L,尿Cl - 115 mmol/L,這是何種酸 鹼平衡異常? (A)高陰離子隙代謝性酸中毒 (B)正常陰離子隙代謝性酸中毒 (C)高陰離子隙代謝性酸中毒合併呼吸性鹼中毒 (D)急性呼吸性酸中毒
26.有關慢性末期腎臟病人鈣磷平衡的敘述,下列何者正確?(A)這些病人血磷升高主要是因為腸道吸收磷的能力比正常人高 (B)服用過多的鈣片或活性維生素D(vitamin D3),會引起adynamic bone disease (C)這些病人因為維生素D缺乏,因此應服用25(OH)vitamin D可以增加鈣的吸收,並抑制副甲狀腺素 分泌 (D)含有鋁的磷結合劑因為效果較差,不建議使用
27.25歲男性病人,無自覺不適症狀,血壓160/100 mmHg、抽血檢驗發現血中creatinine 0.9 mg/dL、 K + 2.5 mEq/L、Na + 141 mEq/L,動脈血氣體分析(ABG)結果:pH 7.45、PaO 2 101 mmHg、PaCO 2 41 mmHg、HCO 3- 26 mEq/L。此病人最有可能的診斷為: (A)牛奶–鹼症候群(milk-alkali syndrome) (B)Gitelman's症候群 (C)大腸腫瘤(villous adenoma) (D)鹽皮質素過多(mineralocorticoid excess)
28.一名低血鉀,高血壓病人,其靜脈血氣體分析結果:pH 7.45,HCO3- 31 mEq/L,PvCO 47 mmHg,尿鉀30 mmol/L,在鑑別診斷過程中,下列何種plasma renin activity及plasma aldosterone concentration組合最不可能出現? (A)plasma renin activity上升,plasma aldosterone concentration上升 (B)plasma renin activity上升,plasma aldosterone concentration下降 (C)plasma renin activity下降,plasma aldosterone concentration上升 (D)plasma renin activity下降,plasma aldosterone concentration下降
29.下列預防血液透析中發生低血壓的措施,何者最適當?(A)避免透析中進食 (B)先透析後超過濾 (C)保持透析液與體溫相近 (D)使用生物相容性較高的人工腎臟
30.一位54歲男性無過去病史,參加完馬拉松賽後隔天出現尿量減少(350 mL/day)合併肌肉痠痛,身體診察發現皮膚膨脹程度偏低(dry skin turgor)。實驗室檢查發現血清肌酸激酶(creatine kinase)58,000 U/L,尿素氮50 mg/dL,肌酸酐2.1 mg/dL。腎臟超音波檢查:腎臟大小無異常, 也無水腎(hydronephrosis)。有關此病患之腎功能異常,下列敘述何者錯誤? (A)若此病患之尿鈉排出分率(fractional excretion of sodium, FeNa)小於1%,則可確定脫水為造 成腎衰竭之主因 (B)此病患治療方式除積極補充靜脈輸液外,可考慮給與碳酸氫鈉(NaHCO3)溶液來鹼化尿液 (C)若併發肺水腫、高血鉀、代謝性酸中毒,且藥物治療無效,則可考慮透析治療 (D)應檢測血鉀、血鈉、血磷,並評估用藥史
31.一60歲女性,已有類風濕性關節炎5年,目前使用methotrexate 10 mg/週及plaquenil 200 mg/ 日,控制良好;但近2週來,尤其在運動時突有右膝關節疼痛及積水,抽取關節液時,白血球數為 800/mm3。有關右膝疼痛的原因,下列何種診斷最有可能? (A)類風濕性關節炎突然變成活躍(active) (B)藥物已無法控制之類風濕性關節炎 (C)痛風 (D)退化性關節炎
32.下列那一種腸道細菌的感染最不易誘發反應性關節炎(reactive arthritis)的發生?(A)Shigella (B)Yersinia (C)Clostridium (D)Campylobacter
33.一位22歲女性病人主訴最近一個多月常無故發燒,也常覺得兩側手指及腕關節不舒服。開學體檢被發現有白血球及血小板減少現象,且有蛋白尿的情形。下列那一項檢查最容易出現陽性的結果? (A)anti-dsDNA antibodies (B)anti-Smith antibodies (C)antinuclear antibodies (D)anticardiolipin antibodies
34.下列何種原發性免疫缺陷疾病(primary immunodeficiency diseases)是因為T淋巴細胞之CD40L 基因異常所引起? (A)X-linked chronic granulomatous disease (B)Wiskott-Aldrich syndrome (C)common variable immunodeficiency (D)X-linked hyper-IgM syndrome
35.有關血管炎的敘述,下列何者正確?(A)granulomatosis with polyangiitis與B型肝炎有關 (B)polyarteritis nodosa與C型肝炎有關 (C)microscopic polyangiitis與antineutrophil cytoplasmic antibodies有關 (D)cryoglobulinemic vasculitis與A型肝炎有關
36.化學藥物主要用來治療轉移性癌症或做癌症輔助性治療,關於化學藥物之副作用,下列敘述何者最不合適? (A)taxanes常造成周圍神經病變 (B)bleomycin常造成骨髓抑制 (C)cisplatin可能造成腎功能病變 (D)epirubicin可能造成心臟毒性
37.近年來基因定序研究的進展,已對肝細胞癌(hepatocellular carcinoma [HCC])的分子基因變異 (molecular and genetic alterations)有更進一步的瞭解。有關HCC的分子基因變異中,盛行率 (prevalence)最低的是: (A)TSC1/TSC2 mutation (B)TERT promoter mutation (C)CTNNB1 mutation (D)TP53 mutation
38.下列有關non-Hodgkin's lymphoma的描述,何者錯誤?(A)diffuse large B-cell lymphoma在東西方國家均是發生率最高的non-Hodgkin's lymphoma (B)CD10是B細胞特有的細胞表面抗原,存在於較不成熟與成熟的B細胞表面,是rituximab的治療標的 (C)對於Burkitt's lymphoma之治療,中樞神經之預防性治療是必要的。只要治療得當,超過一半比例 的病人可以長期存活 (D)mycosis fungoides是一種T細胞的淋巴瘤,以侵犯皮膚為主
39.有些淋巴瘤(lymphoma)之發生與病毒或細菌感染有關連性。下列連結何者最不適當?(A)cytomegalovirus與中非地區的Burkitt's lymphoma (B)Epstein-Barr virus與亞洲地區的extranodal nasal NK/T-cell lymphoma (C)human T-cell lymphotropic virus 1(HTLV-1)與adult T-cell lymphoma(ATL) (D)Helicobacter pylori與gastric MALT(mucosa-associated lymphoid tissue)lymphoma
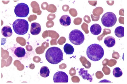
40.一位43歲女士過去無特殊病史,在健康檢查時發現血紅素14.5 g/dL,白血球78,500/μL,血小板 495,000/μL;血液抹片如圖所示。此病人最可能的診斷為何? (A)essential thrombocytosis (B)chronic myeloid leukemia (C)leukemoid reaction (D)acute myeloid leukemia
41.一位35歲婦女,過去無特殊病史。最近3個月來皮膚經常出現瘀青,這幾天變得更厲害。身體診察發現手腳多處瘀青,其他無異常。抽血檢查顯示血紅素12.1 g/dL,白血球7,850/μL且分類正常, 血小板13,000/μL;肝、腎功能正常,HIV抗體陰性,抗核抗體(ANA)陰性,大、小便無潛血;病 人過去並無特殊服藥史。對此病人目前最常見的優先處置為何? (A)platelet transfusion (B)intravenous immunoglobulin infusion (C)corticosteroid treatment (D)eltrombopag treatment
42.一位45歲女性病人因為黃疸就醫,抽血檢查發現血紅素為9.6 g/dL,白血球5,600/μL,血小板 235,000/μL,總膽紅素4.5 mg/dL,直接型膽紅素0.6 mg/dL,AST(GOT)85 U/L,ALT(GPT)32 U/L;尿液如圖所示。此病人最可能的診斷為何? (A)hepatitis (B)intravascular hemolysis (C)urinary tract infection (D)gallbladder stones
43.某病人7年前患有嚴重型再生不良性貧血症(aplastic anemia),成功接受血型相同HLA資料庫配對成功之非血親造血幹細胞移植(HLA-matched unrelated hematopoietic stem cell transplantation),下列何者可以提供該病人現在最可靠的人身血緣鑑定? (A)血液 (B)髮根 (C)骨髓 (D)白血球
44.大腸直腸癌(colorectal cancer)是全世界最常見的癌症之一,在臺灣地區的盛行率也逐年上 升。腺瘤樣息肉(adenomatous polyp)被視為是大腸直腸癌的前趨病灶;大腸直腸癌會經過以下 的「系列的基因變異」,而轉變成大腸直腸癌。下列的基因變異,何者與腺瘤樣息肉轉變成大腸直 腸癌無關? (A)APC inactivation (B)K-ras inactivation (C)SMAD4 inactivation (D)p53 inactivation
45.下列何者不是CURB-65用來評估社區型肺炎嚴重度的指標項目?(A)心跳次數 (B)血中尿素氮 (C)呼吸次數 (D)血壓
46.王先生有糖尿病病史多年,今發燒咳嗽有膿痰已5天,胸部X光攝影顯示肺有空洞(cavitation)之實質化(consolidation)病變,關於其治療與處置,下列敘述何者錯誤? (A)痰液和血液培養若為Klebsiella pneumoniae,應安排眼底和腹部超音波檢查 (B)若經治療後病情未改善,而痰液和血液培養為陰性,需進一步安排超音波或電腦斷層導引穿刺取得 檢體做微生物培養 (C)抗生素治療時應涵蓋厭氧菌 (D)以廣效抗生素治療兩週
47.一位氣喘病患平時使用支氣管擴張劑及茶鹼控制氣喘。最近其氣喘幾乎每天發作3~4次,每月幾乎都需要到急診求治,肺功能FEV 1降至56%預期值,對支氣管擴張劑的反應越來越差。對於這位病患 的處置應該如何調整最為適當? (A)規則使用吸入性類固醇或其他抗發炎藥物 (B)規則使用口服支氣管擴張劑以改善症狀 (C)規則使用吸入型長效型抗膽鹼藥物改善肺功能 (D)規則使用長效型支氣管擴張劑
48.35歲家庭主婦因一個星期的咳嗽和呼吸短促求診。胸部X光檢查發現兩側肺浸潤,經支氣管鏡檢查,支氣管無異常。肺泡灌洗術(bronchoalveolar lavage)發現eosinophil 20%。下列何者最不可能是其致病原因? (A)Churg-Strauss syndrome (B)Loffler's syndrome (C)hypersensitivity pneumonitis (D)eosinophilic pneumonia
49.有關肺炎臨床診斷之定義,下列何者錯誤?(A)發生在住院未滿48小時之病人,出現肺實質的急性感染,屬社區肺炎(community-acquired pneumonia) (B)上次住院結束後14天內發生肺實質的急性感染者,屬院內肺炎(hospital-acquired pneumonia) (C)使用呼吸器24小時以後產生的院內肺炎,屬呼吸器相關肺炎(ventilator-associated pneumonia) (D)在90天內曾在急性病醫院住院大於2天者,屬健康照護相關肺炎(health care-associated pneumonia)
50.關於肺癌的敘述,下列何者正確?(A)肺癌最主要的危險因子是家族肺癌病史 (B)抽菸的病人即使得了第四期肺癌仍要戒菸,因為抽菸會降低肺癌治療的效果 (C)低劑量電腦斷層輻射量低,因此沒有輻射導致肺癌的風險 (D)抽菸者大量補充抗氧化維生素,可以預防肺癌的產生
51.關於乳糜胸(chylothorax)的敘述,下列何者正確?(A)胸水呈牛乳狀,檢測會發現膽固醇(cholesterol)數值高於110 mg/dL (B)最常見的原因是胸管創傷(thoracic duct trauma) (C)是屬於濾出液(transudate) (D)治療方法是長期使用豬尾巴導管(pig-tail)引流
52.70歲男性因咳嗽就診,胸部X光在左下肺葉有2公分腫瘤。病人每天抽2包菸已有45年,目前並無服用任何藥物。身體診察:血壓156/95 mmHg(右手)、162/94 mmHg(左手),胸腹部電腦斷層發現除了胸部腫瘤及左腎上腺2公分腫瘤外,並無轉移現象。對於此腎上腺腫瘤下列何項處置最適當? (A)測量24hr尿液catecholamine及VMA (B)切除腫瘤 (C)電腦斷層指引下進行左腎上腺細針穿刺細胞學 (D)3~6個月再做腎上腺電腦斷層追蹤
53.治療肢端肥大症,下列那一項藥物能夠最有效降低生長素(growth hormone, GH)和 IGF-I (insulin-like growth factor I)? (A)cabergoline (B)pegvisomant (C)somatostatin analogues (D)bromocriptine
54.下列何種藥物,通常在甲狀腺危象(thyrotoxic crisis)時才會使用?(A)propranolol (B)propylthiouracil (C)carbimazole (D)Lugol's solution
55.關於糖尿病慢性併發症之敘述,下列何者最不適當?(A)糖尿病視網膜病變是一種微血管病變(microvascular complication) (B)冠狀動脈心臟病(coronary heart disease)是一種大血管病變(macrovascular complication) (C)糖尿病足病變(diabetic foot)的成因是微血管病變(microvascular complication),不是大 血管病變(macrovascular complication) (D)慢性高血糖(chronic hyperglycemia)是否直接造成大血管病變(macrovascular complication)較無定論
56.根據National Cholesterol Education Program and Adult Treatment Panel III(NCEP:ATPIII)診斷標準,下列那位男性成人屬於代謝症候群(metabolic syndrome)個案? (A)腰圍89 cm、血壓132/78 mmHg、白蛋白尿排泄率10 μg/min、三酸甘油酯190 mg/dL、HDL-C 46 mg/dL (B)BMI 24、血壓127/76 mmHg、空腹血糖109 mg/dL、三酸甘油酯242 mg/dL、白蛋白尿排泄率25 μg/min (C)腰圍105 cm、血壓142/86 mmHg、空腹血糖116 mg/dL、三酸甘油酯216 mg/dL、HDL-C 42 mg/dL (D)BMI 30、血壓146/88 mmHg、總膽固醇254 mg/dL、HDL-C 46 mg/dL、空腹血糖123 mg/dL
57.下列何者最不可能導致低血糖?(A)服用thiazide類藥物 (B)胰島素瘤 (C)服用過量的glimepiride (D)敗血症
58.一位25歲年輕男性病人,因心悸、氣喘、噁心、嘔吐、腹痛至急診就醫。病史詢問得知病人罹患糖尿病數年,須靠注射胰島素控制血糖,近日因工作壓力大、須加班熬夜,經常喝飲料提神。病人最 近小便變多、口渴及體重減輕3公斤。身體診察發現病人體溫攝氏37度,呼吸每分鐘20次,脈搏每 分鐘100下,血壓110/70 mmHg,腹部無明顯按壓痛。隨機指尖血糖值為560 mg/dL。下列處置何者 最不適當? (A)應再抽血檢查血糖、電解質及血液pH值 (B)可給與靜脈輸液及胰島素治療 (C)因胰島素無效,須改用其他降血糖藥物 (D)讓病人住院治療與觀察
59.病毒性腦炎(viral encephalitis)病人的腦脊髓液(CSF)檢查報告,最不可能出現下列何種結 果? (A)紅血球(red blood cell)數目增加 (B)蛋白質濃度增加 (C)白血球數目增加,且以淋巴球為主 (D)腦脊髓液與血液葡萄糖濃度比值(CSF/serum glucose ratio)下降至小於0.4
60.下列何者最不可能傳播人類免疫不全病毒(HIV)?(A)陰道性交 (B)共用針頭 (C)親吻 (D)肛交
61.心內膜炎在下列那些情形,需要心臟外科手術治療?①chordae tendineae rupture合併嚴重急性心臟衰竭 ②瓣膜功能異常合併經7~10天抗生素治療仍持續菌血症發生 ③治療3天仍然持續發燒 ④人工瓣膜心內膜炎,經積極抗生素治療後仍復發 (A)②③ (B)③④ (C)①②③ (D)①②④
62.40歲男性有慢性B型肝炎病史,未規則追蹤;至市場買魚時不慎被掉落的海魚刺到腳背,數小時後被刺傷的足背迅速紅腫疼痛,出現水泡(如圖)。12小時後轉送到院,血壓77/50 mmHg,脈搏115/ 分,呼吸22/分;血液檢驗:肌酸酐(creatinine)2.5 mg/dL;總膽紅素3.6 mg/dL;ALT 230 U/L;白血球15,500/mm 3(band 12%);血小板64,000/mm 3;綜合病史及病程,最可能的致病菌為 何? (A)Pseudomonas aeruginosa (B)Staphylococcus aureus (C)Proteus mirabilis (D)Vibrio vulnificus
63.關於醫院內標準防護措施(standard precaution)之實施對象及目的,下列敘述何者正確?(A)針對愛滋病病人,以減少由已知來源之致病菌傳播 (B)針對肝炎病人,以減少由已知來源之致病菌傳播 (C)針對多重抗藥性細菌感染病人,以減少由已知來源之致病菌傳播 (D)針對所有病人的基本防護,以減少由已知及未知來源之致病菌傳播
64.Aminoglycoside與下列何種抗生素併用具加成作用(synergistic effect)?(A)penicillin (B)tetracycline (C)sulfonamide (D)trimethoprim
65.進行性多發腦白質病變(progressive multifocal leukoencephalopathy, PML)是後天免疫缺乏症候群(AIDS)病人的腦病變之一,下列何者為引起該病變之致病原? (A)human immunodeficiency virus(HIV) (B)John Cunningham virus(JC virus) (C)Epstein-Barr virus(EBV) (D)cytomegalovirus(CMV)
66.38歲陳女士常常因頭痛與肩頸痠痛就醫,診斷為緊張性頭痛(tension headache),依據生理心理社會模式(biopsychosocial model, BPS model)之觀點,下列敘述何者錯誤? (A)其症狀與頭頸部肌肉緊張收縮有相關 (B)焦慮憂鬱心理狀態會提升疼痛閥值 (C)生活壓力事件影響頭痛頻率 (D)社會支持不足而減弱對壓力適應之緩衝,容易致病
67.面對高齡病人時,下列敘述何項是最適當的臨床藥物處方原則?(A)務必要與社區護理師共同作業(work with community nurse mandatorily) (B)總是啟用頻次相近的藥物(start medicines at similar dosing frequency always) (C)任何病人症狀的原因,都要考慮是藥物的副作用所造成(consider an adverse drug event as a cause of any new patient symptom) (D)每日更新與回顧所使用的藥物(update and review the medication list daily)
68.LGBTQIA+(lesbian, gay, bisexual, transgender, questioning [their sexuality or gender]/queer, intersex or asexual)的青少年,被霸凌或人身攻擊的發生率較高,憂鬱和自殺的發生率較高,其中那一類青少年發生上述問題的風險最高? (A)雙性戀(bisexual) (B)男同性戀(gay) (C)雙性人(intersex) (D)跨性別青少年(transgender)
69.美國運動醫學會建議的運動處方內容,下列何者錯誤?(A)最佳的運動效果是每週3~5次,每次持續時間20~60分鐘 (B)中等強度定義為主觀運動強度評分表(Rating of Perceived Exertion Scale)強度9~11分 (C)每次運動時段應包括熱身、運動及緩和三個階段 (D)建議運動後要有至少3~5分鐘的緩和運動
70.美國預防醫學工作小組(U.S. Preventive Services Task Force)的化學性預防建議事項中,下列何者建議等級最高? (A)65歲以上的社區老人補充維生素D,以預防跌倒骨折 (B)補充維生素E,以預防心血管疾病 (C)準備懷孕婦女每日補充葉酸(folic acid)0.4~0.8 mg,以預防胎兒神經管缺陷 (D)60歲以上成年人每日服阿斯匹靈(aspirin)100 mg,以預防心血管疾病
71.有關家庭暴力受害者的檢查或處置,下列敘述何者最適當?(A)可藉由觀察瘀傷的顏色、範圍、型態等,正確判斷出傷害的時間 (B)2歲以下小孩出現瘀傷,應開立X光檢查骨骼狀況,並於2~3週後再以X光追蹤檢查骨骼 (C)1歲以下嬰兒,當神經學檢查正常時,就可排除顱內傷害(intracranial injury) (D)性侵害中的育齡女性受害者應於7天內給與口服1.5 mg levonorgestrel一次,作為緊急避孕措施
72.實證醫學(evidence-based medicine)的證據層級,由高至低之排列順序為何? ①世代研究 (cohort study) ②專家意見(expert opinion) ③統合分析(meta-analysis) ④個案對 照研究(case-control study) ⑤個案報告(case report) (A)①②③④⑤ (B)③①④⑤② (C)①③④⑤② (D)③①②④⑤
73.臨終譫妄(terminal delirium)被定義為臨終前數小時出現的不可逆躁動,下列處置方式何者最適當? (A)在病床旁播放輕柔的音樂或是播放宗教性的唱誦 (B)增加病人翻身的頻率,以避免出現壓傷(瘡) (C)使用苯二氮平類藥物(benzodiazepines),如每小時可舌下給與lorazepam(Ativan)1~2 mg (D)使用高劑量的非典型抗精神病藥物,如olanzapine以及GABA agonist來處理躁動和幻覺症狀
74.下列關於主動脈疾病的影像學表現,何者正確?(A)主動脈瘤者很少出現主動脈壁鈣化的情形 (B)一般體表超音波可良好評估主動脈弓及降主動脈情形 (C)胸主動脈瘤最主要的診斷工具為電腦斷層 (D)輕微主動脈擴張常可以經由一般胸部或腹部X光檢查發現
75.12歲的張小弟,近三日無正常解便,早上媽媽發現他解出黏液狀的排泄物,被家人送到急診室。醫師診察後安排腹部X光及腹部超音波檢查,如圖所示。張小弟最有可能罹患下列何者疾病? (A)急性闌尾炎(acute appendicitis) (B)疝氣(inguinal hernia) (C)惡性大腸癌(malignant colon cancer) (D)腸套疊(intussusception)
76.關於孕婦的復甦急救(resuscitation)敘述,何者最適當?(A)心跳停止的孕婦執行心肺復甦術時需左側躺(left lateral tilt position),以維持血液的回流 (B)心房顫動(atrial fibrillation)的孕婦,可以給與amiodarone矯正心律 (C)孕婦氣管插管時使用快速順序插管(rapid sequence intubation)的藥物劑量與一般成人相同 (D)20週以上的孕婦靜脈注射途徑應優先考慮股靜脈注射
77.臺灣南部發生芮氏規模6.6的地震,造成房屋倒塌與大量人員傷亡。根據簡單檢傷及快速治療 (simple triage and rapid treatment, START)的原則,下列4位病人治療的優先順序為何?① 30歲男性,無脈搏頭部嚴重變形② 60歲女性,大腿開放性骨折橈動脈微弱③ 70歲男性,四肢多處擦傷可正常行走④ 20歲女性,心跳正常左小腿變形 (A)①②④③(B)②④③①(C)②④①③(D)①②③④
78.一位末期腎病變病人,每週三次血液透析治療已6年,今日因胸部不適來院就診,在急診意識不清,脈搏摸不到,心律顯示每分鐘約50下且不規則,根據2020年American Heart Association(AHA)緊急心血管照護指引,須考量的可逆原因中,何者最不可能?(A)高血鉀(B)低體溫(C)急性冠心症(D)高血糖
79.關於醫師與同儕間的關係,下列何者正確?(A)依據世界醫師會的病人權利宣言,醫師有義務與其他健康照護者互相協調合作(B)當發現同儕醫師有專業能力不足或倫理上的不當行為時,第一優先是向醫學倫理委員會或司法單位 舉報(C)醫學倫理要求醫師必須尊重師長。當老師要求學生獨立操作超越其能力的醫療行為時,仍應全力配 合(D)醫學是追求卓越的高度競爭行業,並不需要講求與其他同儕的合作
80.A病患已屬末期病人,家屬希望讓他接受安寧緩和醫療,但是都沒有人願意去告訴A病患這件事。依據安寧緩和醫療條例之規定,下列敘述何者錯誤?(A)應將病情及治療方針告知家屬或病患(B)病患要求要知道時,由醫師告知(C)病患要求要知道時,由護理人員或病患的親密家屬告知,以減少其心理衝擊(D)告知內容包括病情、安寧緩和醫療之治療方針及維生醫療抉擇