阿摩線上測驗
登入
首頁
>
臨床鏡檢學(包括寄生蟲學)
> 96年 - 96-2 專技高考_醫事檢驗師:臨床鏡檢學(包括寄生蟲學)#50043
96年 - 96-2 專技高考_醫事檢驗師:臨床鏡檢學(包括寄生蟲學)#50043
科目:
臨床鏡檢學(包括寄生蟲學) |
年份:
96年 |
選擇題數:
80 |
申論題數:
0
試卷資訊
所屬科目:
臨床鏡檢學(包括寄生蟲學)
選擇題 (80)
1 下列何者會影響物鏡孔徑值(numerical aperture)大小? (A)介質的折射係數 (B)光線波長 (C)焦深 (D)焦距
2 用 auramine-rhodamine 染抗酸性桿菌,應以下列何種顯微鏡觀察? (A)明視野顯微鏡 (B)暗視野顯微鏡 (C)螢光顯微鏡 (D)偏光顯微鏡
3 物鏡上刻有「Plan」表示為何種物鏡? (A)消色差(achromatic) (B)半高消色差(semiapochromatic) (C)高消色差(apochromatic) (D)平視野(flat field)
4 Ictotest 是測定尿液中的何種成分? (A)膽紅素 (B)尿膽素原 (C)白血球酯酶 (D)酮體
5 關於尿蛋白之化學檢查,下列敘述何者正確? (A)磺基水楊酸(sulfosalicylic acid)法測不到本瓊氏蛋白(Bence Jones protein) (B) X 光造影劑對試紙法影響不大 (C)磺基水楊酸法之靈敏度大不如試紙法 (D)試紙法可測得之蛋白種類比磺基水楊酸法多
6 鏡檢鈎蟲(hookworm)患者剛排泄的糞便,最常發現鈎蟲的何種發育階段? (A)具 4~8 個卵細胞的蟲卵 (B)具幼蟲的胎蟲卵 (C)桿狀幼蟲 (D)絲狀幼蟲
7 尿沈渣鏡檢觀察下,白血球直徑和紅血球直徑的比例約為多少? (A) 1:1 (B) 2:1 (C) 4:1 (D) 5:1
8 下列關於尿液檢體久置時可能產生的變化,何者錯誤? (A)細菌增加 (B)葡萄糖偽陽性 (C)酮體偽陰性 (D)顏色變深
9 尿液鏡檢發現有不定形顆粒狀之結晶時,應再以何種條件輔助判讀? (A)顏色 (B)酸鹼度 (C)比重 (D)泡沫
10 酸性尿液中可發現下列何種結晶? (A)磷酸銨鎂(ammonium magnesium phosphate) (B)碳酸鈣(calcium carbonate) (C)重尿酸銨(ammonium biurate) (D)尿酸(uric acid)
11 尿沈渣檢查中,閃爍細胞(glitter cells)是什麼現象? (A)嗜中性白血球的核分裂 (B)嗜中性白血球的細胞質顆粒移動 (C)單核球的毒殺作用 (D)單核球的細胞質顆粒移動
12 尿試紙檢查中,使用 sodium nitroprusside 之目的為檢測下列何種成分? (A) ketone bodies (B) protein (C) lipid (D) sugar
13 尿液比重之檢測方法中,比重計及折射計方法容易受到何種物質之干擾? (A)脂質 (B)葡萄糖 (C)維生素 C (D)磷酸鹽
14 三杯尿收集檢體方法,主要用於評估: (A)前列腺感染 (B)直立性蛋白尿 (C)泌尿道腫瘤 (D)腎小管功能
15 下列的異常尿液結晶中,何者與肝臟疾病相關性最小? (A) tyrosine (B) leucine (C) bilirubin (D) cystine
16 下列何者在尿液中的含量特別高,可用來與其他體液區分? (A)肌酸 (B)維生素 (C)生物胺 (D)醛固酮
17 尿沈渣檢查中,鬼細胞(ghost cells)如何形成? (A)變形蟲運動之白血球 (B)酵母菌的出芽現象 (C)高張尿液下的皺縮紅血球 (D)低張尿液下,血紅素流失的紅血球
18 利用試紙法檢測尿糖時,下列何者會導致偽陽性? (A)強氧化劑 (B)維生素 C (C)氟化鈉 (D)檢體靜置過久
19 懷孕初期驗孕試驗,隨意尿液檢體呈陰性,而早晨第一次尿液檢體呈陽性,則下列敘述中何者的可能性 最大? (A) hCG 在夜間產生較多,故早晨第一次尿液呈偽陽性 (B)隨意尿中 pH 值低,使 hCG 分解,故呈偽陰性 (C)早晨第一次尿滲透壓增高,使 hCG 呈偽陽性 (D)隨意尿中 hCG 濃度太低,呈偽陰性
20 尿沈渣鏡檢可見閃亮十字類似鑽石的結晶,其成分最有可能為下列何者? (A)雙水草酸鈣 (B)單水草酸鈣 (C)雙水磷酸鈣 (D)單水磷酸鈣
21 以 Clinitest 測試糖類不耐症,是依據下列何種反應? (A)抗原-抗體反應 (B)重氮反應 (C)酯化反應 (D)氧化還原反應
22 尿沈渣鏡檢看到白血球圓柱體時,最可能是下列那一個部位感染? (A)腎臟 (B)膀胱 (C)尿道 (D)輸尿管
23 下列何者最可能導致糞便呈灰白色? (A)吃火龍果 (B)膽管阻塞 (C)胃穿孔 (D)門脈高壓
24 糞便 Apt 試驗之反應步驟包括下列何者? (A)加入鹼性物 (B)加入酸性物 (C)加熱 (D)加入呈色劑
25 糞便檢體滴加醋酸後,加熱,再以 Sudan Ⅲ染色,主要目的為檢查何種物質? (A)中性脂肪 (B)膽固醇 (C)脂肪酸 (D)總脂肪
26 糞便檢體之潛血試驗的原理為利用血紅素具有下列何種活性? (A) pseudoperoxidase (B) hydrogen peroxide synthase (C) oxido-reductase (D) dehydrogenase
27 關於糞便檢體之總脂肪鏡檢(microscopic examination of total fat),若檢驗結果在高倍視野下 100 個油滴, 直徑為 6~75 µm,表示下列何者? (A)正常 (B)脂肪油滴輕微增加 (C)脂肪痢 (D)檢體反應未完全,必須重做試驗
28 下列何者可用以區分尿沈渣中的紅血球與白血球? (A) 2%醋酸 (B) 10%鹽酸 (C) 2%檸檬酸鈉 (D) 10% EDTA
29 糞便檢體之 Watson 氏化學檢查法,若呈現綠色螢光,表示檢測到下列何者? (A) urobilinogen (B) urobilin (C) indole (D) skatole
30 正常痰液中主要的抗體為何? (A) IgG (B) IgM (C) IgE (D) IgA
31 尿液檢體中的圓柱體(cast),其主要成分為: (A) Tamm-Horsfall protein (B) collagen fiber (C) albumin complex (D) immunoglobin complex
32 下列何種染色法會用到石碳酸複紅(carbol-fuchsin)? (A) Giemsa stain (B) Kinyoun stain (C) auramine-rhodamine stain (D) Wright’s stain
33 痰液中出現 Charcot-Leyden 結晶時,與下列何種疾病較有關聯性? (A) 支氣管性氣喘 (B)支氣管擴張症 (C)肺水腫 (D)小細胞肺癌
34 下列何種患者其痰液外觀呈乾酪狀塊? (A)肺水腫 (B)肺結核 (C)肺癌 (D)支氣管擴張
35 肺水腫病人痰液的特徵為何? (A)黃色痰 (B)乾酪狀顆粒痰 (C)漿液狀泡沫帶有血液的痰 (D)澄清水狀痰
36 Pandy test 最適用於何種檢體之檢驗? (A)腦脊髓液 (B)胸水 (C)關節液 (D)痰液
37 正常時,下列那個檢體中的葡萄糖濃度最高? (A)尿液 (B)腦脊髓液 (C)關節液 (D)膽汁
38 下列染色法中,何者最能有效幫助區分腦脊髓液中的阿米巴與白血球? (A) Gram stain (B) Liu’s stain (C) Wright’s stain (D) acridine orange stain
39 鱟溶解物試驗(limulus lysate test)適合做為何種致病菌感染的輔助診斷? (A)新型隱球菌(Cryptococcus neoformans) (B)腦膜炎雙球菌(Neisseria meningitidis) (C)肺炎鏈球菌(Streptococcus pneumoniae) (D)李斯特菌(Listeria monocytogenes)
40 造成假乳糜積水的原因為何? (A)乳糜管破裂 (B)淋巴管阻塞 (C)門靜脈壓增加 (D)細胞脂肪分解
41 Rivalta test 為測定體液中總蛋白質的定性試驗,此試驗的主要試劑是: (A)酚(phenol) (B)硫酸銨(ammonium sulfate) (C)冰醋酸(glacial acetic acid) (D)玻尿酸(hyaluronic acid)
42 下列各病患的胸水大多屬於濾出液(transudate),但何者除外? (A)充血性心臟衰竭 (B)肝硬化 (C)腎病症候群 (D)肺癌
43 真乳糜積水中,下列何者明顯增加? (A)尿酸 (B)膽固醇 (C)三酸甘油酯 (D)草酸鈣
44 胸水中,下列何者與惡性腫瘤細胞形態最相似? (A)嗜酸性白血球 (B)內皮細胞 (C)上皮細胞 (D)中皮細胞
45 體液中乳酸濃度增加的原因可能是病人受到何種微生物感染? (A)細菌 (B)病毒 (C)黴菌 (D)原蟲
46 臨床腦脊髓液檢體通常由何處穿刺取得? (A)腦部 (B)頸椎 (C)胸椎 (D)腰椎
47 正常滑膜液中何種蛋白質的含量最高? (A)白蛋白 (B) α1-球蛋白 (C) β2-球蛋白 (D) γ-球蛋白
48 利用黏絲試驗(string test)評估滑膜液黏稠度時,滴出的滑膜液至少要形成多長的黏液絲才算正常? (A) 1~2 公分 (B) 3~6 公分 (C) 10~15 公分 (D) 18~20 公分
49 關節感染發炎時,何種細胞能釋放玻尿酸酵素(hyaluronidase)以分解滑膜液中的玻尿酸? (A)嗜中性白血球 (B)嗜酸性白血球 (C)嗜鹼性白血球 (D)巨噬細胞
50 正常成人體內,由精原細胞分化為精蟲的過程約需幾天? (A)3天 (B) 15 天 (C) 30 天 (D) 75 天
51 關節液出現那一種結晶最可能與痛風有關? (A)尿酸鈉(monosodium urate) (B)雙水焦磷酸鈣(calcium pyrophosphate dihydrate) (C)雙水草酸鈣(calcium oxalate dihydrate) (D)氫氧磷灰石(hydroxyapatite)
52 精液鏡檢時,發現精蟲以頭尾接觸而聚集,較可能為下列何種狀況? (A)尿液污染 (B)糖分解過快,精蟲能量不足 (C)精液 pH 值太低,干擾精蟲運動 (D)精液檢體內含精蟲抗體
53 檢測下列何者,可以鑑定檢體為精液而非尿液? (A) acid phosphatase (B) alkaline phosphatase (C) citrate synthase (D) hyaluronidase
54 精蟲形態檢查時,何種染色法效果較好? (A) Kinyoun stain (B) Gram stain (C) Papanicolaou stain (D) acid-fast stain
55 若精液收集過程沒有取得前部分的精液,對下列那一分析項目影響最大? (A)顏色 (B)酸鹼度 (C)黏稠度 (D)精蟲計數
56 hCG 的測定,當尿液檢體呈現混濁時,應該如何處理? (A)檢體需儘速冷藏,靜置一段時間後,取上清液檢測 (B)即刻離心後,取上清液檢測 (C)搖勻後,再檢測 (D) 37℃預熱檢體,以溶解混濁物,再檢測
57 下列有關雌激素(estrogens)之敘述,何者正確? (A)未懷孕時,卵巢為主要合成地方 (B)懷孕與未懷孕期合成量無明顯差異 (C)在卵巢,可以由 adrenal C-19 steroid precursors 合成 (D)在胎盤,可以由 adrenal C-19 steroid precursors 或助孕酮合成
58 下列何種 hCG 檢驗,速度快且靈敏度佳? (A)乳膠凝集法 (B)酵素免疫分析法 (C)放射免疫分析法 (D)免疫色析法
59 下列何種絛蟲的成熟體節,可看到 2 套生殖器官? (A)縮小包膜絛蟲(Hymenolepis diminuta) (B)雷氏絛蟲(Raillietina spp.) (C)犬複殖器絛蟲(Dipylidium caninum) (D)無鈎絛蟲(Taenia saginata)
60 以免疫凝集法做 hCG 試驗時,下列何種檢體最佳? (A)血漿 (B)血清 (C)全血 (D)尿液
61 感染下列何種寄生蟲必須做皮下組織切片檢查才能正確診斷? (A)犬蛔蟲(Toxocara canis) (B)菲律賓毛線蟲(Capillaria philippinensis) (C)巴西鈎蟲(Ancylostoma braziliense) (D)海獸胃線蟲(Anisakis spp.)
62 欲檢查是否感染旋毛蟲(Trichinella spiralis),應如何採樣檢查? (A)採糞便檢查蟲卵 (B)採痰液檢查幼蟲 (C)用胃鏡檢查幼蟲 (D)採肌肉病理切片檢查幼蟲
63 鏡檢糞便檢體無法檢查到下列何種線蟲的感染? (A)海獸胃線蟲(Anisakis spp.) (B)東方毛線蟲(Trichostrongylus orientalis) (C)糞小桿線蟲(Strongyloides stercoralis) (D)菲律賓毛線蟲(Capillaria philippinensis)
64 三色染色法(Gomori’s trichrome stain)最常用於下列何者的染色? (A)線蟲的蟲卵 (B)原蟲的囊體 (C)絛蟲的體節 (D)吸蟲的成蟲
65 下列阿米巴的成熟囊體中,何者核的數目最多? (A)痢疾阿米巴(Entamoeba histolytica) (B)嗜碘阿米巴(Iodamoeba bütschlii) (C)微小阿米巴(Endolimax nana) (D)大腸阿米巴(Entamoeba coli)
66 附圖中為何種絛蟲的受胎體節(gravid proglottid)?
(A)有鈎絛蟲(Taenia solium) (B)無鈎絛蟲(Taenia saginata) (C)犬複殖器絛蟲(Dipylidium caninum) (D)廣節裂頭絛蟲(Diphyllobothrium latum)
67 糞便檢體中看到如附圖的蟲卵,大小約 35×25 µm,應是下列何種寄生蟲的蟲卵?
(A)蛔蟲(Ascaris lumbricoides) (B)日本血吸蟲(Schistosoma japonicum) (C)無鈎絛蟲(Taenia saginata) (D)微小絛蟲(Hymenolepis nana)
68 下列何者的微絲蟲(microfilaria)不具外鞘(sheath)? (A)奧氏絲蟲(Mansonella ozzardi) (B)班氏絲蟲(Wuchereria bancrofti) (C)羅阿絲蟲(Loa loa) (D)馬來絲蟲(Brugia malayi)
69 皮膚切片法(skin snip)檢查微絲蟲(microfilaria)有助於診斷下列何種寄生蟲的感染? (A)班氏絲蟲(Wuchereria bancrofti) (B)蟠尾絲蟲(Onchocerca volvulus) (C)常現絲蟲(Mansonella perstans) (D)犬心絲蟲(Dirofilaria immitis)
70 用膜濾法(nuclepore filtration)檢查末稍血液,有助於診斷下列何種寄生蟲的感染? (A) 班氏絲蟲(Wuchereria bancrofti) (B)麥地那線蟲(Dracunculus medinensis) (C)廣東血線蟲(Angiostrongylus cantonensis) (D)犬心絲蟲(Dirofilaria immitis)
71 下列何種蟲卵沒有卵蓋? (A)橫川異形吸蟲(Metagonimus yokogawai) (B)日本血吸蟲(Schistosoma japonicum) (C)廣節裂頭絛蟲(Diphyllobothrium latum) (D)衛氏肺吸蟲(Paragonimus westermani)
72 下列何種檢體採集後,最需要維持在接近體溫? (A)精液 (B)尿液 (C)滑膜液 (D)腹膜液
73 下列何者不是檢驗滑膜液免疫球蛋白之方法? (A) single radial immunodiffusion (B) gas chromatography (C) enzyme immunoassay (D) nephelometry
74 正常時,下列何種體液其 pH 可能為 6.0? (A)尿液 (B)精液 (C)腦脊髓液 (D)胸水
75 正常時,各種體液蛋白濃度之比較,何者正確? (A)血漿>腦脊髓液>尿液>滑液 (B)血漿>滑液>腦脊髓液>尿液 (C)滑液>尿液>血漿>腦脊髓液 (D)滑液>血漿>腦脊髓液>尿液
76 下列關於尿蛋白試驗靈敏度的敘述,何者正確? (A)試紙法靈敏度較佳於三氯醋酸法 (B)磺基水楊酸法靈敏度較佳於三氯醋酸法 (C)加熱醋酸法靈敏度較佳於三氯醋酸法 (D)加熱醋酸法靈敏度較佳於試紙法
77 感染下列何者時,一定要在白天採集血液,才容易檢查到微絲蟲(microfilaria)? (A) 馬來絲蟲(Brugia malayi) (B)羅阿絲蟲(Loa loa) (C)班氏絲蟲(Wuchereria bancrofti) (D)帝汶絲蟲(Brugia timori)
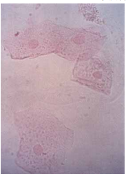
78 圖中為尿沈渣中之何種細胞?
(A)白血球 (B)紅血球 (C)鱗狀上皮細胞 (D)腎小管上皮細胞
79 下列何項與血尿篩檢原理相同? (A)糞便潛血檢測 (B)尿液酮體檢測 (C)尿液尿膽素原檢測 (D) Ehrlich 試驗
80 臨床上,下列何種檢查通常不需使用顯微鏡? (A)尿沈渣 (B)糞便潛血 (C)糞便脂肪 (D)精液分析
申論題 (0)
相關試卷
95年 - 95-2 專技高考_醫事檢驗師:臨床鏡檢學(包括寄生蟲學)#55454
95年 · #55454