阿摩線上測驗
登入
首頁
>
醫學三:80題 ( 包括內科,家庭醫學科等科目及其相關臨床實例與醫學倫理 )
> 96年 - 96-2 專技高考_醫師(二):醫學(三)(包括內科、家庭醫學科等科目及其相關臨床實例與醫學倫理)#38934
96年 - 96-2 專技高考_醫師(二):醫學(三)(包括內科、家庭醫學科等科目及其相關臨床實例與醫學倫理)#38934
科目:
醫學三:80題 ( 包括內科,家庭醫學科等科目及其相關臨床實例與醫學倫理 ) |
年份:
96年 |
選擇題數:
80 |
申論題數:
0
試卷資訊
所屬科目:
醫學三:80題 ( 包括內科,家庭醫學科等科目及其相關臨床實例與醫學倫理 )
選擇題 (80)
1 此患者最有可能的診斷為: (A)肺結核 (B)肺膿瘍 (C)社區性肺炎 (D)膿胸
2 承上題,患者在急診給予輸液後仍須給予升壓劑才能維持收縮壓大於 90 mmHg,則下列何者有誤? (A)血液培養必須在抗生素投予前完成 (B)在痰液檢體取得前不宜投予抗生素 (C)此病患宜合併投予靜脈注射廣效性抗生素 (D)此患者應在加護病房接受治療
複選題
3 沙門氏桿菌(salmonella)除了常引起腸胃道腹瀉,臨床上亦常侵犯多處器官,下列敘述何者錯誤? (A) 曾有胃切除手術病史者或制酸性藥物使用者,都會增加 salmonella 感染的機會 (B) typhoid fever 是由 Salmonella typhi 引起的一種全身性的疾病 (C) typhoid fever 臨床表現有 rose spots, relative tachycardia,以及肝脾腫大 (D) salmonella 感染所引起的腸胃炎,一般是不需要抗生素的治療
4 一位 31 歲女性因頭暈被送至急診室,血液檢查發現血色素 4.5 g/dL,平均血球容積為 135 fL,生命徵象如下:血壓 120/70 mmHg,心跳 70/min,呼吸 16/min,血液抹片檢查發現有紅血球凝集之現象, 庫姆式試驗(Coombs test)呈陽性反應。下列處置何者恰當?(A)立即輸紅血球(packed RBC)2 單位作血液成分治療(B)立即輸全血 500 c.c.(C)立即做血漿置換術(plasmapheresis)(D)給予類固醇治療
5 一位 58 歲罹患高血壓及糖尿病的男性病人,月前因高膽固醇血症經醫師投予 HMG-CoA reductase inhibitor(statin)。近來病人抱怨肌肉酸痛,並且注意到尿液呈可樂般深暗色,此時你需要立刻檢驗 下列那個項目來證實你的臆測? (A) ALT (B) CK (C) urine routine (D) LDL cholesterol
6 70 歲男性,患糖尿病,因最近兩天意識逐漸不清而送醫。身體檢查顯示病人除意識不清外,口溫 39.6℃,血壓 90/50 mmHg,脈搏 120/min,呼吸次數 28/min,全身冒汗,右肺底部有明顯囉音,心 臟無奔馬律亦無雜音,下肢較冰冷但無水腫。血液生化檢查顯示血糖 230 mg/dL,白血球 18,000/μL 。轉入加護病房後,中心靜脈壓(CVP)為 11 cm,心搏出指數(cardiac index)為 4.8 L/min/m2。本 病人之休克最可能屬於下列那一種? (A)低容性休克(hypovolemic shock) (B)心因性休克(cardiogenic shock) (C)敗血症分配性休克(distributive shock) (D)心外阻塞性休克(extracardiac obstructive shock)
7 一位末期腎衰竭病人想要了解血液透析和連續性可攜帶式腹膜透析(CAPD)的差別,以考慮她適合 那種治療方式。有關這兩種治療方式的敘述,下列那一項是最不正確? (A)血液透析對於小分子的清除率比較好 (B)血液透析有較多的血行性感染 (C) CAPD 在執行上比較沒有立即性的危險 (D) CAPD 發生心臟衰竭的機會較少
8 一位漁夫出海捕魚時,不慎足背被魚鰭刺傷,數小時後因小腿腫脹、疼痛並有深紫色水泡浮現,請 問下列那一種致病菌最有可能? (A) Aeromonas hydrophilia (B) Staphylococcus aureus (C) Vibrio vulnificus (D) Streptococcus pyogenes
9 一位 45 歲男性,因水腫住院,疑有腎病症候群(nephrotic syndrome),serum albumin 為 2 g/dL,serum creatinine 為 1 mg/dL,24 小時尿量為 2100 mL,尿中之蛋白含量為 300 mg/dL,則他每日排出之尿蛋 白總量為: (A) 63 g (B) 6.3 g (C) 630 mg (D) 63 mg
10 68 歲女性,住院時血鈉為 140 meq/L,因準備隔日大腸鏡檢查接受口服瀉劑及灌腸,於清晨突發意 識不清及癲癇發作,其血清學檢查發現血鈉 117 meq/L,則下列敘述何者正確? (A)應給予鹽片治療並限水 (B)應嚴密監控血清鈉離子濃度,每小時濃度上升應小於 0.5~1.0 meq/L,以避免滲透壓去髓鞘症候 群(osmotic demyelination syndrome) (C)應快速給予高滲透度食鹽水(hypertonic saline),直到神經學症狀改善 (D)應限制水分及鹽分攝取
11 治療急性高血鉀合併有心電圖高血鉀之變化時,為了避免高血鉀併發症,下列那一種方法效果最快 發生? (A)胰島素(insulin)加葡萄糖輸注 (B)離子交換劑(cation exchange resin)口服 (C)乙型(β2)交感神經促進劑(adrenergic agonists)噴霧使用 (D) calcium gluconate 靜脈輸注
12 下列低血鉀之成因何者不是因鉀離子移入細胞內? (A)代謝性鹼中毒(metabolic alkalosis) (B)合成代謝階段(anabolic state) (C)庫欣氏症(Cushing’s syndrome) (D)低血鉀週期性無力症(hypokalemic periodic paralysis)
13 血液透析用的透析液,其成分不含有何種電解質? (A) 重碳酸鹽 (B)鈉 (C)鉀 (D)磷
14 下列有關克隆氏病(Crohn’s disease)之敘述,何者錯誤? (A) 易併發管(fistula)及腸阻塞 (B)腸內的病灶為連繼性(continuous lesion) (C) 病人有週邊白血球過多及電解質不平衡現象 (D)臨床表徵不一
15 56 歲男性因噁心、食慾不佳一週,至急診處就診。病人無糖尿病史。生化檢查發現 BUN 118 mg/dL, 肌酸酐 8.1 mg/dL。有關此病人是急性或慢性腎衰竭的診斷,下列那一項比較不具鑑別診斷參考價值? (A)腎臟超音波顯示右側腎臟最長徑 10.3 公分,左側 10.5 公分 (B)病人的血紅素為 13.5 g/dL (C)病人的血壓為 170/95 mmHg (D)病人的血清鈣 13.0 mg/dL,磷離子 6.0 mg/dL
16 一群無肝病過去史之大學生欲至未開發地區旅遊,家長們擔心他們會感染肝炎,要求行前給予預防 注射。以下各項中最不正確的預防注射為: (A) 血清免疫球蛋白(immune serum globulin) (B) A 型肝炎疫苗 (C) B 型肝炎疫苗 (D) HBV DNA(hepatitis B virus DNA)
17 下列何者不是治療末期腎病(ESRD)的腎臟替換治療(renal replacement therapy)? (A) hemodialysis (B) renal transplantation (C) hemoperfusion (D) CAPD(continuous ambulatory peritoneal dialysis)
18 一位 60 歲男性病患,有長期糖尿病及高血壓,以口服藥物控制良好。因有 1 年肝功能異常求診,抽 血檢查 GOT 值為 68 U/L,GPT 值為 104 U/L(兩項正常值均為 0~35 U/L),以下各診斷那一項最不 可能? (A) 慢性 A 型肝炎 (B)慢性 B 型肝炎 (C)慢性 C 型肝炎 (D)脂肪肝
19 一位 40 歲男性,曾經因肝功能異常接受血液檢查,被告知結果為 anti-HDV 呈現陽性反應,這位病 人最可能當時還有以下何種病毒感染?(HDV 表示 D 型肝炎病毒) (A) A 型肝炎病毒 (B) B 型肝炎病毒 (C) C 型肝炎病毒 (D) E 型肝炎病毒
20 一位 30 歲男性在員工體檢時被發現有輕微黃疸,他表示近 10 年來偶而會注意到自己眼白較黃,但 無不適且無茶色尿及灰白便。偶而吃維他命及草藥。肝脾無腫大,且無慢性肝病特徵。實驗室檢查 不正常者只有 total bilirubin 3 mg/dL(正常 0.3~1.0),其餘項目包括 direct bilirubin 0.2 mg/dL(正常 0.1~0.3);AST、ALT、alkaline phosphatase、lactate dehydrogenase、hematocrit 等都正常,以下之診 斷那一項最可能? (A) 藥物引起溶血 (B)膽道結石 (C) Dubin-Johnson syndrome (D) Gilbert’s syndrome
21 一位 45 歲男性肝硬化患者,有大量腹水。醫師在限鹽無效後,考慮給予利尿劑。考量是肝硬化所引 起之 hyperaldosteronism,你認為以下何者是最佳選擇? (A) spironolactone (B) hydrochlorothiazide (C) furosemide (D) acetazolamide
22 一位 70 歲男性肝硬化患者,有食道靜脈瘤出血病史。因吐血被送至急診,經急救後血壓暫時穩定, 但呈現肝昏迷且無法溝通,同時有黃疸及腹水。血液氨濃度增高。以下之各項處置那一項最不恰當? (A) endoscopy with variceal banding (B) octreotide (C) proton pump inhibitor (D) transjugular intrahepatic portosystemic shunt
23 一位 58 歲的女性病患每日規律運動,最近一個月注意到每天傍晚下肢就會出現水腫,早上起床時水 腫會消失,門診的身體檢查發現頸靜脈壓力正常,心臟大小正常,心跳規律無雜音,兩側肺野呼吸 音正常,兩側下肢有可凹陷水腫(pitting edema),則以下的檢查,對鑑別診斷價值最低的是: (A) BUN, creatinine (B) serum albumin (C)肝功能檢查(ALT, AST) (D)核子醫學左心室射出率(ejection fraction)
24 孕婦感染下列何種肝炎病毒最容易發生猛暴性肝炎(fulminant hepatitis)? (A)A 型 (B)B型 (C)D型 (D)E型
25 一位病人因運動性氣促、疲倦而住院,身體檢查發現頸靜脈腫脹,肺與心臟檢查正常,肝臟有三指 幅腫大且下肢水腫,脈搏有奇脈(paradoxical pulse);胸部 X 光檢查顯示心臟正常,肺野清晰,則 最可能的診斷是: (A) 肝臟腫瘤 (B)腎臟衰竭 (C)窄縮性心包囊炎(constrictive pericarditis) (D)低白蛋白血症(hypoalbuminemia)
26 70 歲男性經內視鏡檢查及組織切片發現有胃腺癌,請問下列何者與病人胃癌之發生較無相關? (A) 萎縮性胃炎 (B)部分胃切除手術 (C)高鹽高醃漬食物 (D)吃檳榔
27 張先生 62 歲,高血壓服藥多年,今早上班時,因前胸撕裂性疼痛並延伸到背部,上肢血壓右側 128/76 mmHg,左側 102/68 mmHg,心臟聽診有第二度收縮期雜音,下列非侵襲性檢查何者對診斷 最有幫助? (A)胸部 X 光 (B)心電圖 (C)胸部包含頸部電腦斷層 (D)杜卜勒(Doppler)超音波心圖
28 一位 56 歲患有高血壓之男性,其心電圖如下圖所示,生化檢查值:CK 546 U/L,CK-MB 50 U/L, Troponin-I 9.5 ng/mL。請問下列何種藥物不適用於此患者?
(A) aspirin (B) low-molecular-weight heparin (C) unfractionated heparin (D) r-tPA
29 從此心電圖的結果中,你認為病人的不整脈最可能為何? (A) sinus tachycardia (B) atrial fibrillation with rapid ventricular response (C) paroxysmal supraventricular tachycardia(PSVT) (D) ventricular tachycardia(VT)
30 承上題,心悸發作時血壓 110/80 mmHg,意識清晰,病人反應靈敏。下列何項為最恰當的處置? (A) I.V. bolus adenosine (B) I.V. digoxin (C) I.V. amiodarone (D) DC cardioversion
複選題
31 下列何者會因致病物質聚積細胞內而造成限制型心肌病(restrictive cardiomyopathy)? (A) scleroderma (B) hemochromatosis (C) amyloidosis (D) sarcoidosis
32 下列何者不是右心衰竭的主要症狀? (A) 頸靜脈擴張 (B)肝腫大 (C)下肢水腫 (D)肺鬱血
33 下列何者不是二尖瓣狹窄的身體檢查所見: (A) S1 accentuation (B) pre-systolic murmur (C) systolic murmur (D) opening snap
34 王先生 45 歲,患有高血壓、糖尿病,因急性左心室前壁心肌梗塞住院 10 天,住院中偶有心絞痛發作情形。若王先生沒有任何禁忌症,以實證醫學角度觀之,出院的用藥中,下列何項是最不必要的?(A) aspirin(B) alpha-blocker(C) beta-blocker(D) angiotensin-converting enzyme inhibitor
35 一個 68 歲的男性病人,突然間左側手腳無力,講話不清楚,但意識清醒,被送到急診室,發現血壓 為 160/95 mmHg,腦部電腦斷層並無出血之現象。下列處置何者最不適當? (A) 給予 aspirin (B)讓病人臥床休息 (C)給予降血壓藥物 (D)心電圖檢查
複選題
36 下列有關疾病表現之性別差異的敘述,何者錯誤? (A)女性發生阿茲海默症(Alzheimer’s disease)的機會大於男性 (B)女性冠狀動脈疾病的發病年齡較男性老 10 至 15 歲 (C)女性發生糖尿病的機會大於男性 (D)女性發生高血壓的機會大於男性
37 在照顧病人的醫療行為(clinical actions)中,下列何者是最重要的步驟? (A) 手術(procedures) (B)給藥(prescription) (C)判斷(judgments) (D)心理治療(psychotherapy)
38 一名 62 歲患有氣喘之男性,因頭痛及頭暈至門診求診。病史詢問告知曾有痛風發作,過去有高血壓 病史但未規則治療。身體檢查發現病人意識尚清晰、血壓 178/98 mmHg、心率 72/min 且規則、頸靜 脈無怒張、心尖有 Gr 2/6 心收縮期雜音、肺部無囉音、手腳也無浮腫。心電圖顯示竇房律(sinus rhythm) 及左心室肥厚。下列那個藥物組合最適合此病人服用?① atenolol 100 mg QD ② captopril 12.5 mg TID ③ furosemide 20 mg QD ④ amlodipine 5 mg QD (A)①② (B)①③ (C)②③ (D)②④
39 一位 57 歲男性病患因為全身倦怠、失眠、食慾不振以及呼吸困難而求診,他有高血壓、糖尿病多年,正接受胰島素治療,他在門診的血壓是 212/95 mmHg,Hb 9.7 g/dL,BUN 106 mg/dL,creatinine 9.6 mg/dL,albumin 3.2 g/dL,spot urine protein 923 mg/dL,胸部 X-光呈現兩側肋膜積水。最不可能的診斷為何?(A)高血壓危象(hypertensive crisis)(B)末期糖尿病腎病變(end-stage diabetic nephropathy)(C)急性心衰竭(acute heart failure)(D)肺栓塞(pulmonary embolism)
40 關於結核病(tuberculosis)的敘述,下列何者正確? (A) primary pulmonary tuberculosis 好發於肺部的中、下區(middle & lower zone) (B)初次感染結核病程的 Ghon lesion 是頸部淋巴結鈣化形成的病灶 (C)結核病在宿主體內不會經血路散布至全身 (D)預防結核病感染的疫苗是 PPD
41 因禽流感的流行,使得全球對於流感更加重視,下列關於流感的敘述何者正確? (A)流感病毒可以分成 A、B、C、D 四種 type (B)禽流感 H5N1 不會感染人類 (C)病毒的抗原改變是造成流感大流行的主要因素 (D)抗病毒藥物 amantadine 對各種流感均有效
42 下列有關抗菌藥物的作用機制,何者錯誤? (A) cephalosporin:抑制細胞膜的合成 (B) quinolone:抑制 DNA 的合成 (C) penicillin:抑制細胞壁的合成 (D) aminoglycoside:抑制蛋白質合成
43 下列關於感染性心內膜炎的敘述,何者錯誤? (A)發燒是最常見的臨床症狀 (B)靜脈毒癮患者感染心內膜炎的致病菌以金黃色葡萄球菌(Staphylococcus aureus)最常見 (C)發燒,Roth’s spot,以及結膜出血(conjunctival hemorrhage)都是 Duke criteria 內的次要條件 (D)患有左側瓣膜的心內膜炎所需抗生素治療時間為兩週
44 則下列措施何者 不適當? (A)給予適當輸液治療 (B)給予嘗試性抗生素治療 (C)給予毛地黃治療 (D)做腦部核磁共振檢查
45 承上題,經過二天之之治療,病人體溫略降為 38.5℃,仍然心跳過速 120/min,規則,身體檢查發現 病人意識更惡化,甲狀腺並無腫大,手也無顫抖現象,抽血檢查發現 free T4 1.75 ng/dL(正常: 0.6~1.75 ng/dL)、TSH 0.04 μU/mL。則下列措施何者適當? (A) 給予抗凝血劑 (B)給予抗甲狀腺藥物、Lugol 口服液 (C)增加毛地黃劑量 (D)更換抗生素
46 一位 18 歲男性因性器發育不良來診,過去史無腮腺炎或睪丸炎或頭部外傷,身體檢查發現睪丸約 1.5 公分,較硬,沒有腋毛及恥毛,有男性女乳症,血液生化檢查 FSH 40 mIU/mL,LH 41 mIU/mL, Testosterone 0.7 ng/mL。則下列檢查何者具診斷性? (A) 核磁共振(腦部) (B) HCG 刺激試驗 (C)性激素刺激試驗 (D)染色體檢查
47 一位 16 歲的男孩血糖偏高,出現下列那一種臨床徵象時,強烈暗示其罹患第 2 型而非第 1 型糖尿病? (A) 瘦小體型 (B)糖尿病脂性漸進性壞死(necrobiosis lipoidica diabeticorum) (C)黑棘皮症(acanthosis nigricans) (D)尿酮陽性
48 下列何種職業病,最有可能在胸部電腦斷層攝影 HRCT,看到肋膜下 5 至 10 公分長度的曲線鈣化 (subpleural curvilinear line)? (A) asbestosis (B) silicosis (C) coal worker’s pneumoconiosis(CWP) (D) berylliosis
49 70 歲的林先生,是一位第 2 型糖尿病患,最近體檢發現血清肌酸酐值為 2.5 mg/dL,你建議他立即停用那種口服降血糖藥物? (A) pioglitazone (B) glipizide (C) metformin (D) repaglinide
50 下列何者比較容易產生上肺葉纖維化,肺門淋巴腫大蛋殼樣鈣化;而且較易感染肺結核? (A) silicosis (B) asbestosis (C) berylliosis (D) byssinosis
51 61 歲男性。近兩年來每天清晨起床會頭痛,白天常昏昏欲睡,晚上鼾聲大作。近來更有高血壓與呼 吸困難等症狀。體重三年來增加 10 公斤。睡眠多項生理檢查顯示,病人每小時有 15~20 次阻塞性呼 吸中止,伴隨有血氧飽和度降低,最低值達 72%。下列何者為最適當且有效的處置? (A) 每天睡眠時經 nasal cannula 給予氧氣治療 (B)手術治療(懸壅垂軟顎整形手術)有長期療效 (C)鼻罩式陽壓呼吸器(nasal CPAP)為目前效果最持久的治療方法 (D)給予安眠藥
52 一位 65 歲之抽菸患者,因長期咳嗽有痰及呼吸困難已有三年而前來求診,試問下列何者檢查在診斷 此病患為慢性阻塞性肺疾最有價值? (A) 胸部 X 光片 (B)肺功能檢查 (C)動脈血液氣體分析 (D)心電圖檢查
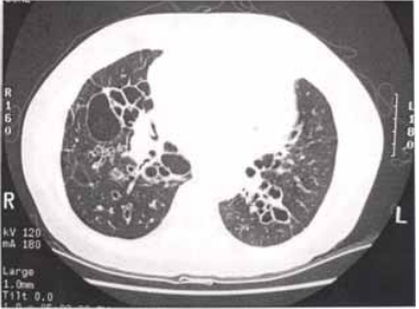
53 一位 48 歲之男性患者有抽菸史,長期咳嗽且多黃痰已有多年,胸部之電腦斷層攝影檢查顯示如圖, 請問其最可能之診斷為下列何者?
(A) 慢性支氣管炎 (B)肺膿瘍 (C)支氣管擴張症 (D)肺氣腫
54 一位 20 歲之男性病人,因突發性之左側胸痛,呼吸困難而至急診處就醫,聽診時發現左側肺野呼吸 聲減少許多,請問最可能之診斷為何? (A)左側肋膜腔積水 (B)左側氣胸 (C)狹心症 (D)左側肺炎
55 一位病人的手臂上出現如附圖的變化,則以下各項何者是最可能的原因?
(A) hemophilia A (B) anticardiolipin antibody syndrome (C) antithrombin III deficiency (D) idiopathic thrombocytopenic purpura
56 一位工人由於大腿深部靜脈栓塞正在服用 warfarin,前凝血酵素時間(prothrombin time)INR (international normalization ratio)穩定控制在 2 左右。最近在工廠身體檢查時又發現得了肺結核, 已開始服用 rifampin。為了良好控制靜脈栓塞及避免併發出血,目前最適當的處理方式為何? (A)減低 warfarin 的劑量 (B)保持 warfarin 原來的劑量 (C)增加 warfarin 的劑量 (D)停止 warfarin,改用 aspirin
57 一位 34 歲婦女,月經週期正常,被發現有單側乳癌,且同側之腋下淋巴結有轉移現象,則此病人在 接受局部乳房切除術及放射線治療後,最適當的處置為何? (A) 不需做輔助性治療,但要密切追蹤 (B)做兩邊卵巢切除術 (C)服用 tamoxifen (D)做輔助性化學治療
58 一位 35 歲女性,因為皮膚瘀青、牙齦出血、骨頭酸痛、疲倦及胃口不好而來求診,身體檢查發現身 上有多處大塊的瘀青,胸骨有壓痛,病人顯得相當疲憊。血液檢查初步結果如下,血色素 9.2 g/dL,白 血球 3,200/μL,血小板 11,000/μL。這位女士最可能的診斷為何? (A) idiopathic thrombocytopenia (B) acute leukemia (C) vit B12 deficiency (D) liver cirrhosis with hypersplenism
59 一位 50 歲男性病人,有糖尿病史,一直在家醫科門診追蹤。兩天前開始有發燒、咳嗽,做了血糖及 全血球檢查;空腹血糖為 124 mg/dL,血色素為 16.8 g/dL,白血球數為 32,260/μL,中性球 25%,淋 巴球 69.5%,單核球 4%,嗜伊紅性血球 1%,嗜鹼性血球 0.5%,血小板為 190,000/μL。流式細胞 儀檢查顯示淋巴球為 CD19、CD20、CD5 及κ-light chain 陽性,CD3 及λ-light chain 為陰性。下列 何者是此病人最可能的診斷? (A) common cold associated lymphocytosis (B) Epstein-Barr virus infection induced lymphocytosis (C) systemic tuberculosis induced lymphocytosis (D) B-cell chronic lymphocytic leukemia
60 一位 70 歲胃癌男性因為突然下半身癱瘓(paraplegia)來急診就醫。發病前一個月開始出現下背痛。 X 光檢查發現第一腰椎產生病理性骨折(pathological fracture),並產生脊髓壓迫(spinal cord compression)。血液檢查 alkaline phosphatase 780 U/L,calcium 3.8 mmol/L。下列敘述何者錯誤? (A)轉移性癌症引起之脊髓壓迫,可使用大劑量類固醇及放射線治療 (B)愈早開始進行治療,則日後病患之神經學症狀能改善的機會也愈大 (C)高血鈣症(hypercalcemia)之治療,包括限制水分攝取、使用利尿劑及 bisphosphonate 類藥物 (D)腫瘤指標如 CEA(carcinoembryonic antigen)、PSA(prostate specific antigen)可以幫助鑑別診斷
61 在沒有任何特別合併症的情形下,治療皮肌炎(dermatomyositis)或多發性肌炎(polymyositis)的患 者最優先選擇的藥物是: (A) corticosteroid (B) azathioprine (C) cyclophosphamide (D) intravenous immunoglobulin(IVIG)
62 一位 46 歲女性最近四個月來有口腔乾燥(如附圖),但是眼睛不覺乾澀。每天晚上睡覺之後會因口 渴起來喝水 2~3 次。她的血糖值為飯前 86 mg/dL,飯後 112 mg/dL。此外,常覺全身很多關節會酸 痛。請問下列那一種檢查對疾病的診斷最有幫助?
(A) C-reactive protein (B) rheumatoid factor (C) anti-SSA/anti-SSB (D) anti-nuclear antibody
63 一位 54 歲的女性,早晨起床困難有三週之久,身體檢查發現除兩腿無力之外,右臂上舉也有困難。但 是兩手的握力正常。吞嚥時偶會嗆到。實驗室檢查發現 AST 75 U/L,ALT 14 U/L,ANA 1:80(+) speckled,CK 805 U/L(MB form 635 μg/L),IgG 1720 mg/mL,IgA 354 mg/mL,IgM 213 mg/mL, ESR 34 mm/1h,78 mm/2h,CRP 0.76 mg/mL。這位患者最可能的診斷是: (A) polymyositis (B) myasthenia gravis (C) esophageal tumor (D) degenerative joint disease
64 一位 34 歲女性,自四年前的冬天開始會出現手指變白而後變紫(如附圖)。二年後手背、手指及臉 部的皮膚逐漸變黑變硬,多數關節也會酸痛。最近半年來走路會有呼吸困難。胸部 X-光檢查結果如 附圖。試問這位患者的最可能診斷為何?
(A) pulmonary tuberculosis (B) idiopathic Raynaud’s disease (C) systemic sclerosis (D) systemic lupus erythematosus
65 一位 21 歲的男性患者,最近半年來偶而在半夜或清晨會有腰酸背痛發生。最近二個月來,幾乎每天 清晨會有腰酸、腰部僵硬及起床困難。此外,胸口悶痛及左側大腿關節及左膝關節會有運動性疼 痛。白天工作時則上述症狀會緩解。但是坐太久則會有腰酸背痛而坐立不安。經抽血檢查發現 ESR 43 mm/1h,88 mm/2h,CRP 3.76 mg/dL,ANA 1:160(+)speckled,IgG 1650 mg/dL, IgA 543 mg/dL,IgM 124 mg/dL,RF<20 IU/mL。這位患者最有可能的診斷是: (A) rheumatoid arthritis (B) systemic lupus erythematosus (C) left side sciatica (D) ankylosing spondylitis
66 下列何者之疾病發生危險性(disease risk)增加與吸菸無關? (A) 膀胱癌 (B) Burger 氏疾病 (C)潰瘍性大腸炎 (D)消化性潰瘍
複選題
67 一位 25 歲男性病人,平日有酗酒的習慣,某日發生急性腹痛,被送到急診室,急診醫師懷疑是急性 胰臟炎(acute pancreatitis)。下列有關急性胰臟炎的敘述,何者錯誤? (A) 最常見的病因為酒精及膽石病所引起 (B)常見的症狀是上腹部疼痛,並會傳至後背 (C)血清解脂酶(lipase)與血清澱粉酶(amylase)濃度大量升高時,可診斷急性胰臟炎 (D)胰臟假性囊腫(pseudocyst)是早期併發症之一
68 一位 53 歲男性,過去每天抽菸 20~30 支,有 20 年歷史。已 2 年未作身體檢查,來門診要求檢查, 下列那一項檢查最合乎美國預防保健工作小組(USPSTF)預防保健的建議? (A) 肺功能檢查以篩檢慢性肺病 (B)胸部 X 光檢查以篩檢肺癌 (C)測量血壓,以瞭解心血管疾病風險 (D)測量眼壓以篩檢青光眼
69 傾聽病人的三個關鍵技巧分別是「主動性傾聽」,「反射性傾聽」及「同理性傾聽」,下列是 4 位 病人與其醫師的對話,何者不屬於「反射性傾聽」? (A)病人:「我感覺嘔心都是在服藥後一小時發生的,……」。醫師:「我了解,嘔心都在大約服藥 後一小時發生」 (B)病人:「我胸部疼痛就像一把刀在刺一樣,……」。醫師:「在你胸部的那把刀何時最能感覺到?」 (C)病人:「我的頭痛都發生在晚上,而且……」。醫師:「痛的性質是尖銳痛或鈍痛?」 (D)病人:「我已抽菸將近 30 年,最近常咳嗽,醫師都勸我一定要戒菸,但戒不到 3 天就受不了……」。 醫師:「那對你而言確實很困難」
複選題
70 一位 20 歲大學生正在印度旅遊,二週來每天有 4 至 5 次腹瀉現象,合併有腹部絞痛,使用止瀉藥物 後只有減輕一些症狀,此時使用下列那一藥物較合適? (A) ciprofloxacin (B) bismuth subsalicylate (C) cimetidine (D) loperamide
71 一位 65 歲的男性來求診的原因是近 5、6 個月以來,發現自己聲音變得沙啞,皮膚變得乾燥,毛髮 較為粗糙,面部及眼皮浮腫,人很容易覺得疲倦,睡眠的時間延長,食慾較差且有便秘的現象,在 為他進行身體檢查時,血壓為 150/100 mmHg,呼吸速率 16/min,體溫 36℃,心跳無雜音,兩側肺 部呼吸音正常,腹部檢查肝脾無腫大,腸蠕動較慢,下肢有脛前水腫(pretibial edema)。為這位病 人進行問診及身體檢查時,下列何者較不可能出現? (A) 病人看起來比實際年齡老 (B)記憶力減退,注意力較不易集中 (C)脈搏:每分鐘 60 下 (D)體重下降
72 一位 68 歲男性,二年前被診斷為大腸癌,經開刀、化學療法後,於二個月前發現腫瘤復發合併骨頭 及腹腔轉移。最近醫師開立 morphine 予以止痛,今因意識不清被送至醫院。身體檢查發現意識為混 亂狀態(drowsy),血壓 120/78 mmHg,心跳 84 次/分,呼吸 10 次/分。實驗室檢查:白血球數 8310/μL,其中 segment neutrophil 佔 90%,血色素(Hb):10.5g/dL,Creatinine:0.8 mg/dL,Albumin: 1.9 g/dL,Ca++:13.5 mg/dL。下列敘述何者較不適當? (A)血清白蛋白偏低應積極補充矯正 (B)懷疑 morphine 過量導致意識障礙可使用 naloxone 以鑑別診斷 (C)高血鈣症除適當補充體液也可考慮類固醇或 mithramycin 的使用 (D)感染症導致意識障礙之可能性須加以排除
73 一位 21 歲男性病人主訴多年來兩側膝關節復發性腫脹。圖為本次就診之左膝關節 X 光攝影。最可能 的診斷為何?
(A) rheumatoid arthritis (B) gouty arthritis (C) septic arthritis (D) hemophilic arthropathy
74 下列皮膚及軟組織感染與致病菌的配對,何者錯誤?(A) gas gangrene:Clostridium perfringenes(B) bullous impetigo:Staphylococcus aureus(C) cat-scratch disease:Streptococcus pyogenes(D) Fournier’s gangrene:mixed aerobic and anaerobic infection
75 一位 17 歲男性由父母親陪伴入急診,主訴為一天前開始腹痛,伴隨有噁心的感覺,排便正常。病人覺得最近二週來很容易口渴,排尿次數增加,體重明顯減輕,有點呼吸急促。無任何過去病史。身體檢查發現病人身上有點水果味,血壓為 105/60 mmHg,心跳為 110/min,呼吸速率為 25/min, 體溫為 36.7℃,腹部腸音正常,無明顯壓痛(tenderness)。血液白血球為 13500/μL,血色素為 16.6 g/dL,BUN/Creatinine 為 35/1.1 mg/dL,血糖為 310 mg/dL,C-reactive protein(CRP)為 0.05 mg/dL。 依此病人的臨床表現,你認為以下何種疾病最有可能? (A) 急性闌尾炎(acute appendicitis) (B)消化性潰瘍(peptic ulcer disease) (C)急性胃炎(acute gastritis) (D)糖尿病酮酸血症(diabetic ketoacidosis)
76 一位 77 歲女性病人因大腸癌住院,肝臟掃描發現已有肝轉移。病房護理人員告知病人之女兒與兒子 病情。病人女兒立即聯繫醫師,堅持不能讓她的母親知道病情,以免情緒崩潰。則醫師該如何處理? (A)盡快將病情告知病人,請病人的女兒不要干擾 (B)告訴病人的兒女,這不是他們能決定的,整件事由醫師處理 (C)堅定的告訴病人的女兒,醫師一定會找各種機會告知病人詳情 (D)請家屬召開家庭會議,與醫師共同討論如何告知病人病情的細節
77 一位 20 歲男性,被室友發現意識不清,送急診室時血壓 196/108 mmHg,心跳 125/分鐘,呼吸 23/分鐘,體溫 39℃,昏迷指數 GCS(Glasgow Coma Scale)=E2V2M5,兩眼瞳孔直徑 5 mm 等 大,皆有光反應,全身冒汗。此病人的臨床表現與下列何種中毒的典型表現最相近? (A)抗組織胺(anti-histamine) (B)海洛英(heroin) (C)安非他命(amphetamine) (D)有機磷(organophosphate)
78 自發性細菌性腹膜炎(spontaneous bacterial peritonitis)的常見致病細菌為下列那些細菌? (A)格蘭氏陽性菌與格蘭氏陰性桿菌 (B)格蘭氏陰性桿菌與厭氧菌(anaerobes) (C)格蘭氏陽性菌與厭氧菌(anaerobes) (D)蘭氏陽性菌與結核桿菌
79 一位 55 歲罹患肝癌合併腹腔內轉移的患者,目前正在接受一種試驗性的化學治療,而你是他的住院 醫師。有一天,患者請你坐在他的床邊,想問你一些問題。他說他覺得那種藥沒有甚麼效果,但又 不敢向主治醫師要求停止用藥。下列何者為最適當的第一個回應? (A)先聆聽他的感受和想法,了解他的關切再談後續的處置 (B)建議病患儘量配合用藥,以爭取最大的存活機會 (C)答應替他尋找最新資料再確認是否值得繼續用藥 (D)告知患者你並不了解他使用中的藥物,請他與主治醫師討論
80 林先生已經知道自己感染人類免疫缺乏病毒(HIV),於就醫時是否有義務應該向醫事人員告知其已 感染 HIV? (A)是,依據相關法律的規定,林先生就醫時,應向醫事人員告知其已感染 HIV (B)是,雖然法律沒有相關規定,但基於醫護人員的安全考量,林先生就醫時,應向醫事人員告知其 已感染 HIV (C)否,基於病患的自主權,病患有權利可以拒絕告知醫事人員其已感染 HIV 的事實 (D)否,為了避免就醫過程中所可能遭受的歧視,病患沒有義務要向醫事人員告知其已感染 HIV 的狀態
申論題 (0)
相關試卷
115年 - 115 專技高考_醫師(二):醫學(三)(包括內科、家庭醫學科等科目及其相關臨床實例與醫學倫理)#137317
115年 · #137317
114年 - 114-2 專技高考_醫師(二):醫學(三)(包括內科、家庭醫學科等科目及其相關臨床實例與醫學倫理)#127920
114年 · #127920
114年 - 114-1 專技高考_醫師(二):醫學(三)(包括內科、家庭醫學科等科目及其相關臨床實例與醫學倫理)#125089
114年 · #125089
113年 - 113-2 專技高考_醫師(二):醫學(三)(包括內科、家庭醫學科等科目及其相關臨床實例與醫學倫理)#120658
113年 · #120658
113年 - 113-1 專技高考_醫師(二):醫學(三)(包括內科、家庭醫學科等科目及其相關臨床實例與醫學倫理)#118724
113年 · #118724
112年 - 112-2 專技高考_醫師(二):醫學(三)(包括內科、家庭醫學科等科目及其相關臨床實例與醫學倫理)#114972
112年 · #114972
112年 - 112-1 專技高考_醫師(二):醫學(三)(包括內科、家庭醫學科等科目及其相關臨床實例與醫學倫理)#113147
112年 · #113147
111年 - 111-2 專技高考_醫師(二):醫學(三)(包括內科、家庭醫學科等科目及其相關臨床實例與醫學倫理)#108729
111年 · #108729
111年 - 111-1 專技高考_醫師(二):醫學(三)(包括內科、家庭醫學科等科目及其相關臨床實例與醫學倫理)#106186
111年 · #106186
110年 - 110-2 專技高考_醫師(二):醫學(三)(包括內科、家庭醫學科等科目及其相關臨床實例與醫學倫理)#99914
110年 · #99914