阿摩線上測驗
登入
首頁
>
臨床生理學與病理學
> 98年 - 98-1 專技高考_醫事檢驗師:臨床生理學與病理學#48314
98年 - 98-1 專技高考_醫事檢驗師:臨床生理學與病理學#48314
科目:
臨床生理學與病理學 |
年份:
98年 |
選擇題數:
80 |
申論題數:
0
試卷資訊
所屬科目:
臨床生理學與病理學
選擇題 (80)
1 下列何種超音波目前已很少使用,僅少數需精確量測深度(長度)時(例如眼球異物的定位,量測眼球長 度)才用? (A) B Mode(Brightness Mode) (B) M Mode(Motion Mode) (C) A Mode(Amplitude Mode) (D) D Mode
2 δ波的頻率範圍是: (A)<4 Hz (B) 4-7 Hz (C) 8-13 Hz (D)>13 Hz
3 下列何者不是 B 模式靜態掃描(static scan)之特性? (A)可取得高品質之影像 (B)為一種靜態影像 (C)掃描步驟省時 (D)可獲得一完整之斷面影像
4 關於彩色杜卜勒超音波(color-Doppler echo)的顏色及亮度所代表的意義,下列敘述何者最不恰當? (A)血流若朝探頭而來影像會呈現紅色 (B)血流若遠離探頭則影像會呈現藍色 (C)亮度代表流速數值之高低 (D)流速分布差異(亂流度)可用黃色成分與顯像色混合
5 超音波掃描診斷不適用下列何種器官? (A)心臟 (B)肝臟 (C)肺臟 (D)腎臟
6 一般而言,肺功能檢查之肺活量以何種狀態表示? (A) ATPS (B) BTPS (C) ATPD (D) STPD
7 當人坐在室溫 20℃、氣壓 756 mmHg,以及 100%相對濕度之實驗室中作肺功能檢查,此時容積標示為何? (A) STPD (B) ATPD (C) ATPS (D) BTPS
8 最大換氣量(MVV)檢查時,一次測量需用力呼吸多久? (A)6秒 (B) 15 秒 (C) 30 秒 (D) 60 秒
9 身高 160 公分之 40 歲女性病患其肺功能檢查結果顯示:肺活量為 75%預測值,一秒量為 75%預測值,則此 受試者的肺功能診斷可能為下列何者? (A)正常 (B)侷限性變化 (C)阻塞性變化 (D)無法判斷
10 一般而言,40 歲以後下列那一個肺量會隨著年紀增加而增大? (A)最大志願換氣量 (B)肺活量 (C)一秒量 (D)殘餘容量/總肺量比
11 良好的 FVC 測定,一般最少需用力吐氣幾秒? (A)4 (B)6 (C) 10 (D) 15
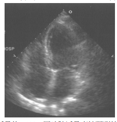
12 這張 2-D 心臟超音波圖是下列何種掃描面? (A)長軸(long axis view) (B)短軸(short axis view) (C)四室(four chamber view) (D)胸骨上(suprasternal notch view)
13 肺功能測試結果為第一秒內用力呼氣體積高於肺活量的 70%,同時肺活量高於預測值的 80%,則此患者最 可能的病變為何? (A)無明顯病變 (B)阻塞型肺部疾病(obstructive pulmonary disease) (C)限制型肺部疾病(restrictive pulmonary disease) (D)合併型肺部疾病(combined pulmonary disease)
14 正常成年人放鬆閉眼的清醒狀況下測得的腦波是: (A)θ波 (B)δ波 (C)α波 (D)β波
15 作夢期測得的腦波是: (A)α波 (B)β波 (C)θ波 (D)δ波
16 有關腦波圖基準導出法之特徵,下列何者正確? (A)能檢出全般性異常,要觀察其電位分布 (B)能檢出全般性異常,要觀察其位相反轉 (C)能檢出侷限性異常,要觀察其電位分布 (D)能檢出侷限性異常,要觀察其位相反轉
17 下列何種腦波為波幅最大之徐波,會出現於深度麻醉時? (A)α波 (B)β波 (C)θ波 (D)δ波
18 肺功能檢查顯示:FVC為 90%預測值,FEV
1
為 70%預測值,FEV
1%
為 68%,則此病患最可能的狀況為何? (A)正常 (B)氣喘 (C)重症肌無力 (D)肋膜積水
19 大腦皮質測得的腦波訊號是那一種電位? (A)突觸電位 (B)終板電位 (C)節律電位 (D)發生電位
20 檢測睡眠腦波圖時,為了讓病人更舒適,只能選擇兩個腦波的探查電極,則通常會選擇: (A)枕部(O
1
, O
2
) (B)中心部(C
3
, C
4
) (C)前頭部(F
3
, F
4
) (D)側前頭部(F
8
, F
9
)
21 心電圖那部份可能會干擾到腦波的記錄? (A)P波 (B)Q波 (C)R波 (D)T波
22 心電圖之地線接於身體何處? (A)左手 (B)左腳 (C)右手 (D)右腳
23 心電圖中的橫軸代表時間,在標準情況下,每 1 mm 代表多少秒? (A) 0.1 (B) 0.01 (C) 0.4 (D) 0.04
24 操作心電圖時,技術員發現第Ⅰ導和第Ⅲ導不穩,而第Ⅱ導穩定時,表示何者連接有問題? (A)右手 (B)左手 (C)右腳 (D)左腳
25 正常 aVR 的“a”係「增加或增幅」(augmented)之意,係將原來的電位增大多少? (A) 10% (B) 20% (C) 50% (D) 100%
26 正常心臟組織中,何者之興奮電位傳導速度最慢? (A)心房結間路徑(internodal pathway) (B)房室結(AV node) (C)蒲金氏系統(Purkinje system) (D)心室肌細胞
27 依據所附之心電圖,該病人的心跳速率最接近下列何值? (A)每分鐘 55 跳 (B)每分鐘 65 跳 (C)每分鐘 75 跳 (D)每分鐘 85 跳
28 正常的 PR 間隔為多少? (A) 0.20-0.25 sec (B) 0.12-0.20 sec (C) 0.08-0.10 sec (D) 0.04-0.12 sec
29 下列何種患者可以進行運動心電圖測試? (A)急性心肌梗塞 (B)急性心肌炎 (C)毛地黃中毒 (D)輕度高血壓
30 下列心電圖誘導電極中,何者為單極肢誘導(Unipolar extremity lead)? (A)aVL (B)lead Ⅱ (C)V
1
(D)V
6
31 下列有關高血鉀(Hyperkalemia)心電圖的敘述,何者正確? (A)異常 U 波 (B)廣泛性高尖 T 波 (C) P 波振幅上升 (D)心房性頻脈
32 在心電圖的標準十二導中,那一導的測量是左腳減去右手的電位差? (A)第Ⅰ導 (B)第Ⅱ導 (C)第Ⅲ導 (D)V4導
33 下列 QRS 複合波圖中,何者為 QS 波?
34 下列何種指標為代謝性酸中毒? (A)HCO
3
-
減少,且pH值下降 (B)HCO
3
-
增加,且pH值升高 (C) PCO
2
升高,且 pH 值下降 (D) PCO
2
減少,且 pH 值升高
35 第一心音出現在心電圖中何種階段? (A) P 波出現後 (B) PR 間隔期 (C) QRS 波出現後 (D) T 波出現後
36 動脈血氣體分析中,下列那一項參數不是直接偵測? (A) PO
2
(B) PCO
2
(C)pH (D)HCO
3
-
37 下列有關動脈血液氣體分析採樣之敘述,何者最不恰當? (A)採血針筒空氣必須排空 (B)採血完畢需要將血液注射入試管後密封 (C)採血後必須緊壓穿刺點止血 (D)儘可能於 15 分鐘內檢測完畢
38 氰化物中毒會造成下列那一種缺氧? (A)缺氧性缺氧(hypoxic hypoxia) (B)貧血性缺氧(anemic hypoxia) (C)缺血性缺氧(ischemic hypoxia) (D)組織性缺氧(histotoxic hypoxia)
39 下列何因子增加,會導致血紅素氧氣飽和曲線右移? (A) pH↓ (B) PCO
2
↓ (C) Temperature↓ (D) 2, 3-DPG↓
40 以潮流測定儀(spirometer)測定肺功能時,介於最大吸氣終點及自然呼氣終點之間的容量稱為: (A)吸氣容量(inspiratory capacity) (B)功能餘氣量(functional residual capacity) (C)肺活量(vital capacity) (D)肺總容量(total lung capacity)
41 滿月臉(moon face)可能出現於下列那一個病變中? (A)庫欣氏症候群(Cushing syndrome) (B)巨人症(gigantism) (C)肢端肥大症(acromegaly) (D)佝僂病(rickets)
42 下列何處是愛迪生氏病(Addison disease)的主要病灶? (A)腎上腺髓質 (B)腎上腺皮質 (C)副甲狀腺 (D)胸腺
43 腎上腺皮質腺瘤(adrenocortical adenoma),在肉眼下呈現那一種顏色? (A)灰白色 (B)鮮紅色 (C)金黃色 (D)墨綠色
44 下列有關甲狀腺乳突狀癌(papillary carcinoma)的敘述,何者錯誤? (A)比較好發於老先生 (B)腫瘤內常見砂礫小體 (C)細胞核有毛玻璃狀現象 (D)預後良好
45 水牛肩(buffalo hump)可能出現於下列那一個病變中? (A)肢端肥大症(acromegaly) (B)庫欣氏症候群(Cushing syndrome) (C)愛迪生氏病(Addison disease) (D)糖尿病(diabetes mellitus)
46 甲狀腺葛瑞夫茲病(Graves disease)的主要病理變化是: (A)瀰漫性增生(diffuse hyperplasia) (B)無毒性甲狀腺腫(nontoxic goiter) (C)橋本氏甲狀腺炎(Hashimoto thyroiditis) (D)亞急性肉芽性甲狀腺炎(subacute granulomatous thyroiditis)
47 康氏症候群(Conn’s syndrome)的發生,是因為: (A)雄性素過多 (B)甲狀腺激素過多 (C)醛固酮過多 (D)皮質醇過多
48 胃腺瘤惡性變化風險的最重要因素為: (A)伴隨發炎反應之程度 (B) metaplasia 之程度 (C) hyperplasia 之程度 (D) dysplasia 之程度
49 下列造成急性胰臟炎最常見之原因為: (A)長期酗酒 (B)長期使用利尿劑 (C)慢性腸道感染 (D)遺傳體質
50 兒童最常見之惡性腎臟腫瘤為: (A)腎細胞癌 (B)泌尿上皮癌 (C) Wilms 氏瘤 (D)淋巴瘤
51 下列何種病毒在成人可導致睪丸炎? (A)腺病毒 (B)人類乳突病毒 (C)疱疹病毒 (D)腮腺炎
52 胰臟癌最常合併下列何項抑癌基因(tumor suppressor gene)之異常? (A) p16 (B) p53 (C) SMAD4 (D) RB1
53 腎細胞癌好發於何年齡? (A) 2-5 歲 (B) 10-15 歲 (C) 20-40 歲 (D) 50-70 歲
54 胰臟癌最常合併下列何項致癌基因(oncogene)之異常? (A) K-ras (B) Cyclin D1 (C) Cyclin E (D) myb
55 現今最普遍的性病是: (A)淋病 (B)梅毒 (C)非淋病性尿道炎及子宮頸炎 (D)性病性淋巴肉芽腫
56 急性腎小管壞死在那一期會出現尿量增加至 3 L/day? (A)發病期 (B)持續期 (C)恢復期 (D)不會出現尿量大量增加
57 兒童微小變化腎病病患對類固醇之反應率約為: (A) 5% (B) 20% (C) 50% (D) 90%
58 心衰竭細胞(heart failure cells)最常出現在那一器官? (A)心臟 (B)肺臟 (C)脾臟 (D)肝臟
59 下列那一種肺塵沉著症最易引起肺部的惡性腫瘤? (A)炭末沉著症(anthracosis) (B)矽末沉著症(silicosis) (C)石棉沉著症(asbestosis) (D)鈹沉著症(berylliosis)
60 那一種肺腫瘤好發於終端細支氣管? (A)鱗狀細胞癌(squamous cell carcinoma) (B)小型細胞癌(small cell carcinoma) (C)大型細胞未分化癌(large cell undifferentiated carcinoma) (D)細支氣管肺泡癌(bronchioloalveolar carcinoma)
61 由病毒所引起的感染性鼻炎是屬於那一種炎症變化? (A)卡他性 (B)化膿性 (C)類纖維性 (D)漿液性
62 下列何種病毒感染在鏡下可見到細胞核內包涵體(inclusion body)? (A) B 型肝炎病毒 (B) EB 病毒 (C)巨細胞病毒(CMV) (D)愛滋病毒
63 肺外結核(extrapulmonary tuberculosis)最常侵犯何部位? (A)頸部淋巴結 (B)子宮肌層 (C)卵巢 (D)心臟
64 下列何型肝炎必須伴隨 B 型肝炎一起感染? (A)A (B)C (C)D (D)G
65 構成結核性肉芽腫病灶的成分,下列何者除外? (A) T 細胞 (B)嗜伊紅性白血球 (C)乳酪性壞死 (D)類上皮細胞
66 肺臟病灶在鏡下可見乳酪壞死性肉芽腫(caseating granuloma),臺灣最常見的是: (A)真菌感染 (B)肺結核 (C)支氣管炎 (D)肺癌
67 易於器官中發現鈣化性蟲卵的是: (A)中華肝吸蟲 (B)衛氏肺吸蟲 (C)血吸蟲 (D)薑片蟲
68 下列何種癌症最易伴隨紅血球過多症(polycythemia)? (A)腎癌 (B)淋巴癌 (C)胰臟癌 (D)口腔癌
69 惡性上皮性腫瘤命名為: (A) sarcoma (B) carcinoma (C) polyp (D) adenoma
70 以循環性免疫複合體(circulating immune complex)造成器官或組織的破壞,屬於第幾型過敏性反應? (A)Ⅰ (B)Ⅱ (C)Ⅲ (D)Ⅳ
71 特異性反應(atopy)屬於第幾型過敏性反應? (A)Ⅰ (B)Ⅱ (C)Ⅲ (D)Ⅳ
72 類風濕性關節炎一般波及下列何種組織? (A)軟骨 (B)硬骨 (C)滑液囊 (D)靭帶
73 有關組織發炎通透性(permeability)增加之血管變化情形,下列敘述何者錯誤? (A)滲出物(exudate)之成分為血漿超濾(ultrafiltrate)物質,含血漿蛋白 (B)當通透性增加,散佈於間質之血漿蛋白含量增加,稱為漏出物(transudate) (C)組織間含蛋白較多液體增多時,使血管中之膠質壓(oncotic pressure)下降 (D)最後導致組織間水分及離子蓄積形成水腫(edema)現象
74 血漿分解酵素(bradykinin)的作用不包括下列那一項? (A)血管通透性增加(increased vascular permeability) (B)小靜脈鬆弛擴張(venous dilation) (C)氣管平滑肌收縮(bronchial smooth muscle contraction) (D)皮下痛覺(pain)
75 下列何者不易產生肉芽腫性發炎(granulomatous inflammation)? (A)異物(foreign body) (B)結核病(tuberculosis) (C)人類乳突狀病毒(human papillomatous virus) (D)血吸蟲病(schistosomiasis)
76 下列何者不是慢性發炎的病理組織特徵? (A)單核球浸潤(monocyte infiltration) (B)復原(resolution) (C)血管增生(angiogenesis) (D)組織纖維化(fibrosis)
77 組織形成肉芽腫(granuloma)應不包含下列那一種細胞? (A)類上皮細胞(epithelioid cells) (B)纖維芽細胞(fibroblasts) (C)巨大細胞(giant cells) (D)中性白血球(neutrophils)
78 經介質啟動後,內皮細胞收縮(endothelial retraction)反應時程約為何? (A) 15 至 30 分 (B) 4 至 6 小時 (C) 24 小時以上 (D)至傷害或介質消失為止
79 發炎時白血球吸附(adhesion)及移出(emigration)血管,主要在那一部位進行? (A)小動脈(arterioles) (B)微血管(capillaries) (C)小靜脈(venules) (D)淋巴管(lymphatics)
80 急性發炎時,中性白血球離開血管大約多久即進行凋亡作用(apoptosis)? (A) 6 至 24 小時 (B) 24 至 48 小時 (C) 48 至 72 小時 (D) 72 至 136 小時
申論題 (0)
相關試卷
115年 - 115-1 專技高考_醫事檢驗師:臨床生理學與病理學#137348
115年 · #137348
114年 - 114-2 專技高考_醫事檢驗師:臨床生理學與病理學#128938
114年 · #128938
114年 - 114-1 專技高考_醫事檢驗師:臨床生理學與病理學#125107
114年 · #125107
113年 - 113-2 專技高考_醫事檢驗師:臨床生理學與病理學#121656
113年 · #121656
113年 - 113-1 專技高考_醫事檢驗師:臨床生理學與病理學#118709
113年 · #118709
112年 - 112-2 專技高考_醫事檢驗師:臨床生理學與病理學#115907
112年 · #115907
112年 - 112-1 專技高考_醫事檢驗師:臨床生理學與病理學#113166
112年 · #113166
112年 - 112-1 專技高考_醫事檢驗師:臨床生理學與病理學#113153
112年 · #113153
111年 - 111-2 專技高考_醫事檢驗師:臨床生理學與病理學#109887
111年 · #109887
111年 - 111-1 專技高考_醫事檢驗師:臨床生理學與病理學#106196
111年 · #106196