1.下列何種X光片,最常在臨床上用於排除鎖骨後的肺部鈣化和腫塊?
(A)chest AP lordotic projection
(B)chest lateral decubitus position
(C)chest anterior oblique position
(D)chest posterior oblique position
答案:登入後查看
統計: A(963), B(39), C(20), D(22), E(0) #3381032
統計: A(963), B(39), C(20), D(22), E(0) #3381032
詳解 (共 3 筆)
#6295788
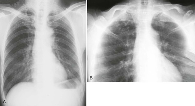
chest AP lordotic projection 會讓鎖骨飛上去,如下圖,左邊是正常的chest PA view、右邊是chest lordotic view,chest PA影像中,鎖骨都會擋住一部分的上肺葉,chest lordotic影像中,鎖骨就不會擋住上肺葉,可以觀察到鎖骨後的肺部區域。

ㅤㅤ
chest AP lordotic projection也曾經也有考過,如:109-1診斷第6題、98-2診斷第13題
chest AP lordotic projection擺位方法:

ㅤㅤ
3
0