阿摩線上測驗 登入

試題詳解

試卷:110年 - 110-2 專技高考_物理治療師:心肺疾病與小兒疾病物理治療學#100429 | 科目:專技◆心肺疾病與小兒疾病物理治療學

試卷資訊

試卷名稱:110年 - 110-2 專技高考_物理治療師:心肺疾病與小兒疾病物理治療學#100429

年份:110年

科目:專技◆心肺疾病與小兒疾病物理治療學

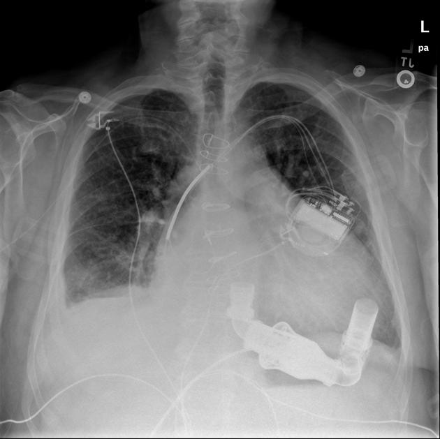
24.下圖是一位加護病房中狀況穩定的心臟疾病患者之X光影像,下列敘述何項正確?
6119d81e4a354.jpg
(A)紅色箭號所指裝置是左心室輔助器(LVAD)
(B)患者須臥床,不能進行床邊運動
(C)患者右側髖部不能彎曲
(D)紅色箭號所指裝置可以增加心肌灌流

正確答案:登入後查看

詳解 (共 3 筆)

推薦的詳解#5029156
未解鎖
補充IABP

(共 8 字,隱藏中)
前往觀看
41
0
推薦的詳解#5524843
未解鎖


(共 1 字,隱藏中)
前往觀看
18
1
推薦的詳解#6158104
未解鎖
附上參考~

(共 8 字,隱藏中)
前往觀看
10
0

私人筆記 (共 2 筆)

私人筆記#6239076
未解鎖
紅色箭號所指的是主動脈氣球幫浦(Intr...


(共 105 字,隱藏中)
前往觀看
13
0
私人筆記#6206881
未解鎖
補充

(共 2 字,隱藏中)
前往觀看
9
0