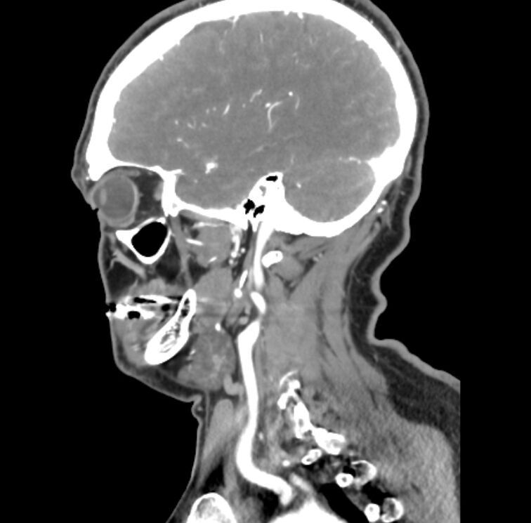
29.80歲男性抽菸且合併高血壓、糖尿病病史,接受頸動脈血管攝影檢查之結果如附圖。則下列敘述何者錯誤?
(A)診斷為外頸動脈(external carotid artery)狹窄
(B)聽診時不一定聽得到頸動脈雜音(carotid bruit)
(C)突發性狹窄同側暫時性失明(amaurosis fugax)為可能臨床表現之一
(D)如接受頸動脈內膜摘除術(carotid endarterectomy),對有同側中風病史者,術後皆擁有較佳的防止再度中 風效果
答案:登入後查看
統計: A(436), B(4), C(69), D(159), E(0) #2866047
統計: A(436), B(4), C(69), D(159), E(0) #2866047
詳解 (共 2 筆)
#6488993
其實可以刪去法啦
C是ICA支配的ophthalmic artery、D也只會在ICA成立。
就算你不知道要看vertebral body來分前後也一樣。
另外他也不講是左邊右邊,我覺得算是故意的啦就是要你自己分anterior posterior
ㅤㅤ
順便記得一件事情吧,慣例是anterior放左邊這樣,所以後面(右邊)的就是ICA

1
1