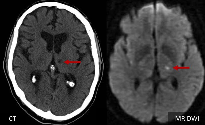
33.中風男性的核磁共振影像如下圖所示,最有可能的診斷為何?
(A)小洞梗塞型中風(lacunar stroke)
(B)前大腦動脈梗塞型中風
(C)中大腦動脈梗塞型中風
(D)蜘蛛膜下腔出血
答案:登入後查看
統計: A(65), B(269), C(1354), D(94), E(0) #3379974
統計: A(65), B(269), C(1354), D(94), E(0) #3379974
詳解 (共 7 筆)
#6384054
參考:https://images.app.goo.gl/qdHysLHDrg2pSopTA
32
0
#7090230
備考三週,114-1平均72.9→打氣or好友→免費提供全科筆記
ㅤㅤ
33.中風男性的核磁共振影像如下圖所示,最有可能的診斷為何?

ㅤㅤ
(A) 小洞梗塞型中風(lacunar stroke)
小洞的範圍很小

ㅤㅤ
ㅤㅤ
(B) 前大腦動脈梗塞型中風
(C) 中大腦動脈梗塞型中風
ACA、MCA、PCA的範圍如圖:


ㅤㅤ
ㅤㅤ
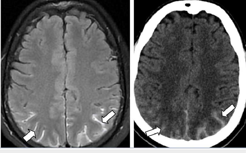
(D) 蜘蛛膜下腔出血
蛛網膜下血腫subarachnoid hematomas長這樣

ㅤㅤ
覺得答案有幫助,還請幫忙點個免費的讚,您的掌聲是我解題的動力
ㅤㅤ
圖片來源:https://www.stroke-manual.com/lacunar-stroke/、https://www.researchgate.net/figure/The-MRI-and-CT-images-demonstrating-subarachnoid-hemorrhage-in-bilateral-high-parietal_fig3_366944390、https://www.stroke-manual.com/anatomy-of-cerebral-arteries/、https://epos.myesr.org/posterimage/esr/ecr2021/158297/mediagallery/896278?deliveroriginal=1
17
0
#7298586
37.下列那一條血管阻塞最有可能導致兩眼之左側視野偏盲(hemianopsia)?
ㅤㅤ
(A) 左側之前大腦動脈
(B) 右側之前大腦動脈
(C) 左側之中大腦動脈
(D) 右側之中大腦動脈
ㅤㅤ
答案:D
0
0