所屬科目:專技◆神經疾病物理治療學
1.下肢布朗斯壯第一期的中風個案,以懸吊式外骨骼機器人進行走路訓練所依據的理論基礎,下列何者較不適當? (A)利用健側承重時產生的反射擴散(irradiation),以誘發患側伸肌張力 (B)利用腰椎兩側伸肌間的交互抑制,以誘發患側屈曲動作 (C)誘發個案面對任務需求時,能使用患側殘餘動作功能 (D)刺激個案患側動作皮質塑性(plasticity),而重新控制患側肢體
2.對一位有肱二頭肌痙攣之中風偏癱病患,先抑制張力後再開始動作任務的練習,其依據的理由下列何者較不恰當? (A)抑制低階異常的張力可促使高階控制功能的發生 (B)抑制局部異常的張力可避免後續誘發多處屈肌痙攣 (C)抑制屈肌張力可增加執行任務時肘關節的自由度(degree of freedom) (D)抑制肌肉張力可修正執行時動作程式中的不可變參數(invariable parameter)
3.感覺運動失調(sensory ataxia)個案的拍擊步態(slap gait)成因,以何種動作控制理論解釋較為恰當? (A)中樞形式產生器理論(central pattern generator theory) (B)基模理論(schema theory) (C)動態系統理論(dynamic systems theory) (D)平衡點假說(equilibrium point hypothesis)
4.肌萎縮性側索硬化症(ALS)是神經肌肉動作控制系統的那一部分出現問題? (A)上、下動作神經元 (B)周邊神經 (C)神經肌肉接合點(neuromuscular junction) (D)肌肉
5.學習一個新動作時,老師常會先示範一次標準動作,此行為是利用何種動作學習概念? (A)心像練習(mental practice) (B)觀察學習(observational learning) (C)動作想像(motor imagery) (D)實際練習(physical practice)
6.下列有關選擇性注意力(selective attention)的敘述,何者錯誤? (A)選擇性注意力能使個案專注於環境中某一部分的訊息,使得對該部分訊息處理較有效率 (B)個案可能會因選擇注意某些訊息而忽略環境中其他訊息 (C)選擇性注意力都是自主性的,沒有非自主性的選擇性注意力 (D)右側大腦半球受傷的個案較常出現選擇性注意力的缺失
7.一位50歲左腦缺血性腦中風個案,中風急性期時之美國國家衛生院腦中風評估表(National Institutes of Health Stroke Scale)得分為2分。病患在中風1週後患側手功能恢復相當良好,能 用患側手拿筷子夾菜吃飯。中風1週後,當個案在執行患側手拇指腹對食指指腹捏執(palmar pinch)的精細動作時,最可能呈現的腦部活化型態特徵為何? (A)兩側大腦主要(primary)運動與感覺皮質區同時大量活化 (B)兩側大腦輔助動作皮質區(supplementary motor areas)同時大量活化 (C)左側大腦主要(primary)運動與感覺皮質區活化為主 (D)右側大腦主要(primary)運動與感覺皮質區活化為主
8.要促進腦傷後神經迴路及運動皮質區的可塑性,下列何者較不具效果? (A)心像練習 (B)被動關節運動 (C)增加居住環境豐富性 (D)訓練具挑戰性的日常相關任務
9.患者因中風而無法再擔任志工。依照國際健康功能與身心障礙分類系統(ICF),此失能是屬於下列 那一個層面? (A)身體功能 (B)身體構造 (C)活動能力 (D)社會參與
10.A患者為本體感覺損傷,B患者為小腦病變,以阮柏氏測試(Romberg's test)評估其靜態站立平衡 時,下列何情況會異常地增加身體搖晃程度? (A)A患者張眼及閉眼;B患者僅閉眼 (B)A患者僅閉眼;B患者張眼及閉眼 (C)A患者僅張眼;B患者僅閉眼 (D)A患者僅閉眼;B患者僅張眼
11.吳先生因車禍造成腦創傷並且昏迷,其兩側肢體出現僵直的姿勢(rigidity posture)反應,送醫經影像檢查發現其腦部有出血現象,受損位置如圖所圈示。下列何者為吳先生會出現的肌張力反應? (A)後弓反張:頸部及軀幹有過強的伸直張力 (B)去皮質僵直:上肢屈曲及下肢伸直反應 (C)去大腦僵直:四肢呈現伸直反應 (D)去大腦僵直:上肢伸直及下肢屈曲反應
12.王爺爺身高165公分、體重75公斤,患有巴金森氏病(侯葉氏分期第三期),因摔倒骨折剛做過右側髖關節的全關節置換。下表為治療球的參考尺寸,依王爺爺的狀況,坐在那個尺寸充飽氣的治療球上進行姿勢平衡訓練最為恰當?(A)45公分 (B)55公分 (C)65公分 (D)75公分
13.用治療球替代治療床來訓練坐姿平衡,下列何者正確? (A)治療球充氣很飽滿,比僅充8分滿的球更難受病患操控 (B)治療球尺寸愈大,個案越容易操控與維持平衡 (C)可增加前庭刺激,因此可鼓勵急性前庭眩暈之個案多使用 (D)老年人不宜
14.考量世界衛生組織的建議與疾病特性,針對巴金森氏病患者之大肌肉群之肌力訓練,下列建議何者最適當? (A)肌力訓練時為了專心,要避免搭配音樂 (B)針對下肢行走的重要肌群每週至少訓練2天 (C)步驟與程序愈複雜愈好,可訓練多重任務 (D)儘量在服藥前進行,以免藥效損耗太快
15.一位右側偏癱病患,下肢動作為布朗斯壯第三期合併有明顯的屈曲協同動作,其行走過程患側腳擺盪期會出現步長較短的問題,何種本體感覺神經肌肉誘發技巧動作型態的組合較適合改善其步態? (A)D1屈曲模式+骨盆前上舉 (B)D1伸直模式+骨盆後上舉 (C)D2屈曲模式+骨盆前上舉 (D)D2伸直模式+骨盆後上舉
16.本體感覺神經肌肉誘發技巧中關節擠壓(approximation)技巧的運用,下列何者錯誤? (A)常用於誘發承重能力 (B)常施用於動作起始的角度 (C)可搭配「停住,維持住這個動作」的口令 (D)可合併阻力技巧執行
17.中風右側偏癱的居家個案主訴平日要拿衣櫃上層的物品時,上肢抬高時手肘就不自主的彎曲、手部 握緊無法打開,因而無法利用患側完成該活動。若要訓練個案順利達成此活動,患側上肢動作至少 應達到布朗斯壯分期中的那一期? (A)近端第五期、遠端第四期 (B)近端第四期、遠端第三期 (C)近端第五期、遠端第三期 (D)近端第六期、遠端第四期
18.中風病患上臂緊貼身體且手肘彎曲90度時,可執行前臂旋前和旋後動作,此病患上肢最可能在布朗斯壯那一期? (A)I (B)II (C)III (D)IV
19.中風病患執行上肢手肘快速由伸直到彎曲碰下巴,記錄5秒內兩側所能執行的次數,根據布朗斯壯的動作評估,此測試的主要目的為何? (A)屈曲協同動作 (B)協調能力 (C)肌肉張力對動作的影響 (D)肘屈肌的肌力
20.關於現代玻巴斯技巧治療重點的敘述,下列何者錯誤? (A)分析動作,找出影響患者動作失常的關鍵組成,再施予手法來誘發或矯正(B)控制關鍵點來控制姿勢張力與調節動作(C)張力正常化是功能性訓練前重要的準備工作(D)為達功能獨立,可儘早使用輔具來練習行走
21.訓練中風患者翻身至健側時,可先將病患擺位在45度側躺,利用本體感覺神經肌肉誘發技巧訓練患側動作,下列何種動作模式最為適合?(A)肩胛骨後上舉,骨盆前上舉(B)肩胛骨前下壓,骨盆前上舉(C)肩胛骨前上舉,骨盆後下壓(D)肩胛骨前下壓,骨盆後下壓
22.下列何者較符合任務導向策略的訓練模式? (A)在患者的耐受程度劑量範圍內,鼓勵以不正常動作模式代償以達到功能性目標(B)治療過程中避免給予擴增回饋(C)在患者的耐受程度劑量範圍內,提高練習總劑量(D)治療過程中宜由治療師提供解決動作難題的方法
23.依據站立平衡控制的感覺整合理論,某中風病患可以在近距離監督下張眼或閉眼站在地板上30秒, 但是無法張眼或閉眼站在軟墊上,此病患的平衡問題為何?(A)體感覺損傷(B)過度依賴視覺(C)過度依賴前 庭覺(D)過度依賴體感覺
24.關於使用虛擬實境進行動作學習的敘述,下列何者最不適當? (A)聽覺、視覺、觸覺的回饋皆可使用於虛擬實境訓練中(B)使用虛擬實境訓練時,治療師可依照病患的能力調整訓練難度(C)因可仿照實際情境動作,於虛擬實境下的訓練成效可完全轉化至實際情境下的表現(D)使用虛擬實境訓練時,患者可看到目標動作如何執行
25.75歲的王先生昨天早上吃早餐時忽然無法拿住筷子,口齒不清向右跌倒送至急診,診斷為急性梗塞 型中風,昨天下午住進神經內科病房,今日會診物理治療介入,治療師評估目前右側肢體感覺較 鈍,肢體活動能力為布朗斯壯第三期,認知功能差。下列介入何者較不適當?(A)衛教家屬如何執行床上被動關節運動方式,並且建議可少量多次執行(B)鼓勵個案自行離床練習站立,不可臥床休息,以免疾病惡化(C)個案肢體感覺及活動能力都不佳,衛教家屬跌倒預防相關事項(D)建議家屬及個案,需要適當休息,因為過度頻繁或用力的活動,可能造成疾病惡化
26.65歲的張先生中風6個月了,有接受密集復健治療,目前上下肢動作能力為布朗斯壯分期第三期, 已經可以在家屬看顧下自行行走,下列何者最不可能出現在張先生步態中?(A)行走時,患側步伐較大(B)患側抬腳時,會有垂足現象(drop foot)(C)好腳前進時,患側腳會出現膝蓋往後頂(knee hyperextension)的現象(D)行走時,患側手會伸直垂在身後
27.治療師為中風的陳爺爺進行下肢肌力測試時,發現當給健側外展阻力,陳爺爺的患側下肢也產生外展之動作,此為下列何種現象或動作?(A)assisted movement(B)Sougues phenomenon(C)Raimiste's phenomenon(D)synergy movement
28.右側偏癱無力患者送醫,經影像檢查診斷為前大腦動脈梗塞性中風,下列何項症狀較不可能出現? (A)下肢的感覺缺損較上肢嚴重(B)對治療或活動意興闌珊,缺乏動機(C)對空間辨識有困難,常常迷路(D)兩側上肢無法協調的轉動手搖車
29.下列那個擺位的姿勢較不適合中風患者? (A)仰臥平躺時,軀幹維持正中及對稱姿勢(B)健側躺時,患側髖關節維持屈曲姿勢(C)患側躺時,患側肩胛骨維持回縮姿勢(D)坐在輪椅時,雙側髖關節維持90度屈曲姿勢
30.蔡先生中風3個月,在右髖關節往後伸直時,會同時出現右膝關節伸直及右踝關節蹠屈的動作,當 治療師要訓練其步行準備動作時,下列那個動作較為合適?(A)在坐姿下反覆練習右腳翹二郎腿的動作,將右踝關節放到左膝上方(B)平躺時將右腳跨出床緣,膝關節彎曲並踩在小凳子上,將腳板用力向下踩(C)平躺時將右腳腳跟沿著左腳脛骨上下來回滑動,訓練膝關節控制能力(D)在坐姿下腳平放於地面時,將左腳腳趾抬離地面,並維持在此姿勢下5秒後,再慢慢放下
31.蔡先生在1個月前中風,如廁時從輪椅轉位到馬桶上需要很大的協助,治療師欲訓練他可以自行轉 位如廁,下列那些策略較為適合? ①訓練患者僅能由健側轉位至馬桶上 ②在剛開始練習時,為了使踝背屈肌有效幫忙,在坐姿時應將患側腳擺在健側腳前方 ③在坐姿時,兩手交握平舉往前伸, 並將身體重心慢慢往前方移 ④在坐姿時,將兩手撐於身體兩旁的床上,並試著用雙手推床將身體 往前推 ⑤在站姿時,將骨盆往患側移後,往下半蹲(A)①③⑤(B)②③④(C)②④(D)③⑤
32.有關推者症候群的治療原則,下列何者正確? (A)推者症候群的平衡控制不佳容易跌倒,治療師須留意隨時從患側扶持避免跌倒(B)對稱性的承重姿勢愈早開始訓練愈好,最早期的訓練應該從坐在床緣、手和腳不碰到物品或地面開 始,然後進展到站姿(C)躺到坐的起身訓練應該從患側躺起身(D)訓練坐姿或站姿的對稱性姿勢時,可以在健側與牆面之間放一小球提醒患者不要使小球滑落
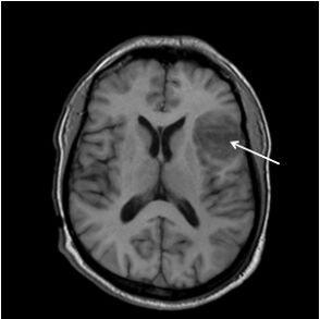
33.中風男性的核磁共振影像如下圖所示,最有可能的診斷為何? (A)小洞梗塞型中風(lacunar stroke)(B)前大腦動脈梗塞型中風(C)中大腦動脈梗塞型中風(D)蜘蛛膜下腔出血
34.承上題,以下有關此病患症狀之描述,何者最為正確? (A)肢體偏癱並有感覺障礙,上肢比下肢嚴重,合併有失語症(B)肢體偏癱並有感覺障礙,下肢比上肢嚴重,合併有尿失禁(C)肢體偏癱並有感覺障礙,僅有上肢受影響,合併有失用症(D)肢體偏癱無感覺障礙,僅有下肢動作受影響
35.某中風個案尚在軟癱期卻已出現患側肩關節半脫位的現象,為避免後續引發肩關節疼痛,下列處置 何者最為適合? (A)在躺姿下儘量不要使用枕頭,以免加大頭頸部與肩帶之高度差 (B)在躺姿下將雙手擺位抱握在頭後方來維持肩關節外轉活動度 (C)儘早使用肩滑輪系統進行自主訓練,以促進肩胛骨動作的恢復 (D)視需要使用環式肩吊帶(humeral cuff sling)以協助支撐上肢重量
36.讓中風病患在閉眼的狀況下辨識手中毛巾的材質,此為何種類別的測試? (A)表層感覺 (B)深層感覺 (C)結合皮質感覺 (D)合併表層及深層感覺
37.中風後為避免半脫位及肩痛,應著重下列那些肌肉的訓練? (A)肩外展肌、肩外旋肌、肩屈肌 (B)肩外展肌、肩內旋肌、肩伸直肌 (C)肩內收肌、肩內旋肌、肩屈肌 (D)肩內收肌、肩外旋肌、肩伸直肌
38.下列何者不是中風後的知覺認知障礙(perceptual-cognitive impairment)? (A)單側忽略(unilateral neglect) (B)同側偏盲(homonymous hemianopsia) (C)失認症(agnosia) (D)失用症(apraxia)
39.關於中風病人的動作評估,評估面向與評估工具的配對,下列何者錯誤? (A)動作恢復狀態:布朗斯壯分期,下肢動作恢復一般可分為一至六期 (B)肌肉張力:修正版艾許沃斯氏量表,將張力分為一至五等級 (C)協調能力:指-鼻-指測試或腳跟-脛骨滑行測試 (D)動作程式(motor programming):觀察是否有動作計畫及執行困難
40.使用限制誘發動作治療(constraint-induced movement therapy)方式治療腦中風患者,下列敘 述何者錯誤? (A)大多用於發病後三個月內之急性個案,發病已超過三個月之病患並不合適 (B)使用反覆性、功能相關及任務導向之活動進行訓練 (C)訓練過程中會使用行為塑造(shaping)技巧,視個案個人狀況設定目標,將活動分級練習,逐步 增加難度(D)健側須給予適當的限制使用
41.有關中風步行訓練之近代想法,下列何者正確?①患者不一定要下肢先能完全承重才開始步行訓練 ②必須先抑制高張力,才可進行步行訓練 ③肌無力會影響步行速度 ④用沙包作密集的下肢肌力 訓練後,病人的步態對稱性就會進步,不須額外練習平地走路(A)①②(B)①③(C)②③(D)②④
42.32歲陳先生2個月前因車禍造成胸椎第十節神經完全損傷,目前仍在持續接受復健治療,下列何問 題較不會出現?(A)雙下肢無力,無法自己抬起(B)治療活動過程中會大小便失禁(C)家屬協助執行雙下肢被動關節運動時,他說他沒有感覺(D)面部潮紅,血壓升高的自主神經反射異常現象
43.有關完全損傷的脊髓損傷患者之物理治療訓練目標,下列何者錯誤? (A)T9:可搭配膝踝足輔具與枴杖,以有功能性短距離行走為目標(B)L5:可搭配短腿支架和枴杖,以社區長距離行走為目標(C)C5:有人協助下完成同水平面轉位(D)C6:可獨立完成不同水平面轉位為主要目標
44.一位36歲C5不完全頸髓損傷患者,他的四肢動作功能與痛覺、溫度覺大致存留,但動作時感受不到 肢體的擺放位置,手握未裝滿水寶特瓶運動時無法感覺寶特瓶內的水在流動,站在軟墊上練習靜態 平衡時無法站穩,此為何種症候群?(A)中髓症候群(B)前髓症候群(C)後髓症候群(D)布朗-斯夸症候群
45.一位52歲男性綁安全帶坐在駕駛座時,在高速公路發生追撞車禍,在急診室發現十二指腸破裂緊急接受手術,隔日在病房抱怨頸部痠痛且合併手腳麻痺現象,頸部核磁共振影像如下,下列敘述何者正確? (A)影像顯示為頸椎第四節滑脫(spondylolisthesis),導致第四脊髓壓迫損傷 (B)肌力評估發現上肢力氣比下肢差,感覺有保留,所以認為是前髓症候群 (C)患者在手術後口含氣管內管戴頸圈搖高30度坐起時會感到頭暈,血壓下降至76/54 mmHg表示可能有 姿勢性低血壓 (D)用呼吸器時血氧偵測數值為95%,所以不需要呼吸訓練
46.下列何者最可能發生於T8脊髓完全性損傷的女性病患? (A)睡眠呼吸中止 (B)心速過慢 (C)功能性咳嗽減弱 (D)自主神經反射異常
47.下列何者較不會影響脊髓損傷患者的功能性預後? (A)年齡 (B)性別 (C)動作能力 (D)心理因素
48.完全性脊髓損傷患者,受傷最高在下列那一節,可以利用上肢做抬起(push up)的動作進行臀部 減壓? (A)C5 (B)C7 (C)T1 (D)T2
49.關於後髓症候群(posterior cord syndrome)之臨床症狀,下列敘述何者正確? (A)受傷部位以下運動功能與痛覺喪失 (B)受傷部位以下本體感覺與運動覺喪失 (C)受傷部位以下運動覺良好,但溫覺與痛覺喪失 (D)通常有運動失調(ataxia)的後遺症
50.下列何種傷害在創傷性腦傷的分類中不屬於造成腦組織損傷的次發性傷害? (A)顱內壓升高 (B)瀰漫性軸突損傷 (C)腦疝脫 (D)麩胺酸神經毒性
51.有關創傷性腦傷後常出現的陣發性交感神經過度興奮之敘述,下列何者錯誤? (A)呼吸速率增加 (B)體溫降低 (C)血壓升高 (D)出汗
52.一位腦外傷患者的影像報告顯示其大腦向小腦方向擠壓脫垂,且臨床上出現去大腦僵直與昏迷等現象,此為那種腦脫垂症狀? (A)鈎脫垂(uncal herniation) (B)扣帶回脫垂(cingulate herniation) (C)中央脫垂(central herniation) (D)小腦扁桃體脫垂(tonsillar herniation)
53.有關腦震盪或輕度創傷性腦傷的敘述,下列何者正確? (A)腦部受傷後10分鐘時,其Glasgow coma scale總分至少達14分 (B)若出現局部神經學症狀,3天後這些神經學症狀會完全消失 (C)患者的腦在傳統臨床腦結構影像上通常看不出異常 (D)不會出現精神方面的症狀,如憂鬱與人格改變等
54.根據Carr & Shephed之動作再學習策略,設計運動治療巴金森氏病患者坐到站時,合宜之治療順序 為何?①觀察患者坐到站的動作 ②帶患者練習骨盆前傾重心往前 ③請患者練習坐到站完整動作 並從錯誤中學習 ④練習從不同高度的椅子上站起來 (A)①②③④ (B)③②①④ (C)②④①③ (D)④①②③
55.你的鄰居今年55歲,近3個月出現動作緩慢且關節僵硬的情況,其家人懷疑他得了巴金森氏病。若此患者有下列何種症狀時,你最會排除原發性巴金森氏病的可能性? (A)靜止時下巴出現顫抖 (B)臉部表情比以前少 (C)寫字比以前小 (D)嚴重失智的情況
56.一位罹患巴金森氏病的63歲患者,其修正式侯葉氏分期(modified Hoehn & Yahr stage)為第五 期,下列何者為此時期最重要之治療目標? (A)增加活動量 (B)預防壓瘡 (C)練習多重任務 (D)預防害怕跌倒
57.使用迷你認知量表(Mini-Cog assessment)時,先請患者記住3項物品,接著畫出時鐘。當患者能記得1~2項物品,卻畫出異常的時鐘時,此患者最可能的篩檢結果為何? (A)無失智 (B)無法判斷是否為失智或精神異常 (C)失智 (D)精神異常
58.法朗克氏運動(Frenkel exercise)最適合用來改善小腦患者的那一項動作問題? (A)動作協調能力 (B)靜止平衡能力 (C)眼球震顫 (D)肌肉張力
59.一位神經系統疾病患者,治療師請他右手肘關節彎曲90度,做前臂旋前旋後動作連續10次,患者有 動作不順暢的現象;治療師移動患者右上肢,發現肌肉張力偏低;而左側上肢的動作表現與肌肉張 力正常。該患者最可能的損傷部位為何? (A)左側小腦 (B)右側小腦 (C)左側基底核 (D)右側基底核
60.有關多發性硬化症,下列敘述何者錯誤? (A)是一種自體免疫系統異常之疾病,引起周邊神經纖維去髓鞘 (B)常侵犯視神經,造成視力受損 (C)復發緩解型是最常見之多發性硬化症類型 (D)疲勞是患者常有之症狀
61.根據史奈琪(Sinaki)分期治療原則,第二期肌萎縮性側索硬化症病患較適合的處置為何? (A)維持正常活動,避免肌肉萎縮 (B)教導輪椅擺位與活動,避免壓瘡 (C)吞嚥與構音訓練 (D)給予低阻力肌肉訓練,但要避免疲乏
62.多發性硬化症病人出現明顯的勒赫米特現象(Lhermitte's sign)時,應限制何種動作以避免疼痛 的產生? (A)頸部屈曲 (B)頸部伸直 (C)軀幹屈曲 (D)軀幹伸直
63.45歲的張小姐為多發性硬化症患者,治療師建議她運動,下列那一種環境或運動型態最為適合? (A)到健身房做最大阻力重量訓練,以達到增加肌力的目的 (B)運動後為了緩解疲勞,應該多泡溫泉紓解痠痛 (C)到室內冷水游泳池慢游,可以維持體能 (D)利用中午到公園散步曬太陽,以增加身體溫度和抵抗力
64.王小姐3年前確診為多發性硬化症,每次發作都讓身體狀況越來越差,上週又因轉位時跌倒造成第 二腰椎壓迫性骨折,目前雙眼視力模糊,四肢肌力近端3~4分,遠端2分,下肢感覺較差。下列敘 述何者正確? (A)背架常會引發疼痛,所以不做運動時不需穿著背架 (B)運動治療訓練應加強肌力訓練,讓肢體遠端肌力增加才能獨立執行日常生活活動 (C)運動治療適合提供分站循環訓練,以避免引發肌肉疲勞 (D)運動治療後適合泡熱水澡或溫泉,減少四肢僵硬及肌肉疲勞
65.中樞神經系統腫瘤病患的預後變異性大,下列何者可能有較佳預後? (A)腫瘤分類為星狀神經膠細胞瘤者 (B)腫瘤位於優勢腦深層部位或雙側者 (C)卡洛夫司基表現狀態量表小於60分者 (D)經手術完全切除或切除大部分腫瘤者
66.下列那個神經部位損傷會出現在汞中毒的患者與急性期鉛中毒患者? (A)小腦(B)基底核(C)四肢的周邊神經(D)大腦前額葉
67.一位14歲的女孩走進物理治療所,主訴是一隻手無力,當她伸出手時,狀況如下圖。下列何者最可能同時出現?(A)小魚際肌群無力(B)骨間肌無力(C)食指與中指的掌腹側會有感覺異常(D)食指與中指的掌背側會有感覺異常
68.關於周邊神經損傷的常見原因,下列敘述何者正確? (A)阿爾布-杜氏麻痺(Erb-Duchenne paralysis)主要影響低位臂神經叢,壓迫或牽拉C8-T1脊髓神 經根造成的傷害(B)腕隧道症候群為橈神經在腕關節受到壓迫(C)蓋恩氏通道症侯群為正中神經在肘關節受到壓迫(D)肘隧道症候群為尺神經通過肘隧道時受到壓迫
69.小兒麻痺病患成年時,下列表現何者與後小兒麻痺症候群無關? (A)原來無力的肌肉出現進一步衰退(B)出現肌肉張力增強(C)全身性過度疲乏(D)寒冷耐受度下降
70.一位患者抱怨在床上翻身時會突然有天旋地轉的症狀,當快速從床上坐起或從坐姿躺下時,也會有 突然天旋地轉的症狀,症狀持續的時間大約10秒。若要判斷導致此症狀的原因,應優先執行下列何 項手法?(A)頭部猛推測試(head impulse test)(B)搖頭誘發眼震測試(head-shaking induced nystagmus test)(C)布蘭-朵夫運動測試(Brandt-Daroff exercise test)(D)豪派-狄克測試(Hallpike-Dix test)
71.一位患者因耳石脫落至左側後半規管而接受半規管復位治療。當執行復位治療的最後一個步驟,由躺姿回到坐姿時,出現向下及向右扭轉的眼球震顫,在此同時,患者抱怨天旋地轉的症狀。接下來應做下列何項處置最為適當?(A)執行左側後半規管的豪派-狄克測試為陽性後,再執行左側後半規管復位治療(B)執行右側後半規管的豪派-狄克測試為陽性後,再執行右側後半規管復位治療(C)執行左側前半規管的豪派-狄克測試為陽性後,再執行左側前半規管復位治療(D)執行右側前半規管的豪派-狄克測試為陽性後,再執行右側前半規管復位治療
72.一位被診斷為左側前庭神經炎的患者,在發作後4週進行前庭復健前評估測試,下列那幾項測試有 可能為陽性?①水平追視(horizontal pursuit) ②水平掃視(horizontal saccade) ③搖頭誘 發眼震測試(head-shaking induced nystagmus test) ④動態視覺敏銳度測試(dynamic visual acuity test) ⑤豪派-狄克測試(Hallpike-Dix test)(A)①②(B)③④(C)①②⑤(D)③④⑤
73.下列那一條神經傳導路徑能協助凝視,使頭部在移動的同時能維持視線的穩定,保持清晰的影像? (A)前庭脊髓反射(vestibulospinal reflex)(B)前庭自主傳導(vestibulo-autonomic projections)(C)前庭眼球反射(vestibulo-ocular reflex)(D)前庭頸部反射(vestibulo-collic reflex)
74.關於重症肌無力的病因,下列何者正確? (A)屬於一種自體免疫系統的疾病,身體會產生抗體去攻擊乙醯膽鹼接受器(B)屬於一種性聯遺傳X染色體短臂上的Xp21基因缺失(C)屬於急性發炎造成去髓鞘化及軸突退化(D)屬於病毒感染,病毒侵犯脊髓前角細胞
75.魏先生搭乘飛機返臺後,突然覺得頭暈無力,經送醫救治後,狀況快速惡化並送入加護病房,經診 斷為基蘭-巴瑞氏症候群。對於該疾病的敘述,下列何者正確?(A)此疾病發作前必定有前驅症狀可供察覺(B)影響範圍僅限於肢端,不會損及顏面、口腔或呼吸功能(C)開始發生症狀時,往往不會發燒,但回顧病史可能發現有類似感冒症狀(D)若以肌電圖檢查評估該疾病個案,其測試結果大多正常
76.為篩選出有肌少症或衰弱症前期風險的社區長者,下列何項測試結果不會列入參考? (A)走路速度(B)握力(C)功能性前伸(D)連續坐站5次計時
77.國民健康署所提之長者整合性照護指引(ICOPE)的行動功能指標評估,不包含下列何者? (A)走路速度(B)坐站能力(C)雙腳站一直線(D)3公尺計時起走測試
78.高齡族群的平衡測試結果與訓練目標之配對,下列何者最不適當? (A)阮柏氏測試(Romberg's test)檢測結果為20秒:經過訓練後可減少至13.5秒內(B)五次坐站測試(five times sit-to-stand test)檢測結果為20秒:經過訓練後可減少至15秒內(C)計時起走測試(timed up and go test)檢測結果為18秒:經過訓練後可減少至13.5秒內(D)四方格踏步測試(four square step test)檢測結果為18秒:經過訓練後可減少至15秒內
79.訓練一位75歲的癌末患者在安寧病房行走,下列何者較為適當? (A)休息時心跳若高於每分鐘72次就不應該進行運動(B)運動時目標心跳應維持在每分鐘110次(C)讓個案從一個比較低的椅子站起來可以減少站立的困難(D)助行器高度應調低,使手肘伸直,以節省能量耗損
80.欲改善肌少症高齡者肌肉質量和功能下降的問題,下列何種運動處方最合適? (A)跑步機訓練,每次20分鐘,每週3次,自覺用力係數11/20分(B)腿部伸肌訓練,每回8~12下,訓練3回,每週5次,阻力設定為30%1RM(C)腿部推蹬(leg press)訓練,每回8~12下,訓練3回,每週3次,阻力設定為60%1RM(D)固定式腳踏車,每次30分鐘,每週3次,強度達到30%心跳儲備量