47.下列何者為肝功能衰竭可能引發的病症?①肝腦病 ②犬表層壞死溶解性皮膚炎(superficial necrolytic
dermatitis) ③草食動物的光敏感症 ④因血中白蛋白減少造成的腹水
(A)僅②③
(B)僅①②④
(C)僅①③④
(D)①②③④
答案:登入後查看
統計: A(10), B(175), C(459), D(848), E(0) #3131244
統計: A(10), B(175), C(459), D(848), E(0) #3131244
詳解 (共 8 筆)
#6125315
Ⅷ. 肝衰竭(Hepatic failure)
於前節已提及動物的肝的再生能力很強,其功能的潛力亦大,所以動物有肝的衰竭時其障礙已相當嚴重,肝衰竭可見:
膽汁停滯性黃疸
肝性腦症
低白血蛋白症
肝性出血症
肝皮膚綜合症
肝性感光過敏症
於前節已提及動物的肝的再生能力很強,其功能的潛力亦大,所以動物有肝的衰竭時其障礙已相當嚴重,肝衰竭可見:
膽汁停滯性黃疸
肝性腦症
低白血蛋白症
肝性出血症
肝皮膚綜合症
肝性感光過敏症
1. 膽汁停滯性黃疸( Cholestatic jaundice):
黃疸可分因溶血引起肝前性黃疸、肝性黃疸、及肝後性(阻塞性)黃疸。膽汁停滯性黃疸是指後兩種的黃疸。肝性黃疸是因肝內膽汁停滯而來。肝後性黃疸是因肝外膽汁停滯而來,即肝外的膽管被阻塞而引起的膽汁停滯。肝外膽汁停滯常因膽管結石或寄生蟲阻塞了總膽管、腫瘤壓迫總膽管、或膽管的慢性炎症引起膽管的纖維化,使膽管變小而阻礙膽汁的流動。這種肝外的阻塞首先引起附近膽管的擴張,久之則亦影響到肝的膽管。於肝小葉先於門脈區見到膽汁的停滯,之後擴展至膽微細管內或肝細胞內的膽汁停滯。慢性肝外膽汁停滯可引起瀰漫性膽管性的纖維化。肝性膽汁停滯通常是肝細胞的傷害,而始於中心靜脈區。可見膽汁停留於膽微細管及肝細胞被膽汁染色。
2. 肝性腦症(Hepatic encephalopathy):
動物的末期肝病常見有此肝性腦症。反芻獸及馬可因肝衰竭引起這種腦症;狗及貓 則大多因肝門脈-腔靜脈分路(portosystemic shunts)引起。其原因是因 血中含有太多的氨。血中太多的氨,可因 吸收太多的氨或因無法代謝(排泄)正常吸收的氨而來,如因肝病或腎病。肝性腦症是屬於後者。 此症之臨床症狀各異,大多有精神不 振、瘋狂、亂跑、抽搐及無目地的走路。 肉眼下腦並無可見的變化。鏡檢下於腦可見阿茲海默第二型腦星形細胞 (Alzheimer type 2 astrocyte)。有時可見神經細胞周圍的空間的擴大,嚴重病例可有海綿狀的腦症。
3. 低血白蛋白症(Hypoalbuminemia):
白蛋白主要在肝合成。因之有嚴重肝病時則發生低血白蛋白。但因肝引起的這種情形只發生於慢性肝病,急性肝病並不致發生低血白蛋白症,因血漿的白蛋白的半衰期相當長(狗是 8 天、牛是 21 天)。動物 發生低血白蛋白時、其血液滲透壓下降, 而致發生水腫,包括有腹水。肝病引起的腹水之原因,部分是因肝門脈血流受阻之故。
4. 肝性出血症:
肝衰竭會引起出血,其因有三:第一是合成凝血因子的減少;第 二是減低清除凝血的產物;第三是影響到血小板的功用。除了第八凝血素外,其他凝血素都在肝合成。於急性肝病時第五、 七、九、十因子的合成會減少,影響到血液的凝固。慢性肝病則連第二因子 (prothrombin)也減少合成,而影響到血液凝固。肝衰竭會減少清除纖維素分裂產物(fibrin degradation product)、活化的凝固素及胞漿素原(plasminogen),因此亦影響到血液的凝固。肝衰竭亦會影響到血小板作用而製造不正常的纖維素原 (fibrinogen)。另外肝病可因影響到膽管系統,進而影響腸子脂溶性維他命 K 的吸 收,維他命 K 缺乏,亦會造成出血。
5. 肝 皮 膚 綜 合 症 ( Hepatocutaneous syndrome):
此綜合症又稱代謝性表皮壞死(metabolic epidermal necrosis)或表面性壞死皮膚炎( superficial necrolytic dermatitis)。此皮膚病與肝病有關,但其機序則不明。這種皮膚病亦可見於胰腺的病症或腫瘤。很多種狗都有這種皮膚病的報告。主要的皮膚病變是腳墊(foot pad)的 角化過度。其他皮膚的病變為早期發生紅疹(erythema),後演變為皮痂丘疹斑。亦常有皮膚的壞死。病灶的地點除了腳墊部外,亦可見於臉部黏膜皮膚交接處及下腿部。
ㅤㅤ
6. 肝性感光過敏症( Hepatic photosensitization):
感光過敏症可分為原發性及次發性,肝性感光遇敏症是次發性的。草食動物腸內細菌可把葉綠素變成葉紅質(phylloerythrin)。於正常情況下,此色素從腸子吸收後經肝細胞由膽汁排出。 但肝衰竭時尤其是當膽管不能排出此色素時,而停留於血液及皮膚,經紫外光線照射引起皮膚炎。皮膚病變主發生於沒毛髮之皮膚。
9
0
#5918534

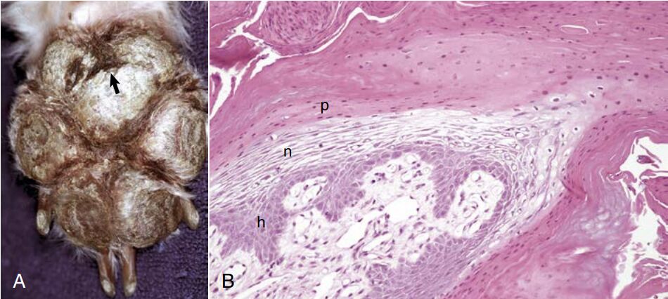
B. The epidermis has a trilaminar pattern (red [p], white [n], and blue [h]) created by (1) a superficial layer of parakeratotic hyperkeratosis (p), (2) a middle layer of severe hydropic degeneration of keratinocytes and spongiosis (intraepidermal and intercellular edema), also called the necrolytic layer (n) or epidermal pallor, and (3) a deep layer of a basophilic appearing hyperplastic deep epidermal layers (h).表皮可以看見三層紅白藍(pnh),最外面紅色層為角化不良之過度角化層,中間白色層為嚴重水樣退化的角質細胞,深層為嗜鹼性樣過度增生的上皮層。(Pathological basis of veterinary disease, 7th, p1130)
4
0
#5918537
Superficial necrolytic dermatitis (also known as diabetic dermatopathy, hepatocutaneous syndrome, necrolytic migratory erythema, metabolic epidermal necrosis) is an uncommon disorder reported primarily in older dogs and rarely in cats. Canine cases of superficial necrolytic dermatitis have been associated most frequently
with severe vacuolar hepatopathy with or without accompanying diabetes mellitus. The pathogenesis of necrolytic dermatitis is not completely understood.
表皮壞死溶解性皮膚炎主要發生在老年狗,最常與嚴重空泡化肝病+/-糖尿病有關,是一種代謝性/營養性疾病,確切機制還沒完全了解。
(Pathologic Basis of Veterinary Disease, 7th, p1255)
3
0
#6157217


出自家畜病理學下冊 p233
ㅤㅤ
3
0