49.在MRI中,要避免反褶假影(aliasing artifact)的出現,則其取樣的頻率至少須是最高信號頻率的多少倍?
(A)2
(B)0.5
(C)4
(D)8

答案:登入後查看
統計: A(1937), B(262), C(64), D(4), E(0) #1635395

詳解 (共 4 筆)

#2827407
the digital sampling...

(共 142 字,隱藏中)
前往觀看
12
0
#3453416

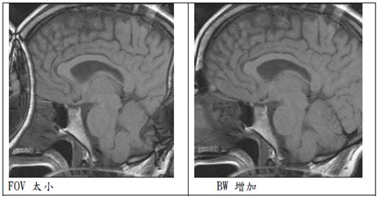
反摺假影(Aliasing artifact):

又稱wrap-around artifact

 原理:對一個固定的FOV及梯度強度而言,最大頻率 fmax相對應於FOV的邊緣。一旦FOV外面部分感受到約2倍高的頻率,此較高頻率的FOV會包摺到較低頻率的FOV,而造成 aliasing artifacts


 簡單說就是FOV太小,主要發生在相位編碼方向(phase encoding)

 

5d1a29845f965.jpg#s-503,275 

5d1a298d61cf2.jpg#s-553,289 

解決方法:

² 使用表面線圈:不要收到FOV之外的任何訊號,也可提高SNR

² 增加FOV:FOV增為兩倍來包括所有掃描的範圍,則可將aliasingnartifact消除。

² 增加取樣:增加取樣速率或者相位編碼數目

² 飽和脈衝:FOV外面的訊號飽和掉,降低aliasing artifact


3
0
#6224938
背,常常考Nyquist 取樣定律中可知...
(共 141 字,隱藏中)
前往觀看
2
0
#6095304


(共 1 字,隱藏中)
前往觀看
0
0