所屬科目:放射線診斷原理與技術學
1.下列何者不可作為膝部intercondylar fossa的攝影方法? (A)Merchant method (B)Holmblad method (C)Camp Coventry method (D)Béclere method
2.下列那種攝影會請病人「吸氣-吐氣-閉住氣不要呼吸」? (A)胸部PA (B)腹部AP (C)骨盆AP (D)頸椎AP
3.顳骨(temporal bone)的基本攝影方法有那些?①Towne method ②modified Law method ③SMV (submentovertex)projection (A)僅①② (B)①②③ (C)僅①③ (D)僅②③
4.下列何種擺位為正確的跟效應應用? (A)前臂側位攝影時,腕關節應置於陰極端 (B)胸椎AP攝影時,T12應置於陽極端 (C)下肢側位攝影時,踝關節應置於陰極端 (D)肱骨AP攝影時,肘關節應置於陽極端
5.下列有關採用Y形肩胛骨側位攝影(scapular Y lateral)的敘述,何者正確? (A)正常人的肱骨頭會在Y的正中央 (B)射源至影像接收器距離為180公分 (C)病患的雙手要舉高 (D)必須使用自動曝光控制器
6.病患俯臥,臉側靠檢查台,X光中心線垂直對準外耳洞前二公分及上二公分,最適宜檢查下列何部位? (A)腦下垂體窩 (B)聽小骨 (C)內耳道 (D)圓孔
7.針對橫膈膜以上前肋骨受傷的病人,有關肋骨常規X光素片攝影,下列何者最正確? (A)採取PA chest站立攝影並使用lung exposure technique (B)採取PA chest站立攝影,吐氣後暫停呼吸 (C)採用AP chest站立攝影並使用lung exposure technique (D)採用AP chest仰姿攝影並使用KUB exposure technique
8.有關胸椎側位X光素片攝影,下列何者最正確? (A)使用呼吸技術(breathing technique)模糊覆蓋在胸椎骨上面不需要的肋骨及肺臟紋路 (B)中央線對準鎖骨 (C)不需要支撐墊置於病人腰部使全部脊椎幾乎平行於X射線檯面 (D)深吸氣後停止呼吸
9.下列有關脊椎之敘述,何者錯誤? (A)無先天異常時,頸椎有7節、胸椎有12節 (B)一般X光素片側位攝影可清楚呈現椎間盤突出 (C)椎間盤之最外層為纖維環(annulus fibrosus) (D)open mouth view主要的目的是呈現C1與C2之解剖關係
10.一中年女性因發燒及腹痛至醫院掛急診並 接受 X 光檢查 ,下列中何者為箭號所示最可能的診斷:(A)肺膿瘍 (B)肝腫瘤 (C)肝膿瘍 (D)氣胸
11.下列何種管電壓常用於一般乳房攝影? (A)24kVp (B)40kVp (C)60kVp (D)100kVp
12.劍突(xiphoid tip)的水平延長線與下列何者位置相當? (A)第八胸椎 (B)第十胸椎 (C)第十二胸椎 (D)第一腰椎
13.下列關於DSA(digital subtraction angiography)的敘述,那些正確?①遮罩模式(mask mode)比時間差模 式(time-interval difference mode)更易產生對位失準假影(misregistration artifact) ②遮罩模式與時間差 模式同時使用,則稱為混合減贅(hybrid subtraction) ③能量減贅(energy subtraction)是使用二種不同 能量的X光來產生影像,而後相減 (A)僅①② (B)僅②③ (C)僅①③ (D)①②③
14.下列關於子宮輸卵管攝影(hysterosalpingography)的描述,何者最不正確? (A)從子宮頸口注入對比劑,以呈現子宮腔及兩側輸卵管 (B)檢查時間應在月經前3~7天接受檢查 (C)適應症含原發性或繼發性不孕症 (D)檢查後病患可能會有陰道出血的狀況
15.下列有關骨質密度測量值之敘述何者正確? (A)Z值表示受測者與同性別且健康、年輕成年人的骨質密度做比較 (B)T值表示受測者與同年齡、同性別的骨質密度做比較 (C)根據WHO規定骨質疏鬆症(osteoporosis)是指T值為負2.5或更低 (D)正常人T值應為1.0
16.經皮穿腎引流術(PCN),有時使用到CT定位,主要乃在確保進針路徑不會傷到下列那些腎臟鄰近的器官? (A)liver,spleen,colon (B)uterus,ovary,oviducts (C)stomach,esophagus,heart (D)prostate,seminal vesicles,testis
17.一肺癌病人發現左腎上腺有一不明性質之腫瘤,此時病人應接受下列何種檢查以確定腫瘤病理分類? (A)經皮穿腎引流術(PCN) (B)腎動脈攝影及栓塞術(renal angiography & TAE) (C)電腦斷層引導下切片(CT-guided biopsy) (D)血管成形術(PTA)
18.下列何種攝影角度在thoracic aortography中最適於觀察血管之變異(anomaly)? (A)RAO 30° (B)LAO 45° (C)LPO 30° (D)RPO 30°
19.乳房攝影時,當乳房病灶只能在MLO view看見,而CC view看不見時,需加做ML view。當病灶在乳房內側 時,ML view所見之病灶相對於乳頭的位置較MLO view時病灶相對應乳頭位置要: (A)低 (B)高 (C)不變 (D)都有可能
20.下列那一項最不適合用於逆行性膀胱攝影? (A)AP (B)RPO (C)LPO (D)向頭30度
21.正常狀況下,進行傳統的腹部血管攝影時,通常優先選擇下列那條血管進行穿刺? (A)股動脈(femoral artery) (B)腋動脈(axillary artery) (C)肱動脈(brachial artery) (D)橈動脈(radial artery)
22.有關膝關節造影(knee arthrography)的敘述,下列何者正確? (A)通常會以細針由膝蓋後方的膕窩(popliteal fossa),由後往前刺入關節腔內 (B)通常會注射含碘的水溶性對比劑和空氣,進行雙重對比造影 (C)如果懷疑病患的膝關節軟骨(meniscus)有破裂時,最好不要做膝關節造影 (D)如果有混濁的關節液被抽出時,不需要送檢直接拋棄
23.下列那一種檢查通常無法同時觀察膽道與胰管之病變? (A)MRCP(magnetic resonance cholangiopancreatography) (B)ERCP(endoscopic retrograde cholangiopancreatography) (C)腹部超音波掃描 (D)T-tube cholangiography
24.所謂TIPS手術是利用支架建立那兩條血管之間的通路? (A)肝動脈、肝靜脈 (B)門靜脈、肝靜脈 (C)肝動脈、門靜脈 (D)門靜脈、下腔靜脈
25.在大腸攝影時,肛管(rectal tube)置入時,通常病人採何體位? (A)Sims' position (B)lithotomy position (C)prone position (D)supine position
26.成人進行腦部電腦斷層血管攝影,如沒有使用特別方法追蹤對比劑時,在注射對比劑後約多少時間開始攝影 最佳? (A)60~90秒 (B)30~50秒 (C)15~20秒 (D)0~5秒
27.下列那一項使CT可產生連續性的體積資料? (A)滑環設計(slip-ring) (B)MIP (C)MPR (D)固態偵檢器
28.在施行下列何部位之電腦斷層時,最需要病人配合不講話、不吞嚥? (A)胸椎 (B)腰椎 (C)骨盆 (D)頸部
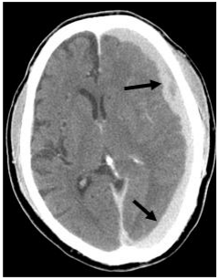
29.頭部外傷的病人,CT影像如下圖,箭號所指的是: (A)硬腦膜上血腫(epidural hematoma,EDH) (B)硬腦膜下血腫(subdural hematoma,SDH) (C)硬腦膜下積水(subdural effusion,SDE) (D)挫傷性腦內出血(contusion intracerebral hemorrhage)
30.以自動注射器施打對比劑(120 mL,3 mL/sec)進行肝臟dynamic contrast CT檢查,其肝動脈、門靜脈及平 衡相開始的時間分別約為多少秒? (A)15,30,50 (B)25,50,90 (C)50,90,150 (D)90,150,300
31.CT中若dose profile超過sensitivity profile時,則下列何者正確? (A)patient dose增加 (B)patient dose減少 (C)空間解析度增加 (D)空間解析度減少
32.下列有關可以降低電腦斷層檢查輻射劑量的敘述,何者錯誤? (A)減少檢查的頻率 (B)減少dose length product (C)減少pitch (D)減少kVp
33.電腦斷層攝影中,有關腦組織白質和灰質對比的敘述,何者最正確? (A)窗寬越寬,對比越強 (B)窗寬越窄,對比越強 (C)窗中位越高,對比越強 (D)窗中位越低,對比越強
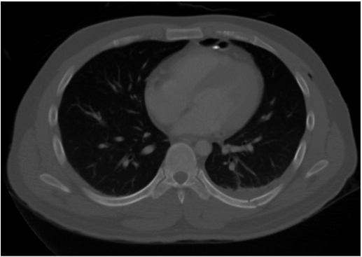
34.胸部電腦斷層攝影呈現如下圖,下列那一項最正確? (A)mediastinal window (B)lung window (C)bone window (D)pleural window
35.上腹疼痛病人電腦斷層攝影呈現如下圖,下列有關箭號所指那一項最正確? (A)肝膿瘍 (B)膽囊發炎 (C)胰臟炎 (D)胃癌
36.一病人接受腹部電腦斷層檢查,偵檢器組置(collimation)為64 × 0.5 mm,X光旋轉一圈為0.5 s,檢查床移 動速度為25.6 mm/s,管電流為200 mA,管電壓為120 kVp,影像重組厚度為5 mm,有效管電流時間乘積 (effective mAs)為何? (A)80 mAs (B)100 mAs (C)125 mAs (D)250 mAs
37.有關腹部電腦斷層攝影之敘述,下列何者錯誤? (A)硫酸鋇為最常用之對比劑 (B)靜脈注射含碘對比劑,可以使實質臟器與血管顯影,有助於病灶之對比與偵測 (C)靜脈注射含碘對比劑,通常會由腎臟排出 (D)對於腸壁與腸外結構之評估優於消化道鋇劑攝影
38.single-slice的spiral CT其X光管在40秒內旋轉80周,病床一共前進40公分,若pitch=1,則切片厚度為多少公 分? (A)1 (B)2 (C)3 (D)0.5
39.在single-slice spiral CT,如欲得到較佳之Z軸解析度,則需選擇: (A)thin collimation (B)high pitch (C)high couch movement (D)low rotation speed
40.下列何者為磁振血管造影(MRA)最常用的成像波序? (A)spin echo (B)STIR (C)gradient echo (D)FLAIR
41.在磁振造影中,Blood Oxygen Level Dependent(BOLD)主要應用於下列那一項? (A)MRU (B)MRCP (C)MRA (D)f-MRI
42.在1.5T的MRI中使用的射頻脈衝(RF pulse)之物理特性為下列何者? (A)屬於游離輻射 (B)工作頻率與微波爐相同 (C)發射時會產生巨大噪音 (D)作用於人體組織時會產生熱
43.下列何種磁振造影的技術不會增加影像的訊雜比(SNR,signal-to-noise ratio)? (A)提高取樣次數(NEX或NSA) (B)提高取樣頻寬(bandwidth) (C)提高切面厚度(slice thickness) (D)提高重覆時間(TR)
44.MRI可利用化學位移進行脂肪抑制,下列那一項最不會影響其抑制效果? (A)造影區域附近有金屬植入物 (B)使用對比劑 (C)造影範圍過大 (D)主磁場強度較低
45.依據下圖之影像,下列敘述何者正確? (A)T-spine sagittal view FSE-T1 weighted (B)C-spine sagittal view FSE-T1 weighted with contrast enhancement (C)C-spine sagittal view FSE-T2 weighted (D)L-spine sagittal view FSE-T1 weighted
46.下圖為腦部MRA,箭號所指為何? (A)前腦動脈 (B)中腦動脈 (C)後腦動脈 (D)內頸動脈
47.有關對比增強磁振血管造影術(contrast-enhanced MR angiography)的敘述,下列何者正確? (A)其取像平面通常是與血管走向呈90度 (B)是一種T2加權影像技術 (C)與相位對比磁振血管造影術(phase-contrast MR angiography)相比,一般而言,其訊雜比(SNR)比較 差 (D)與疾行時間磁振血管造影術(time-of-flight MR angiography)相比,比較不受擾流(turbulent flow)引起的 去相效應(dephasing effect)的影響
48.在MRI中完成一張完整的擴散張量影像(diffusion tensor imaging)所需之最少擷取影像數量為? (A)6 (B)7 (C)8 (D)9
49.在MRI中,要避免反褶假影(aliasing artifact)的出現,則其取樣的頻率至少須是最高信號頻率的多少倍? (A)2 (B)0.5 (C)4 (D)8
50.磁振造影檢查呈現如下圖,下列有關箭號所指之敘述何者最正確? (A)肝臟腫瘤 (B)flow假影 (C)aliasing假影 (D)膽結石
51.有關MRI技術, 以下何者最正確? (A)長的TR減少T2 weighting (B)長的TE減少T2 weighting (C)短的TR增加T1 weighting (D)短的TE增加T2 weighting
52.下列何者是目前臨床使用MRI主要之訊號來源? (A)Helium (B)Nitrogen (C)Oxygen (D)Hydrogen
53.於外加磁場環境下,氫原子的自身旋轉動作稱為下列何者? (A)magnetization (B)relaxation (C)precession (D)resonance
54.使用TR/TE=500/20毫秒、造影矩陣=192×256、取樣次數(NEX或NSA)=2、回音序列長度(echo train length)=4之磁振造影參數時,其掃描時間應為多久? (A)768秒 (B)192秒 (C)96秒 (D)48秒
55.關於超音波導引穿刺活體組織檢查之術前準備,下列敘述何者最不正確? (A)需檢視病人之凝血時間 (B)必要時,事先對病人的呼吸節奏進行訓練 (C)不需詢問病患是否接受過心臟人工金屬瓣膜置換手術 (D)需評估血液之血小板數
56.下列那一項檢查最依賴操作者主觀的判斷與操作技術? (A)電腦斷層攝影 (B)超音波檢查 (C)一般X光照相 (D)磁振造影
57.有關音波的衰減(attenuation),下列敘述何者錯誤? (A)是指音波行進時振幅(amplitude)的減少 (B)音波行進愈遠,衰減程度愈大 (C)音波行進時能量被介質吸收是造成衰減之主因 (D)音波行進中所造成的散射不會使音波衰減
58.下圖之超音波影像中,編號45的區域屬於下列何種假影? (A)acoustic shadow (B)distal acoustic enhancement (C)comet tail artifact (D)section-thickness artifact
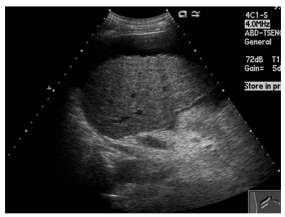
59.關於陰囊和睪丸的超音波檢查,下列敘述何者正確? (A)睪丸一般呈圓形或橢圓形、均質的低回音 (B)正常的副睪其回音較睪丸低 (C)陰囊內的水囊(hydrocele)其超音波呈現為圍繞睪丸的高回音區 (D)一般可選用7.5 MHz扇型探頭來掃描睪丸
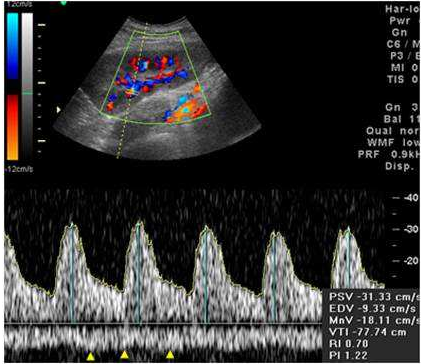
60.85歲男性病人,下肢腫脹。下圖為左側腹股溝血管掃描,則下列選項何者正確? (A)此頻譜代表所掃描為正常股動脈 (B)此頻譜代表所掃描為正常股靜脈 (C)動靜脈瘻管 (D)靜脈阻塞
61.下圖為移植腎之彩色都卜勒超音波圖,下方黃色箭頭所指之頻譜為何? (A)mirror image artifact (B)aliasing artifact (C)正常之腎葉間靜脈(interlobar vein) (D)正常之腎節動脈(segmental artery)
62.乳癌轉移到肝臟其回音強度通常為: (A)無回音 (B)低回音 (C)等回音 (D)高回音
63.有關甲狀腺超音波掃描之敘述,下列那一項錯誤? (A)掃描甲狀腺時應注意探頭壓力不應太大 (B)除了結節處,其他正常之甲狀腺應一倂掃描 (C)宜使用7 MHz的探頭 (D)掃描時患者頭下應放枕頭
64.下圖為骨盆腔超音波影像,其中箭號所指的構造為何? (A)Morison's窩(Morison's pouch) (B)直腸旁隱窩(pararectal recess) (C)cul-de-sac (D)膀胱
65.下圖之超音波影像中,肝內結節呈現為下列何者? (A)甜甜圈徵象(doughnut sign) (B)摩菲氏徵象(Murphy's sign) (C)周邊低回音徵象(peripheral halo sign) (D)雙層壁徵象(double wall sign)
66.在超音波影像中,脂肪肝的一般回音性質為何? (A)anechoic (B)hyperechoic (C)hypoechoic (D)isoechoic
67.下列有關醫用超音波掃描解析度的敘述,何者錯誤? (A)側向解析度(lateral resolution)與音束之直徑有關 (B)focal zone的解析度比較好 (C)軸向解析度(axial resolution)與音束之波長有關 (D)解析度與頻率之高低無關
68.下圖之超音波影像中,最可能的診斷為下列何者? (A)肝硬化 (B)急性肝炎 (C)局部結節性增生 (D)脂肪肝
69.下圖為肝臟之橫切面,箭號所指為肝臟的那一個部位? (A)左葉 (B)尾葉 (C)右葉 (D)左葉外側節
70.有關醫用超音波掃描,使用探頭頻率越高時,則: (A)波長越長,解析度越好 (B)波長越短,解析度下降 (C)波長越長,解析度下降 (D)波長越短,解析度越好
71.針對傳統乳房攝影的品質保證要求,下列何者正確?①至少需得10分 ②至少看到4群鈣化點群 ③看到3條 纖維 ④看到3個腫塊物 (A)①②③④ (B)僅①②③ (C)僅②③④ (D)僅①④
72.對於影像品質而言,下列敘述何者正確? (A)在空間解析度中,像素越小,其解析度會降低 (B)失真度與SID無關 (C)失真度與OID有關 (D)SNR 越小,影像雜訊越小
73.根據輻射醫療曝露品質保證標準,射束品質的評估(beam quality assessment),應該多久實行一次? (A)每年 (B)每季 (C)每月 (D)每日
74.下列那一個材料是用於電腦X光攝影(computed radiography, CR)的影像接受器? (A)碘化銫(CsI)晶體 (B)氟溴化鋇(BaFBr)晶體 (C)非結晶硒(amorphous selenium) (D)非結晶矽(amorphous silicon)
75.在一張影像中,信號強度是分布在0到255之間。若重新編製這張影像以計算每一個強度出現的像素數,可以 得到這張影像的那項資訊? (A)spatial resolution (B)signal to noise ratio (C)contrast to noise ratio (D)histogram
76.下列何者為目前DICOM所認可,且為小波轉換壓縮法的編碼技術? (A)JPEG compression (B)JPEG 2000 compression (C)JPEG-LS compression (D)Huffman compression
77.下圖中箭號所顯示為那一條血管出血?(A)左胃動脈(left gastric artery)(B)肝總動脈(common hepatic artery)(C)右肝動脈(right hepatic artery)(D)胃十二指腸動脈(gastroduedenal artery)
78.承上題附圖,發現出血後所執行之最適合治療應為: (A)血管成形術(PTA) (B)經動脈栓塞術(TAE) (C)經頸靜脈肝門脈系統靜脈引流術(TIPS) (D)血管支架置放(vascular stenting)
79 (A)出血性中風(hemorrhagic stroke) (B)梗塞性中風(brain infarction) (C)腫瘤傍腦水腫(peritumoral edema) (D)腫瘤本身(tumor)
80.承上題,下一步應做什麼? (A)注射含碘對比劑CT (B)再以2 mm細切,重做CT (C)加做冠狀切面CT (D)不必再做其他檢查