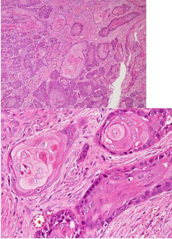
62.下圖為犬趾端潰瘍與骨溶解病灶區的肉眼與組織病變,最適當的診斷為:
(A)trichoblastoma
(B)infundibular keratinizing acanthoma
(C)squamous cell carcinoma
(D)viral papilloma
答案:登入後查看
統計: A(151), B(299), C(976), D(73), E(0) #3131259
統計: A(151), B(299), C(976), D(73), E(0) #3131259
詳解 (共 4 筆)
#5981308
|
62 |
(C) |
62.何種腫瘤鏡下可見細胞間橋(intercellular bridges)? (A)malignant melanoma (B)transmissible venereal tumor (C)squamous cell carcinoma (D)osteosarcoma |
|
62 |
(C) |
62.下圖為犬趾端潰瘍與骨溶解病灶區的肉眼與組織病變,最適當的診斷為: |
0
1

