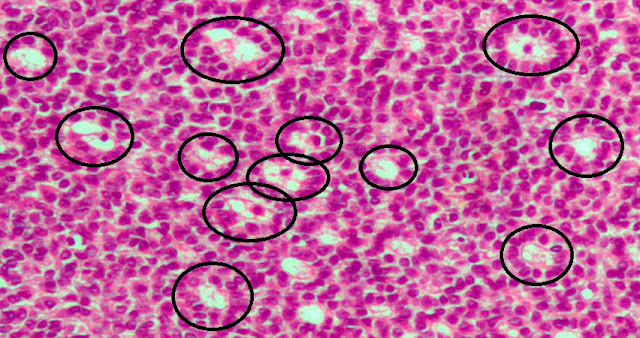
65.下列何種卵巢腫瘤較常出現Call-Exner bodies?
(A)顆粒細胞瘤
(B)卵泡膜細胞瘤
(C)黃體細胞瘤
(D)畸胎瘤
答案:登入後查看
統計: A(1589), B(235), C(245), D(325), E(0) #1375510
統計: A(1589), B(235), C(245), D(325), E(0) #1375510
詳解 (共 4 筆)
#1607888

位於顆粒層中的顆粒細胞之間;成份為由顆粒細胞分泌的玻尿酸(hyaluronic acid)與蛋白聚醣(proteoglycans)(與透明帶成份類似);呈嗜酸性(acidophilia);PAS(+);功能未知
98
1
#3425011

我覺得這張比較典型
Jubb, Kennedy & Palmer's Pathology of Domestic Animals, 6th Edition, Volume 3, page 376.
43
0