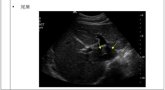
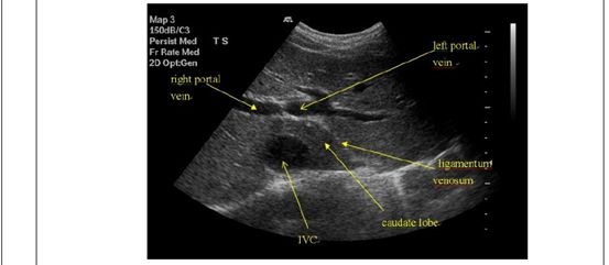
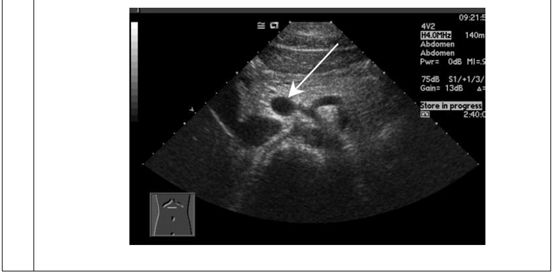
69.下圖為肝臟之橫切面,箭號所指為肝臟的那一個部位?
(A)左葉
(B)尾葉
(C)右葉
(D)左葉外側節
答案:登入後查看
統計: A(161), B(1568), C(95), D(207), E(0) #1635415
統計: A(161), B(1568), C(95), D(207), E(0) #1635415
詳解 (共 1 筆)
#3454539






3
2