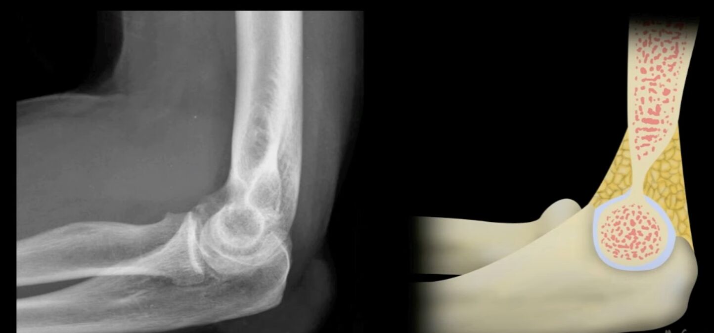
72.病人跌倒後被送到急診室,左手肘劇烈疼痛且無法活動。他的左手肘X光片側面照的影像如圖所示,下列敘述何者最恰當?
(A)可明顯發現肱骨(humerus)骨折
(B)可明顯發現橈骨(radius)骨折
(C)生長板(growth plate)尚未癒合
(D)可明顯發現關節積液(joint effusion)
答案:登入後查看
統計: A(379), B(72), C(118), D(304), E(0) #3119116
統計: A(379), B(72), C(118), D(304), E(0) #3119116
詳解 (共 2 筆)
#6479516

老實說,開書我還是看不出來。但你看到elbow沒有明顯骨折8成在考你fat pad sign
附一張正常的示意圖

1
0