阿摩線上測驗
登入
首頁
>
醫學六:80題 ( 包括麻醉科,眼科,耳鼻喉科,婦產科,復健科等科目及其及相關臨床實例與醫學倫理 )
> 100年 - 100-2 專技高考_醫學(二):醫學(六)(包括麻醉科、眼科、耳鼻喉科、婦產科、復健科等科目及其相關臨床實例與醫學倫理)#36808
100年 - 100-2 專技高考_醫學(二):醫學(六)(包括麻醉科、眼科、耳鼻喉科、婦產科、復健科等科目及其相關臨床實例與醫學倫理)#36808
科目:
醫學六:80題 ( 包括麻醉科,眼科,耳鼻喉科,婦產科,復健科等科目及其及相關臨床實例與醫學倫理 ) |
年份:
100年 |
選擇題數:
80 |
申論題數:
0
試卷資訊
所屬科目:
醫學六:80題 ( 包括麻醉科,眼科,耳鼻喉科,婦產科,復健科等科目及其及相關臨床實例與醫學倫理 )
選擇題 (80)
1 關於呼吸道處理,下列敘述何者錯誤? (A)對於有頭頸部嚴重外傷且意識不清之患者,維持呼吸道時應使用推拉下頜之技巧(jaw thrust technique) (B)顱底骨折(Basal skull fracture)患者不應使用鼻咽呼吸道(Nasopharyngeal airway) (C)成年女性患者接受氣管插管時,施救者可選擇 7 毫米內徑的氣管內管 (D)使用喉鏡(Laryngoscope)時,對於慣用左手者,應用左手拿氣管內管,看準聲門(vocal cord) 的位置並將它置入氣管內
2 關於喉頭罩氣道(Laryngeal mask airway),下列敘述何者錯誤? (A)心臟停止跳動時,一定要氣管插管,絕不可以使用喉頭罩氣道 (B)氣管插管(Endotracheal intubation)失敗且使用 Bag-valve-mask device 無法通氣時,可以使用喉頭罩 氣道通氣 (C)使用喉頭罩氣道通氣比 Face mask 更緊密可靠 (D)喉頭罩氣道可使用於 C-spine injury 的病人
3 有關氣道(airway)處理,下列敘述,何者錯誤? (A)使用二氧化碳偵測儀(Capnography)偵測氣道二氧化碳是確認氣管內管位置最可靠的方法 (B)喉頭痙攣(Laryngospasm)後引起肺水腫主要是由於胸內負壓劇升 (C)喉頭罩氣道(Laryngeal mask airway)可以完全取代氣管內管之使用 (D)處理氣道最常見永久性的傷害是牙齒創傷
4 靜脈注射類鴉片麻醉藥物(Opioids)時,臨床上常可觀察到有心跳減緩(Bradycardia)的現象,但 下列何者例外? (A) Morphine (B) Meperidine (C) Fentanyl (D) Alfentanil
5 一位患有高血壓的病人,其血壓已用藥物控制,因下肢骨折接受非急診骨科手術,而給予 Epidural anesthesia,按美國麻醉專科醫師學會(ASA)的身體狀況分類是: (A) ASA Class P2 (B) ASA Class P3 (C) ASA Class P4 (D) ASA Class P5
6 一位 25 歲男性晚餐後酒後駕車,發生車禍被送入急診室,診斷腹腔內出血,需緊急進行剖腹探查手 術。車禍後二小時,病患送入手術室,此時血壓為 80/46 mmHg,心跳每分鐘 120 下。下列敘述何者 錯誤? (A)麻醉誘導時,應進行 rapid sequence induction (B)麻醉誘導時應持續壓住 thyroid cartilage,直到氣管內管的氣囊充完氣,以防止胃內容物吐出 (C)可考慮使用 ketamine 做為 induction agent,以防止血壓再下降 (D)麻醉誘導前,必須做足夠時間的 preoxygenation
7 一位外傷病人,因腹部內出血而施行緊急手術。進入開刀房時,血壓 75/50 mmHg,心跳 110/分。何種 麻醉誘導劑較適宜? (A) Propofol (B) Ketamine (C) Thiopental (D) Midazolam
8 下列何者不是引起術後 Hypoventilation 常見的原因? (A) Hyperkalemia (B) Hypothermia (C)使用 Opioids (D)使用 Neuromuscular blocking agents
9 下列何者不是造成牽引型視網膜剝離(tractional retinal detachment)的主要原因? (A)增殖型糖尿病視網膜病變(proliferative diabetic retinopathy) (B)鐮刀狀細胞性視網膜病變(sickle cell retinopathy) (C)早產兒視網膜病變(retinopathy of prematurity) (D)格子狀視網膜變性(lattice retinal degeneration)
10 針對糖尿病患者,若積極控制血糖,則下列敘述何者錯誤? (A)糖尿病視網膜病變(diabetic retinopathy, DR)就一定不會發生 (B)可減緩背基型糖尿病視網膜病變(background diabetic retinopathy, BDR)之惡化 (C)可降低增殖型糖尿病視網膜病變(proliferative diabetic retinopathy, PDR)之形成 (D)可減少視網膜雷射治療(laser photocoagulation)之需求
11 下列那一類眼疾,可接受雷射屈光手術? (A)配戴隱形眼鏡後,造成過敏性結膜炎 (B)圓錐角膜(keratoconus) (C)角膜內皮細胞功能不良 (D)嚴重的乾眼症
12 有關春季角結膜炎(Vernal keratoconjunctivitis)之特徵,下列敘述何者正確? (A)與配戴隱形眼鏡有關 (B)好發於中年女性 (C)結膜抹片所見的發炎細胞以嗜鹼性白血球(Basophil)為主 (D)劇癢、分泌物多
13 6、7 歲小朋友有下列眼屈光異常,何者比較會有弱視之虞? (A)兩眼近視各兩百度(即 -2.0D) (B)兩眼遠視各兩百度(即 +2.0D) (C)單純近視性散光兩百度(兩眼眼球之水平軸平光,垂直軸 -2.0D) (D)兩眼遠視不等視兩百度(例如一眼 +1.0D,另一眼 +3.0D)
14 青光眼之降壓藥物中,毛果芸香(pilocarpine)是屬於那一種藥劑? (A)擬副交感神經劑(parasympathomimetics) (B)抑副交感神經劑(parasympatholytics) (C)抑交感神經劑(sympatholytics) (D)碳酸酐酶抑制劑(carbonic anhydrase inhibitor)
15 急性青光眼發作的病人所看到的虹視(halo vision)情形,是因為下列何者所引起? (A)結膜水腫 (B)角膜水腫 (C)網膜水腫 (D)視神經乳頭水腫
16 下列何者是最常見的眼瞼癌症? (A)皮脂腺癌 (B)鱗狀細胞癌 (C)基底細胞癌 (D)惡性黑素瘤
17 根據下圖請計算右耳的平均聽力閾值(pure tone average):
(A) 3 dB (B) 12 dB (C) 25 dB (D) 45 dB
18 常見造成急性鼻竇炎的病原體中,何種細菌常是源自牙齒的感染? (A)肺炎鏈球菌 (B)流行性感冒嗜血桿菌 (C)金黃色葡萄球菌 (D)厭氧菌
19 下列何者不供應鼻中隔處的血液? (A)前篩骨動脈 (B)面動脈分支 (C)蝶腭動脈分支 (D)下唇動脈分支
20 下列何者屬耳蝸內淋巴液(endolymph)組成成分的特色,以便產生動作電位? (A)高鈉離子,高鉀離子 (B)高鈉離子,低鉀離子 (C)低鈉離子,高鉀離子 (D)低鈉離子,低鉀離子
21 理學檢查發現病人耳膜有一三角形破孔,最可能致病原因為: (A)急性化膿性中耳炎 (B)慢性化膿性中耳炎 (C)慢性積液性中耳炎 (D)外傷
22 垂直線性加速度主要由何者來感應? (A)水平半規管 (B)上半規管 (C)橢圓囊(utricle) (D)球囊(saccule)
23 關於急性會厭炎(acute epiglottitis)之敘述,以下何者錯誤? (A)最常見之致病菌為 B 型嗜血桿菌(H. influenzae B) (B)頸部 X 光呈現“steeple sign" (C)可能造成上呼吸道阻塞 (D)治療首重呼吸道之建立
24 下列那一解剖構造開口於下鼻道? (A)上頜竇開口 (B)額竇開口 (C)蝶竇開口 (D)鼻淚管
25 下列何種藥物最不會降低荷爾蒙避孕藥的避孕效果? (A)抗結核菌藥物 (B)抗凝血藥物 (C)抗癲癇藥物 (D)抗黴菌藥物
26 下列有關異卵雙胞胎的敘述,何者正確? (A)只有在雙胞胎的性別相同時,此對雙胞胎才會為雙絨毛膜(dichorionic)及單羊膜(monoamniotic)雙 胞胎 (B)不管雙胞胎的性別是否相同,此對雙胞胎必為雙絨毛膜及單羊膜雙胞胎 (C)假如雙胞胎為連體嬰,此對雙胞胎為單絨毛膜(monochorionic)及單羊膜雙胞胎 (D)不管雙胞胎的性別是否相同,此對雙胞胎必為雙絨毛膜及雙羊膜(diamniotic)雙胞胎
27 人類早期懷孕的流產之中,最重要的原因是: (A)環境及藥物因素 (B)母親子宮因素 (C)母親內分泌因素 (D)胚胎品質不佳
28 (A)血液中 β-hCG 濃度 (B)經陰道超音波 (C)驗全血球計數(CBC) (D)血中 FSH 濃度
29 一位 28 歲婦女連續經歷三次懷孕初期(<12 weeks)之胚胎死亡,下列何者不屬於該婦女必要的評估 項目? (A)夫妻染色體檢查 (B)子宮輸卵管攝影(或子宮立體超音波檢查) (C)飯前血糖及甲狀腺機能 (D)陰道及骨盆腔 Chlamydia trachomatis 感染
30 下列何者與其胎盤剝離關聯性較高? (A)年紀輕 (B)長期飲酒 (C)多胞胎懷孕 (D)羊水過少
31 珠珠接受開刀過程都很順利,寶寶也馬上由小兒科醫師接手進一步處置,開刀中發現子宮局部呈現藍 紫色,因為收縮不佳,出血多達 1500 mL,心跳也增加到每分鐘 133 下,在給予 Oxytocin、Ergonovine 及 Prostaglandins 類藥物後,主治醫師決定進行 B-Lynch 縫合手術,並馬上給予輸液及輸血治療,情 況才逐漸穩定。下列敘述何者正確? (A)藍紫色子宮(Couvelaire uterus)成因是因為子宮乏力(Uterine atony)收縮不佳形成的 (B)珠珠出現子宮乏力伴隨大出血的原因可能跟出現胎盤剝離的危險因子相關 (C) B-Lynch 縫合手術主要是阻斷子宮動脈血流以期減緩出血的一種方法 (D)懷孕後期血管內容積平均增加 1500 至 2000 mL,因此容易高估真正產後的出血量
32 珠珠被懷疑因大出血造成 Sheehan syndrome,下列何種產後症狀與此關聯性較高? (A)珠珠因餵奶知識豐富,奶量充沛(Profuse lactation) (B)無月經(Amenorrhea) (C)甲狀腺亢進(Hyperthyroidism) (D)腎臟功能不足(Renal insufficiency)
33 一對夫妻兩人MCV及MCH值都明顯偏低。血紅素電泳檢查顯示先生HbA2為 5.1 %,妻子HbA2為 4.2 %,因為妻子懷孕 27 週才發現夫妻同為海洋型貧血(thalassemia)帶因者,夫妻及胎兒均來不及接受基 因檢驗。妻子在懷孕 37 週時自然生產下一男嬰,嬰兒出生時外觀及活動力正常,Apgar score 9→10,三 個月大時血紅素電泳檢查顯示HbF 82%,該新生兒最可能罹患: (A) α-thalassemia minor (B) α-thalassemia major (C) β-thalassemia minor (D) β-thalassemia major
34 有關正常懷孕與子宮外孕的敘述,下列何者錯誤? (A)正常懷孕時,β-hCG 濃度大於 1500 mIU/mL 時,陰道超音波可看到子宮內的妊娠囊 (B)正常早期懷孕,β-hCG 每天會上升一倍,如果上升速率較慢,必須懷疑有子宮外孕的可能性 (C)子宮外孕最常見到的位置是兩側輸卵管 (D)子宮外孕若早期發現,胚胎尚未破掉且還沒有心跳時,可以考慮化學藥物治療,給Methotrexate50 mg/m2 IM,但需追蹤打藥後第四天及第七天β-hCG的濃度 代號:4102 頁次:12-5
35 一位 20 歲女性,3 週前有新的性伴侶,主訴急性發作的頻尿、尿急、解尿疼痛,併有陰道分泌物增 加,鏡檢下可發現有膿尿,但尿液培養結果是陰性,此病人最可能罹患: (A)急性陰道炎 (B)間質性膀胱炎 (C)披衣菌性尿道炎 (D)尿道憩室
36 一名 39 歲育有 3 子的婦女,主訴有嚴重的經痛及經血異常,內診檢查發現子宮腫大伴隨著有壓痛感, 兩側卵巢及附屬器無明顯異常,子宮內膜切片也是正常,下列那一個是最可能的診斷? (A)子宮內膜異位症 (B)子宮內膜炎 (C)子宮肌腺症 (D)子宮內膜癌
37 腹腔鏡手術過程中,病人採髖關節過度外翻及屈曲姿勢,易造成過度伸展及受損之神經為: (A)三叉神經及副神經 (B)尺神經及橈神經 (C)股神經及坐骨神經 (D)腋神經及臂神經
38 下列關於凱格爾運動(Kegel exercises)的敘述,何者錯誤? (A)輔以衛教單張是有效的指導方式 (B)醫護人員臨場指導可增加效果 (C)依原始的凱格爾理論,適用者應只限於孕婦 (D)輔以生理回饋器材(biofeedback devices)可增加運動的效果
39 一位 43 歲婦女,G2P2,2 次皆為剖腹產,因月經異常,檢查發現巨大子宮肌瘤。接受子宮全切除, 手術不順利,剝離子宮下段黏連時,膀胱三角上方表淺損傷 3 公分,馬上用可吸收羊腸線修補。術 後 8 週最有可能的結果是: (A)膀胱陰道瘻管 (B)輸尿管阻塞 (C)正常術後情況 (D)腹腔內囤積尿液
40 一位 65 歲女性腹脹有三個月之久,經婦產科醫師觸診發現腹腔有腹水現象,內診則在右側卵巢有一 顆約 8 公分的固定不易移動及表面有結節的腫瘤,而左側卵巢萎縮不易觸摸到,接受一系列檢查, 如尿液、子宮頸抹片、乳房攝影、胸部 X 光、糞便及上腸胃道檢查皆正常,但是腫瘤指數 CA-125 為 950 U/mL,上述病患最有可能是下列那一個診斷? (A) Gonadoblastoma (B) Meigs’ syndrome (C) Krukenberg tumor (D) Serous cystadenocarcinoma
41 下列狀況何者為最可能的診斷? (A)使用口服排卵藥 (B)排卵期的子宮頸黏液 (C)早發性停經 (D)接受子宮頸錐狀切除術後
42 下列何者不是雌激素對子宮頸分泌物之影響? (A)呈透明黏液狀的分泌物 (B)在鏡檢下呈現羊齒狀 (C)良好的延展性 (D)呈濃厚、不透明的分泌物
43 一位 62 歲女性,停經 5 年,近二年因性交疼痛,反覆性泌尿道感染,使用局部荷爾蒙補充,此次因 陰道出血求診,超音波下內膜厚 0.8 公分。下列檢查何者優先? (A)腹部電腦斷層 (B)子宮內膜切片 (C)荷爾蒙劑量不足,應改為口服劑型 (D)荷爾蒙劑量不足,應增加使用次數
44 一位 30 歲已婚女性長期有經痛,性交時常感到不適,且多年不孕症之情況,於臨床上會懷疑其是 否有: (A)子宮肌瘤 (B)子宮內膜異位症 (C)子宮內膜癌 (D)骨盆腔發炎
45 一位 18 歲女性,主訴從來不曾有月經,乳房發育不全,無陰毛,下列檢查何者不需要做? (A)細胞染色體核型(Karyotype) (B)濾泡刺激素(Follicle-stimulating hormone) (C)絨毛膜促性腺激素(Human chorionic gonadotropin) (D)超音波檢查 代號:4102 頁次:12-6
46 男性不孕患者,精液檢查總活動數精蟲少於 1 百萬,實施人工協助生殖技術時,下列何項處置最有效? (A)透明區穿孔術(zona drilling) (B)卵質內單一精蟲注入術(intracytoplasmic sperm injection) (C)透明區下精蟲注入(subzonal sperm injection) (D)透明區磨薄術(assisted hatching)
47 低性腺刺激素之性腺機能低下(hypogonadotropic hypogonadism)患者若欲受孕,需接受何種治療? (A)口服排卵藥 clomiphene citrate (B)低劑量黃體素 (C)週期性黃體素 (D) hMG 注射誘導排卵
48 下列何者與多囊性卵巢徵候群(polycystic ovarian syndrome)的診斷最無關? (A)肥胖 (B)血液測得男性激素(androgen)增加 (C)臨床上有男性激素過高的表現(hyperandrogenism) (D)規則之月經週期
49 張女士因卵巢惡性腫瘤接受卵巢癌減積手術。手術後檢體發現右側卵巢與輸卵管有惡性細胞,左側 則無,淋巴結無侵犯。大網膜有許多約 1 公分之結節,證實為相同之惡性細胞。在 FIGO(International Federation of Gynecology & Obstetrics)分期上屬於第幾期? (A) IIB (B) IIC (C) IIIA (D) IIIB
50 下列何者為影響外陰癌最重要之預後因子? (A)腫瘤大小 (B)細胞組織型態 (C)淋巴結轉移 (D)泌尿系統侵犯
51 子宮頸的移行區(transformation zone),在陰道鏡檢查之下可以看到一些表徵,下列何者為該區之 異常表徵? (A) Mature and immature metaplastic epithelium (B) Nabothian cysts (C) Opening of glands (D) Leukoplakia
52 下列何者不是確認子宮內膜癌的診斷方式? (A)陰道超音波檢查 (B)子宮內膜切片(endometrial biopsy) (C)分段式擴刮術(fractional dilatation and curettage) (D)子宮鏡下切片檢查
53 一位 29 歲女性婦產科病患,身高 159 公分,體重 65 公斤,主訴月經不規則,蓄鬍,月經量稀少, 聲音低沉,身體檢查如圖所見腋下色素沉著(acanthosis nigricans)。病患最可能是何種疾病? (A)多囊性卵巢徵候群(polycystic ovarian syndrome) (B)家族性高血脂症 (C)庫欣氏徵候群(Cushing syndrome) (D)假陽性女陰陽人(pseudohermaphroditism)
54 一位 34 歲女性(G0P0),因不孕症接受子宮輸卵管攝影(Hysterosalpingogram, HSG),其影像如 圖。最可能之診斷為何?
(A)卵巢子宮內膜異位瘤(Endometrioma of ovary) (B)子宮內膜息肉(Endometrial polyp) (C)子宮漿膜下肌瘤(Subserosal myoma) (D)子宮腔黏連徵候群(Asherman syndrome)
55 下圖的病人被要求將腹部的沙包向上推,這是在做下列何肌肉的肌力訓練?
(A)腹直肌 (B)腹外斜肌 (C)橫膈肌 (D)肋間肌
56 一位 60 歲的病人在吃飯時突然發生頭痛,隨即有嘔吐現象,送到醫院時發現其左側上下肢無力,右 側顏面神經麻痺,經臨床診斷為腦中風。其最可能的病變位置在下列何處? (A)基底核(basal ganglion) (B)視丘(thalamus) (C)橋腦(pons) (D)小腦(cerebellum)
57 腦中風病人容易併發反射性交感神經失養症(Reflex sympathetic dystrophy),下列何者不是其典型 的症狀? (A)肩痛 (B)手肘活動度受限 (C)手腕水腫 (D)手背皮膚變薄
58 有關頸椎疾病復健治療原則的敘述,下列何者錯誤? (A)脊髓病變是頸椎牽引的適應症 (B)可用 Transcutaneous electrical nerve stimulation(TENS)來止痛 (C)咳嗽、打噴嚏可能加重頸神經根病變之症狀 (D)抬高同側之肱骨可能會減輕神經根病變之症狀 代號:4102 頁次:12-8
59 腦中風病人常發生患側肩關節疼痛僵硬等問題,下列敘述何者錯誤? (A)腦中風病人約 70-80%有肩關節問題 (B)維持被動性關節活動與肩外展運動最為重要 (C)急性期不可使用肩帶或吊帶,以免僵硬惡化 (D)肩關節問題發生在病人痙攣期(spastic phase)比無力期(flaccid phase)多
60 下列關於腸脛束(iliotibial band)及其摩擦徵候群(friction syndrome)的敘述,何者錯誤? (A)有脛骨內旋(internal rotation)現象者較易發生本症狀 (B)腸脛束的近端(proximal part)連接闊筋膜張肌(tensor of fascia lata) (C)腸脛束附著於脛骨結節(tibial tuberosity) (D)騎腳踏車會惡化症狀
61 一位 15 歲發育中的青少女,側彎角度以 Cobb angle 測量為 25 度,其側彎頂端(apex)在胸椎第六 節。下列何種脊椎背架最適用? (A)米華基背架(Milwaukee brace) (B)泰勒背架(Taylor brace) (C)波士頓背架(Boston brace) (D)大阪醫科大學背架(Osaka Medical College brace)
62 心肌梗塞的患者接受過運動訓練後,下列那個數值會降低? (A)最大心輸出量(maximal cardiac output) (B)次最大運動時心跳率(submaximal work heart rate) (C)最大攝氧量(maximal oxygen uptake) (D)休息時每次心搏出量(resting stroke volume)
63 下列何者屬於工具性日常生活量表(instrumental activities of daily living, IADL)的評量項目: (A)使用電腦 (B)使用電話 (C)閱讀 (D)進食
64 一位高位頸髓完全損傷病患,主述夜間經常做夢或醒來,早晨醒來常覺疲倦或頭痛,下列敘述或處置何者錯誤?(A)可能是因為肺部低通氣(alveolar hypoventilation)(B)可測量夜間脈動氧血紅素飽和度(SpO2)來確診(C)病患的肺功能檢查FEV1/FVC會偏低(D)病患的運動測試會顯示肺部死腔(dead space)增加
65 一位 12 歲的脊髓脊膜膨出(myelomenigocele)患者,在過去半年內出現急速變化的脊柱側彎,下列 敘述何者錯誤? (A)可能是脊髓牽扯(tethered spinal cord)產生 (B)治療以手術放鬆(surgical detethering)為主 (C)通常大小便功能正常 (D)反覆的屈曲及伸展可能造成脊髓的微梗塞(microinfarction)
66 裘馨氏肌失養症(Duchenne muscular dystrophy)的患童常以德氏步態(Trendelenberg gait)走路,是 因為下列那一條肌肉無力所造成?(A)髂腰肌(iliopsoas)(B)臀中肌(gluteus medius) (C)臀大肌(gluteus maximus)(D)髖內收肌(hip adductors)
67 王先生於三個月前右上肢遭受嚴重燒傷,經手術和固定一個月後開始接受復健運動及伸展,近來右 肘關節附近疼痛逐漸加劇且關節活動範圍逐漸減少,且有壓痛之情形,下列何者是最可能之原因? (A)肘關節脫臼 (B)蜂窩性組織炎 (C)異位性骨化 (D)橈神經麻痺
68 一位腦中風患者喝水很容易嗆到,但吃較黏稠的食物則沒有問題,且水溫較低較不容易嗆到,此一 患者最可能伴有下列那一種吞嚥障礙? (A)口腔動作不靈活 (B)吞嚥反射(swallowing reflex)延遲 (C)會厭軟骨(epiglottis)閉合不全 (D)環咽肌(cricopharyngeal muscle)閉鎖
69 長期側躺的病人最常發生褥瘡的位置在下列何部位? (A)髂嵴(iliac crest) (B)股骨大粗隆(greater trochanter of femur) (C)肩部(shoulder) (D)腳踝(ankle)
70 圖中手部副木應用於下列何種疾病?
(A)伸指肌腱斷裂 (B)屈指肌腱斷裂 (C)類風濕性關節炎 (D)正中神經麻痺
71 一位 3 歲兒童之 X 光片(如下圖),最可能是下列何種病變?
(A)左側髖關節脫臼 (B)左側股骨頭壞死 (C)右側髖關節脫臼 (D)右側股骨頭壞死
72 病人因視力模糊至眼科就診,眼科醫師檢查視野有缺陷,並接受 MRI 檢查,根據此 MRI(如下圖), 病人最可能產生那一種視野缺陷?
(A) Bitemporal hemianopia (B) Right side homonymous hemianopia (C) Left side homonymous hemianopia (D) Central scotoma
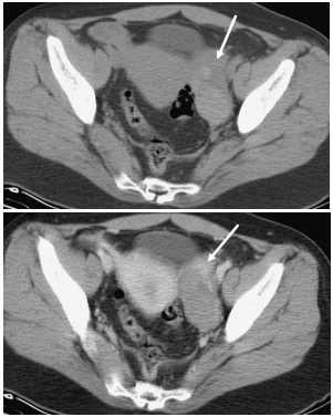
73 28 歲張太太結婚三個多月,一向健康狀況良好。昨天突然下腹部劇烈疼痛、陰道出血(vaginal bleeding)。 醫師檢查發現她的骨盆腔內積血,有緊急狀況而為她做電腦斷層攝影,所見如下圖。她最可能患有 何病?
(A)卵巢囊腫(ovarian cyst) (B)子宮外孕(ectopic pregnancy) (C)子宮內膜異位症(endometriosis) (D)卵巢癌(ovarian cancer)
74 一位 67 歲女性病人主訴右肩部疼痛,手臂抬不起來。圖為肩部磁振造影 T2 影像。最可能的診斷為 何?
(A) Shoulder dislocation (B) Rotator cuff tear (C) Calcific tendinitis (D) Humeral head fracture
75 一位 47 歲男性,主訴左耳聽力降低、外耳流出濃稠液體。根據此張 plain CT 片(如下圖),最可能 的診斷是:
(A) Chronic otitis media with cholesteatoma (B) Acute mastoiditis (C) NPC with obstructive mastoiditis (D) Tumors in the mastoid
76 王教授正進行精子的研究,需要徵求自願之受試者,提供活動力好的精子,下列何者是最合適的受 試者? (A)王教授的學生 (B)精神病病患 (C) 10-15 歲的青少年 (D)成年男子
77 羅醫師要為 58 歲的李先生進行胃癌切除手術,在上麻醉前麻醉科張醫師猛然發現胸部 X 光片上左肺 下方隱約有兩個約 0.5 公分的病灶,無法確認是否為肺部轉移。張醫師忍不住喃喃自語:「唉!肺部 已有轉移,還能開嗎?」躺在一旁仍然清醒的李先生立即回應:「什麼?羅醫師說可以開刀的,你 是說他誤診了嗎?」這一情景張醫師顯然在言語上有些疏失,張醫師除了坦承失言並道歉外,下列 何者為張醫師對自己失言給李先生最合宜的解釋? (A)此異常發現會立即與羅醫師討論並確認開刀的適當性 (B)自己經常口無遮攔說了不該說的話 (C)羅醫師應該已經確認沒有肺部轉移 (D)麻醉科醫師並沒有表達意見的立場
78 有關咽後膿瘍(retropharyngeal abscess)的敘述,下列何者正確? (A)成人的咽後膿瘍比孩童更容易擴散到胸縱膈腔 (B)臨床症狀上,成人比孩童容易出現喘鳴(stridor)及頸部水腫 (C)標準的診斷工具是頸部 X 光攝影 (D)大部分的病人,在使用抗生素治療後可以痊癒
79 一位 11 歲小朋友不小心被瞬間黏著劑(cyanoacrylate adhesives)滴入眼睛,下列處置何者錯誤? (A)因為會造成永久性角膜的傷害,所以必須立即清除 (B)儘快短時間內安排眼科醫師急診或門診 (C)對角膜的傷害主要是經由機械性磨擦引起 (D) Erythromycin ointment 可用來處理黏著劑造成角膜的沾黏
80 一位懷孕 14 週,規則接受產檢的婦女,突然下腹隱隱作痛,合併有陰道出血的情形,其最可能的診斷為何?(A) Threatened abortion(B) Ectopic pregnancy(C) Implantation bleeding(D) Pelvic inflammatory disease
申論題 (0)
相關試卷
115年 - 115-1 專技高考_醫師(二):醫學(六)(包括麻醉科、眼科、耳鼻喉科、婦產科、復健科等科目及其相關臨床實例與醫學倫理)#137334
115年 · #137334
114年 - 114-2 專技高考_醫師(二):醫學(六)(包括麻醉科、眼科、耳鼻喉科、婦產科、復健科等科目及其相關臨床實例與醫學倫理)#127922
114年 · #127922
114年 - 114-1 專技高考_醫師(二):醫學(六)(包括麻醉科、眼科、耳鼻喉科、婦產科、復健科等科目及其相關臨床實例與醫學倫理)#125090
114年 · #125090
113年 - 113-2 專技高考_醫師(二):醫學(六)(包括麻醉科、眼科、耳鼻喉科、婦產科、復健科等科目及其相關臨床實例與醫學倫理)#120656
113年 · #120656
113年 - 113-1 專技高考_醫師(二):醫學(六)(包括麻醉科、眼科、耳鼻喉科、婦產科、復健科等科目及其相關臨床實例與醫學倫理)#118715
113年 · #118715
112年 - 112-2 專技高考_醫師(二):醫學(六)(包括麻醉科、眼科、耳鼻喉科、婦產科、復健科等科目及其相關臨床實例與醫學倫理)#114980
112年 · #114980
112年 - 112-1 專技高考_醫師(二):醫學(六)(包括麻醉科、眼科、耳鼻喉科、婦產科、復健科等科目及其相關臨床實例與醫學倫理)#113157
112年 · #113157
111年 - 111-2 專技高考_醫師(二):醫學(六)(包括麻醉科、眼科、耳鼻喉科、婦產科、復健科等科目及其相關臨床實例與醫學倫理)#108743
111年 · #108743
111年 - 111-1 專技高考_醫師(二):醫學(六)(包括麻醉科、眼科、耳鼻喉科、婦產科、復健科等科目及其相關臨床實例與醫學倫理)#106188
111年 · #106188
110年 - 110-2 專技高考_醫學(二):醫學(六)(包括麻醉科、眼科、耳鼻喉科、婦產科、復健科等科目及其相關臨床實例與醫學倫理)#99915
110年 · #99915