所屬科目:醫學六:80題 ( 包括麻醉科,眼科,耳鼻喉科,婦產科,復健科等科目及其及相關臨床實例與醫學倫理 )
19.50 歲病人,因左耳聽力損失及偶爾流膿前來就診,耳鏡檢查如圖,下列何者為最可能之診斷? (A)急性中耳炎 (B)積液性中耳炎 (C)慢性中耳炎 (D)膽脂瘤
71.De Quervain's 肌腱腱鞘炎常見以下那兩條肌腱的發炎?①伸拇短肌(extensor pollicis brevis)② 伸拇長肌 (extensor pollicis longus) ③ 外展拇短肌(abductor pollicis brevis)④ 外展拇長肌(abductor pollicis longus) (A)①③ (B)②④ (C) ①④(D)②③
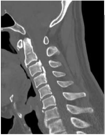
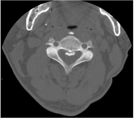
73.60 歲男性病患因長期頸部疼痛接受電腦斷層檢查,發現第 3 至第 4 頸椎有一鈣化病灶如圖。其診斷為何? (A)old vertebral fracture (B)ossification ossification of the posterior longitudinal ligament (C)ankylosing spondylitis (D)tuberculous spondylodiskitis
74.18 歲女性,因急性下腹痛就醫,腹部X光影像如圖,最可能的診斷為何?
(A)右髂內動脈瘤(right internal iliac artery aneurysm) (B)骨盆腔發炎性疾病(pelvic inflammatory disease) (C)畸胎瘤(teratoma) (D)薦骨骨折(sacral bone fracture)
80.林先生為口腔癌症末期病人,因呼吸困難被家人送到醫院急診室,林先生意識不清,醫護人員認為病人死亡已經無法避免,不應再施以急救,下列作法的優先次序為何?① 查詢病人是否已簽署 DNR 意願書② 徵求家屬同意並簽署同意書③ 查詢病人有無醫療委任代理人 (A)① → ③ →② (B) ①→ ② →③ (C) ③→① →② (D) ③→② →①