所屬科目:醫學六:80題 ( 包括麻醉科,眼科,耳鼻喉科,婦產科,復健科等科目及其及相關臨床實例與醫學倫理 )
1.麻醉醫師對病人作氣道評估後,認為必須採取清醒下插氣管內管,此時最常施行之神經阻斷技術輔助,不包括下列何者? (A)glossopharyngeal nerve block (B)superior laryngeal nerve block (C)translaryngeal block (D)recurrent laryngeal nerve block
2.關於bispectral index(BIS)於術中麻醉深度的監測(monitoring of the depth of anesthesia),下列敘述何者錯誤? (A)當BIS值為90~100 時,表示病人處於清醒的狀態 (B)當BIS值為0時,表示病人處於深度昏迷或無意識的狀態 (C)鎮靜麻醉藥物中,ketamine與propofol對腦電圖(EEG)的影響類似 (D)使用propofol達到意識失去(unconsciousness)狀態時,腦電圖(EEG)會趨於顯示低頻率 (lower-frequency)與高振幅(higher-amplitude)的波形
3.關於脈搏血氧飽和度(SpO2),下列敘述何者正確? (A)原理是oxyhemoglobin(O2Hb)與deoxyhemoglobin(deO2Hb)對不同波長的光,有不同吸收比值 (B)可以幫助我們監測通氣和體內酸鹼平衡狀態 (C)主要測量對象是靜脈血 (D)和動脈血氧分壓(PaO2)呈線性關係
4.下列何者最不會影響脊髓麻醉阻斷皮節的高度? (A)病人姿勢和擺位 (B)病人身高 (C)局部麻醉藥劑之比重 (D)注射局部麻醉藥時的給藥速度
5.有關產婦分娩硬脊膜外止痛(epidural analgesia)用藥注意事項,下列何者最適當? (A)不建議局部麻醉藥添加類鴉片藥物,因為會增加低血壓和藥物毒性等不良副作用的發生率 (B)bupivacaine作用時間長,不具心臟毒性 (C)臨床上很常使用較高濃度的局部麻醉劑,來達到較佳鎮痛 (D)使用低濃度的bupivacaine較不會產生運動阻滯,可允許下床走動
6.病人是否能從恢復室轉回病房,可以用Aldrete score來評估,9分以上(滿分10分)被認為是可以 轉出恢復室的標準。下列何者不包含在Aldrete score的項目中? (A)意識(consciousness):完全清醒(fully awake)、可喚醒(arousable)、無反應(not responding) (B)血液循環(circulation):量測到的血壓與麻醉前血壓相差多少 (C)血氧飽和度(oxygen saturation):是否需要使用氧氣,以及使用氧氣後血氧飽和度狀況 (D)疼痛(pain):疼痛嚴重程度是否可以接受
7.有關各種狀態的腦波敘述,下列何者最不適當? (A)全身麻醉下,可能呈現delta波和alpha波活性到爆發抑制(burst suppression) (B)全身麻醉恢復過程alpha跟beta活性會增加 (C)腦幹死呈現等電位狀態 (D)植物人的腦波近似正常人睡眠時期的腦波
8.有關癌症止痛的處置,下列何者最不適當? (A)若病人已不能經口服用藥物,穿皮貼片(transdermal patch)為合理選擇 (B)針對末期病人的骨轉移所造成的嚴重疼痛,可以合併給與類固醇(glucocorticoids) (C)因化療藥物造成的周邊神經病變性疼痛(neuropathic pain),不算是癌症疼痛 (D)當病人因癌症惡病質(cancer cachexia)明顯消瘦時,皮下嗎啡注射仍可以提供有效止痛
9.關於急性呼吸窘迫症候群(acute respiratory distress syndrome)的診斷,其PaO 2/FiO 2數值的定 義為何? (A)<400 (B)<300 (C)<200 (D)<100
10.下列何種情形一般不會造成裂孔性視網膜剝離? (A)後玻璃體剝離(posterior vitreous detachment) (B)高度近視(high myopia) (C)眼鈍傷(blunt ocular trauma) (D)中心視網膜靜脈阻塞(central retinal vein occlusion)
11.有關糖尿病視網膜病變(diabetic retinopathy)危險因子之敘述,下列何者錯誤? (A)得到糖尿病時間越久,發生糖尿病視網膜病變機率越大 (B)糖尿病控制不良是重要的危險因子 (C)懷孕期間糖尿病視網膜病變較不易惡化 (D)嚴重的腎臟病也容易伴隨糖尿病視網膜病變惡化
12.因角膜曲度不平整而造成視網膜物體成像模糊不清,是屬於下列那種屈光不正? (A)近視 (B)遠視 (C)散光 (D)斜視
13.有關乾眼症的敘述,下列何者錯誤? (A)眼球表面淚膜的脂質層主要由麥粒腺體(meibomian gland)所分泌 (B)黏液層主要由杯狀細胞所製造 (C)水層由淚腺、Krause及Wolfring腺體共同分泌 (D)眼球表面的感覺神經主要是第五對腦神經的第2分支所支配
14.高眼壓症(ocular hypertension)是指病患眼壓大於21 mmHg,但是並沒有青光眼的視神經病變, 關於其轉化成青光眼的危險因子,下列敘述何者最不適當? (A)眼壓愈高愈容易轉化成青光眼 (B)中央角膜厚度(central corneal thickness)愈厚愈容易轉化成青光眼 (C)視神經的杯盤比(cup/disc ratio)愈高愈容易轉化成青光眼 (D)年紀愈大者愈容易轉化成青光眼
15.有些人眼睛點類固醇藥水會造成眼壓上升,稱為類固醇反應者(steroid responder),下列敘述 何者較不適當? (A)類固醇反應者較容易得原發性隅角開放型青光眼 (B)眼壓上升的程度通常和類固醇的效價(potency)有關 (C)非眼部使用的類固醇(如皮膚上塗用或口服)不會造成眼壓上升 (D)主要原因可能是類固醇造成小樑網功能改變而導致
16.有關先天性上斜肌麻痺(superior oblique muscle palsy)之敘述,下列何者錯誤? (A)原因也可能是肌肉筋膜異常 (B)是常見的兒童垂直性斜視原因 (C)需要和甲狀腺眼疾與重症肌無力鑑別診斷 (D)患側眼會呈現下斜視(hypotropia)
17.有關全身性疾病在眼睛的常見表現,下列敘述何者錯誤? (A)馬凡氏症候群(Marfan syndrome)-晶狀體半脫位或脫位(lens subluxation or dislocation) (B)威爾森氏症(Wilson disease)-眼角膜周邊部脂質浸潤 (C)維他命A缺乏-夜盲症 (D)類肉瘤病(Sarcoidosis)-肉芽腫型葡萄膜炎(granulomatous uveitis)
18.有關眼窩外破性骨折(orbital blow out fracture)的敘述,下列何者錯誤? (A)網球比小彈珠對眼球的撞擊更容易形成眼窩外破性骨折 (B)好發的部位在眼窩底(orbital floor)及眼窩外壁(orbital lateral wall) (C)若受傷後一週評估時發現病患複視(diplopia)情況逐漸改善,可繼續觀察不用立即手術 (D)當孩童發生眼窩底外破性骨折(orbital floor blow out fracture),並合併複視 (diplopia)、噁心、嘔吐、心跳減慢等oculocardiac反射時,必須進行緊急手術
19.中耳三個聽小骨由外至內(lateral to medial)排列依序為: (A)malleus, incus, stapes (B)incus, malleus, stapes (C)incus, stapes, malleus (D)stapes, malleus, incus
20.治療慢性中耳炎時,使用下列何種抗生素耳滴劑最適合? (A)quinolone (B)aminoglycoside (C)chloramphenicol (D)polymyxin B
21.王先生今年35歲,每天起床鼻子常發癢、打噴嚏、流鼻水。曾接受過敏原IgE抗體測試結果為陽 性。請依前述情形,回答下列3題: 在臺灣下列何者最有可能是王先生的過敏原? (A)動物皮毛(animal dander) (B)塵蟎(dust mite) (C)蟑螂(cockroach) (D)黴菌(mold)
22.若檢測王先生的鼻黏膜組織,下列那一種介白素(interleukin, IL)最不可能增加? (A)IL-4 (B)IL-5 (C)IL-10 (D)IL-13
23.目前下列那一種藥物未被建議使用來治療此病人? (A)anti-IgE antibody (B)leukotriene modifier (C)topical intranasal corticosteroid (D)antihistamine
24.有關嬰幼兒喉部解剖構造,下列敘述何者錯誤? (A)足月新生兒的聲門高度(glottic level)位於頸椎C2-C3的位置 (B)嬰幼兒呼吸道立體構造為圓柱形(cylindrical),最狹窄處在聲門下區(subglottic area) (C)新生兒的喉部骨架構造,甲狀軟骨較平且與舌骨及環狀軟骨(cricoid cartilage)相重疊 (D)幼兒的杓狀軟骨(arytenoid cartilage)與上喉部軟組織占聲門的比例較高,會厭軟骨 (epiglottis)呈omega shape(Ω)
25.由下列兩張胸部X光片,判斷這位病童呼吸道異物最有可能的位置為何? (A)右側主支氣管(right main bronchus) (B)左側主支氣管(left main bronchus) (C)聲門下(subglottis) (D)氣管(trachea)
26.副交感神經系統主要藉由下列那條神經支配頷下腺及舌下腺(submandibular and sublingual gland)的唾液分泌? (A)舌下神經(sublingual nerve) (B)舌咽神經(glossopharyngeal nerve) (C)三叉神經(trigeminal nerve) (D)迷走神經(vagus nerve)(E)一律給分
27.甲狀腺手術後,容易發生術後低血鈣。針對高風險病人,可以術中監測甲狀腺腫瘤切除後10~20分 鐘內,血液副甲狀腺素濃度對比基值的變化。術中副甲狀腺素下降多少以上,會預期術後有出現低 血鈣的風險? (A)約25% (B)約50% (C)約75% (D)約10%
28.25歲女性,因月經延遲,自行驗孕發現尿液懷孕試驗呈陽性,在第一孕期抽血檢驗發現血清黃體素 值(serum progesterone level)低於5 ng/mL,下列何種狀況與前述發現最為相關? (A)生理性黃體衰退(physiologic corpus luteum decline) (B)無法存活的懷孕(nonviable pregnancy) (C)可存活的子宮內懷孕(viable intrauterine pregnancy) (D)可存活的多胞胎妊娠(viable multiple pregnancy)
29.22歲女性,G1P0,被診斷為早期懷孕合併葡萄胎(molar pregnancy),下列何種處置最適合用於 懷孕週數8~9週的molar pregnancy? (A)觀察(observation) (B)抽吸式子宮腔搔刮手術(suction curettage) (C)子宮切除術(hysterectomy) (D)子宮切開術並移除子宮內組織(hysterotomy and evacuation)
30.有關abnormal labor的敘述,下列何者錯誤? (A)prolonged latent phase係指初產婦子宮頸未開大於14小時 (B)protracted active-phase dilation係指初產婦子宮頸打開速度小於1.2 cm/hr (C)若產婦達到abnormal labor時,須評估子宮收縮強度是否足夠,以及是否有cephalopelvic disproportion (D)減痛分娩可能會使產程延長
31.活動產程(active phase)指子宮頸擴張到幾公分以上的產程? (A)2公分 (B)4公分 (C)6公分 (D)8公分
32.有關Couvelaire uterus的敘述,下列何者錯誤? (A)為胎盤早期剝離的子宮特徵 (B)原因是因為廣泛的extravasation,導致血液浸潤於子宮肌肉層 (C)很少造成子宮收縮乏力 (D)常須切除子宮以幫忙止血
33.關於羊膜穿刺,下列敘述何者錯誤? (A)最常見造成流產的原因為胎兒刺傷 (B)羊膜穿刺後流產的機率約為0.1%~0.3% (C)通常於15~20週之間執行 (D)可檢測子宮內胎兒感染或評估胎兒肺部成熟狀況
34.關於生產機轉,羊膜分泌激素刺激子宮肌肉層收縮,圖中★為何種激素?(A)dehyroepiandrosterone sulfate(DHEA-S) (B)serotonin (C)prostaglandin E 2 (D)hyaluronan
35.關於剖腹生產的適應症,下列何者錯誤? (A)待產時急性胎兒窘迫 (B)胎盤早期剝離 (C)胎兒臍帶繞頸 (D)前胎剖腹且子宮為vertical hysterotomy incision
36.下列那一種染色體異常是屬於體染色體顯性(autosomal dominant)遺傳? (A)囊性纖維變性(cystic fibrosis) (B)高胱胺酸尿症(homocystinuria) (C)神經纖維瘤病(neurofibromatosis) (D)X染色體易碎症候群(fragile X syndrome)
37.30歲的盧小姐第一次懷孕,在懷孕過程中被診斷為妊娠糖尿並且接受相關治療;她剛剛經自然產生 下了一位4,800公克的足月新生兒,下列有關盧小姐與其新生兒的敘述何者最適宜? (A)盧小姐產前血糖一定控制得非常良好 (B)此新生兒在出生後數小時內很可能會有新生兒高血糖(neonatal hyperglycemia) (C)此新生兒很有可能經歷了肩難產 (D)生產後,此孕婦的妊娠糖尿病就算已經治癒了,往後不用做任何追蹤
38.嚴重的子癇前症合併症不包含下列何者? (A)上腹痛 (B)寡尿 (C)胰臟功能異常 (D)血小板低下
39.24歲初胎孕婦,於懷孕12週接受尿液砂眼披衣菌(Chlamydia trachomatis)核酸NAAT篩檢診斷為 砂眼披衣菌感染,首選治療為: (A)Amoxicillin,500mg,每日三次口服,治療七天 (B)Erythromycin,500mg,每日四次口服,治療七天 (C)Benzathine penicillin G,2.4 million units,單一注射 (D)Azithromycin,1g,單一劑量口服
40.27歲女性,G1P0A1,昨日開始劇烈右下腹痛,合併些微噁心嘔吐症狀,無陰道出血、發燒、腹瀉症狀,驗孕結果為陰性,腹腔鏡手術發現如下圖,下列何者為最可能診斷?(A)子宮肌瘤(B)黃體破裂(C)盲腸炎(D)卵巢扭轉
41.有關子宮肌瘤,下列敘述何者最不適當? (A)手術治療選擇不包括子宮內膜消融(endometrial ablation)(B)子宮動脈栓塞術(UAE)雖然對某些子宮肌瘤治療有效,但是對卵巢功能、生育力和懷孕的影響還 不清楚(C)子宮肌瘤是子宮切除術最常見的適應症(D)黏膜下肌瘤可能造成月經增多或不孕
42.大約多少比例的嬰兒出生時患有生殖泌尿系統異常? (A)5%(B)10%(C)15%(D)20%
43.下列對於腹腔鏡應用於婦科疾病手術的敘述,何者最不適當? (A)子宮肌瘤切除相較於子宮切除,需更多的內視鏡縫合技巧(B)對子宮內膜異位症的治療,以電燒破壞為主(C)腹腔鏡陰道薦骨前固定術(sacrocolpopexy)效果可以跟開腹手術結果相當(D)可以用來進行早期子宮內膜癌的分期手術
44.有關診斷式子宮鏡檢查的敘述,下列何者最不適當? (A)子宮鏡比子宮輸卵管攝影(HSG)更能清楚評估子宮腔內的狀況 (B)停經後出血,是使用診斷式子宮鏡檢查的時機 (C)診斷式子宮鏡檢查,通常須在麻醉下進行 (D)重複性流產,是使用診斷式子宮鏡檢查的時機
45.45歲婦女,因子宮肌瘤接受腹腔鏡輔助子宮切除手術,術後恢復良好,並於術後三日出院。術後二 週,因左側腰痛,合併發燒,至急診就診,超音波顯示左側腎臟水腫,最有可能的診斷為何? (A)急性腎盂腎炎 (B)手術導致之輸尿管狹窄 (C)輸尿管結石 (D)先天性腎水腫
46.梅毒(syphilis)有效的治療,其VDRL血清檢測(1:32)在12~24個月間,其濃度至少應下降達 下列何種程度? (A)1倍 (B)2倍 (C)4倍 (D)8倍
47.一位28歲女性來到急診,她主訴為性行為後腹痛,但並無發燒或陰道出血。她的最後一次月經是25 天前,骨盆觸診下腹部有反彈痛(rebound pain),檢查發現血壓90/60 mmHg,Hb 9.5 g/dL,WBC 8,800/mm3,CRP 0.45 mg/dL,尿液妊娠試驗為陰性,超音波發現骨盆腔內有積水。下列何者是最有可能的診斷? (A)輸卵管卵巢膿瘍(tubo-ovarian abscess)破裂 (B)輸卵管子宮外孕(tubal pregnancy)破裂 (C)卵巢黃體囊腫(ovarian corpus luteum)破裂 (D)子宮平滑肌瘤(uterine leiomyoma)扭轉
48.下列關於單純性疱疹(herpes simplex)的治療,那一個觀念最正確? (A)可以將病毒根除 (B)適合在潛伏期的時候使用 (C)可以改善臨床症狀 (D)急性期儘快治療,可以減少日後的復發
49.58歲王太太,因為停經後陰道出血來婦科門診檢查,超音波發現子宮內膜厚度15mm,子宮內膜切片 發現endometrioid carcinoma,因此接受婦癌分期手術,術中及病理結果發現子宮內膜癌向下侵犯 到子宮頸和部分陰道,骨盆腔淋巴結和其他器官皆沒有轉移,根據FIGO staging,病人屬於第幾 期? (A)Stage IB (B)Stage II (C)Stage IIIA (D)Stage IIIB
50.下列何者不是常見的上皮性卵巢癌? (A)漿液性卵巢癌(serous) (B)黏液性卵巢癌(mucinous) (C)子宮內膜樣卵巢癌(endometrioid) (D)顆粒細胞卵巢癌(granulosa cell)
51.有關子宮頸癌的敘述,下列何者正確? (A)子宮頸癌是無法預防的 (B)子宮頸癌的形成是由於人類乳突病毒的感染,和其他感染如披衣菌完全無關 (C)子宮頸癌被認為是後天免疫缺乏症候群的疾病之一 (D)感染人類乳突病毒後即可獲得免疫,不會再感染同型病毒
52.經過治療後,子宮頸癌局部復發的處理,下列敘述何者正確? (A)腫瘤減積手術是首要考量 (B)對於初始接受手術的病人,可以考慮使用放射線治療 (C)骨盆腔臟器摘除手術常用於有淋巴轉移的病人 (D)化學治療為最主要的治療方式
53.停經後子宮出血最常見的原因為: (A)子宮內膜息肉 (B)子宮內膜萎縮 (C)子宮內膜癌 (D)不當的荷爾蒙治療
54.有關人工授精(Intrauterine insemination, IUI),下列敘述何者錯誤? (A)若具有活動力的總精蟲數(total motile sperm count)不到1,000萬,則成功機率不高 (B)清洗後的精蟲濃縮至0.5毫升,再以導管送進子宮腔 (C)平均而言一次人工授精可達到大約10%的懷孕率 (D)同一次月經週期做二次人工授精(double IUI),比起單一次人工授精(single IUI)懷孕率更高
55.下列何者可抑制泌乳素(prolactin)分泌? (A)雌激素(estrogen) (B)多巴胺(dopamine) (C)表皮生長激素(epidermal growth factor) (D)甲狀腺素釋放激素(thyroxin releasing hormone)
56.關於anti-Müllerian hormone(AMH),下列敘述何者正確? (A)胎兒時期的睪丸會分泌AMH,刺激男性生殖系統的發育 (B)AMH主要是由睪丸的萊氏細胞(Leydig cells)所分泌的 (C)若AMH受體表現異常,則體內會同時出現男性及女性生殖系統 (D)青春期之後,血液中就無法測得AMH
57.應力性尿失禁(stress urinary incontinence)的病生理學,下列敘述何者錯誤? (A)尿道主要支持系統是膀胱頸及尿道近端 (B)恥骨尿道韌帶(pubourethral ligment)維持尿道支撐張力,防止尿失禁 (C)DeLancey學者主張搖籃理論(Hammock Theory)來解釋尿失禁的機轉 (D)源自於排尿中樞及膀胱之間傳導的不正常
58.下列何者為主要負責協調排尿時膀胱逼尿肌與尿道括約肌功能的中樞神經? (A)大腦外側前額皮質(lateral prefrontal cortex) (B)中腦導水管周圍灰質(periaqueductal gray) (C)下視丘(hypothalamus) (D)橋腦(pons)
59.下列何種症狀最不可能於單次左側中腦動脈(left middle cerebral artery)阻塞時出現? (A)共濟失調(ataxia) (B)失語症(aphasia) (C)右側視野缺損(visual field defect) (D)右側知覺障礙(sensory impairment)
60.下列何者是肌電圖及周邊神經傳導檢查最不可能達到的目的? (A)定位神經損傷部位 (B)確診上運動神經元病變 (C)幫助定量軸突損傷的程度 (D)評估神經損傷的預後
61.一位排球選手發生單側肩痛與肩胛脊上方肌肉萎縮現象,最有可能是下列那一條神經受傷? (A)長胸(long thoracic)神經 (B)腋下(axillary)神經 (C)背肩胛(dorsal scapular)神經 (D)上肩胛(suprascapular)神經
62.有關肌少症(sarcopenia)治療的方式,下列敘述何者最不適當? (A)身體活動(physical activity)是肌少症治療方式之一 (B)營養補充(diet and nutrient supplement)是肌少症治療方式之一 (C)對於高齡肌少症患者,為避免血壓上升,應不要進行阻力運動(resistance exercise) (D)肌少症會增加病患的死亡率
63.有關冷療(cryotherapy)在物理醫學中的應用,下列敘述何者最不適當? (A)冷療可使血管收縮進而降低急性發炎反應、減少腫脹惡化,並有止痛的作用 (B)冷療在處理慢性疼痛的問題上效果不好,應避免使用 (C)冷療引起之血管收縮會導致循環障礙 (D)冷水浴藉由對流來降低肢體溫度,有全面降溫的效果,可以使用在局部燒燙傷之後肢體的快速降溫
64.有關髂脛束症候群(iliotibial band syndrome),下列敘述何者最不適當? (A)常疼痛於大腿外側 (B)扁平足、膝內翻和脛骨內旋都可能是造成的原因 (C)冰敷或伸展有助減輕疼痛和炎症 (D)必須依賴MRI或超音波影像檢查才能確定診斷
65.下列何者是最適合開始心臟復健的對象? (A)不穩定型心絞痛 (B)心臟衰竭病人從臥姿變成坐姿,收縮壓下降30 mmHg (C)高血壓心臟病人休息時血壓為160/100 mmHg (D)未裝置節律器的第三度房室傳導阻斷病人
66.關於兒童發展里程碑(developmental milestones),下列那一項最早達到? (A)會自己翻身 (B)會有意義的叫爸爸、媽媽 (C)會自己上下樓梯 (D)會用湯匙吃飯
67.下列何種類型的脊髓脊膜膨出症(myelomeningocele)患者,其神經功能損傷影響程度通常最小? (A)頸椎到上胸椎(cervical and upper thoracic spine) (B)下胸椎(lower thoracic spine T11-T12) (C)上腰椎(upper lumbar spine L1-L2) (D)中腰椎(mid-lumbar spine L3-L4)
68.巴氏量表(Barthel index)是一種日常生活功能之評估量表,評估內容不包括下列何者? (A)溝通 (B)進食 (C)如廁 (D)盥洗
69.有關疼痛傳導的敘述,下列何者錯誤? (A)疼痛可分為快速痛覺(fast pain)與慢速痛覺(slow pain) (B)快速痛覺主要是由Aδ神經纖維傳導,而慢速痛覺主要是由C神經纖維傳導 (C)Aδ神經纖維可傳達兩個以上的痛受器的訊息,因此無法精準定位傷害部位的正確位置 (D)經皮神經電刺激(TENS)是藉由門閥理論(gate control theory)的原理來抑制痛覺
70.有關無障礙環境的介入方式,下列何者最不適當? (A)常用必需品儘量放在地板上,以方便病人拿取 (B)可將出入口的門加寬,以方便病人進出 (C)可於樓梯上添加扶手,以方便病人上下樓梯 (D)可於馬桶旁的牆壁加裝扶手,以讓下肢肌力不足、平衡能力不好的病人能夠獨立如廁
71.有關輪椅的敘述,下列何者最適當? (A)第五節頸椎(C5)脊髓損傷的病人無法自己推動手動輪椅 (B)使用手動輪椅時,要注意造成肩關節的傷害 (C)腦中風導致肢體偏癱的病人無法自己推動手動輪椅 (D)後輪附加的手推圈的直徑越小越好
72.51歲男性主訴跌倒後數小時開始出現四肢無力且大小便失禁,圖為病人的胸椎磁振造影影像 (T2WI),下列敘述何者錯誤?(A)臨床表現和影像符合spinal cord infarction(B)spinal cord infarction在磁振造影中,脊髓可能見到owl's eye表現(C)受影響的血管最常是posterior spinal artery(D)脊髓的主要血液供應來自一條anterior spinal artery和一對posterior spinal arteries
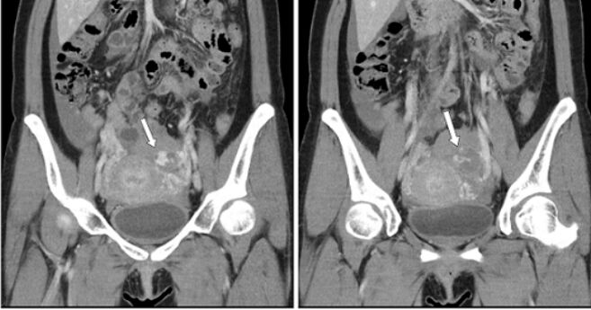
73.28歲女性主訴腹部突然劇痛,注射顯影劑後電腦斷層檢查呈現如圖,箭號所指之病灶,下列何項診斷最不可能?(A)異位妊娠破裂(B)腹腔血腫(C)子宮內膜異位(D)急性輸卵管破裂出血
74.70歲男性病人抽菸50年且長期高血壓,主訴近一週內出現三次右手及右腳突然無力,症狀持續30分 鐘才恢復,下列何者是這個疾病最不迫切需要的檢查? (A)頸動脈超音波 (B)頭頸部電腦斷層血管影像(CTA) (C)頸部聽診 (D)腦波檢查(EEG)
75.下列何者屬於周圍神經麻痺之徵象? (A)Babinski's sign (B)Hoffman's sign (C)brisk reflexes (D)areflexia
76.25歲女性至急診求診,主訴今日下腹疼痛且陰道有些許出血,平常月經規則,上次月經是7週前, urine β-hCG:(+),陰道超音波在uterus和adnexa都看不到胚囊(gestational sac),血液β- hCG:1300 mIU/mL,病人生命徵象穩定,下列處置何者最適當? (A)病人正常懷孕,告知後續門診規則產檢 (B)有可能是先兆性流產(threatened abortion),給與黃體素和transamine,後續門診追蹤 (C)有可能是異位性懷孕(ectopic pregnancy),48小時後須再次追蹤血液β-hCG值 (D)因找不到胚囊(gestational sac),須進一步安排腹部電腦斷層檢查
77.80歲男性,有糖尿病,因外耳紅、腫、熱、痛至急診就診,下列敘述何者最不適當? (A)在嚴重的個案,可能會合併腮腺炎(parotitis) (B)常見致病菌為葡萄球菌(Staphylococcus)與假單胞菌(Pseudomonas)等 (C)針對外耳炎合併牙關緊閉的病人,可單獨使用局部耳滴劑 (D)治療期間注意避免水進入耳內
78.世界醫師會(The World Medical Association)曾在2005年發表宣言,重申「安樂死 (euthanasia)是不合倫理的(unethical)」;又在2015年發表另一項宣言,重申「醫師協助自 殺(physician-assisted suicide)與安樂死一樣不合倫理,應受醫療專業譴責。」然而,在2019 年的會議中,這兩項宣言都被撤銷,改以新的宣言取代。因此,目前世界醫師會對於此議題的立場宣示,下列何者正確? (A)支持安樂死或醫師協助自殺的倫理適當性 (B)支持各國醫師組織協助推動安樂死及醫師協助自殺的合法化 (C)在安樂死已經合法的國家,支持醫師參與安樂死或醫師協助自殺 (D)支持醫師尊重病人的知情拒絕,包括依此中止或撤除維生醫療後,病人會死亡
79.病人有效的同意,需要符合三個重要的因素:接受告知、有決定能力、自願決定。關於醫師的作 法,下列何者錯誤?(A)醫師應該用病人可以了解的方式提供相關訊息(B)醫師只需說明「接受治療的好處」與「不接受治療的壞處」兩部分,不需說明替代選項(C)病人在接受說明時,如果出現強烈情緒,醫師應該注意到病人是否仍能保持決定所需要的能力(D)醫師如果說「你不開刀的話,就請你出院!」,讓病人做出接受開刀的決定,就不符合自願的原則
80.有關易受傷害族群研究的倫理議題,下列敘述何者錯誤? (A)胚胎還不是人,因此不算是易受傷害族群(B)胎兒和兒童是易受傷害族群(C)孕婦是易受傷害族群(D)新移民是易受傷害族群