所屬科目:H
20 経鼻栄養チューブの模式図を重ねた正常胸部エックス線写真(別冊No. 1 ①〜⑤) を別に示す。 経管経腸栄養を開始するための挿入状態として適切なのはどれか。 (A) ① (B) ② (C)③ (D)④ (E) ⑤
24 58 歳の男性。職場の定期健康診断で初めて不整脈を指摘されたため来院した。 自覚症状はない。7年前から高血圧症のため治療中である。家族歴に特記すべきこ とはない。脈拍 64/分、整。血圧 134/78 mmHg。身体診察所見、12 誘導心電図お よび胸部エックス線写真に異常を認めない。心エコー検査で軽度の左室肥大を認め る。24 時間 Holter 心電図(別冊No. 2)を別に示す。この心電図にみられる異常波 形は日 102 回あったが、自覚症状は認められなかった。 対応として適切なのはどれか。 (A) 経過観察 (B) 抗不整脈薬の投与 (C)ジゴキシンの投与 (D)植え込み型除細動器の留置 (E) カテーテルアブレーション
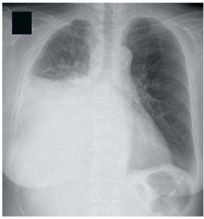
29 61 歳の女性。息苦しさを主訴に来院した。年前に乳癌に対し右乳房温存乳腺 部分切除術を受けて以来、抗癌化学療法とホルモン療法とを続けている。週前か ら息苦しさを自覚し、徐々に増悪してきたため受診した。体温 36.8 ℃。脈拍 108/分、整。血圧 120/80 mmHg。呼吸数 24/分。SpO2 90 %(room air)。右胸部で 呼吸音が減弱している。下腿に浮腫を認めない。血液所見:赤血球 410 万、Hb 11.8 g/dl、Ht 38 %、白血球 7,200、血小板 21 万。免疫学所見:CRP 0.3 mg/dl。 CEA 9.2 ng/ml(基準以下)。マスクで酸素投与を開始したところ、SpO2は 95 % になった。胸部エックス線写真(別冊No. 3)を別に示す。 現時点の対応として適切なのはどれか。 (A)気管挿管 (B) 胸腔刺 (C)強心薬の投与 (D)抗菌薬の投与 (E) 心囊刺
30 50 歳の男性。発熱と咳とを主訴に来院した。日前に咳が出現した。昨日から 痰を伴うようになり、悪寒も自覚したため、救急外来を受診した。生来健康で、気 管支喘息の既往はない。体温 38.5 ℃。心拍数 104/分、整。血圧 110/70 mmHg。 呼吸数 20/分。聴診上、右前胸部で呼吸音の減弱を認めた。coarse crackles と wheezes とを認めない。肺炎の診断に関する文献を調べたところ、「気管支喘息が ない」、「体温> 37.8 ℃」、「心拍数> 100/分」、「呼吸音が減弱している」、「coarse crackles を聴取する」の項目に該当する項目数によって、尤度比を予測できるこ とが報告されていた。その対応関係を示す。 病歴と身体診察所見に基づき計算した場合に、検査前確率(事前確率)に比べた検 査後確率(事後確率)の変化として適切なのはどれか。 (A) 低くなった。 (B) 高くなった。 (C)変化しなかった。 (D)診察前の確率による。 (E) 評価できない。