阿摩線上測驗
登入
首頁
>
醫學六:80題 ( 包括麻醉科,眼科,耳鼻喉科,婦產科,復健科等科目及其及相關臨床實例與醫學倫理 )
> 101年 - 101-1 專技高考_醫學(二):醫學(六)(包括麻醉科、眼科、耳鼻喉科、婦產科、復健科等科目及其相關臨床實例與醫學倫理)#36861
101年 - 101-1 專技高考_醫學(二):醫學(六)(包括麻醉科、眼科、耳鼻喉科、婦產科、復健科等科目及其相關臨床實例與醫學倫理)#36861
科目:
醫學六:80題 ( 包括麻醉科,眼科,耳鼻喉科,婦產科,復健科等科目及其及相關臨床實例與醫學倫理 ) |
年份:
101年 |
選擇題數:
80 |
申論題數:
0
試卷資訊
所屬科目:
醫學六:80題 ( 包括麻醉科,眼科,耳鼻喉科,婦產科,復健科等科目及其及相關臨床實例與醫學倫理 )
選擇題 (80)
1 如眼底視網膜照片所示,此位患者最可能之診斷為何?
(A)糖尿病視網膜病變 (B)急性視網膜中心動脈阻塞 (C)急性視網膜中心靜脈阻塞 (D)高血壓視網膜病變
2 如眼底視網膜照片所示,此位患者最可能之診斷為何?
(A)急性視網膜中心動脈阻塞 (B)早產兒視網膜病變 (C)背景型糖尿病視網膜病變(background diabetic retinopathy;BDR) (D)增殖型糖尿病視網膜病變(proliferative diabetic retinopathy;PDR)
3 右述眼振圖所代表的臨床意義,其最可能的診斷是:
(A)右側美尼爾病(Ménière’s disease) (B)左側美尼爾病(Ménière’s disease) (C)右側小腦橋腦角腫瘤(cerebello-pontine angle tumor) (D)左側小腦橋腦角腫瘤(cerebello-pontine angle tumor)
4 有關誘發電位(evoked potentials, EP)是手術中常用的神經功能監測方式之敘述,下列何者錯誤? (A)手術中常用的 EP 包括了聽覺(auditory)、體感覺(somatosensory)與運動(motor)等 (B)體感覺誘發電位(somatosensory evoked potentials, SSEPs)常用在脊椎損傷手術中,作為神經傳導 功能的監測方式 (C)聽覺誘發電位(auditory evoked potentials, AEPs)則是常用在小腦橋腦角腫瘤(cerebello-pontine angle tumor)切除手術 (D)體感覺誘發電位(somatosensory evoked potentials, SSEPs)不會受到吸入性麻醉劑藥物或是低體溫 的影響
5 當我們為病患進行麻醉誘導時,下列何項因子並不會增加麻醉氣體的誘導速率? (A)減少再吸入(rebreathing) (B)高麻醉機通路氣體容量(high anesthetic-circuit volume) (C)高腦血流量(cerebral blood flow) (D)肺泡中的溶解度(solubility)降低
6 下列關於氣管插管之敘述何者正確? (A)使用槓桿原理以節省力氣 (B)插管前可以不用準備抽吸管(suction) (C)喉鏡(laryngoscope)使用時應由中間偏右進入病人口腔,並將舌頭撥往左側 (D)病人躁動時,儘量不要使用快速插管步驟(rapid sequence intubation)
7 一位一個月大嬰兒,接受肛門成形術,麻醉中以呼吸器維持,給予 FiO2=1,其動脈血氧氣體分析 如下:PaCO
2
=11 mmHg;pH=7.47;PaO
2
=209 mmHg;計算[HCO
3
-
]=7.7 mEq/L,Base deficit=-14.6 mEq/L,則病人屬於那一型酸鹼不平衡? (A)合併代償性呼吸性酸中毒及代償性代謝性酸中毒 (B)原發性呼吸性鹼中毒及代償性代謝性酸中毒 (C)原發性代謝性酸中毒及代償性呼吸性鹼中毒 (D)合併原發性呼吸性鹼中毒及代謝性酸中毒
8 癌症疼痛治療中,下列那一種是理想的給藥模式? (A)脊椎內給藥 (B)靜脈給藥 (C)口服模式給藥 (D)肌肉給藥
9 兩歲以內之小兒疝氣修補術最廣泛使用的術後止痛方式為: (A)尾椎阻斷(caudal block) (B)硬脊膜外阻斷(epidural block) (C)病患自控止痛(patient-controlled analgesia) (D)嗎啡類止痛劑(opioid analgesics)
10 這是因為尿毒症患者合併有那一種病症? (A)貧血 (B)低血壓 (C)高血鉀症 (D)高血鈣症
11 承上題,外科醫師要求使用硬膜外區域麻醉法,在術前血液凝血功能檢查中,下列何者為建議項目? (A) Prothrombin time (B) Partial Thromboplastin time (C) Bleeding time (D) Thrombin time
12 眼球要往外上方看時,需靠外直肌和下列那一條眼肌共同作用? (A)上直肌 (B)上斜肌 (C)下直肌 (D)下斜肌
13 臨床上處理一隻已經喪失視力且疑似有惡性腫瘤的眼睛,下列那種手術較適合? (A)眼內容物剜除(evisceration) (B)眼球摘除(enucleation) (C)眼窩剜除(exenteration) (D)角膜移植(transplantation)
14 下列何者為已開發國家,50 歲以上造成不可逆視力喪失最常見之原因? (A)視網膜黃斑部退化 (B)白內障 (C)青光眼 (D)視網膜剝離
15 鼻淚管通往鼻腔的開口位於何處? (A)上鼻道(superior meatus) (B)中鼻道(middle meatus) (C)下鼻道(inferior meatus) (D)蝶篩隱窩(sphenoethmoidal recess)
16 淚液薄膜(tear film)的最外層(outer layer),其成分是由下列何者所分泌? (A)淚腺(lacrimal gland) (B)眼瞼瞼板腺(meibomian gland) (C)結膜杯狀細胞(goblet cell) (D)副淚腺(Wolfring gland)
17 下列何者不是形成滲漏型視網膜剝離(exudative retinal detachment)的主要原因? (A)背景型糖尿病視網膜病變(background diabetic retinopathy) (B)脈絡膜腫瘤(choroidal tumor) (C)後鞏膜炎(posterior scleritis) (D)原田氏病症(Harada’s disease)
18 下列喉癌的敘述何者正確? (A)約 95%為腺癌(Adenocarcinoma) (B)聲門上(Supraglottic type)比聲門部(glottic type)稍多 (C) T1 之聲門癌診斷時約有 15%之病例有頸部轉移 (D)聲門癌不易轉移但若出現轉移則傾向雙側頸部淋巴結轉移
19 耳膜成形術(Myringoplasty)又稱為第幾型鼓室成形術(Tympanoplasty)? (A)第 1 型 (B)第 2 型 (C)第 3 型 (D)第 4 型
20 在急診止血時最需注意那一部位? (A)下鼻甲的後端 (B)鼻中隔的末端 (C)鼻咽部 (D)鼻中隔的前端
21 承上題,下列何者為最可能的因素? (A)高血壓 (B)氣喘 (C)鼻過敏 (D)鼻前庭炎
22 有一位 40 歲女性,發現僅左側鎖骨上窩有一個 4 公分之硬塊,下列那一項是最不可能的原發病灶? (A)肺癌 (B)喉癌 (C)胃癌 (D)子宮頸癌
複選題
23 對於 Herpes Stomatitis 治療,下列何者正確? (A)先症狀治療 (B)須給 Anti-viral 藥物 (C)須給 Antibiotics 藥物 (D)須給 Anti-viral 及 Antibiotics 治療
24 下列何者是食道異物(esophageal foreign body)最容易卡住的部位? (A)環咽括約肌(cricopharyngeal sphincter)狹窄區 (B)主動脈跨過食道造成狹窄區 (C)食道中三分之一處 (D)下食道括約肌(lower esophageal sphincter)狹窄區
25 王小姐今年 25 歲,產科史為 G2P2,想要有第三個寶寶,但已經三年都沒有再懷孕了。她的月經規 則,但她曾在兩年前因為闌尾炎闌尾破裂造成持續發燒,合併嚴重腹膜炎接受手術治療。她的先生 28 歲,精液分析(semen analysis)正常,她和先生都沒有內科方面的疾病。她因為不孕到你的門診 求診,這對夫妻最有可能不孕的原因是: (A)卵子品質(oocyte quality)不佳 (B)輸卵管因素(tubal factor) (C)男性因素(male factor) (D)子宮頸及免疫因素(cervical and immunologic factors)
26 一位 34 歲健康女性,G1P1,13 歲初經以來有規則的月經週期,主訴一年半前開始沒有月經。抽血 結果顯示:β-hCG<1.0 mIU/mL;estradiol<20 pg/mL,FSH>100 mIU/mL,prolactin<20 ng/mL。 另外她有熱潮紅(hot flash)及性交疼痛(dyspareunia)的問題已影響她的生活。下列敘述何者錯誤? (A)此病人是一個典型的停經婦女(typical menopausal woman) (B)此病人與同年齡有月經的女性相比,有較高的骨折和骨質流失的風險 (C)此病人為早發性卵巢衰竭(premature ovarian failure),應接受荷爾蒙補充治療(hormone replacement therapy) (D)陰道雌激素製劑(vaginal estrogens)有助於改善性交疼痛的問題
27 下列何項免疫因子與習慣性流產較無關聯? (A) lupus anticoagulant (B) anticardiolipin antibody (C) antinuclear antibody (D) antiovarian antibody
28 下列何者不屬於卵巢過度刺激症候群(Ovarian hyperstimulation syndrome, OHSS)的症狀或表徵? (A)尿量減少 (B)血比容(hematocrit)降低 (C)體重增加 (D)呼吸變喘
29 有關停經後婦女的骨質疏鬆(osteoporosis)的敘述,下列何者錯誤? (A)適度的鈣及維生素 D 補充有助於預防骨質疏鬆 (B)戒菸和戒酒可降低骨折的機率 (C)骨質疏鬆的定義為 Bone mineral density(BMD)之 T-score 介於-1~-2.5 (D)選擇性雌激素受體調節劑(selective estrogen receptor modulator)如 Raloxifene 已證實可治療骨質疏鬆
30 一般所謂巧克力囊腫(chocolate cyst)是特指發生於何處之內膜異位症? (A)膀胱 (B)卵巢 (C)直腸 (D)子宮
31 子宮輸卵管攝影(HSG)最好在月經週期第幾天進行? (A)任何一天皆可 (B)第 1~3 天 (C)第 7~11 天 (D)第 14~20 天
32 多囊性卵巢症候群不會增加下列那一疾病的危險性? (A)子宮內膜癌 (B)子宮頸癌 (C)不孕症 (D)糖尿病
33 一位婦女因超音波顯示出現卵巢實質腫瘤而住院做進一步的檢查,在一系列的檢查後,發現此病人 合併出現 ascites 及 hydrothorax,臨床上判定為 Meigs’ syndrome。此卵巢腫瘤最可能是下列何者? (A) Thecoma (B) Cystic teratoma (C) Endometrioma (D) Fibroma
34 有關停經(menopause)的敘述,下列何者錯誤? (A)有潮紅或發熱症狀 (B)血中 FSH、LH 及女性賀爾蒙降低 (C)心臟病的機會逐漸增加 (D)萎縮性陰道炎也是症狀之一
35 在施行手術性子宮鏡時,下列何種方式能減少子宮擴張液(distension media)進入全身血液循環所引 起之合併症? (A)經常且正確的計算出液體輸入與輸出子宮腔的總量 (B)維持子宮腔壓力高於平均動脈壓 (C)使用幫浦加壓幫助液體撐起子宮腔 (D)利用抽吸管收集輸出的液體
36 繼發性無月經症(secondary amenorrhea)的定義是月經多久不來? (A)≧3 個月以上 (B)≧6 個月以上 (C)≧9 個月以上 (D)≧1 年以上
37 Immature teratoma 的預後與下列何者有關? (A)有 mature teratoma 之存在 (B)其 glandular differentiation 之程度 (C)未分化神經組織量的多寡 (D)腫瘤中脂肪量之多寡
38 一名患者 2 週前接受陰道全子宮切除、膀胱修補及尿失禁手術(Burch),回到門診時主訴有持續漏 尿現象,她並沒有尿急或解尿疼痛。她最可能發生下列那一種情形?(A)泌尿道感染(B)膀胱陰道瘻管 (C)膀胱不穩定(detrusor instability)(D)神經性膀胱
39 下列那一項不是子宮頸癌的危險因子? (A) Early age at first intercourse (B) Multiple sexual partners (C) Cigarette smoking (D) Cytomegalovirus(CMV)infection
40 引起植入性胎盤(placenta accreta)最常見的危險因子為: (A)人工流產手術 (B)子宮肌瘤切除手術 (C)前胎剖腹產合併前置胎盤 (D)高齡產婦
41 下列有關懷孕合併心臟病之敘述,何者錯誤? (A)懷孕期間應避免心臟衰竭 (B)為避免心臟功能惡化,應行剖腹產 (C)發生心臟衰竭的時間常見於生產時與產後 (D)先天性心臟病孕婦生下有心臟病胎兒的機率較一般孕婦高
42 下列關於子癇前症(preeclampsia)的敘述,何者正確? (A)心臟輸出量(cardiac output)減少,周邊血管阻力(peripheral resistance)也減少 (B)心臟輸出量減少,周邊血管阻力增加 (C)心臟輸出量增加,周邊血管阻力也增加 (D)心臟輸出量增加,周邊血管阻力減少
43 下列那種陰道感染與早產的關聯性最高? (A) Bacterial vaginosis (B) Trichomonas vaginalis (C) Candidiasis (D) Herpes simplex infection
44 卵巢癌病人減積手術後,病理報告腹水檢查為陽性,肝臟表面、大網膜及骨盆淋巴腺皆有轉移,則 此病人的 FIGO(International Federation of Gynecology & Obstetrics)分期為何? (A)ⅢA (B)ⅢB (C)ⅢC (D)Ⅳ
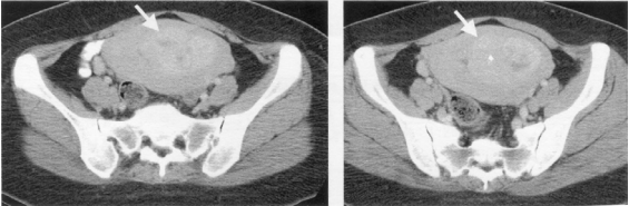
45 一位年輕女性因心理無法適應之理由要求終止妊娠,超音波顯示懷孕 5 週,尚無法看到胎兒心跳, 她並表明不希望藉由手術方法終止妊娠,下列何者為最適合之終止妊娠之方式? (A) Mifepristone(RU486) (B) Methotrexate (C) Mifepristone(RU486)plus Misoprostol (D) Oxytocin plus Prostaglandin
46 一位 30 歲之婦女懷孕 35 週時因高血壓住院控制血壓,其血壓為 190/120 mmHg,有明顯蛋白尿 (2.5 g/24 hour),她同時有頭痛及視力模糊之情況,胎心音監視器顯示胎心跳變異性較低,但是速 度正常,子宮每 7~8 分鐘收縮一次,子宮收縮時並無胎心跳變慢之情況,超音波預估胎兒體重為 2150 公克。最合理之處理方式為: (A)安胎,進一步評估胎兒健康狀況 (B)控制血壓並終止懷孕 (C)補充高蛋白營養 (D)進一步評估胎盤功能並供應孕婦氧氣
47 33 歲女性,G4P2A1,妊娠 33 週,依胎兒生物生理計分法(biophysical profile, BPP)得分為 4 分, 最佳處置為何? (A)立即分娩 (B)當天重複 BPP 試驗,若是小於或等於 6,立即分娩 (C)三天後重複 BPP 試驗,若是小於或等於 8,立即分娩 (D)七天後重複 BPP 試驗,若是小於或等於 8,立即分娩
48 下列何者不屬於妊娠前糖尿病之新生兒合併症? (A) Respiratory distress (B) Hypoglycemia (C) Hypercalcemia (D) Hyperbilirubinemia
49 一位 8 歲的女孩,主訴下腹痛被帶到門診,超音波檢查發現右側卵巢有一顆 6 公分的腫瘤,下列的 診斷何者最有可能? (A)良性上皮性腫瘤(benign epithelial neoplasm) (B)惡性上皮性腫瘤(malignant epithelial neoplasm) (C)濾泡性囊腫(follicular cyst) (D)生殖細胞腫瘤(germ cell tumor)
50 請問她的分期是: (A) stage IB1 (B) stage IB2 (C) stage IIB (D) stage IIIA
51 承上題,她需接受下列何種治療? (A)放射治療 (B)根除性手術 (C)化學治療 (D)合併放射及化學治療
52 下列何種診斷最符合安琪的症狀? (A)子宮頸閉鎖不全(Cervical incompetence) (B)脅迫性流產(Threatened abortion) (C)早產(Preterm labor) (D)不完全性流產(Incomplete abortion)
53 承上題,安琪這胎後來不幸流產,安琪很傷心,也很擔心之後懷孕會發生同樣的情況,下列諮詢何 者錯誤? (A)可建議她下一胎在妊娠 12 至 16 週間作預防性的子宮頸環紮手術 (B)下次懷孕,可利用經陰道超音波追蹤子宮頸長度,及是否有子宮頸內口出現漏斗狀(funneling)徵兆 (C)經陰道子宮頸環紮手術最常用的有 McDonald 和 Shirodkar 兩種術式 (D)建議下次懷孕開始就臥床休息,並補充雌激素
54 一位 18 歲的高三女生,身高 160 公分,體重 68 公斤,臉上有些青春痘,主訴月經不規則,二、三 個月來一次,卵巢超音波如下圖。下列何者不正確?
(A)診斷是多囊性卵巢症候群 (B)建議先減輕體重 (C)建議給予排卵藥 (D)建議給予黃體素
55 圖中患者手戴防滑手套、輪椅輪圈纏繞橡皮帶才能有效推動輪椅,此顯示病人最可能是下列何種病患?
(A)第四頸髓完全損傷 (B)第六頸髓完全損傷 (C)第二胸髓完全損傷 (D)第一腰髓完全損傷
56 因慢性腦中風或腦性麻痺所引起的偏癱步態(hemiparetic gait)不會有下列何項特徵? (A)膝部外翻(genu valgum) (B)髖部環繞動作(circumduction) (C)上肢協同收縮(co-contraction) (D)足部內翻(inversion)
57 成人的排尿反射中樞大多位在那一節脊椎的位置? (A)第十胸椎 (B)第一腰椎 (C)第五腰椎 (D)第二薦椎
58 一位 14 歲國中女生有脊椎側彎症,X 光片顯示其最大彎曲點在第一腰椎且柯卜氏角度(Cobb’s angle) 為 30 度。下列何者為最主要的矯治方式? (A)給予脊椎背部運動治療 (B)給予脊椎牽拉(traction)治療 (C)給予矯正用塑膠成型背架 (D)脊椎手術矯正治療
59 髖關節置換手術後 3 個月內應該避免的動作不包括下列何者? (A)屈曲(flexion)90 度以上 (B)外展(abduction) (C)內收(adduction) (D)內轉(internal rotation)
60 一位 60 歲女性有 5 年的退化性膝關節炎,X 光顯示雙邊膝關節於承重時有內側關節腔(medial compartment)狹窄並伴隨疼痛。下列何種輔具(orthosis)對她最有幫助? (A)鞋墊加裝外側楔形突起器(lateral wedge) (B)足弓墊(arch support) (C)足跟杯(heel cup) (D)彈性繃帶(elastic bandage)
61 一位 62 歲男性病患於 1 週前接受心臟血管繞道手術,其心肺復健處方,下列何者最不適合? (A)相較於心肌梗塞(myocardial infarction)的病患,通常可較早進行心肺復健 (B)此時可進行上半身肌力訓練,以改善日常生活功能 (C)此時可進行坐起、移位、步行等活動 (D)術後 2-3 週可進行運動測試
62 一位 66 歲女性長期患有慢性兩側膝關節疼痛,骨科檢查發現有一局部壓痛點在脛骨近端內側部位, 恰位於縫匠肌(sartorius)遠端附著處。下列何者為最可能的診斷? (A)膝蓋鵝掌狀韌帶滑囊炎(pes anserine bursitis) (B)半月板破裂(meniscus tear) (C)內側副韌帶扭傷(medial collateral ligament sprain) (D)冠狀韌帶扭傷(coronary ligament sprain)
63 關於慢性阻塞性肺病(COPD)病患的呼吸運動訓練,下列何者敘述最正確? (A)多使用胸式呼吸 (B)吸氣的時間要比呼氣的時間長 (C)使用圓唇吐氣的方式 (D)使用腹式呼吸時,吸氣時腹部須用力下壓
64 一位一歲兩個月大之幼兒,因被懷疑有發展遲緩而被帶來求診。理學檢查時如果下列那一項反射還 存在,則仍可視為是正常的反射? (A)驚嚇反射(Moro reflex) (B)蘭多反射(Landau reflex) (C)張頸力反射(tonic neck reflex) (D)手掌抓握反應(palmar grasp)
65 腦中風後,常會給予抗血小板治療(antiplatelet therapy)。最常見的藥物組合是 aspirin 加上 dipyridamole。 但這兩項藥物一起使用,下列何者是最常見的副作用而使得醫師必須停用或只開立其中一種? (A)肥胖 (B)月經異常 (C)嚴重頭痛 (D)厭食症
66 一位 5 歲腦性麻痺病患,走路時雙腳呈現踮腳尖(tip toes walking)及剪刀腳步態(scissor gait), 下列何項治療對改善其步態無幫忙? (A)拉筋(stretch exercise) (B)穿戴踝足副木支架(ankle-foot orthoses) (C)施打肉毒桿菌(botox) (D)經皮電刺激(transcutaneous electrical nerve stimulation)
複選題
67 依據正常嬰幼兒的粗動作發展里程(gross motor milestones),下列那一項敘述符合發展遲緩的狀況? (A) 5 個月大時開始可以從平躺(supine)翻身到趴著(prone) (B) 9 個月大時開始可以用雙手與雙膝爬行(crawl) (C) 30 個月大時開始可以雙腳併立跳躍(jumping) (D) 4 歲大時開始可以騎三輪車(pedals tricycle)
68 一位兩個月大嬰兒至門診接受預防注射,在理學檢查時發現嬰兒頭部向右側看且往左側傾斜,左頸 部可摸到明顯硬塊,經進一步診斷為斜頸。關於此嬰兒的敘述,何者錯誤? (A)可與先天性髖關節脫臼(congenital dysplasia of the hip)同時發生 (B)常因左側胸鎖乳突肌(sternocleidomastoid muscle)之異常所致 (C)可能造成左側臉部扁平及左側枕部扁平 (D)三歲以前徹底治療,臉部畸形大都可改善
69 某老先生中風後發生右邊半身不遂與吞嚥困難,他可以喝水但吞嚥半固體或固體食物時有困難。下 列何種處置最能改善其吞嚥功能? (A)將頭轉向一側 (B)吞嚥前先閉氣 (C)環咽擴張術(cricopharyngeal dilatation) (D)增加流質濃稠度(thicken liquids)
70 因乳癌而實施乳房摘除手術後之復健,下列注意事項何者錯誤? (A)手術範圍越大,肩關節活動度越容易受影響 (B)術後疼痛須立即作患側肩關節主動關節活動以解除症狀 (C)肩關節活動角度應逐漸增加 (D)傷口癒合後,肩活動角度無須特別限制
71 有失能(disability)的病患,在接受復健治療時需要注意的重點,不包括下列何者? (A)因每個病患的失能程度不一樣,因此復健治療必須依照每人的不同量身安排(individualized) (B)必須注意復健環境(environmental factors),例如無障礙空間等 (C)必須好好教育家屬(adequate family education) (D)應採取一對一復健方式,暫時不要讓病患跟太多其他病患有社會互動(social interaction)
72 16 歲男孩,主訴鼻塞、濃稠鼻涕已經超過一年。根據此張 plain CT 片,最可能的診斷是:
(A) Chronic rhinitis (B) Chronic paranasal sinusitis (C) Fungal infection in the paranasal sinuses (D) Tumors in the paranasal sinuses
73 46 歲男性,主訴右側耳鳴。根據此張 MRI,T2WI,引起右側耳鳴最可能的原因是:
(A) NPC 引起右耳積水乳突炎(mastoiditis) (B)細菌性右耳積水乳突炎(bacterial mastoiditis) (C)病毒性右耳積水乳突炎(viral mastoiditis) (D)乳突膽脂瘤(mastoid cholesteatoma)
74 48 歲男性,因為突然激烈喉嚨疼痛、發燒、白血球增加,而做了 CT 檢查,根據附圖注射靜脈顯影 劑之 CT 影像,最適當的診斷是:
(A) Tonsilar abscess (B) Tonsilar lymphadenopathy (C) Tonsillitis (D) Tonsilar lymphoma
75 40 歲林女士發現數月來月經痛、不規則出血。CT 檢查結果如圖示。林女士最可能患了什麼病?
(A)懷孕(pregnancy) (B)卵巢皮樣囊腫(dermoid cyst) (C)子宮頸癌(uterine cervical cancer) (D)子宮類纖維瘤(uterine fibroid or leiomyoma)
76 有關急性中耳炎的併發症,下列敘述何者錯誤? (A)若產生中耳積水之併發症,可造成聽力暫時的喪失 (B)若發生急性乳突炎(acute mastoiditis),必須住院接受抗生素治療 (C)急性比慢性中耳炎更容易引發腦膜炎或腦膿瘍之併發症 (D)若病人出現頭痛及視乳突水腫(papilledema)時,必須考慮發生側靜脈竇血栓(lateral sinus thrombosis)之併發症
77 懷孕 8 個月的孕婦不幸由 5 公尺高墜落,下列敘述何者錯誤? (A)最有效的胎兒急救,便是先維持孕婦的生命徵象穩定 (B)孕婦急救時,如無脊椎損傷,側躺時左側在上,防止子宮壓迫主動脈 (C)也需要監測胎兒的心跳 (D)縱使母親生命徵象穩定,胎兒卻可能處於休克中
78 有關血栓性栓塞(thromboembolism)於懷孕婦女的敘述,下列何者錯誤? (A)年齡大(尤其是 35 歲以上)的懷孕婦女發生靜脈栓塞較高 (B)深部靜脈栓塞與肺栓塞在懷孕及剛生產後的婦女,發生率比未懷孕婦女高 (C) Technetium-99m 肺灌注和肺換氣檢查(V/Q scan),一般而言,對胎兒是安全的 (D)對於懷孕婦女深部靜脈栓塞或肺栓塞,建議使用 warfarin 治療,以維護胎兒安全
79 下列那一種情形,可以不用得到病人的告知後同意? (A)開立我國行政院衛生署已經核准上市的處方藥物給一個非仿單所載適應症的病人,因為國外最知 名的期刊剛剛才登載了這種標籤外使用對這類病人有非常好的療效 (B)在病人例行回診驗血時,順便多抽 5 ml 的血,來作一項國科會所贊助的研究計畫 (C)病人在診間似乎語多保留,調閱該病人五年前在本院由 A 醫師主治時的住院病歷,看是否曾經罹 患性病,以確認本次處方藥物的正確性 (D)為了保護新生兒免於垂直感染,在產婦例行產檢時,作 AIDS 的篩檢
80 林小姐因子宮外孕合併內出血入院,入院時血色素:7.8 mg/dL,醫師告以須手術與輸血治療,但病 患及家屬因其宗教信仰之故,同意手術但堅持不願輸血,醫師認為輸血為必要之處置,仍決定輸血, 醫師行為是否恰當? (A)是。因醫師需盡其最大救治義務為病患診治 (B)是。因醫師有全權決定如何醫療 (C)否。因此臨床處置與病人意願相違 (D)否。因家屬反對
申論題 (0)
相關試卷
115年 - 115-1 專技高考_醫師(二):醫學(六)(包括麻醉科、眼科、耳鼻喉科、婦產科、復健科等科目及其相關臨床實例與醫學倫理)#137334
115年 · #137334
114年 - 114-2 專技高考_醫師(二):醫學(六)(包括麻醉科、眼科、耳鼻喉科、婦產科、復健科等科目及其相關臨床實例與醫學倫理)#127922
114年 · #127922
114年 - 114-1 專技高考_醫師(二):醫學(六)(包括麻醉科、眼科、耳鼻喉科、婦產科、復健科等科目及其相關臨床實例與醫學倫理)#125090
114年 · #125090
113年 - 113-2 專技高考_醫師(二):醫學(六)(包括麻醉科、眼科、耳鼻喉科、婦產科、復健科等科目及其相關臨床實例與醫學倫理)#120656
113年 · #120656
113年 - 113-1 專技高考_醫師(二):醫學(六)(包括麻醉科、眼科、耳鼻喉科、婦產科、復健科等科目及其相關臨床實例與醫學倫理)#118715
113年 · #118715
112年 - 112-2 專技高考_醫師(二):醫學(六)(包括麻醉科、眼科、耳鼻喉科、婦產科、復健科等科目及其相關臨床實例與醫學倫理)#114980
112年 · #114980
112年 - 112-1 專技高考_醫師(二):醫學(六)(包括麻醉科、眼科、耳鼻喉科、婦產科、復健科等科目及其相關臨床實例與醫學倫理)#113157
112年 · #113157
111年 - 111-2 專技高考_醫師(二):醫學(六)(包括麻醉科、眼科、耳鼻喉科、婦產科、復健科等科目及其相關臨床實例與醫學倫理)#108743
111年 · #108743
111年 - 111-1 專技高考_醫師(二):醫學(六)(包括麻醉科、眼科、耳鼻喉科、婦產科、復健科等科目及其相關臨床實例與醫學倫理)#106188
111年 · #106188
110年 - 110-2 專技高考_醫學(二):醫學(六)(包括麻醉科、眼科、耳鼻喉科、婦產科、復健科等科目及其相關臨床實例與醫學倫理)#99915
110年 · #99915