所屬科目:內科專科醫生
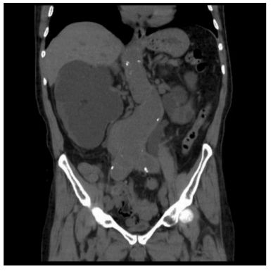
10. 一位64歲男性病人有高血壓病史,現腎功能變差,腎臟超音波顯示有腎水腫(hydronephrosis)現象,腹部及骨盆腔電腦斷層顯示如圖,下列何者是最可能的病因? (A) 兩側尿路結石 (B) 攝護腺肥大 (C) 多囊腎 (D) 發炎性主動脈瘤 (E) 腎移行上皮細胞癌(Transitional cell carcinoma)