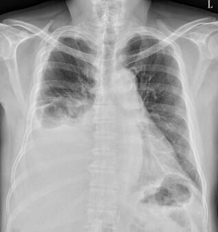
21. 黃先生68歲,有慢性阻塞性肺病(chronic obstructive pulmonary disease, COPD)的病史。因為發燒三天,合併呼吸急促與咳嗽有黃濃痰的狀況來到急診。黃先生自訴三個月前曾經因為慢性阻塞性肺病急性發 作(COPD exacerbation)住院一週,使用過類固醇與注射型抗生素。於急診時理學檢查發現呼吸急促,意識清楚。體溫 38.6°C, 心跳110 /minute, 血壓 136/80 mm Hg, 呼吸速率 26 /minute, 不使用氧氣的情況下SPO2: 91%,CXR如圖所示。WBC: 12,000 /mm³, platelet count: 159,000 per /mm³, BUN 26 mg /dl, creatinine 1.2 mg/dl。於急診的處置下列何者不適當?
(A) 進行SARS-CoV-2以及influenza的檢測。 (B) 進行痰液與血液的細菌培養。 (C) 給予口服抗生素治療即可返家。 (D) 給予Beta-lactam + Macrolide的抗生素治療。 (E) 可考慮給予針對Pseudomonas aeruginosa的抗生素治療。