所屬科目:醫學六:80題 ( 包括麻醉科,眼科,耳鼻喉科,婦產科,復健科等科目及其及相關臨床實例與醫學倫理 )
18.4歲女童,因感冒來就診,右耳耳鏡檢查發現耳膜完整,前下方有一白色腫塊(mass,如下圖),最有可能之診斷為何? (A)聽神經瘤(acoustic neuroma) (B)膽固醇肉芽腫(cholesterol granuloma) (C)先天性膽脂瘤(congenital cholesteatoma) (D)後天性膽脂瘤(acquired cholesteatoma)
24.請參閱附圖回答本題。胡先生是一位25歲的研究所學生,臉部因車禍嚴重撞擊,造成右側上顎骨開放性骨折。因持續出血、收 縮壓降低至50 mmHg,於手術室中進行止血失敗,主刀醫師當機立斷,於右側頸部打開一約10公分傷口,暴露頸動脈竇附近 大血管構造,打算阻斷顏面血液供應,以達到止血的目的。於圖中何處血管進行結繫最適當? (A)1 (B)2 (C)3 (D)4
28.23歲女性主訴7天前有陰道出血之情形,量如月經來第4天之量,近2日常感覺右下腹疼痛,今日則因疼痛加劇而就醫。經陰道 指診發現子宮有觸壓疼痛的情形,同時右邊亦有觸壓疼痛的情形。超音波掃描發現右邊子宮附屬物有腫塊,大小約3.5×3.8公 分,尿液懷孕試驗呈現陽性反應。由於右下腹痛加劇,因此接受腹腔鏡檢查,腹腔鏡檢查發現有下圖之情形,依據圖示此患者 最適合之診斷為: (A)卵巢腫瘤合併扭轉(ovarian tumor with torsion) (B)輸卵管外孕(tubal pregnancy) (C)急性盲腸炎(appendicitis) (D)輸尿管結石(ureteral stone)
37.如圖所示,為真空吸引輔助陰道生產,最適合放置真空吸引器之胎兒頭部位置。下列敘述何者不是放置於該處之優點? (A)提供最大的吸引力道 (B)幫助頭部伸展(extension) (C)讓胎兒頭部的最小徑經過骨盆腔出口 (D)降低真空吸引器於輔助生產時,與胎兒頭部脫開之機會
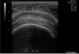
72.
85歲女性患者,主訴左肩疼痛超過6個月,有局部壓痛,無肌肉萎縮現象,圖為左肩部超音波檢查,上圖為旋轉環帶長軸切 面,下圖為短軸切面,最可能之診斷為何? (A)風濕性關節炎(rheumatoid arthritis) (B)棘上肌腱斷裂(supraspinatus tendon tear) (C)化膿性關節炎(pyogenic arthritis) (D)肩三角肌撕裂(deltoid muscle tear)
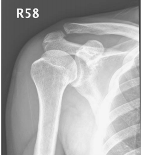
73.51歲男性病人,右側肩膀疼痛,且轉動受限。超音波及X光片檢查如圖,最可能的診斷為何? (A)旋轉環帶斷裂(rotator cuff tear) (B)退化性關節炎(degenerative arthritis) (C)肩峰及三角肌下滑膜炎(subacromial-subdeltoid bursitis) (D)鈣化性肌腱變性(calcific tendinosis)
75.32歲女性,子宮輸卵管攝影檢查呈現如圖,箭號所指之敘述何者最正確? (A)子宮肌瘤 (B)單角子宮 (C)子宮內膜異位 (D)子宮(輸卵管)外孕