所屬科目:重症呼吸治療學
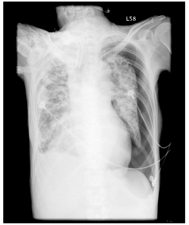
14.一60歲女性,因肺部纖維化慢性呼吸衰竭,長期使用呼吸器。設定為:pressure control mode,FiO2: 0.5,IP:24 cm H2 O,RR:28次/分,I time:0.7秒,潮氣容積平時均可維持在200mL左右。一日病人突 然呼吸急促,且在同樣設定下潮氣容積掉到只剩下100mL。胸部X光顯示如下,接下來的處置何者最為合 適? (A)緊急置放胸管 (B)調高呼吸器的吐氣末正壓 (C)調高呼吸器的呼吸頻率 (D)將呼吸器移除,擠壓甦醒球
38.臨床判斷組織對於氧氣的利用,可以血氧萃取比率(oxygen extraction ratio)為參考,公式是:耗氧量/攜 氧量(),一般血氧萃取比率正常範圍為何? (A)0.10~0.20 (B)0.25~0.33 (C)0.35~0.48 (D)0.50~0.70
44.一位正常人在正常的生理活動與環境中,氧與血紅素的解離曲線(oxygendissociation curve)如下圖實線所 表示。下列選項中,什麼狀況不會造成曲線右移? (A)甲狀腺亢進 (B)2,3-diphosphoglycerate(2,3-DPG)的量在血紅素中增加 (C)在高山上長時間居住 (D)新生兒
53.出血性休克病人放置中心靜脈導管大量輸血後血壓逐漸回穩。一天後病人發生呼吸困難和血壓下降,聽診發 現右側呼吸音消失。胸部X光片如下,導致病人狀況改變的原因為何? (A)氣管內管阻塞 (B)大量內出血 (C)氣胸 (D)呼吸器相關性肺炎
69.某接受正壓通氣病患,出現呼吸喘促現象,呼吸器圖形如下,要如何改善? (A)調高潮氣容積 (B)增加驅動敏感性 (C)增加吸氣流速 (D)調高吐氣末正壓