所屬科目:重症呼吸治療學
1.有關急性呼吸窘迫症候群的輔助治療,下列敘述何者正確?(A)吸入性支氣管擴張劑可以加速清除肺泡內的發炎物質,縮短呼吸器的使用時間(B)類固醇可以減輕發炎反應,對需要使用葉克膜的重度ARDS患者,可以減少死亡率(C)吸入性血管擴張劑(例如一氧化氮)可以用在極重度ARDS患者,在銜接體外維生系統之前得以維持適當的氧合(oxygenation)(D)俯臥治療不適用於肥胖的患者
2.有關急性呼吸窘迫症候群病人的臨床照護,下列敘述何者正確?(A)在急性呼吸窘迫症候群的急性期給予足量的灌食熱量,可降低死亡率(B)保守的輸液策略可以有較佳的氧合,以及縮短呼吸器的使用時間(C)使用benzodiazepine類鎮靜劑的急性呼吸窘迫症候群病人,之後較不會有記憶及認知功能的問題(D)使用benzodiazepine類鎮靜劑與譫妄的發生無關
3.罹患急性呼吸窘迫症候群病人復原後,下列那一項肺功能恢復最慢?(A)vital capacity(B)DLco(C)total lung capacity(D)inspiratory capacity
4.關於急性呼吸窘迫症候群,下列敘述何者錯誤?(A)最常見原因為感染症(B)病理表現主要為發炎反應(C)PMN(polymorphonuclear neutrophil)細胞會釋放protease、phospholipase、oxygen radicals 等物質,造成內皮及上皮細胞受損(D)重度急性呼吸窘迫症候群的病人,若只有單純的呼吸衰竭,應使用VA-ECMO
5.急性呼吸窘迫症候群的急性期病理表現,主要為下列何者?(A)usual interstitial pneumonia (B)bronchiolitis obliterans and organizing pneumonia (C)diffuse alveolar damage (D)non-specific interstitial pneumonia
6.有關燒傷造成吸入性傷害的敘述,下列何者正確?(A)在頭頸部燒傷且口中可見碳粒的患者,只要沒有呼吸窘迫的情形,插管保護呼吸道是不需要的 (B)上呼吸道較下呼吸道容易遭受吸入性傷害,除了溫度隨距離降低外,聲門的反射性開啟也是原因之 一 (C)一氧化碳與氰化物中毒是吸入性傷害中需特別注意的合併症之一 (D)是否會造成後續的急性呼吸窘迫症候群,可從一開始的胸部X光判斷
7.俯臥通氣治療使用在急性呼吸窘迫症候群,下列何者錯誤?(A)增加FRC(functional residual capacity) (B)改善氧合 (C)減少心輸出量 (D)降低死亡率
8.下列何者並非呼吸器引發肺部損傷(ventilator-induced lung injury)的原因?(A)吐氣時肺泡塌陷的剪應力(shear stress) (B)已經塌陷的肺泡重新開啟(re-open)的過度拉扯(strain) (C)潮氣容積過大導致肺泡過度擴張(overdistension) (D)表面張力素(surfactant)產生過量(overproduction)導致肺順應性(compliance)下降
9.有關俯臥通氣治療的禁忌症,下列何者錯誤?(A)胸腹手術傷口 (B)脊椎不穩定 (C)氣胸 (D)骨盆骨折
10.正常飲食的年輕男性病人在平地醫院未使用氧氣情況下抽血檢驗,發現PaO2 70 mm Hg、PaCO2 40 mm Hg。該病人之P(A-a)O2為多少mm Hg? (A)10 (B)20 (C)30 (D)40
11.有關俯臥通氣治療的敘述,下列何者錯誤?(A)可改善通氣/灌流失衡(ventilation/perfusion mismatch)而增加氧合 (B)輕度急性呼吸窘迫症候群病人即應儘早使用 (C)通常俯臥時間需大於16小時效果較佳 (D)須防止重要管路滑脫和壓瘡等副作用
12.急性呼吸窘迫症候群病人,當FiO2=0.21時,PaO2=50 mm Hg,而提高FiO2=1.0時,PaO2=60 mm Hg。下列何者為病人之肺部氣體交換狀況? (A)高比率的無效腔(dead space)通氣 (B)高通氣/灌流失衡(high ventilation/perfusion mismatch) (C)低通氣/灌流失衡(low ventilation/perfusion mismatch) (D)高比率的肺內分流(shunt)
13.成年男性急性呼吸窘迫症候群病人,身高/體重為174公分/90公斤,其呼吸器之最佳潮氣容積設定約為多少毫升? (A)420 (B)580 (C)640 (D)720
14.下列何者不屬於急性呼吸窘迫症候群的機械通氣治療策略?(A)動脈血氧(PaO2)愈高愈好 (B)可允許性高碳酸血症(hypercapnia) (C)低潮氣容積(tidal volume) (D)低驅動壓力(driving pressure)
15.有關急性呼吸窘迫症候群的呼吸器設定原則,下列何者最符合實證指引之建議?(A)潮氣容積<6 mL/kg predicted body weight,吸氣末高原壓(plateau pressure)<35 cm H 2O (B)潮氣容積4~8 mL/kg predicted body weight,吸氣末高原壓(plateau pressure)<30 cm H 2O (C)潮氣容積4~6 mL/kg predicted body weight,吸氣末高原壓(plateau pressure)<35 cm H 2O (D)潮氣容積<6 mL/kg predicted body weight,吸氣末高原壓(plateau pressure)<15 cm H 2O
16.65歲的慢性阻塞性肺病患者,近期常食慾不佳,因虛弱無力被送至急診就醫,其動脈血氣體分析如下:pH 7.58、PaCO2 49 mm Hg、PaO2 68 mm Hg、HCO3- 44 mEq/L,血中鈉離子濃度為147 mmol/L, 鉀離子為2.8 mmol/L。下列那一個初始處置最適合此患者之病況? (A)使用非侵襲性呼吸器(non-invasive ventilation)矯正血中二氧化碳濃度 (B)使用高流量鼻導管(high-flow nasal cannula)矯正血中二氧化碳濃度 (C)給與一般氧氣面罩以提高PaO 2到90 mm Hg以上 (D)給與適量輸液並矯正低血鉀
17.下列病況造成低血氧之機轉,何者與肺泡的擴散障礙(diffusion impairment)最沒有關係?(A)肺纖維化(pulmonary fibrosis) (B)肺氣腫(emphysema) (C)肺積水(lung edema) (D)高海拔缺氧(high altitude hypoxia)
18.急性呼吸窘迫症候群的呼吸器設定原則中,驅動壓力(driving pressure)是一重要的監視參數。對於驅動壓力之敘述,下列何者錯誤? (A)驅動壓力與潮氣容積成正比 (B)在固定潮氣容積下,驅動壓力與呼吸系統順應性(compliance)成反比 (C)驅動壓力建議維持在15 cm H2O以下 (D)PEEP調升會使得驅動壓力變大
19.下列情況皆可能造成人體血中二氧化碳分壓上升,何者造成二氧化碳上升之驅動機轉與其他三者不同? (A)鴉片類藥物中毒 (B)中樞性睡眠呼吸中止 (C)代謝性鹼中毒 (D)慢性阻塞性肺病
20.35歲男性因腦外傷造成重度昏迷,目前無自主呼吸,在加護病房中接受機械通氣,呼吸器設定為 volume-controlled mode,潮氣容積為500 mL,通氣次數為每分鐘15次,FiO2為0.5,動脈血液氣 體分析呈現:pH 7.31,PaCO 2 51 mm Hg。若欲使此患者之PaCO2下降至35至40 mm Hg區間,下列那 一種呼吸器的調整方式最合適? (A)通氣次數改為20次/分鐘 (B)通氣次數改為25次/分鐘 (C)通氣次數改為30次/分鐘 (D)通氣次數改為35次/分鐘
21.格林-巴利症候群(Guillain-Barré syndrome)是一種急性脫髓鞘性的多發性神經炎疾病,可能導致急性肌肉癱瘓甚至呼吸衰竭。下列那些生理參數常用來監測此類病人是否將進展至呼吸衰竭? (A)vital capacity小於40 mL/kg,maximal inspiratory pressure小於 -30 cm H2O,maximal expiratory pressure小於 20 cm H2O (B)vital capacity小於50 mL/kg,maximal inspiratory pressure小於 -30 cm H2O,maximal expiratory pressure小於 30 cm H2O (C)vital capacity小於30 mL/kg,maximal inspiratory pressure小於 -30 cm H2O,maximal expiratory pressure小於 30 cm H2O (D)vital capacity小於20 mL/kg,maximal inspiratory pressure小於 -30 cm H2O,maximal expiratory pressure小於 40 cm H2O
22.有關使用非侵襲性正壓呼吸器治療的適應症,下列敘述何者錯誤?(A)COPD急性惡化 (B)氣喘急性發作 (C)急性心因性肺水腫 (D)張力性氣胸
23.ARDS病人呼吸器的PEEP經測試14 cm H2O為最佳,若增加到18 cm H2O所產生的變化,下列敘述何者錯誤? (A)肺順應性降低 (B)PaO2持平或增加 (C)分流降低 (D)oxygen delivery增加
24.有關肺水腫病生理機轉的敘述,下列何者錯誤?(A)肺臟侷限性生理變化合併氣體交換功能障礙 (B)增加肺臟順應性和呼吸功 (C)因間質及肺泡腔水分堆積導致嚴重低血氧症 (D)大多數急性呼吸窘迫症候群所導致的肺功能不全及缺氧比鬱血性心臟衰竭嚴重
25.有關心因性肺水腫與急性呼吸窘迫症候群常見的臨床表徵,下列何者錯誤?(A)病人皆會焦慮不安、呼吸困難及呼吸急促 (B)肺微血管楔壓(pulmonary capillary wedge pressure, PCWP)於兩者皆常大於18 mm Hg (C)兩者的胸部X光常呈現兩側的肺部浸潤 (D)兩者的動脈血液氣體分析常有低血氧情形(hypoxemia)
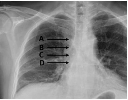
26.中央靜脈導管的尖端應在胸部X光的那個位置較合適?(A)位置A (B)位置B (C)位置C (D)位置D
27.下列4位病人皆在急診室接受插管使用呼吸器治療,他們目前血壓都偏低。那一位病人較不會因正壓通氣而讓血壓進一步下降? (A)肺炎併敗血症 (B)嚴重急性腹瀉 (C)車禍併腹腔內出血 (D)因感冒引起心衰竭急性惡化
28.66歲男性慢性阻塞性肺病(COPD)病人,因急性發作到醫院治療,有關急診室的初始處置下列何者錯誤? (A)先給予氧氣治療 (B)一開始給予的氧氣濃度要夠高,如非再吸入型氧氣面罩(NRM)10 L/min (C)拍X光片以確認肺部狀況 (D)以nebulizer給予短效的β2-agonists吸入
29.偶爾因支氣管痙攣而急性發作的70歲男性重度慢性阻塞性肺病(COPD)病人,有關其COPD常規治療與處置,下列敘述何者錯誤? (A)有症狀才使用長效的吸入性β2-agonists (B)口服類固醇或不必常規使用,急性惡化時才使用 (C)肺部復原和呼吸運動訓練 (D)注射肺炎鏈球菌疫苗及每年的流感疫苗
30.關於慢性阻塞性肺病患者的三合一藥物治療(triple therapy),下列敘述何者錯誤? (A)三合一療法包括:長效抗膽鹼藥物(LAMA)、長效型乙型交感神經刺激劑(LABA)和磷酸二酯酶抑 制劑(PDE inhibitor) (B)對合併反覆急性惡化的慢性阻塞性肺病患者,三合一療法可考慮作為初始治療的藥物 (C)相較於單方或二合一藥物治療(dual therapy),三合一藥物治療可以改善病人的肺功能 (D)相較於單方或二合一藥物治療(dual therapy),三合一藥物治療可以改善病人的生活品質
31.有關支氣管氣喘合併呼吸衰竭的病人使用正壓呼吸器治療時的敘述,下列何者錯誤?(A)設定呼吸器時應注意病人與呼吸器的同步 (B)主要目的在避免病人肺泡過度擴張,不須將二氧化碳維持在正常值範圍 (C)要注意監測設定後病人的高原壓(plateau pressure)與自發性吐氣末正壓(auto-PEEP) (D)在吸氣末將流量提前關閉可測得自發性吐氣末正壓(auto-PEEP)
32.有關支氣管氣喘急性發作危險因子的敘述,下列何者錯誤?(A)使用高劑量的短效乙二型交感神經刺激劑 (B)吐出的NO上升 (C)吸入性類固醇的不當使用 (D)FEV1大於60% predicted value
33.有關手術後常見的呼吸系統併發症,下列何者錯誤?(A)肺塌陷 (B)肺炎 (C)肺纖維化 (D)呼吸衰竭
34.有關膈神經受損原因,下列敘述何者錯誤?(A)心臟手術 (B)泌尿道感染 (C)嚴重創傷 (D)縱隔腔腫瘤
35.下列何種肌肉鬆弛劑的作用時間最長?(A)vecuronium (B)atracurium (C)cisatracurium (D)pancuronium
36.休克可以依心輸出量(cardiac output)和周邊血管阻力(peripheral vascular resistance)進行分類,下列何種狀況引起的休克非屬低心輸出量和高周邊血管阻力類型? (A)心臟衰竭(B)大量出血(C)急性肺栓塞(D)嚴重過敏反應
37.68歲女性病人因敗血性休克且呼吸衰竭而插管使用呼吸器進行後續照護,住院第三天醫師診視後,病人狀況惡化,胸腔X光顯示兩肺出現廣泛性的浸潤變化,呼吸器設定參數如下:使用容積控制型 (volume-controlled)通氣模式,吸入氧氣分率(fraction of inspired oxygen, FiO2)70%, 潮氣容積(tidal volume, VT)450 mL(6.7 mL/kg預測體重),吐氣末正壓(PEEP)8 cm H2O,測得的動脈血中氧氣分壓為48 mm Hg,二氧化碳分壓為47 mm Hg,pH 7.30,此時應優先調整下列那項設定?(A)改為壓力控制型(pressure-controlled)通氣模式(B)增加呼吸次數(C)增加V T(D)增加PEEP
38.下列那些指標可以用來評估休克病人的組織血液灌流或氧合程度?①血清乳酸濃度(serum lactate) ②動脈血氧飽和度(arterial O2 saturation, SaO2) ③混合靜脈血氧飽和度 (mixed venous oxygen saturation, SvO2) ④中心靜脈壓(central venous pressure, CVP)(A)僅①③(B)僅②④(C)①②③(D)②③④
39.心衰竭病人若血壓正常,下列何者非其首選用藥?(A)renin-angiotensin system inhibitors(B)beta-blockers(C)calcium channel blockers(D)mineralocorticoid receptor antagonists
40.心包填塞合併肺水腫的臨床表現,下列何者錯誤?(A)奇脈(pulsus paradoxus),收縮壓在吸氣時下降>10 mm Hg(B)頸靜脈擴張(C)心音減弱、低血壓(D)心搏過緩及休克的徵象
41.對於血壓低的急性心衰竭的病人,下列何種藥物較為適合?(A)dobutamine (B)milrinone (C)dopamine (D)levosimendan
42.下列何者非主動脈內氣球幫浦(intra-aortic balloon pump)較為常見的副作用?(A)感染 (B)主動脈剝離 (C)肢體急性血管阻塞 (D)腦中風
43.下列關於高流量鼻導管(HFNC)之適應症及效果,何者正確?(A)可使用於高二氧化碳性呼吸衰竭 (B)可減少約三分之一的解剖無效腔,減少二氧化碳6~10 mm Hg (C)可輸送給患者加熱和加濕的氣流 (D)可使用於上呼吸道不穩定患者
44.下列關於相繼器官衰竭評估(SOFA)及休克的敘述,何者錯誤?(A)相繼器官衰竭評估(SOFA)的最高加成總分值越大者,預後越差 (B)相繼器官衰竭評估(SOFA)的項次內容包含6項 (C)感染症患者若SOFA分數上升大於2分者,可定義為敗血症 (D)敗血症病人經過適當的輸液治療後,仍然需要使用升壓劑以維持65 mm Hg以上之平均動脈壓且血清 中乳酸濃度大於4 mmol/L,此兩項條件符合即為敗血性休克
45.有關血管收縮劑(vasopressors)在敗血性休克的處理,下列何者錯誤?(A)epinephrine或norepinephrine皆可考慮使用 (B)dopamine比norepinephrine更容易誘發心律不整 (C)vasopressin會導致血管收縮及增加心臟搏出量 (D)vasopressin不建議單獨使用,最好是合併使用一線血管收縮劑
46.有關敗血症輸液治療的敘述,下列何者錯誤?(A)敗血症輸液治療以膠體液(colloid)為主 (B)生理食鹽水(normal saline)較林格氏輸液(Ringer's solution)含有較高的氯離子 (C)敗血症引起組織灌流不足或敗血性休克,應在3小時內至少給予30 mL/kg的輸液 (D)目前不建議常規使用肺動脈導管(Swan-Ganz catheter)來判斷輸液是否足夠
47.有關早期敗血性休克血行動力學變化的敘述,下列何者錯誤?(A)心跳速率增加 (B)血壓下降 (C)心輸出量上升 (D)周邊血管阻力上升
48.有關腎因性急性腎衰竭病人使用dopamine的敘述,下列何者正確?(A)使用大於5 µg/kg/min 的劑量可增加尿量 (B)使用低劑量可使腎功能更快恢復 (C)使用低劑量可增加肌酸酐清除率 (D)無法改善病人的死亡率
49.下列何者不是急性腎損傷的常見原因?(A)血容量過低 (B)敗血症 (C)心搏輸出量降低 (D)急性闌尾炎的手術
50.下列那些是導致急性腎損傷常見的原因?①敗血症 ②重大手術 ③血液容積不足 ④腎毒性藥劑(A)僅①④ (B)僅①③④ (C)僅③④ (D)①②③④
51.敗血症引起的多器官衰竭病人,死亡率與主要器官衰竭數量之間存在直接關係,每增加一個器官系統衰竭,病人的死亡率大約會增加多少%? (A)5 (B)10 (C)20 (D)40
52.下列何者最不可能是此病嬰肺高壓的原因? (A)先天性心臟病 (B)支氣管肺部發育不良(bronchopulmonary dysplasia) (C)自體免疫的結締組織疾病(connective tissue disorder) (D)先天性橫膈膜疝氣(congenital diaphragmatic hernia)
53.承上題,下列藥物中,何者最不適合用於治療此病嬰的肺高壓?(A)prostacyclin(PGI 2)analogs (B)calcium channel blocker (C)endothelin receptor antagonist (D)phosphodiesterase inhibitor
54.產房有一位出生體重1200 g的新生兒需插管治療,下列處置何者較不適當?(A)一開始可以嘗試用內徑3 mm的氣管內管進行插管 (B)氣管內管一定要有cuff (C)插管位置正確,心跳和膚色應該有改善,吐氣時可見氣管內管有水氣凝結 (D)確認氣管內管位置時,若聽診呼吸音較困難,在心輸出量足夠的情況下可使用二氧化碳監測器 (end-tidal CO2)
55.妊娠27週出生的嬰兒,反覆出現呼吸窘迫症候群症狀。一出生立即接受插管治療,該嬰兒在第2天順利拔管,但是在第6天呼吸功能急劇惡化,使用NCPAP,FiO2為0.4。胸部X光片顯示廣泛的瀰漫性顆粒狀,動脈血氣體分析顯示呼吸性和代謝性酸中毒惡化,聽診時呼吸有雜音。這種呼吸系統惡化 最優先要考慮的原因是: (A)開放性動脈導管未閉合 (B)胎便吸入症候群(MAS) (C)細菌性肺炎 (D)早產兒的呼吸停止
56.10歲兒童因氣喘重積狀態(status asthmaticus)在急診治療效果不佳,而轉入兒科加護病房。病童很躁動,且有嚴重的肋間和肋下胸凹,呼吸音幾乎聽不見。由於血氧低和即將呼吸衰竭,而插管使用呼吸器。插管後,應使用下列那種通氣策略? (A)容許高碳酸血症(permissive hypercapnia),使用低呼吸頻率和長呼氣時間,以避免動態過度充 氣 (B)使用壓力控制通氣給予長吸氣時間和短呼氣時間 (C)PEEP大於10 cm H2O (D)使用高潮氣容積和高呼吸頻率給予超生理的每分鐘通氣量,以矯正呼吸性酸中毒
57.有關開放性動脈導管(patent ductus arteriosus, PDA)的敘述,下列何者錯誤?(A)在胎兒時期大部分的肺臟血流是經由動脈導管(ductus arteriosus)流入主動脈 (B)動脈導管(ductus arteriosus)通常在足月產的嬰兒出生後一週內會關閉 (C)早產兒通常不會發生PDA (D)PDA的治療可用藥物(如indomethacin)或手術治療
58.先天性心臟病心室中膈缺損的2歲病童有心臟衰竭,接受心臟手術後的第一天晚上,在強心劑使用下,血壓突然下降。動脈血液氣體分析結果:pH 7.20,PaCO2 50 mm Hg,PaO2 45 mm Hg,HCO3- 15 mmol/L。關於此時呼吸器的調整,下列何者最適合? (A)調整呼吸器的PIP,從20 cm H2O下降到16 cm H2O (B)調整呼吸器的PEEP,從6 cm H2O下降到4 cm H2O (C)調整呼吸器的呼吸次數,從30/min上升到40/min (D)使用高頻呼吸器
59.有關經鼻連續氣道正壓(bubble nasal continuous positive airway pressure)裝置,下列敘述 何者錯誤? (A)可以用於呼吸窘迫症候群的早產兒 (B)在高氣流量時,鼻管處測得的壓力會略高於水面以下吐氣管路的沒入深度 (C)連續氣道正壓的裝置對於氣流造成的阻力,鼻管比鼻面罩(nasal mask)低 (D)增加氣體流量可以增加管路的壓力及改善氣體交換
60.有關吸入性一氧化氮的適應症,下列何者錯誤?(A)呼吸窘迫症候群 (B)新生兒持續性肺動脈高壓 (C)支氣管擴張症 (D)先天性橫膈疝氣
61.下列關於血液透析術(hemodialysis)之敘述,何者錯誤?(A)基礎原理為快速清除有害分子 (B)可移除體內過多之水分 (C)有效率清除多數的大型分子如cytokines (D)少部分病人產生低血壓
62.有關體外二氧化碳清除(extracorporeal carbon dioxide removal, ECCO2R)裝置的敘述,下列何者錯誤? (A)可協助排出使用機械通氣也無法解決的血中二氧化碳過高 (B)常見適應症為嚴重COPD急性惡化或ARDS時,改善因二氧化碳過高而危及生命的酸血症 (C)心衰竭血流動力學不穩定病人是常見的適應症 (D)與葉克膜(ECMO)相比,所需血流流速較慢,對抗凝劑的需求較少,出血機會較低
63.有關使用葉克膜(ECMO)的適應症,下列敘述何者錯誤?(A)根據體外生命支持組織(ELSO),當預測死亡率為50~80%時,建議考慮ECMO (B)氧合指數(oxygenation index)<33是使用ECMO的重要指標 (C)Murray肺損傷評分(Murray Lung Injury Score)>3 (D)EOLIA試驗選擇PaO 2/FiO 2比值<80持續6小時或<50持續3小時,作為使用ECMO的時機
64.有關使用葉克膜(ECMO)時,機械通氣的設定,下列何者錯誤?(A)潮氣容積設定為≦6 mL/kg預測體重,以減少過度膨脹造成的肺損傷 (B)氣道高原壓(plateau pressure)≦30 cm H2O,以避免肺泡過度擴張 (C)驅動壓力(driving pressure)保持>15 cm H 2O,以降低機械通氣相關的肺損傷風險 (D)機械通氣的設定應遵循肺保護策略,以減少機械通氣相關的肺損傷
65.有關小兒嚴重呼吸窘迫症候群,欲將傳統模式呼吸器轉換為高頻振盪通氣(high-frequency oscillatory ventilation, HFOV),初始設定下列何者最不恰當? (A)bias flow 10~20 L/min (B)mean airway pressure 3~45 cm H2O (C)frequency 3~15 Hz (D)inspiratory time>50%
66.使用高頻振盪通氣(HFOV)時,如果需要降低動脈血二氧化碳分壓(PaCO2),下列步驟何者錯誤? (A)呼吸器設定增加振幅(amplitude,ΔP) (B)增加患者自主呼吸 (C)呼吸器設定降低頻率 (D)呼吸器設定增加吸氣百分比
67.病人在術後甦醒時,使用容積控制(volume control)呼吸模式,當病人咬住氣管內管,下列何種警報器會被觸發? (A)高氣道壓力警報 (B)低氣道壓力警報 (C)高流量警報 (D)高呼吸速率警報
68.有關正壓機械通氣對於各個器官的影響,下列何者錯誤?(A)造成肺泡內壓力上升時,進而降低肺血管阻力 (B)機械通氣導致的心輸出量下降可能會進一步減少冠狀動脈血流 (C)胸腔內壓力上升,會導致靜脈回流減少,可能導致心輸出量下降 (D)可能引發壓力性潰瘍或腸道屏障功能障礙,導致細菌移位(bacterial translocation)及隨後的 敗血症
69.使用機械通氣患者進行食道壓監測(esophageal pressure monitoring),下列敘述何者錯誤?(A)可以輔助正壓通氣中的吐氣末正壓(PEEP)的調整 (B)通過測量經肺壓(transpulmonary pressure),可調整ARDS的機械通氣策略 (C)食道壓即代表經肺壓(transpulmonary pressure) (D)有助於避免因過高壓力導致的肺損傷
70.根據美國麻醉學會(ASA)的分類,鎮靜(sedation)深度可分為4種,下列敘述何者錯誤?(A)最輕度鎮靜(minimal sedation)又稱為意識清醒鎮靜(conscious sedation) (B)深度鎮靜(deep sedation)可能無法完全保持氣道通暢 (C)全身麻醉(general anesthesia)需要依賴人工呼吸和維持氣道通暢 (D)中度鎮靜(moderate sedation)自主呼吸能力保持完整
71.有關肺動脈導管(pulmonary artery catheter)的臨床運用,下列何者正確?①可測量心輸出量以評估心臟和循環系統的功能狀態 ②可測量肺動脈楔壓(pulmonary artery wedge pressure) 以評估左心室的舒張末壓 ③可測量動脈血氧分壓(PaO2)以評估肺部氧合功能 ④可測量混合靜 脈血氧飽和度(mixed venous oxygen saturation)以評估全身氧氣供應與需求間的平衡狀態 (A)①②③ (B)②③④ (C)①②④ (D)①③④
72.下列何者與呼吸系統阻力上升無關?(A)分泌物增加 (B)支氣管痙孿 (C)支氣管擴張劑使用後 (D)氣道黏膜水腫
73.使用呼吸器病人的肺順應性(compliance)增加,最不可能是下列何種情況?(A)新發生肺炎 (B)氣胸因插上胸管而改善 (C)肺水腫改善 (D)肺氣腫
74.下列那些會影響pulse oximeter的準確度?①carboxyhemoglobin(HbCO) ②methemoglobin (MetHb) ③fetal hemoglobin ④bilirubin (A)①② (B)①③ (C)②④ (D)②③
75.外科手術後,意識清醒的戴氧氣面罩35%的男性患者身上的pulse oximetry 讀數為血氧飽和 80%。呼吸治療師觀察患者的四肢呈粉紅色且溫暖,於是抽了病人的動脈血液氣體分析結果如下:PaO 2 90 mm Hg,Hb 10 g/dL,SaO 2 98%,MetHb 2%,HbCO 1%。下列何者為最可能的原因? (A)Hb值過低 (B)MetHb過高 (C)偵測部位持續移動 (D)HbCO過高
76.下列何種狀況,PETCO2數值為0?(A)敗血症 (B)心臟停止跳動 (C)急性呼吸窘迫症候群 (D)肺水腫
77.使用侵襲性呼吸器的病人出現大量濃痰,體溫達39°C,白血球數為12,500/mm3,最可能的情況為下列何者? (A)肺水腫 (B)肺塌陷 (C)氣胸 (D)肺炎
78.要減少呼吸器相關肺炎,建議插管使用呼吸器病人的床頭至少應抬高多少度?(A)5 (B)10 (C)20 (D)30
79.要減少呼吸器相關肺炎(ventilator-associated pneumonia, VAP),需要執行VAP bundle的策略不包含下列那一項?(A)如果病情允許,使用非侵襲性正壓呼吸器(B)儘可能減少鎮靜藥物使用,以sedation protocol實施鎮靜(C)每天都要評估病人是否適合脫離呼吸器並移除氣管內管(D)要勤換呼吸器管路
80.診斷呼吸器相關肺炎常用的3種檢驗方式,包含從氣管抽痰培養、使用有保護套的氣管刷 (protected specimen brushing)、用支氣管鏡進行支氣管肺泡灌洗(bronchoalveolar lavage),下列敘述何者正確?(A)用支氣管鏡進行支氣管肺泡灌洗培養的敏感性(sensitivity)最好(B)使用有保護套的氣管刷培養的專一性(specificity)最好(C)從氣管抽痰培養的精確性(accuracy)最高(D)三種方法的敏感性(sensitivity)相似