所屬科目:重症呼吸治療學
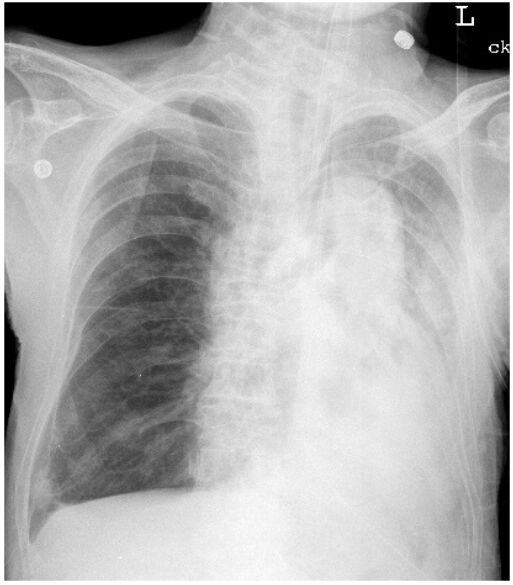
25.慢性阻塞性肺病病人在拔管後,因血氧下降,經緊急插管後胸部X光如下,下列何者最為可能? (A)左肺塌陷(collapse) (B)左側大量肋膜積液 (C)左側呼吸器相關性肺炎 (D)右側氣胸
69.肺部的血流分布會因重力與肺泡壓力而有所不同,根據West zones of lung的敘述,肺動脈壓>肺泡壓>肺靜脈壓()時,位於下圖肺臟的那一個部分?(A)Zone 1 (B)Zone 2 (C)Zone 3 (D)Zone 4