所屬科目:醫學六:80題 ( 包括麻醉科,眼科,耳鼻喉科,婦產科,復健科等科目及其及相關臨床實例與醫學倫理 )
20.病人耳鏡檢查所見如下圖,最可能之診斷為:(A)先天性膽脂瘤(congenital cholesteatoma) (B)原發性後天性膽脂瘤(primary acquired cholesteatoma) (C)繼發性後天性膽脂瘤(secondary acquired cholesteatoma) (D)耳道膽脂瘤(ear canal cholesteatoma)
24.56歲男性,因聲音沙啞就診,經咽喉內視鏡檢查發現一腫塊如下圖所示,下列敘述何者正確?(A)與長期嚼檳榔密切相關 (B)箭頭所指腫瘤位於上聲門區(supraglottis) (C)此類之喉部腫瘤常伴隨頸部淋巴結轉移 (D)如經切片證實為鱗狀上皮細胞癌,則可考慮手術切除或放射線治療
25.一中年男性晚飯後出現喉痛、吞嚥困難等症狀就診,頸部X光如下圖,下列敘述何者正確?(A)頸部X光可見異物位於會厭軟骨處 (B)可於局部麻醉下以硬式食道鏡移除異物 (C)硬式食道鏡術後發生併發症之機率與軟式食道鏡相近 (D)食道鏡術中如發現疑似食道破裂,應立即放置鼻胃管並囑咐病人不得經口進食
32.35歲孕婦,G2P1,妊娠42週,催生前接受NST檢查(nonstress test),結果如圖所示: 其判讀為何?(提示:FM為胎動) (A)Early deceleration (B)Late deceleration (C)Reactive (D)Nonreactive
43.如圖所示,為laparoscopic Burch colposuspension雙側陰道旁筋膜(paravaginal fascia)懸吊後之腹腔鏡手術圖 片,iliopectineal ligament(Cooper's ligament)為圖中下列何者文字標示之處?(A)A (B)B (C)C (D)D
56.24歲孕婦,G3P0,妊娠38週,接受胎兒杜卜勒超音波檢查,結果如圖所示,檢查名稱為何?(A)臍動脈血流速度波形 (B)臍靜脈血流速度波形 (C)胎兒中大腦動脈血流速度波形 (D)胎兒下行主動脈血流速度波形
70.病患在接受物理治療後發生如圖的病變,下列那一種治療儀最有可能是原因?(A)短波治療儀(short wave diathermy) (B)熱敷包(hot packs) (C)干擾波(interferential current) (D)低能量雷射(low energy laser therapy)
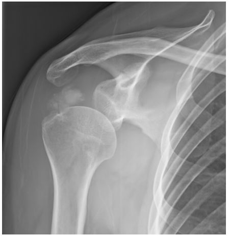
73.59歲女性病人意外跌倒後,主訴左肩疼痛,X光檢查如圖,最可能之診斷為何?(A)calcified tendinosis (B)avulsion fracture of greater tuberosity (C)bone metastasis (D)primary osteoblastic bone tumor (E)一律給分
74.80歲女性,下腹部磁振造影檢查(T2WI)呈現如圖,箭號所指之敘述何者最正確?(A)子宮頸癌 (B)卵巢癌 (C)陰道癌 (D)子宮內膜癌