所屬科目:高中指考◆生物
7. 推測「耳石脫落症」的可能起因為耳部的碳酸鈣結晶脫落,造成淋巴液流動混亂而導致 暈眩,但此眩暈可因改變頭部角度而緩和或消失。內耳構造如圖1所示。下列何者最不可能是耳石掉落後沉積的位置? (A) 甲 (B) 乙 (C) 丙 (D) 丁
17. 某生在阿里山甲、乙兩個地點,以相同的方法調查昆蟲數量,得到數據如表1,以下解釋何者正確? (A) 甲地昆蟲的物種豐富度較乙地高 (B) 甲地昆蟲的物種均勻度較乙地高 (C) 乙地昆蟲的物種多樣性較甲地高 (D) 甲、乙兩地昆蟲的物種多樣性無法直接比較
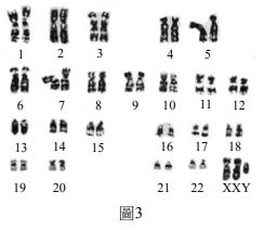
26.圖3為某人染色體核型,下列相關敘述哪些正確? (A) 本檢測之受試者是女性 (B) 其父或母形成配子時發生無分離現象 (C) 染色體條紋不需要染色過程即可呈現 (D) 成熟的生殖細胞不可作為此檢測的樣本 (E) 圖3可用來分析本檢測之受試者是否有鐮刀型 (形)紅血球症
28. 針對肺結核病患,合併使用多種抗生素可以達到很好的療效。然而面對傳播力及感染力 都強的超級細菌的挑戰,科學家仍需繼續致力於新抗生素的篩選和研發。某研究人員在 通過生物安全規範檢定的微生物實驗室,使用結核桿菌進行兩種新抗生素感受性分析, 該員將結核桿菌分別接種在含有不同濃度抗生素A與B的培養盤中(圖4,+愈多代表濃 度愈高,0代表不含抗生素)。在37℃培養24小時後,觀察桿菌菌落生長結果如圖4。下 列敘述哪些正確? (A) 兩種抗生素皆能有效抑制結核桿菌生長 (B) 抗生素A抑制結核桿菌的效果較抗生素B佳 (C) 抗生素A在高濃度能將結核桿菌殺死 (D) 抗生素A仍有產生抗藥性的風險 (E) 合併抗生素B治療可能容易讓結核桿菌對抗生素A產生抗藥性
30.甲、乙兩隻成鼠的毛色基因都是同型合子。圖5為利用此毛色基因和PCR技術進行某群 小鼠和甲、乙二鼠親緣鑑定的結果。下列 相關敘述哪些正確? (A) 電泳圖中檢體1與3是以引子1與引子2分別針對甲、乙老鼠DNA進行PCR分析結果 (B) 電泳圖中檢體5的結果顯示此小鼠可 能是甲、乙兩鼠交配產生的子代 (C) 以引子1與引子2對老鼠乙DNA進行PCR擴增,其結果大小為500個鹼基對 (D) 電泳圖中檢體4的結果顯示此小鼠和甲、乙兩鼠都沒親緣關係 (E) 甲、乙兩鼠都沒有和對方相同的毛色基因
32. 圖6為正常心搏週期中的心肌電位變化,其中乙為心室收縮時的電位變化,下列相關敘 述哪些正確? (A) 甲期發生心房舒張而充血的現象 (B) 靜脈血僅可在丙時期流入心房 (C) 最高的主動脈收縮壓是伴隨乙期發生 (D) 丙期與半月瓣開啟不會同時發生 (E) 副交感神經可以升高每分鐘甲乙丙出現的頻率
35. 食物網探討生物營養階層間之關係,也呈現物種間的交互作用,根據圖7所示食物網關 係,下列敘述哪些正確? (A) 若據此食物網結構繪製能量塔,綠簑鷺階層所占比例最低 (B) 櫻花鉤吻鮭與明潭吻蝦虎魚皆捕食水棲昆蟲,兩者在食性上可能為競爭關係 (C) 明潭吻蝦虎魚捕食水棲昆蟲可降低藻類被啃食率,因此明潭吻蝦虎魚與藻類為片利共生之關係 (D) 移除綠簑鷺可能造成櫻花鉤吻鮭、明潭吻蝦虎魚與鯝魚增加,水棲昆蟲大量被捕食,整個生物群集結構明顯改變,因此綠簑鷺為該 群集中重要的關鍵物種 (E) 鯝魚的族群動態主要取決於水棲昆蟲的年間波動
38. 下列為脆弱擬桿菌野生株和三種突變株在小鼠直腸黏膜定殖菌落量的統計圖,何者較 接近本文的分析結果? (A) (B) (C) (D)
43. 當分析一株具有唇瓣的附生性蘭花基因表現時,最可能得到下列哪一種結果? (A) (B) (C) (D)
47.圖12為三兄弟的血型檢測結果,甲為抗A血清點漬處,乙為抗B血清點漬處,試問以下 敘述何者正確? (A) 父母其中一人有可能可捐血給O型血的人 (B) 大哥與A型血的太太所生的孩子只有三種可能血型 (C) 父母的組合中,有人血型基因型呈現共顯性(等顯性)的 機會為75% (D) 小弟的小孩血型基因型必為共顯性(等顯性)